alpha smooth muscle Actin Recombinant Rabbit Monoclonal Antibody [SY02-64]
cat.: HA750126
Product Type: Recombinant Rabbit monoclonal IgG, primary antibodies
Species reactivity: Human, Mouse, Rat
Applications: WB, IF-Cell, IF-Tissue, IHC-P, FC
Clonality: Monoclonal
Clone number: SY02-64
Form: Liquid
Storage condition: Store at +4℃ after thawing. Aliquot store at -20℃ or -80℃. Avoid repeated freeze / thaw cycles.
Storage buffer: PBS (pH7.4).
Concentration: 1ug/ul
Purification: Protein A affinity purified.
Molecular weight: Predicted band size: 42 kDa
Isotype: IgG
Immunogen: Synthetic peptide within N-terminal human alpha smooth muscle Actin.
Positive control: Saos-2 cell lysate, A431 cell lysate, NIH/3T3 cell lysate, C2C12 cell lysate, Neuro-2a cell lysate, Mouse skin tissue lysate, Rat skin tissue lysate, human breast carcinoma tissue, NIH/3T3, HUVEC, human kidney tissue, human small intestine tissue, mouse small intestine tissue, rat small intestine tissue, HepG2.
Subcellular location: Cytoplasm.
Recommended Dilutions:
  WB
  IF-Cell
  IF-Tissue
  IHC-P
  FC

1:20,000-1:50,000
1:2,000-1:5,000
1:1,000-1:2,000
1:50,000-1:100,000
1:1,000-1:2,000
Uniprot #: SwissProt: P62736 Human | P62737 Mouse | P62738 Rat
Alternative names: alpha SMA a-SMA asma a actin AAT6 ACTA_HUMAN ACTA2 Actin alpha 2 smooth muscle aorta Actin aortic smooth muscle Actin, aortic smooth muscle ACTSA ACTVS Alpha 2 actin Alpha actin 2 Alpha cardiac actin Alpha-actin-2 Cell growth inhibiting gene 46 protein Cell growth-inhibiting gene 46 protein GIG46 Growth inhibiting gene 46 MYMY5
Images
HA750126_1.jpg Fig1: Western blot analysis of alpha smooth muscle Actin on different lysates with Rabbit anti-alpha smooth muscle Actin antibody (HA750126) at 1/20,000 dilution and competitor's antibody at 1/5,000 dilution.

Lane 1: Saos-2 cell lysate (15 µg/Lane)
Lane 2: A431 cell lysate (15 µg/Lane)
Lane 3: NIH/3T3 cell lysate (15 µg/Lane)
Lane 4: C2C12 cell lysate (15 µg/Lane)
Lane 5: Neuro-2a cell lysate (15 µg/Lane)
Lane 6: Mouse skin tissue lysate (30 µg/Lane)
Lane 7: Rat skin tissue lysate (30 µg/Lane)

Predicted band size: 42 kDa
Observed band size: 42 kDa

Exposure time: 46 seconds; ECL: K1801;

4-20% SDS-PAGE gel.

Proteins were transferred to a PVDF membrane and blocked with 5% NFDM/TBST for 1 hour at room temperature. The primary antibody (HA750126) at 1/20,000 dilution and competitor's antibody at 1/5,000 dilution were used in 5% NFDM/TBST at 4℃ overnight. Goat Anti-Rabbit IgG - HRP Secondary Antibody (HA1001) at 1/50,000 dilution was used for 1 hour at room temperature.
HA750126_2.jpg Fig2: Western blot analysis of alpha smooth muscle Actin on different lysates with Rabbit anti-alpha smooth muscle Actin antibody (HA750126) at 1/20,000 dilution.

Lane 1: Hela-si NT cell lysate (10 µg/Lane)
Lane 2: Hela-si alpha smooth muscle Actin cell lysate (10 µg/Lane)

Predicted band size: 42 kDa
Observed band size: 42 kDa

Exposure time: 5 seconds;
4-20% SDS-PAGE gel.

