Phospho-AKT (S473) Recombinant Rabbit Monoclonal Antibody [SY28-05]
cat.: HA750132
Product Type: Recombinant Rabbit monoclonal IgG, primary antibodies
Species reactivity: Human, Mouse, Rat, Dog
Applications: WB, IF-Cell, IF-Tissue, IHC-P, IHC-Fr
Clonality: Monoclonal
Clone number: SY28-05
Form: Liquid
Storage condition: Store at +4℃ after thawing. Aliquot store at -20℃ or -80℃. Avoid repeated freeze / thaw cycles.
Storage buffer: 1*PBS (pH7.4).
Concentration: 1ug/ul
Purification: Protein A affinity purified.
Molecular weight: Predicted band size: 56 kDa
Isotype: IgG
Immunogen: Synthetic phospho-peptide corresponding to residues surrounding Ser473 of human AKT1.
Positive control: MCF7 treated with 100nM Calyculin A for 30 minutes cell lysate, NIH/3T3 treated with 100ng/mL PDGF for 1 hour cell lysate, C6 treated with 100nM Calyculin A for 30 minutes cell lysate, HEK-293 cell lysate, HeLa cells treated with 100nM Calyculin A for 30 minutes, NIH/3T3 cells treated with 100ng/mL PDGF for 1 hour, C6 cells treated with 100nM Calyculin A for 30 minutes, human breast cancer tissue, mouse lung tissue, rat brain tissue, mouse hippocampus tissue, mouse cerebral cortex tissue, mouse brain tissue.
Subcellular location: Cytoplasm, Nucleus, Cell membrane.
Recommended Dilutions:
  WB
  IF-Cell
  IHC-P
  IF-Tissue
  IHC-Fr

1:5,000-1:10,000
1:100-1:1,000
1:200-1:1,000
1:200-1:500
1:100
Uniprot #: SwissProt: P31749 Human | P31751 Human | Q9Y243 Human | P31750 Mouse | P47196 Rat
Alternative names: AKT 1 AKT AKT1 AKT1_HUMAN MGC99656 PKB PKB-ALPHA PRKBA Protein Kinase B Alpha Protein kinase B Proto-oncogene c-Akt RAC Alpha RAC RAC-alpha serine/threonine-protein kinase RAC-PK-alpha
Images
HA750132_1.jpg Fig1: Western blot analysis of Phospho-AKT (S473) on different lysates with Rabbit anti-Phospho-AKT (S473) antibody (HA750132) at 1/5,000 dilution.

Lane 1: MCF7 cell lysate
Lane 2: MCF7 treated with 100nM Calyculin A for 30 minutes cell lysate
Lane 3: NIH/3T3 cell lysate
Lane 4: NIH/3T3 treated with 100ng/mL PDGF for 1 hour cell lysate

Lysates/proteins at 20 µg/Lane.

Predicted band size: 56 kDa
Observed band size: 56 kDa

Exposure time: 53 seconds; ECL: K1801;
4-20% SDS-PAGE gel.

Proteins were transferred to a PVDF membrane and blocked with 5% NFDM/TBST for 1 hour at room temperature. The primary antibody (HA750132) at 1/5,000 dilution was used in 5% NFDM/TBST at 4℃ overnight. Goat Anti-Rabbit IgG - HRP Secondary Antibody (HA1001) at 1/50,000 dilution was used for 1 hour at room temperature.
HA750132_2.jpg Fig2: Western blot analysis of Phospho-AKT (S473) on different lysates with Rabbit anti-Phospho-AKT (S473) antibody (HA750132) at 1/5,000 dilution.

Lane 1: C6 cell lysate
Lane 2: C6 treated with 100nM Calyculin A for 30 minutes cell lysate

Lysates/proteins at 15 µg/Lane.

Predicted band size: 56 kDa
Observed band size: 56 kDa

Exposure time: 3 minutes; ECL: K1801;
4-20% SDS-PAGE gel.

