E-Cadherin Recombinant Rabbit Monoclonal Antibody [SY0287]
cat.: HA750133
Product Type: Recombinant Rabbit monoclonal IgG, primary antibodies
Species reactivity: Human, Cynomolgus monkey
Applications: WB, IF-Cell, IF-Tissue, IHC-P, FC, IP
Clonality: Monoclonal
Clone number: SY0287
Form: Liquid
Storage condition: Store at +4℃ after thawing. Aliquot store at -20℃ or -80℃. Avoid repeated freeze / thaw cycles.
Storage buffer: 1*PBS (pH7.4).
Concentration: 1ug/ul
Purification: Protein A affinity purified.
Molecular weight: Predicted band size: 97 kDa
Isotype: IgG
Immunogen: Synthetic peptide within human E-Cadherin aa 580-630 (Extracellular).
Positive control: MCF7 cell lysate, HT-29 cell lysate, HCT 116 cell lysate, A431 cell lysate, Caco-2 cell lysate, HT-29, human lung carcinoma tissue, human colon tissue, human breast cancer tissue, human tonsils tissue.
Subcellular location: Cell junction, Cell membrane, Endosome, Golgi apparatus.
Recommended Dilutions:
  WB
  IF-Cell
  IF-Tissue
  IHC-P
  FC
  IP

1:5,000
1:2,000
1:200
1:200
1:1,000
Use at an assay dependent concentration.
Uniprot #: SwissProt: P12830 Human
Alternative names: Arc 1 CADH1_HUMAN Cadherin 1 cadherin 1 type 1 E-cadherin Cadherin1 CAM 120/80 CD 324 CD324 CD324 antigen cdh1 CDHE E-Cad/CTF3 E Cadherin E-cadherin ECAD Epithelial cadherin epithelial calcium dependant adhesion protein LCAM Liver cell adhesion molecule UVO Uvomorulin
Images
HA750133_1.jpg Fig1: Immunocytochemistry analysis of HT-29 (positive) and MDA-MB-231 (negative) cells labeling E-Cadherin with Rabbit anti-E-Cadherin antibody (HA750133) at 1/2,000 dilution.

Cells were fixed in 4% paraformaldehyde for 20 minutes at room temperature, permeabilized with 0.1% Triton X-100 in PBS for 5 minutes at room temperature, then blocked with 1% BSA in 10% negative goat serum for 1 hour at room temperature. Cells were then incubated with Rabbit anti-E-Cadherin antibody (HA750133) at 1/2,000 dilution in 1% BSA in PBST overnight at 4 ℃. Goat Anti-Rabbit IgG H&L (iFluor™ 488, HA1121) was used as the secondary antibody at 1/1,000 dilution. PBS instead of the primary antibody was used as the secondary antibody only control. Nuclear DNA was labelled in blue with DAPI.

Beta tubulin (M1305-2, red) was stained at 1/100 dilution overnight at +4℃. Goat Anti-Mouse IgG H&L (iFluor™ 594, HA1126) was used as the secondary antibody at 1/1,000 dilution.
HA750133_2.jpg Fig2: Western blot analysis of E-Cadherin on different lysates with Rabbit anti-E-Cadherin antibody (HA750133) at 1/5,000 dilution and competitor's antibody at 1/1,000 dilution.

Lane 1: MCF7 cell lysate
Lane 2: MDA-MB-231 cell lysate (negative)
Lane 3: HT-29 cell lysate
Lane 4: HCT 116 cell lysate
Lane 5: A431 cell lysate
Lane 6: Caco-2 cell lysate

Lysates/proteins at 20 µg/Lane.

Predicted band size: 97 kDa
Observed band size: 80~120 kDa

Exposure time: 43 seconds; ECL: K1801;

4-20% SDS-PAGE gel.

Proteins were transferred to a PVDF membrane and blocked with 5% NFDM/TBST for 1 hour at room temperature. The primary antibody (HA750133) at 1/5,000 dilution and competitor's antibody at 1/1,000 dilution were used in 5% NFDM/TBST at 4℃ overnight. Goat Anti-Rabbit IgG - HRP Secondary Antibody (HA1001) at 1/50,000 dilution was used for 1 hour at room temperature.
HA750133_3.jpg Fig3: Western blot analysis of E-Cadherin with anti-E-Cadherin antibody (HA750133) at 1/5,000 dilution.
Lane 1: Wild-type A431 whole cell lysate (10 µg).
Lane 2/3: E-Cadherin knockdown A431 whole cell lysate (10 µg).

Proteins were transferred to a PVDF membrane and blocked with 5% NFDM in TBST for 1 hour at room temperature. The primary antibody (HA750133, 1/5,000) was used in 5% BSA at room temperature for 2 hours. Goat Anti-Rabbit IgG-HRP Secondary Antibody (HA1001) at 1/100,000 dilution was used for 1 hour at room temperature.
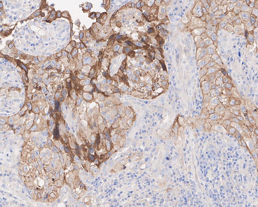
HA750133_4.jpg Fig4: Immunohistochemical analysis of paraffin-embedded human lung carcinoma tissue with Rabbit anti-E-Cadherin antibody (HA750133) at 1/200 dilution.

The section was pre-treated using heat mediated antigen retrieval with Tris-EDTA buffer (pH 9.0) for 20 minutes. The tissues were blocked in 1% BSA for 20 minutes at room temperature, washed with ddH2O and PBS, and then probed with the primary antibody (HA750133) at 1/200 dilution for 1 hour at room temperature. The detection was performed using an HRP conjugated compact polymer system. DAB was used as the chromogen. Tissues were counterstained with hematoxylin and mounted with DPX.
HA750133_5.jpg Fig5: Application: IF-tissue

Species: Human

Site: Colon

Sample: Paraffin-embedded section

Antibody concentration: 1/200
HA750133_6.jpg Fig6: Application: IF-tissue

Species: Human

Site: Breast cancer

Sample: Paraffin-embedded section

Antibody concentration: 1/200
HA750133_7.jpg Fig7: Flow cytometric analysis of HT-29 (positive, red) and MDA-MB-231 (negative, green) cells labeling E-Cadherin.

Cells were fixed and permeabilized. Then stained with the primary antibody (HA750133, red) at 1/1,000 dilution and competitor's antibody (red) at 1/400 dilution, compared with Rabbit IgG Isotype Control (HT-29 black, MDA-MB-231 light green). After incubation of the primary antibody at +4℃ for an hour, the cells were stained with a iFluor™ 488 conjugate-Goat anti-Rabbit IgG Secondary antibody (HA1121) at 1/1,000 dilution for 30 minutes at +4℃.
Note: All products are “FOR RESEARCH USE ONLY AND ARE NOT INTENDED FOR DIAGNOSTIC OR THERAPEUTIC USE”.