Proteins were transferred to a PVDF membrane and blocked with 5% NFDM in TBST for 1 hour at room temperature. The primary antibody (ET1607-53, 1/20,000) and Loading control antibody (Rabbit anti-GAPDH, ET1601-4, 1/10,000) were used in 5% BSA at room temperature for 2 hours. Goat Anti-rabbit IgG-HRP Secondary Antibody (HA1001) at 1/50,000 dilution was used for 1 hour at room temperature.
HA750126_3.jpg Fig3: Immunohistochemical analysis of paraffin-embedded human breast carcinoma tissue with Rabbit anti-alpha smooth muscle Actin antibody (HA750126) at 1/50,000 dilution and competitor's antibody at 1/20,000 dilution.

The section was pre-treated using heat mediated antigen retrieval with sodium citrate buffer (pH 6.0) (high pressure) for 2 minutes. The tissues were blocked in 1% BSA for 20 minutes at room temperature, washed with ddH2O and PBS, and then probed with the primary antibody (HA750126) at 1/50,000 dilution and competitor's antibody at 1/20,000 dilution for 1 hour at room temperature. The detection was performed using an HRP conjugated compact polymer system. DAB was used as the chromogen. Tissues were counterstained with hematoxylin and mounted with DPX.
HA750126_4.jpg Fig4: Application: IF-tissue

Species: Human

Site: Kidney

Sample: Paraffin-embedded section

Antibody concentration: 1/1,000
HA750126_5.jpg Fig5: Application: IF-tissue

Species: Human

Site: Stomach cancer

Sample: Paraffin-embedded section

Antibody concentration: 1/1,000 (alpha smooth muscle Actin, HA750126, red) and 1/100 (ALDH2, M1509-1, green)
HA750126_6.jpg Fig6: Immunocytochemistry analysis of HepG2 (positive) and A431 (negative) labeling alpha smooth muscle Actin with Rabbit anti-alpha smooth muscle Actin antibody (HA750126) at 1/2,000 dilution.

Cells were fixed in 100% precooled methanol for 5 minutes at room temperature, then blocked with 1% BSA in 10% negative goat serum for 1 hour at room temperature. Cells were then incubated with Rabbit anti-alpha smooth muscle Actin antibody (HA750126) at 1/2,000 dilution in 1% BSA in PBST overnight at 4 ℃. Goat Anti-Rabbit IgG H&L (iFluor™ 488, HA1121) was used as the secondary antibody at 1/1,000 dilution. PBS instead of the primary antibody was used as the secondary antibody only control. Nuclear DNA was labelled in blue with DAPI.
HA750126_7.jpg Fig7: Immunocytochemistry analysis of NIH/3T3 cells labeling alpha smooth muscle Actin with Rabbit anti-alpha smooth muscle Actin antibody (HA750126) at 1/2,500 dilution.

Cells were fixed in 4% paraformaldehyde for 20 minutes at room temperature, permeabilized with 0.1% Triton X-100 in PBS for 5 minutes at room temperature, then blocked with 1% BSA in 10% negative goat serum for 1 hour at room temperature. Cells were then incubated with Rabbit anti-alpha smooth muscle Actin antibody (HA750126) at 1/2,500 dilution in 1% BSA in PBST overnight at 4 ℃. Goat Anti-Rabbit IgG H&L (iFluor™ 488, HA1121) was used as the secondary antibody at 1/1,000 dilution. PBS instead of the primary antibody was used as the secondary antibody only control. Nuclear DNA was labelled in blue with DAPI. Beta tubulin (M1305-2, red) was stained at 1/100 dilution overnight at +4℃. Goat Anti-Mouse IgG H&L (iFluor™ 594, HA1126) was used as the secondary antibody at 1/1,000 dilution.
HA750126_8.jpg Fig8: Immunocytochemistry analysis of HUVEC cells labeling alpha smooth muscle Actin with Rabbit anti-alpha smooth muscle Actin antibody (HA750126) at 1/5,000 dilution.

