Rb Recombinant Rabbit Monoclonal Antibody [SY63-03]
cat.: HA750135
Product Type: Recombinant Rabbit monoclonal IgG, primary antibodies
Species reactivity: Human, Mouse
Applications: WB, IF-Cell, IF-Tissue, IHC-P, IP
Clonality: Monoclonal
Clone number: SY63-03
Form: Liquid
Storage condition: Store at +4℃ after thawing. Aliquot store at -20℃ or -80℃. Avoid repeated freeze / thaw cycles.
Storage buffer: 1*PBS (pH7.4).
Concentration: 1ug/ul
Purification: Protein A affinity purified.
Molecular weight: Predicted band size: 106 kDa
Isotype: IgG
Immunogen: Recombinant protein within mouse Rb aa 682-921 / 921.
Positive control: Mouse lung tissue lysates, SW480, human spleen tissue, human breast carcinoma tissue, human colon tissue, human colon carcinoma tissue.
Subcellular location: Nucleus.
Recommended Dilutions:
  WB
  IF-Cell
  IF-Tissue
  IHC-P
  IP

1:500-1:1,000
1:50-1:200
1:50-1:200
1:50-1:2,000
Use at an assay dependent concentration.
Uniprot #: SwissProt: P06400 Human | P13405 Mouse
Alternative names: Exon 17 tumor GOS561 substitution mutation causes premature stop GOS563 exon 17 substitution mutation causes premature stop OSRC Osteosarcoma p105-Rb P105RB PP105 pp110 PPP1R130 pRb Prepro retinoblastoma associated protein Protein phosphatase 1 regulatory subunit 130 Rb RB transcriptional corepressor 1 RB_HUMAN RB1 RB1 gene Retinoblastoma 1 Retinoblastoma suspectibility protein Retinoblastoma-associated protein
Images
HA750135_1.jpg Fig1: Western blot analysis of Rb on mouse lung tissue lysates with Rabbit anti-Rb antibody (HA750135) at 1/500 dilution.

Lysates/proteins at 10 µg/Lane.

Predicted band size: 106 kDa
Observed band size: 106 kDa

Exposure time: 2 minutes;

8% SDS-PAGE gel.

Proteins were transferred to a PVDF membrane and blocked with 5% NFDM/TBST for 1 hour at room temperature. The primary antibody (HA750135) at 1/500 dilution was used in 5% NFDM/TBST at room temperature for 2 hours. Goat Anti-Rabbit IgG - HRP Secondary Antibody (HA1001) at 1:300,000 dilution was used for 1 hour at room temperature.
HA750135_2.jpg Fig2: ICC staining of Rb in SW480 cells (green). Formalin fixed cells were permeabilized with 0.1% Triton X-100 in TBS for 10 minutes at room temperature and blocked with 1% Blocker BSA for 15 minutes at room temperature. Cells were probed with the primary antibody (HA750135, 1/50) for 1 hour at room temperature, washed with PBS. Alexa Fluor®488 Goat anti-Rabbit IgG was used as the secondary antibody at 1/1,000 dilution. The nuclear counter stain is DAPI (blue).
HA750135_3.jpg Fig3: Immunohistochemical analysis of paraffin-embedded human spleen tissue with Rabbit anti-Rb antibody (HA750135) at 1/200 dilution.

The section was pre-treated using heat mediated antigen retrieval with sodium citrate buffer (pH 6.0) (high pressure) for 2 minutes. The tissues were blocked in 1% BSA for 20 minutes at room temperature, washed with ddH2O and PBS, and then probed with the primary antibody (HA750135) at 1/200 dilution for 1 hour at room temperature. The detection was performed using an HRP conjugated compact polymer system. DAB was used as the chromogen. Tissues were counterstained with hematoxylin and mounted with DPX.
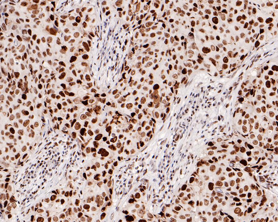
HA750135_4.jpg Fig4: Immunohistochemical analysis of paraffin-embedded human breast carcinoma tissue with Rabbit anti-Rb antibody (HA750135) at 1/2,000 dilution.

