Bim Recombinant Rabbit Monoclonal Antibody [SU0318]
cat.: HA750137
Product Type: Recombinant Rabbit monoclonal IgG, primary antibodies
Species reactivity: Human, Mouse
Applications: WB, IF-Cell, IHC-P, IP, FC
Clonality: Monoclonal
Clone number: SU0318
Form: Liquid
Storage condition: Store at +4℃ after thawing. Aliquot store at -20℃ or -80℃. Avoid repeated freeze / thaw cycles.
Storage buffer: 1*PBS (pH7.4).
Concentration: 1ug/ul
Purification: Protein A affinity purified.
Molecular weight: Predicted band size: 22 kDa
Isotype: IgG
Immunogen: Synthetic peptide within human Bim aa 1-40.
Positive control: Raji cell lysate, HeLa cell lysate, MCF7 cell lysate, RAW264.7 cell lysate, Hela, A431, HepG2, human breast carcinoma tissue, RAW264.7, MCF7.
Subcellular location: Endomembrane system, Mitochondrion.
Recommended Dilutions:
  WB
  IF-Cell
  IHC-P
  IP
  FC

1:5,000
1:50-1:200
1:50-1:200
Use at an assay dependent concentration.
1:1,000
Uniprot #: SwissProt: O43521 Human | O54918 Mouse
Alternative names: BCL2 like 11 B2L11_HUMAN BAM Bcl 2 interacting protein Bim Bcl 2 related ovarian death agonist Bcl-2-like protein 11 BCL2 interacting mediator of cell death BCL2 like 11 (apoptosis facilitator) BCL2 like protein 11 Bcl2-interacting mediator of cell death Bcl2-L-11 Bcl2l11 BIM alpha6 BIM BIM beta6 BIM beta7 BimEL BimL BOD
Images
HA750137_1.jpg Fig1: Western blot analysis of Bim on different lysates with Rabbit anti-Bim antibody (HA750137) at 1/5,000 dilution.

Lane 1: Raji cell lysate
Lane 2: HeLa cell lysate
Lane 3: MCF7 cell lysate
Lane 4: RAW264.7 cell lysate

Lysates/proteins at 15 µg/Lane.

Predicted band size: 22 kDa
Observed band size: 25 kDa

Exposure time: 3 minutes 49 seconds;

4-20% SDS-PAGE gel.

Proteins were transferred to a PVDF membrane and blocked with 5% NFDM/TBST for 1 hour at room temperature. The primary antibody (HA750137) at 1/5,000 dilution was used in 5% NFDM/TBST at 4℃ overnight. Goat Anti-Rabbit IgG - HRP Secondary Antibody (HA1001) at 1/50,000 dilution was used for 1 hour at room temperature.
HA750137_2.jpg Fig2: ICC staining of Bim in Hela cells (green). Formalin fixed cells were permeabilized with 0.1% Triton X-100 in TBS for 10 minutes at room temperature and blocked with 1% Blocker BSA for 15 minutes at room temperature. Cells were probed with the primary antibody (HA750137, 1/50) for 1 hour at room temperature, washed with PBS. Alexa Fluor®488 Goat anti-Rabbit IgG was used as the secondary antibody at 1/1,000 dilution. The nuclear counter stain is DAPI (blue).
HA750137_3.jpg Fig3: ICC staining of Bim in A431 cells (green). Formalin fixed cells were permeabilized with 0.1% Triton X-100 in TBS for 10 minutes at room temperature and blocked with 1% Blocker BSA for 15 minutes at room temperature. Cells were probed with the primary antibody (HA750137, 1/50) for 1 hour at room temperature, washed with PBS. Alexa Fluor®488 Goat anti-Rabbit IgG was used as the secondary antibody at 1/1,000 dilution. The nuclear counter stain is DAPI (blue).
HA750137_4.jpg Fig4: ICC staining of Bim in HepG2 cells (green). Formalin fixed cells were permeabilized with 0.1% Triton X-100 in TBS for 10 minutes at room temperature and blocked with 1% Blocker BSA for 15 minutes at room temperature. Cells were probed with the primary antibody (HA750137, 1/50) for 1 hour at room temperature, washed with PBS. Alexa Fluor®488 Goat anti-Rabbit IgG was used as the secondary antibody at 1/1,000 dilution. The nuclear counter stain is DAPI (blue).
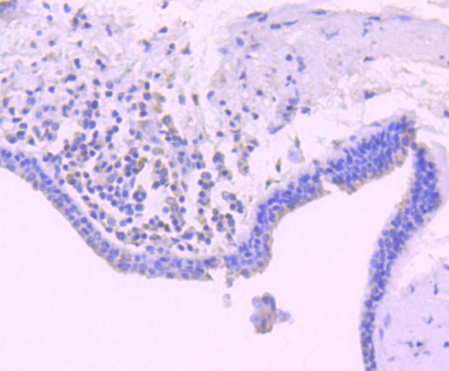
HA750137_5.jpg Fig5: Immunohistochemical analysis of paraffin-embedded human breast carcinoma tissue using anti-Bim antibody. The section was pre-treated using heat mediated antigen retrieval with Tris-EDTA buffer (pH 8.0-8.4) for 20 minutes.The tissues were blocked in 5% BSA for 30 minutes at room temperature, washed with ddH2O and PBS, and then probed with the primary antibody (HA750137, 1/50) for 30 minutes at room temperature. The detection was performed using an HRP conjugated compact polymer system. DAB was used as the chromogen. Tissues were counterstained with hematoxylin and mounted with DPX.
HA750137_6.jpg Fig6: Flow cytometric analysis of RAW264.7 cells labeling Bim.

Cells were fixed and permeabilized. Then stained with the primary antibody (HA750137, 1μg/mL) (red) compared with Rabbit IgG Isotype Control (green). After incubation of the primary antibody at +4℃ for an hour, the cells were stained with a iFluor™ 488 conjugate-Goat anti-Rabbit IgG Secondary antibody (HA1121) at 1/1,000 dilution for 30 minutes at +4℃. Unlabelled sample was used as a control (cells without incubation with primary antibody; black).
HA750137_7.jpg Fig7: Flow cytometric analysis of MCF7 cells labeling Bim.

Cells were fixed and permeabilized. Then stained with the primary antibody (HA750137, 1μg/mL) (red) compared with Rabbit IgG Isotype Control (green). After incubation of the primary antibody at +4℃ for an hour, the cells were stained with a iFluor™ 488 conjugate-Goat anti-Rabbit IgG Secondary antibody (HA1121) at 1/1,000 dilution for 30 minutes at +4℃. Unlabelled sample was used as a control (cells without incubation with primary antibody; black).
Note: All products are “FOR RESEARCH USE ONLY AND ARE NOT INTENDED FOR DIAGNOSTIC OR THERAPEUTIC USE”.