Cells were fixed in 4% paraformaldehyde for 20 minutes at room temperature, permeabilized with 0.1% Triton X-100 in PBS for 5 minutes at room temperature, then blocked with 1% BSA in 10% negative goat serum for 1 hour at room temperature. Cells were then incubated with Rabbit anti-alpha smooth muscle Actin antibody (HA750126) at 1/5,000 dilution in 1% BSA in PBST overnight at 4 ℃. Goat Anti-Rabbit IgG H&L (iFluor™ 488, HA1121) was used as the secondary antibody at 1/1,000 dilution. PBS instead of the primary antibody was used as the secondary antibody only control. Nuclear DNA was labelled in blue with DAPI. Beta tubulin (M1305-2, red) was stained at 1/100 dilution overnight at +4℃. Goat Anti-Mouse IgG H&L (iFluor™ 594, HA1126) was used as the secondary antibody at 1/1,000 dilution.
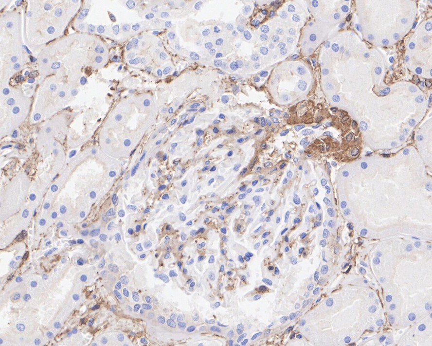
HA750126_9.jpg Fig9: Immunohistochemical analysis of paraffin-embedded human kidney tissue with Rabbit anti-alpha smooth muscle Actin antibody (HA750126) at 1/50,000 dilution.

The section was pre-treated using heat mediated antigen retrieval with Tris-EDTA buffer (pH 9.0) for 20 minutes. The tissues were blocked in 1% BSA for 20 minutes at room temperature, washed with ddH2O and PBS, and then probed with the primary antibody (HA750126) at 1/50,000 dilution for 1 hour at room temperature. The detection was performed using an HRP conjugated compact polymer system. DAB was used as the chromogen. Tissues were counterstained with hematoxylin and mounted with DPX.
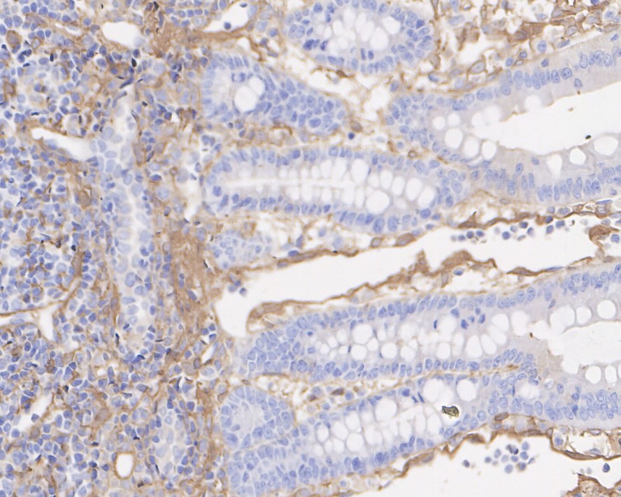
HA750126_10.jpg Fig10: Immunohistochemical analysis of paraffin-embedded human small intestine tissue with Rabbit anti-alpha smooth muscle Actin antibody (HA750126) at 1/50,000 dilution.

