MMP-14 Recombinant Rabbit Monoclonal Antibody [SJ18-09]
cat.: HA750108
Product Type: Recombinant Rabbit monoclonal IgG, primary antibodies
Species reactivity: Human, Mouse, Rat
Applications: WB, IF-Cell, IF-Tissue, IHC-P, IP
Clonality: Monoclonal
Clone number: SJ18-09
Form: Liquid
Storage condition: Store at +4℃ after thawing. Aliquot store at -20℃ or -80℃. Avoid repeated freeze / thaw cycles.
Storage buffer: 1*PBS (pH7.4).
Concentration: 1ug/ul
Purification: Protein A affinity purified.
Molecular weight: Predicted band size: 66 kDa
Isotype: IgG
Immunogen: Synthetic peptide within Human MMP14 aa 149-200 / 582.
Positive control: Human kidney tissue lysates, CRC, BT-20, human breast carcinoma tissue, human kidney tissue, human uterus tissue.
Subcellular location: Membrane, Melanosome, Cytoplasm.
Recommended Dilutions:
  WB
  IF-Cell
  IF-Tissue
  IHC-P
  IP

1:500-1:2,000
1:50-1:200
1:50-1:2000
1:50-1:10,000
Use at an assay dependent concentration.
Uniprot #: SwissProt: P50281 Human | P53690 Mouse | Q10739 Rat
Alternative names: Matrix metallopeptidase 14 (membrane inserted) Matrix metalloproteinase 14 Matrix metalloproteinase-14 Membrane type 1 matrix metalloproteinase Membrane type 1 metalloprotease Membrane type matrix metalloproteinase 1 Membrane-type matrix metalloproteinase 1 Membrane-type-1 matrix metalloproteinase MMP 14 MMP X1 MMP-14 MMP-X1 Mmp14 MMP14_HUMAN MMPX1 MT MMP 1 MT-MMP 1 MT1 MMP MT1-MMP MT1MMP MTMMP 1 MTMMP1
Images
HA750108_1.jpg Fig1: Western blot analysis of MMP-14 on human kidney tissue lysates with Rabbit anti-MMP-14 antibody (HA750108) at 1/1,000 dilution.

Lysates/proteins at 20 µg/Lane.

Predicted band size: 66 kDa
Observed band size: 55 kDa

Exposure time: 2 minutes;

10% SDS-PAGE gel.

Proteins were transferred to a PVDF membrane and blocked with 5% NFDM/TBST for 1 hour at room temperature. The primary antibody (HA750108) at 1/1,000 dilution was used in 5% NFDM/TBST at room temperature for 2 hours. Goat Anti-Rabbit IgG - HRP Secondary Antibody (HA1001) at 1:300,000 dilution was used for 1 hour at room temperature.
HA750108_2.jpg Fig2: Western blot analysis of MMP-14 on different lysates with Rabbit anti-MMP-14 antibody (HA750108) at 1/1,000 dilution.

Lane 1: NIH/3T3 cell lysate
Lane 2: MEF cell lysate
Lane 3: L6 cell lysate
Lane 4: Mouse lung tissue lysate
Lane 5: Rat lung tissue lysate

Lysates/proteins at 20/40 µg/Lane.

Predicted band size: 66 kDa
Observed band size: 55 kDa

Exposure time: 10 seconds;

4-20% SDS-PAGE gel.