Proteins were transferred to a PVDF membrane and blocked with 5% NFDM/TBST for 1 hour at room temperature. The primary antibody (HA750132) at 1/5,000 dilution was used in 5% NFDM/TBST at room temperature for 2 hours. Goat Anti-Rabbit IgG - HRP Secondary Antibody (HA1001) at 1/50,000 dilution was used for 1 hour at room temperature.
HA750132_3.jpg Fig3: Western blot analysis of Phospho-AKT (S473) on different lysates with Rabbit anti-Phospho-AKT (S473) antibody (HA750132) at 1/5,000 dilution.

Lane 1: HEK-293 cell lysate
Lane 2: HEK-293 treated with 50μM LY294002 for 6 hours cell lysate

Lysates/proteins at 20 µg/Lane.

Predicted band size: 56 kDa
Observed band size: 56 kDa

Exposure time: 50 seconds; ECL: K1801;
4-20% SDS-PAGE gel.

Proteins were transferred to a PVDF membrane and blocked with 5% NFDM/TBST for 1 hour at room temperature. The primary antibody (HA750132) at 1/5,000 dilution was used in 5% NFDM/TBST at 4℃ overnight. Goat Anti-Rabbit IgG - HRP Secondary Antibody (HA1001) at 1/200,000 dilution was used for 1 hour at room temperature.
HA750132_4.jpg Fig4: Immunocytochemistry analysis of HeLa cells treated with or without 100nM Calyculin A for 30 minutes labeling Phospho-AKT (S473) with Rabbit anti-Phospho-AKT (S473) antibody (HA750132) at 1/200 dilution.

Cells were fixed in 4% paraformaldehyde for 20 minutes at room temperature, permeabilized with 0.1% Triton X-100 in PBS for 5 minutes at room temperature, then blocked with 1% BSA in 10% negative goat serum for 1 hour at room temperature. Cells were then incubated with Rabbit anti-Phospho-AKT (S473) antibody (HA750132) at 1/200 dilution in 1% BSA in PBST overnight at 4 ℃. Goat Anti-Rabbit IgG H&L (iFluor™ 488, HA1121) was used as the secondary antibody at 1/1,000 dilution. PBS instead of the primary antibody was used as the secondary antibody only control. Nuclear DNA was labelled in blue with DAPI.

Beta tubulin (M1305-2, red) was stained at 1/100 dilution overnight at +4℃. Goat Anti-Mouse IgG H&L (iFluor™ 594, HA1126) was used as the secondary antibody at 1/1,000 dilution.
HA750132_5.jpg Fig5: Immunocytochemistry analysis of NIH/3T3 cells treated with or without 100ng/mL PDGF for 1 hour labeling Phospho-AKT (S473) with Rabbit anti-Phospho-AKT (S473) antibody (HA750132) at 1/100 dilution.

Cells were fixed in 4% paraformaldehyde for 20 minutes at room temperature, permeabilized with 0.1% Triton X-100 in PBS for 5 minutes at room temperature, then blocked with 1% BSA in 10% negative goat serum for 1 hour at room temperature. Cells were then incubated with Rabbit anti-Phospho-AKT (S473) antibody (HA750132) at 1/100 dilution in 1% BSA in PBST overnight at 4 ℃. Goat Anti-Rabbit IgG H&L (iFluor™ 488, HA1121) was used as the secondary antibody at 1/1,000 dilution. PBS instead of the primary antibody was used as the secondary antibody only control. Nuclear DNA was labelled in blue with DAPI.

Beta tubulin (M1305-2, red) was stained at 1/100 dilution overnight at +4℃. Goat Anti-Mouse IgG H&L (iFluor™ 594, HA1126) was used as the secondary antibody at 1/1,000 dilution.
HA750132_6.jpg Fig6: Immunocytochemistry analysis of C6 cells treated with or without 100nM Calyculin A for 30 minutes labeling Phospho-AKT (S473) with Rabbit anti-Phospho-AKT (S473) antibody (HA750132) at 1/1,000 dilution.

