HDAC2 Recombinant Rabbit Monoclonal Antibody [SY29-02]
cat.: HA750134
Product Type: Recombinant Rabbit monoclonal IgG, primary antibodies
Species reactivity: Human, Mouse, Rat
Applications: WB, IF-Cell, IF-Tissue, IHC-P, IP, FC
Clonality: Monoclonal
Clone number: SY29-02
Form: Liquid
Storage condition: Store at +4℃ after thawing. Aliquot store at -20℃ or -80℃. Avoid repeated freeze / thaw cycles.
Storage buffer: 1*PBS (pH7.4).
Concentration: 1ug/ul
Purification: Protein A affinity purified.
Molecular weight: Predicted band size: 55 kDa
Isotype: IgG
Immunogen: Synthetic peptide within Human HDAC2 aa 439-488 / 488.
Positive control: HeLa cell lysate, HEK-293 cell lysate, MCF7 cell lysate, Jurkat cell lysate, L-929 cell lysate, NIH/3T3 cell lysate, C6 cell lysate, HeLa, HEK-293, NIH/3T3, human tonsil tissue, mouse spinal cord tissue, rat spinal cord tissue, C6.
Subcellular location: Nucleus, Cytoplasm.
Recommended Dilutions:
  WB
  IF-Cell
  IF-Tissue
  IHC-P
  FC
  IP

1:20,000-1:50,000
1:100-1:1,000
1:200-1:1,000
1:6,000
1:1,000
1-2μg/sample
Uniprot #: SwissProt: Q92769 Human | P70288 Mouse | F7ENH8 Rat
Alternative names: D10Wsu179e HD 2 HD2 HDAC 2 Hdac2 HDAC2_HUMAN Histone deacetylase 2 (HD2) Histone deacetylase 2 OTTHUMP00000017046 OTTHUMP00000227077 OTTHUMP00000227078 RPD3 transcriptional regulator homolog RPD3 YAF1 YY1 associated factor 1 YY1 transcription factor binding protein Yy1bp
Images
HA750134_1.jpg Fig1: Western blot analysis of HDAC2 on different lysates with Rabbit anti-HDAC2 antibody (HA750134) at 1/50,000 dilution and competitor's antibody at 1/1,000 dilution.

Lane 1: HeLa cell lysate
Lane 2: HEK-293 cell lysate
Lane 3: MCF7 cell lysate
Lane 4: Jurkat cell lysate
Lane 5: L-929 cell lysate
Lane 6: NIH/3T3 cell lysate

Lysates/proteins at 15 µg/Lane.

Predicted band size: 55 kDa
Observed band size: 55 kDa

Exposure time: Lane 1-6 (left):30 seconds; Lane 1-6 (right): 1 minute 20 seconds; ECL: K1801;
4-20% SDS-PAGE gel.

Proteins were transferred to a PVDF membrane and blocked with 5% NFDM/TBST for 1 hour at room temperature. The primary antibody (HA750134) at 1/50,000 dilution and competitor's antibody at 1/1,000 dilution were used in 5% NFDM/TBST at 4℃ overnight. Goat Anti-Rabbit IgG - HRP Secondary Antibody (HA1001) at 1/50,000 dilution was used for 1 hour at room temperature.
HA750134_2.jpg Fig2: Western blot analysis of HDAC2 on different lysates with Rabbit anti-HDAC2 antibody (HA750134) at 1/20,000 dilution.

Lane 1: HEK-293 cell lysate (20 µg/Lane)
Lane 2: HeLa cell lysate (20 µg/Lane)
Lane 3: NIH/3T3 cell lysate (20 µg/Lane)
Lane 4: C6 cell lysate (20 µg/Lane)

Predicted band size: 55 kDa
Observed band size: 55 kDa

Exposure time: 10 seconds; ECL: K1801;
4-20% SDS-PAGE gel.

Proteins were transferred to a PVDF membrane and blocked with 5% NFDM/TBST for 1 hour at room temperature. The primary antibody (HA750134) at 1/20,000 dilution was used in 5% NFDM/TBST at 4℃ overnight. Goat Anti-Rabbit IgG - HRP Secondary Antibody (HA1001) at 1/50,000 dilution was used for 1 hour at room temperature.
HA750134_3.jpg Fig3: Immunocytochemistry analysis of HeLa cells labeling HDAC2 with Rabbit anti-HDAC2 antibody (HA750134) at 1/1,000 dilution.

