Calmodulin Recombinant Rabbit Monoclonal Antibody [SJ16-09]
cat.: HA750106
Product Type: Recombinant Rabbit monoclonal IgG, primary antibodies
Species reactivity: Human, Mouse, Dog, Rat
Applications: WB, IF-Cell, IF-Tissue, IHC-P, IP
Clonality: Monoclonal
Clone number: SJ16-09
Form: Liquid
Storage condition: Store at +4℃ after thawing. Aliquot store at -20℃ or -80℃. Avoid repeated freeze / thaw cycles.
Storage buffer: 1*PBS (pH7.4).
Concentration: 1ug/ul
Purification: Protein A affinity purified.
Molecular weight: 17 kDa
Isotype: IgG
Immunogen: Synthetic peptide within Human Calmodulin aa 100-149 / 149.
Positive control: Rat brain tissue lysates, Hela, MCF-7, NIH/3T3, mouse brain tissue, mouse cerebellum tissue.
Subcellular location: Cytoplasm.
Recommended Dilutions:
  WB
  IF-Cell
  IF-Tissue
  IHC-P
  IP

1:1,000
1:50-1:200
1:50-1:200
1:50-1:200
Use at an assay dependent concentration.
Uniprot #: SwissProt: P0DP23 Human | P0DP24 Human | P0DP25 Human
Alternative names: CALM 1 CALM 2 CALM 3 CALM CALM_HUMAN CALM1 CALM2 Calm3 CALML2 calmodulin 1 (phosphorylase kinase, delta) Calmodulin 2 (phosphorylase kinase, delta) Calmodulin 3 (phosphorylase kinase, delta) Calmodulin CaM CAM I CAM1 CAM2 CAM3 CAMB CAMC CAMI CAMII CPVT4 DD132 FLJ99410 LP7057 protein PHKD PHKD2 PHKD3 phosphorylase kinase delta phosphorylase kinase, delta subunit
Images
HA750106_1.jpg Fig1: Western blot analysis of Calmodulin on rat brain tissue lysates. Proteins were transferred to a PVDF membrane and blocked with 5% BSA in PBS for 1 hour at room temperature. The primary antibody (HA750106, 1/500) was used in 5% BSA at room temperature for 2 hours. Goat Anti-Rabbit IgG - HRP Secondary Antibody (HA1001) at 1:5,000 dilution was used for 1 hour at room temperature.
HA750106_2.jpg Fig2: ICC staining of Calmodulin in Hela cells (green). Formalin fixed cells were permeabilized with 0.1% Triton X-100 in TBS for 10 minutes at room temperature and blocked with 1% Blocker BSA for 15 minutes at room temperature. Cells were probed with the primary antibody (HA750106, 1/50) for 1 hour at room temperature, washed with PBS. Alexa Fluor®488 Goat anti-Rabbit IgG was used as the secondary antibody at 1/1,000 dilution. The nuclear counter stain is DAPI (blue).
HA750106_3.jpg Fig3: ICC staining of Calmodulin in MCF-7 cells (green). Formalin fixed cells were permeabilized with 0.1% Triton X-100 in TBS for 10 minutes at room temperature and blocked with 1% Blocker BSA for 15 minutes at room temperature. Cells were probed with the primary antibody (HA750106, 1/50) for 1 hour at room temperature, washed with PBS. Alexa Fluor®488 Goat anti-Rabbit IgG was used as the secondary antibody at 1/1,000 dilution. The nuclear counter stain is DAPI (blue).
HA750106_4.jpg Fig4: ICC staining of Calmodulin in NIH/3T3 cells (green). Formalin fixed cells were permeabilized with 0.1% Triton X-100 in TBS for 10 minutes at room temperature and blocked with 1% Blocker BSA for 15 minutes at room temperature. Cells were probed with the primary antibody (HA750106, 1/50) for 1 hour at room temperature, washed with PBS. Alexa Fluor®488 Goat anti-Rabbit IgG was used as the secondary antibody at 1/1,000 dilution. The nuclear counter stain is DAPI (blue).
HA750106_5.jpg Fig5: Immunohistochemical analysis of paraffin-embedded mouse brain tissue using anti-Calmodulin antibody. The section was pre-treated using heat mediated antigen retrieval with Tris-EDTA buffer (pH 8.0-8.4) for 20 minutes.The tissues were blocked in 5% BSA for 30 minutes at room temperature, washed with ddH2O and PBS, and then probed with the primary antibody (HA750106, 1/50) for 30 minutes at room temperature. The detection was performed using an HRP conjugated compact polymer system. DAB was used as the chromogen. Tissues were counterstained with hematoxylin and mounted with DPX.
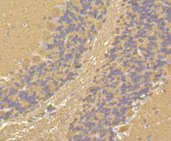
HA750106_6.jpg Fig6: Immunohistochemical analysis of paraffin-embedded mouse cerebellum tissue using anti-Calmodulin antibody. The section was pre-treated using heat mediated antigen retrieval with Tris-EDTA buffer (pH 8.0-8.4) for 20 minutes.The tissues were blocked in 5% BSA for 30 minutes at room temperature, washed with ddH2O and PBS, and then probed with the primary antibody (HA750106, 1/50) for 30 minutes at room temperature. The detection was performed using an HRP conjugated compact polymer system. DAB was used as the chromogen. Tissues were counterstained with hematoxylin and mounted with DPX.
Note: All products are “FOR RESEARCH USE ONLY AND ARE NOT INTENDED FOR DIAGNOSTIC OR THERAPEUTIC USE”.