Proteins were transferred to a PVDF membrane and blocked with 5% NFDM/TBST for 1 hour at room temperature. The primary antibody (HA750108) at 1/1,000 dilution was used in 5% NFDM/TBST at 4℃ overnight. Goat Anti-Rabbit IgG - HRP Secondary Antibody (HA1001) at 1/50,000 dilution was used for 1 hour at room temperature.
HA750108_3.jpg Fig3: ICC staining of MMP-14 in CRC cells (green). Formalin fixed cells were permeabilized with 0.1% Triton X-100 in TBS for 10 minutes at room temperature and blocked with 1% Blocker BSA for 15 minutes at room temperature. Cells were probed with the primary antibody (HA750108, 1/50) for 1 hour at room temperature, washed with PBS. Alexa Fluor®488 Goat anti-Rabbit IgG was used as the secondary antibody at 1/1,000 dilution. The nuclear counter stain is DAPI (blue).
HA750108_4.jpg Fig4: ICC staining of MMP-14 in BT-20 cells (green). Formalin fixed cells were permeabilized with 0.1% Triton X-100 in TBS for 10 minutes at room temperature and blocked with 1% Blocker BSA for 15 minutes at room temperature. Cells were probed with the primary antibody (HA750108, 1/50) for 1 hour at room temperature, washed with PBS. Alexa Fluor®488 Goat anti-Rabbit IgG was used as the secondary antibody at 1/1,000 dilution. The nuclear counter stain is DAPI (blue).
HA750108_5.jpg Fig5: Immunohistochemical analysis of paraffin-embedded human breast carcinoma tissue using anti-MMP-14 antibody. The section was pre-treated using heat mediated antigen retrieval with Tris-EDTA buffer (pH 8.0-8.4) for 20 minutes.The tissues were blocked in 5% BSA for 30 minutes at room temperature, washed with ddH2O and PBS, and then probed with the primary antibody (HA750108, 1/50) for 30 minutes at room temperature. The detection was performed using an HRP conjugated compact polymer system. DAB was used as the chromogen. Tissues were counterstained with hematoxylin and mounted with DPX.
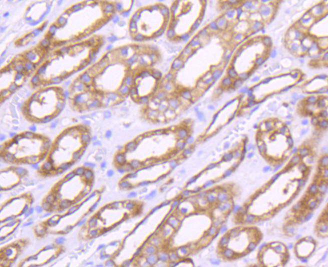
HA750108_6.jpg Fig6: Immunohistochemical analysis of paraffin-embedded human kidney tissue using anti-MMP-14 antibody. The section was pre-treated using heat mediated antigen retrieval with Tris-EDTA buffer (pH 8.0-8.4) for 20 minutes.The tissues were blocked in 5% BSA for 30 minutes at room temperature, washed with ddH2O and PBS, and then probed with the primary antibody (HA750108, 1/50) for 30 minutes at room temperature. The detection was performed using an HRP conjugated compact polymer system. DAB was used as the chromogen. Tissues were counterstained with hematoxylin and mounted with DPX.
HA750108_7.jpg Fig7: Immunohistochemical analysis of paraffin-embedded human uterus tissue using anti-MMP-14 antibody. The section was pre-treated using heat mediated antigen retrieval with Tris-EDTA buffer (pH 8.0-8.4) for 20 minutes.The tissues were blocked in 5% BSA for 30 minutes at room temperature, washed with ddH2O and PBS, and then probed with the primary antibody (HA750108, 1/50) for 30 minutes at room temperature. The detection was performed using an HRP conjugated compact polymer system. DAB was used as the chromogen. Tissues were counterstained with hematoxylin and mounted with DPX.
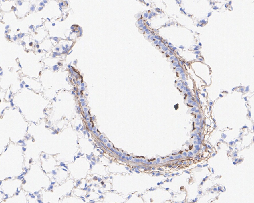
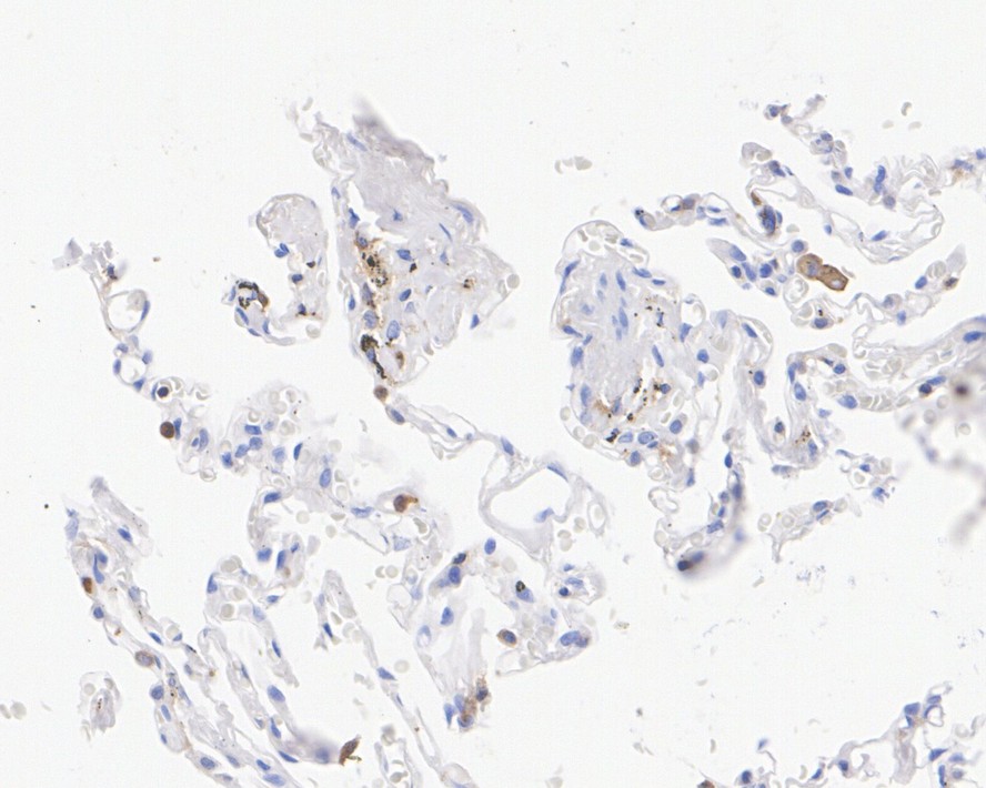
HA750108_8.jpg Fig8: Immunohistochemical analysis of paraffin-embedded human lung tissue with Rabbit anti-MMP-14 antibody (HA750108) at 1/10,000 dilution.