Cells were fixed in 4% paraformaldehyde for 20 minutes at room temperature, permeabilized with 0.1% Triton X-100 in PBS for 5 minutes at room temperature, then blocked with 1% BSA in 10% negative goat serum for 1 hour at room temperature. Cells were then incubated with Rabbit anti-HDAC2 antibody (HA750134) at 1/1,000 dilution in 1% BSA in PBST overnight at 4 ℃. Goat Anti-Rabbit IgG H&L (iFluor™ 488, HA1121) was used as the secondary antibody at 1/1,000 dilution. PBS instead of the primary antibody was used as the secondary antibody only control. Nuclear DNA was labelled in blue with DAPI.

Beta tubulin (M1305-2, red) was stained at 1/100 dilution overnight at +4℃. Goat Anti-Mouse IgG H&L (iFluor™ 594, HA1126) was used as the secondary antibody at 1/1,000 dilution.
HA750134_4.jpg Fig4: Immunocytochemistry analysis of HEK-293 cells labeling HDAC2 with Rabbit anti-HDAC2 antibody (HA750134) at 1/100 dilution.

Cells were fixed in 4% paraformaldehyde for 20 minutes at room temperature, permeabilized with 0.1% Triton X-100 in PBS for 5 minutes at room temperature, then blocked with 1% BSA in 10% negative goat serum for 1 hour at room temperature. Cells were then incubated with Rabbit anti-HDAC2 antibody (HA750134) at 1/100 dilution in 1% BSA in PBST overnight at 4 ℃. Goat Anti-Rabbit IgG H&L (iFluor™ 488, HA1121) was used as the secondary antibody at 1/1,000 dilution. PBS instead of the primary antibody was used as the secondary antibody only control. Nuclear DNA was labelled in blue with DAPI.

Beta tubulin (M1305-2, red) was stained at 1/100 dilution overnight at +4℃. Goat Anti-Mouse IgG H&L (iFluor™ 594, HA1126) was used as the secondary antibody at 1/1,000 dilution.
HA750134_5.jpg Fig5: Immunocytochemistry analysis of NIH/3T3 cells labeling HDAC2 with Rabbit anti-HDAC2 antibody (HA750134) at 1/100 dilution.

Cells were fixed in 4% paraformaldehyde for 15 minutes at room temperature, permeabilized with 0.1% Triton X-100 in PBS for 15 minutes at room temperature, then blocked with 1% BSA in 10% negative goat serum for 1 hour at room temperature. Cells were then incubated with Rabbit anti-HDAC2 antibody (HA750134) at 1/100 dilution in 1% BSA in PBST overnight at 4 ℃. Goat Anti-Rabbit IgG H&L (iFluor™ 488, HA1121) was used as the secondary antibody at 1/1,000 dilution. PBS instead of the primary antibody was used as the secondary antibody only control. Nuclear DNA was labelled in blue with DAPI.

Beta tubulin (HA601187, red) was stained at 1/100 dilution overnight at +4℃. Goat Anti-Mouse IgG H&L (iFluor™ 594, HA1126) was used as the secondary antibody at 1/1,000 dilution.
HA750134_6.jpg Fig6: Immunohistochemical analysis of paraffin-embedded human tonsil tissue with Rabbit anti-HDAC2 antibody (HA750134) at 1/6,000 dilution.

The section was pre-treated using heat mediated antigen retrieval with sodium citrate buffer (pH 6.0) (high pressure) for 2 minutes. The tissues were blocked in 1% BSA for 20 minutes at room temperature, washed with ddH2O and PBS, and then probed with the primary antibody (HA750134) at 1/6,000 dilution for 1 hour at room temperature. The detection was performed using an HRP conjugated compact polymer system. DAB was used as the chromogen. Tissues were counterstained with hematoxylin and mounted with DPX.
HA750134_7.jpg Fig7: Immunohistochemical analysis of paraffin-embedded mouse spinal cord tissue with Rabbit anti-HDAC2 antibody (HA750134) at 1/6,000 dilution.

The section was pre-treated using heat mediated antigen retrieval with sodium citrate buffer (pH 6.0) (high pressure) for 2 minutes. The tissues were blocked in 1% BSA for 20 minutes at room temperature, washed with ddH2O and PBS, and then probed with the primary antibody (HA750134) at 1/6,000 dilution for 1 hour at room temperature. The detection was performed using an HRP conjugated compact polymer system. DAB was used as the chromogen. Tissues were counterstained with hematoxylin and mounted with DPX.
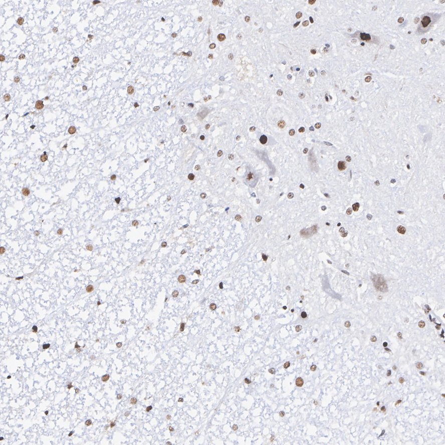
HA750134_8.jpg Fig8: Immunohistochemical analysis of paraffin-embedded rat spinal cord tissue with Rabbit anti-HDAC2 antibody (HA750134) at 1/6,000 dilution.