The section was pre-treated using heat mediated antigen retrieval with Tris-EDTA buffer (pH 9.0) for 20 minutes. The tissues were blocked in 1% BSA for 20 minutes at room temperature, washed with ddH2O and PBS, and then probed with the primary antibody (HA750135) at 1/2,000 dilution for 1 hour at room temperature. The detection was performed using an HRP conjugated compact polymer system. DAB was used as the chromogen. Tissues were counterstained with hematoxylin and mounted with DPX.
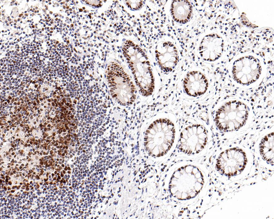
HA750135_5.jpg Fig5: Immunohistochemical analysis of paraffin-embedded human colon tissue with Rabbit anti-Rb antibody (HA750135) at 1/800 dilution.

The section was pre-treated using heat mediated antigen retrieval with sodium citrate buffer (pH 6.0) (high pressure) for 2 minutes. The tissues were blocked in 1% BSA for 20 minutes at room temperature, washed with ddH2O and PBS, and then probed with the primary antibody (HA750135) at 1/800 dilution for 1 hour at room temperature. The detection was performed using an HRP conjugated compact polymer system. DAB was used as the chromogen. Tissues were counterstained with hematoxylin and mounted with DPX.
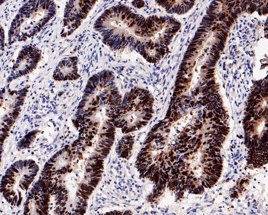
HA750135_6.jpg Fig6: Immunohistochemical analysis of paraffin-embedded human colon carcinoma tissue with Rabbit anti-Rb antibody (HA750135) at 1/800 dilution.

The section was pre-treated using heat mediated antigen retrieval with sodium citrate buffer (pH 6.0) (high pressure) for 2 minutes. The tissues were blocked in 1% BSA for 20 minutes at room temperature, washed with ddH2O and PBS, and then probed with the primary antibody (HA750135) at 1/800 dilution for 1 hour at room temperature. The detection was performed using an HRP conjugated compact polymer system. DAB was used as the chromogen. Tissues were counterstained with hematoxylin and mounted with DPX.
HA750135_7.jpg Fig7: Immunohistochemical analysis of paraffin-embedded rat colon tissue with Rabbit anti-Rb antibody (HA750135) at 1/1,000 dilution.

The section was pre-treated using heat mediated antigen retrieval with sodium citrate buffer (pH 6.0) (high pressure) for 2 minutes. The tissues were blocked in 1% BSA for 20 minutes at room temperature, washed with ddH2O and PBS, and then probed with the primary antibody (HA750135) at 1/1,000 dilution for 1 hour at room temperature. The detection was performed using an HRP conjugated compact polymer system. DAB was used as the chromogen. Tissues were counterstained with hematoxylin and mounted with DPX.
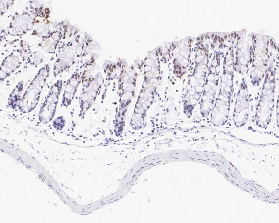
HA750135_8.jpg Fig8: Immunohistochemical analysis of paraffin-embedded mouse colon tissue with Rabbit anti-Rb antibody (HA750135) at 1/1,000 dilution.

The section was pre-treated using heat mediated antigen retrieval with sodium citrate buffer (pH 6.0) (high pressure) for 2 minutes. The tissues were blocked in 1% BSA for 20 minutes at room temperature, washed with ddH2O and PBS, and then probed with the primary antibody (HA750135) at 1/1,000 dilution for 1 hour at room temperature. The detection was performed using an HRP conjugated compact polymer system. DAB was used as the chromogen. Tissues were counterstained with hematoxylin and mounted with DPX.
Note: All products are “FOR RESEARCH USE ONLY AND ARE NOT INTENDED FOR DIAGNOSTIC OR THERAPEUTIC USE”.