Cells were fixed in 4% paraformaldehyde for 20 minutes at room temperature, permeabilized with 0.1% Triton X-100 in PBS for 5 minutes at room temperature, then blocked with 1% BSA in 10% negative goat serum for 1 hour at room temperature. Cells were then incubated with Rabbit anti-Phospho-AKT (S473) antibody (HA750132) at 1/1,000 dilution in 1% BSA in PBST overnight at 4 ℃. Goat Anti-Rabbit IgG H&L (iFluor™ 488, HA1121) was used as the secondary antibody at 1/1,000 dilution. PBS instead of the primary antibody was used as the secondary antibody only control. Nuclear DNA was labelled in blue with DAPI.

Beta tubulin (M1305-2, red) was stained at 1/100 dilution overnight at +4℃. Goat Anti-Mouse IgG H&L (iFluor™ 594, HA1126) was used as the secondary antibody at 1/1,000 dilution.
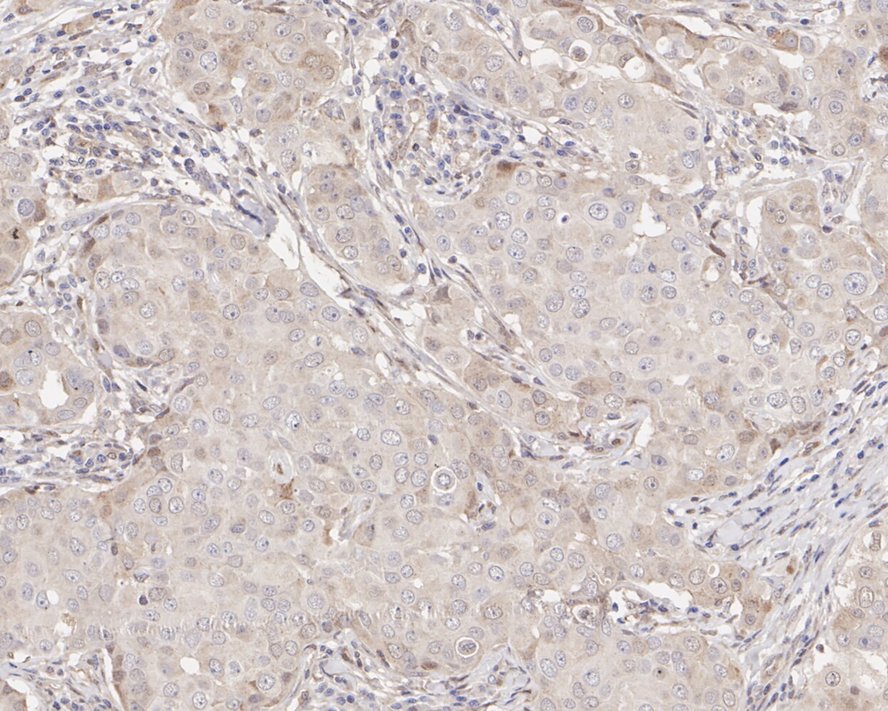
HA750132_7.jpg Fig7: Immunohistochemical analysis of paraffin-embedded human breast cancer tissue with Rabbit anti-Phospho-AKT (S473) antibody (HA750132) at 1/200 dilution.

The section was pre-treated using heat mediated antigen retrieval with sodium citrate buffer (pH 6.0) (high pressure) for 2 minutes. The tissues were blocked in 1% BSA for 20 minutes at room temperature, washed with ddH2O and PBS, and then probed with the primary antibody (HA750132) at 1/200 dilution for 1 hour at room temperature. The detection was performed using an HRP conjugated compact polymer system. DAB was used as the chromogen. Tissues were counterstained with hematoxylin and mounted with DPX.
HA750132_8.jpg Fig8: Immunohistochemical analysis of paraffin-embedded mouse lung tissue with Rabbit anti-Phospho-AKT (S473) antibody (HA750132) at 1/1,000 dilution.