The section was pre-treated using heat mediated antigen retrieval with sodium citrate buffer (pH 6.0) (high pressure) for 2 minutes. The tissues were blocked in 1% BSA for 20 minutes at room temperature, washed with ddH2O and PBS, and then probed with the primary antibody (HA750134) at 1/6,000 dilution for 1 hour at room temperature. The detection was performed using an HRP conjugated compact polymer system. DAB was used as the chromogen. Tissues were counterstained with hematoxylin and mounted with DPX.
HA750134_9.jpg Fig9: Flow cytometric analysis of HeLa cells labeling HDAC2.

Cells were fixed and permeabilized. Then stained with the primary antibody (HA750134, 1/1,000) (red) compared with Rabbit IgG Isotype Control (green). After incubation of the primary antibody at +4℃ for an hour, the cells were stained with a iFluor™ 488 conjugate-Goat anti-Rabbit IgG Secondary antibody (HA1121) at 1/1,000 dilution for 30 minutes at +4℃. Unlabelled sample was used as a control (cells without incubation with primary antibody; black).
HA750134_10.jpg Fig10: Flow cytometric analysis of NIH/3T3 cells labeling HDAC2.

Cells were fixed and permeabilized. Then stained with the primary antibody (HA750134, 1/1,000) (red) compared with Rabbit IgG Isotype Control (green). After incubation of the primary antibody at +4℃ for an hour, the cells were stained with a iFluor™ 488 conjugate-Goat anti-Rabbit IgG Secondary antibody (HA1121) at 1/1,000 dilution for 30 minutes at +4℃. Unlabelled sample was used as a control (cells without incubation with primary antibody; black).
HA750134_11.jpg Fig11: Flow cytometric analysis of C6 cells labeling HDAC2.

Cells were fixed and permeabilized. Then stained with the primary antibody (HA750134, 1/1,000) (red) compared with Rabbit IgG Isotype Control (green). After incubation of the primary antibody at +4℃ for an hour, the cells were stained with a iFluor™ 488 conjugate-Goat anti-Rabbit IgG Secondary antibody (HA1121) at 1/1,000 dilution for 30 minutes at +4℃. Unlabelled sample was used as a control (cells without incubation with primary antibody; black).
HA750134_12.jpg Fig12: All lanes: Western blot analysis of HDAC2 with anti-HDAC2 antibody [SY29-02] (HA750134) at 1:1,000 dilution.
Lane 1: Wild-type HepG2 whole cell lysate (20 µg).
Lane 2: HDAC2 knockout HepG2 whole cell lysate (20 µg).

HA750134 was shown to specifically react with HDAC2 in wild-type HepG2 cells. No band was observed when HDAC2 knockout samples were tested. Wild-type and HDAC2 knockout samples were subjected to SDS-PAGE. Proteins were transferred to a PVDF membrane and blocked with 5% NFDM in TBST for 1 hour at room temperature. The primary Anti-HDAC1 antibody (HA750134, 1/1,000) and Anti-HSP90 antibody (ET1605-56, 1/10,000) were used in 5% BSA at room temperature for 2 hours. Goat Anti-Rabbit IgG H&L (HRP) Secondary Antibody (HA1001) at 1:200,000 dilution was used for 1 hour at room temperature.
HA750134_13.jpg Fig13: HDAC2 was immunoprecipitated from 0.2 mg NIH/3T3 cell lysate with HA750134 at 2 µg/10 µl beads. Western blot was performed from the immunoprecipitate using HA750134 at 1/1,000 dilution. HRP Conjugated Anti-Rabbit IgG for IP Nano-secondary antibody at 1/5,000 dilution was used for 1 hour at room temperature.

Lane 1: NIH/3T3 cell lysate (input)
Lane 2: HA750134 IP in NIH/3T3 cell lysate
Lane 3: Rabbit IgG instead of HA750134 in NIH/3T3 cell lysate

Blocking/Dilution buffer: primary antibody dilution (K1803)
Exposure time: 7 seconds; ECL: K1801
Note: All products are “FOR RESEARCH USE ONLY AND ARE NOT INTENDED FOR DIAGNOSTIC OR THERAPEUTIC USE”.