The section was pre-treated using heat mediated antigen retrieval with Tris-EDTA buffer (pH 9.0) for 20 minutes. The tissues were blocked in 1% BSA for 20 minutes at room temperature, washed with ddH2O and PBS, and then probed with the primary antibody (HA750108) at 1/10,000 dilution for 1 hour at room temperature. The detection was performed using an HRP conjugated compact polymer system. DAB was used as the chromogen. Tissues were counterstained with hematoxylin and mounted with DPX.
HA750108_9.jpg Fig9: Immunohistochemical analysis of paraffin-embedded mouse lung tissue with Rabbit anti-MMP-14 antibody (HA750108) at 1/10,000 dilution.

The section was pre-treated using heat mediated antigen retrieval with Tris-EDTA buffer (pH 9.0) for 20 minutes. The tissues were blocked in 1% BSA for 20 minutes at room temperature, washed with ddH2O and PBS, and then probed with the primary antibody (HA750108) at 1/10,000 dilution for 1 hour at room temperature. The detection was performed using an HRP conjugated compact polymer system. DAB was used as the chromogen. Tissues were counterstained with hematoxylin and mounted with DPX.
HA750108_10.jpg Fig10: Immunohistochemical analysis of paraffin-embedded rat lung tissue with Rabbit anti-MMP-14 antibody (HA750108) at 1/10,000 dilution.

The section was pre-treated using heat mediated antigen retrieval with Tris-EDTA buffer (pH 9.0) for 20 minutes. The tissues were blocked in 1% BSA for 20 minutes at room temperature, washed with ddH2O and PBS, and then probed with the primary antibody (HA750108) at 1/10,000 dilution for 1 hour at room temperature. The detection was performed using an HRP conjugated compact polymer system. DAB was used as the chromogen. Tissues were counterstained with hematoxylin and mounted with DPX.
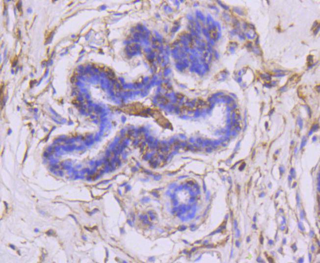
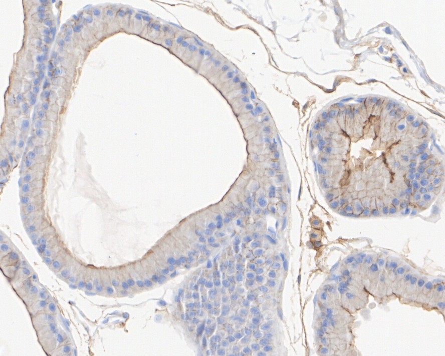
HA750108_11.jpg Fig11: Immunohistochemical analysis of paraffin-embedded rat prostate tissue with Rabbit anti-MMP-14 antibody (HA750108) at 1/10,000 dilution.

The section was pre-treated using heat mediated antigen retrieval with Tris-EDTA buffer (pH 9.0) for 20 minutes. The tissues were blocked in 1% BSA for 20 minutes at room temperature, washed with ddH2O and PBS, and then probed with the primary antibody (HA750108) at 1/10,000 dilution for 1 hour at room temperature. The detection was performed using an HRP conjugated compact polymer system. DAB was used as the chromogen. Tissues were counterstained with hematoxylin and mounted with DPX.
Note: All products are “FOR RESEARCH USE ONLY AND ARE NOT INTENDED FOR DIAGNOSTIC OR THERAPEUTIC USE”.