The section was pre-treated using heat mediated antigen retrieval with Tris-EDTA buffer (pH 9.0) for 20 minutes. The tissues were blocked in 1% BSA for 20 minutes at room temperature, washed with ddH2O and PBS, and then probed with the primary antibody (HA750132) at 1/1,000 dilution for 1 hour at room temperature. The detection was performed using an HRP conjugated compact polymer system. DAB was used as the chromogen. Tissues were counterstained with hematoxylin and mounted with DPX.
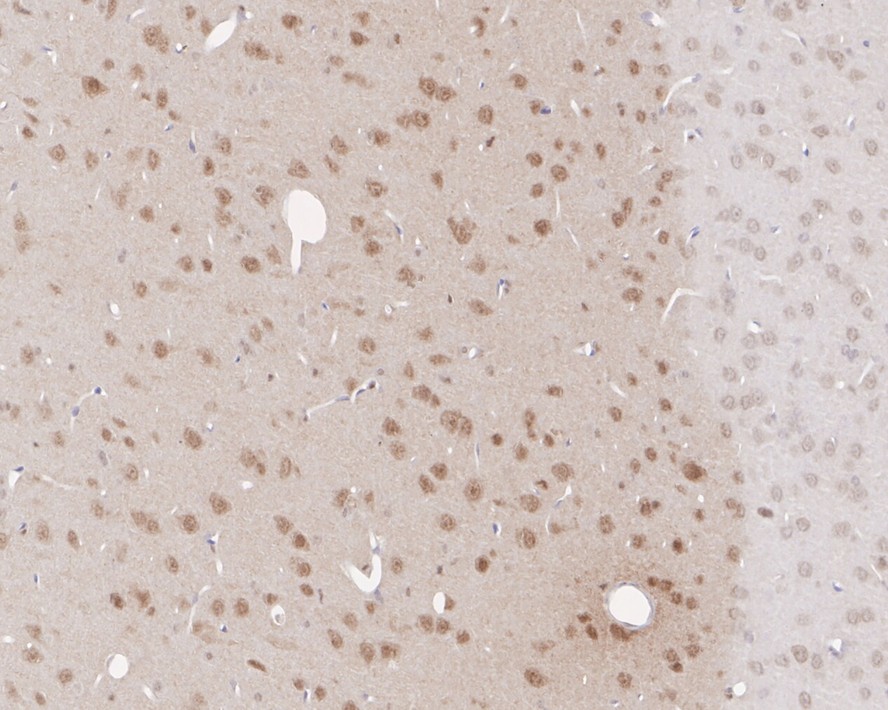
HA750132_9.jpg Fig9: Immunohistochemical analysis of paraffin-embedded rat brain tissue with Rabbit anti-Phospho-AKT (S473) antibody (HA750132) at 1/1,000 dilution.

The section was pre-treated using heat mediated antigen retrieval with sodium citrate buffer (pH 6.0) (high pressure) for 2 minutes. The tissues were blocked in 1% BSA for 20 minutes at room temperature, washed with ddH2O and PBS, and then probed with the primary antibody (HA750132) at 1/1,000 dilution for 1 hour at room temperature. The detection was performed using an HRP conjugated compact polymer system. DAB was used as the chromogen. Tissues were counterstained with hematoxylin and mounted with DPX.
HA750132_10.jpg Fig10: Application: IHC-Fr

Species: Mouse

Site: Cerebral cortex

Sample: Frozen section

Antibody concentration: 1/200

Antigen retrieval: Not required
HA750132_11.jpg Fig11: Application: IF-tissue

Species: Human

Site: Breast cancer

Sample: Paraffin-embedded section

Antibody concentration: 1/200
HA750132_12.jpg Fig12: Application: IF-tissue

Species: Mouse

Site: Lung

Sample: Paraffin-embedded section

Antibody concentration: 1/200
HA750132_13.jpg Fig13: Application: IF-tissue

Species: Mouse

Site: Cerebral cortex

Sample: Paraffin-embedded section

Antibody concentration: 1/200
Note: All products are “FOR RESEARCH USE ONLY AND ARE NOT INTENDED FOR DIAGNOSTIC OR THERAPEUTIC USE”.