The section was pre-treated using heat mediated antigen retrieval with Tris-EDTA buffer (pH 9.0) for 20 minutes. The tissues were blocked in 1% BSA for 20 minutes at room temperature, washed with ddH2O and PBS, and then probed with the primary antibody (HA750126) at 1/50,000 dilution for 1 hour at room temperature. The detection was performed using an HRP conjugated compact polymer system. DAB was used as the chromogen. Tissues were counterstained with hematoxylin and mounted with DPX.
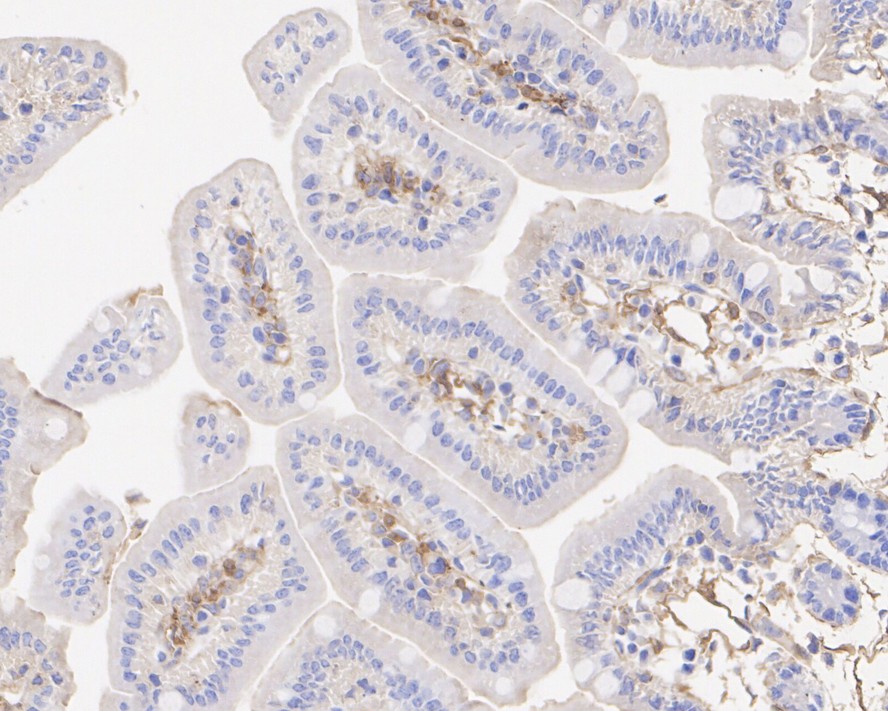
HA750126_11.jpg Fig11: Immunohistochemical analysis of paraffin-embedded mouse small intestine tissue with Rabbit anti-alpha smooth muscle Actin antibody (HA750126) at 1/50,000 dilution.

The section was pre-treated using heat mediated antigen retrieval with Tris-EDTA buffer (pH 9.0) for 20 minutes. The tissues were blocked in 1% BSA for 20 minutes at room temperature, washed with ddH2O and PBS, and then probed with the primary antibody (HA750126) at 1/50,000 dilution for 1 hour at room temperature. The detection was performed using an HRP conjugated compact polymer system. DAB was used as the chromogen. Tissues were counterstained with hematoxylin and mounted with DPX.
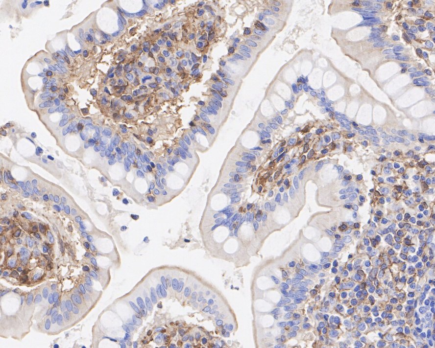
HA750126_12.jpg Fig12: Immunohistochemical analysis of paraffin-embedded rat small intestine tissue with Rabbit anti-alpha smooth muscle Actin antibody (HA750126) at 1/50,000 dilution.

The section was pre-treated using heat mediated antigen retrieval with Tris-EDTA buffer (pH 9.0) for 20 minutes. The tissues were blocked in 1% BSA for 20 minutes at room temperature, washed with ddH2O and PBS, and then probed with the primary antibody (HA750126) at 1/50,000 dilution for 1 hour at room temperature. The detection was performed using an HRP conjugated compact polymer system. DAB was used as the chromogen. Tissues were counterstained with hematoxylin and mounted with DPX.
HA750126_13.jpg Fig13: Application: IF-tissue

Species: Mouse

Site: Liver

Sample: Paraffin-embedded section

Antibody concentration: 1/1,000
HA750126_14.jpg Fig14: Flow cytometric analysis of HepG2 cells labeling alpha smooth muscle Actin.

Cells were fixed and permeabilized. Then stained with the primary antibody (HA750126, 1/2,000) (red) compared with Rabbit IgG Isotype Control (green). After incubation of the primary antibody at +4℃ for an hour, the cells were stained with a iFluor™ 488 conjugate-Goat anti-Rabbit IgG Secondary antibody (HA1121) at 1/1,000 dilution for 30 minutes at +4℃. Unlabelled sample was used as a control (cells without incubation with primary antibody; black).
Note: All products are “FOR RESEARCH USE ONLY AND ARE NOT INTENDED FOR DIAGNOSTIC OR THERAPEUTIC USE”.