FOXO1A Recombinant Rabbit Monoclonal Antibody [SU33-01]
cat.: HA750140
Product Type: Recombinant Rabbit monoclonal IgG, primary antibodies
Species reactivity: Human, Mouse, Rat, Zebrafish
Applications: WB, IF-Cell, IHC-P, FC
Clonality: Monoclonal
Clone number: SU33-01
Form: Liquid
Storage condition: Store at +4℃ after thawing. Aliquot store at -20℃ or -80℃. Avoid repeated freeze / thaw cycles.
Storage buffer: 1*PBS (pH7.4).
Concentration: 1ug/ul
Purification: Protein A affinity purified.
Molecular weight: Predicted band size: 70 kDa
Isotype: IgG
Immunogen: Synthetic peptide within Human FOXO1A aa 301-350 / 655.
Positive control: THP-1 cell lysate, Jurkat cell lysate, NIH/3T3 cell lysate, PC-12 cell lysate, mouse brain tissue lysate, rat brain tissue lysate, HeLa, NIH/3T3, human tonsil tissue, human breast carcinoma tissue, mouse brain tissue, mouse heart tissue, rat brain tissue, rat heart tissue.
Subcellular location: Cytoplasm, Nucleus.
Recommended Dilutions:
  WB
  IF-Cell
  IHC-P
  FC

1:2,000-1:5,000
1:50-1:200
1:50-1:1,000
1:1,000
Uniprot #: SwissProt: Q12778 Human | Q9R1E0 Mouse | G3V7R4 Rat
Alternative names: FKH 1 FKH1 FKHR Forkhead (Drosophila) homolog 1 (rhabdomyosarcoma) Forkhead box O1 Forkhead box protein O1 Forkhead box protein O1A Forkhead in rhabdomyosarcoma Forkhead, Drosophila, homolog of, in rhabdomyosarcoma FoxO transcription factor foxo1 FOXO1_HUMAN FOXO1A OTTHUMP00000018301
Images
HA750140_1.jpg Fig1: Western blot analysis of FOXO1A on different lysates with Rabbit anti-FOXO1A antibody (HA750140) at 1/5,000 dilution.

Lane 1: THP-1 cell lysate (15 µg/Lane)
Lane 2: Jurkat cell lysate (15 µg/Lane)
Lane 3: NIH/3T3 cell lysate (15 µg/Lane)
Lane 4: PC-12 cell lysate (15 µg/Lane)
Lane 5: Mouse brain tissue lysate (20 µg/Lane)
Lane 6: Rat brain tissue lysate (20 µg/Lane)

Predicted band size: 70 kDa
Observed band size: 100 kDa

Exposure time: 3 minutes;

4-20% SDS-PAGE gel.

Proteins were transferred to a PVDF membrane and blocked with 5% NFDM/TBST for 1 hour at room temperature. The primary antibody (HA750140) at 1/5,000 dilution was used in 5% NFDM/TBST at 4℃ overnight. Goat Anti-Rabbit IgG - HRP Secondary Antibody (HA1001) at 1/50,000 dilution was used for 1 hour at room temperature.
HA750140_2.jpg Fig2: Western blot analysis of FOXO1A on different lysates with Rabbit anti-FOXO1A antibody (HA750140) at 1/2,000 dilution.

Lane 1: HeLa-si NT cell lysate
Lane 2: HeLa-si FOXO1A cell lysate

Lysates/proteins at 10 µg/Lane.

Predicted band size: 70 kDa
Observed band size: 100 kDa

Exposure time: 20 seconds;

4-20% SDS-PAGE gel.

Proteins were transferred to a PVDF membrane and blocked with 5% NFDM/TBST for 1 hour at room temperature. The primary antibody (HA750140) at 1/2,000 dilution was used in 5% NFDM/TBST at 4℃ overnight. Goat Anti-Rabbit IgG - HRP Secondary Antibody (HA1001) at 1/50,000 dilution was used for 1 hour at room temperature.
HA750140_3.jpg Fig3: Immunocytochemistry analysis of HeLa cells labeling FOXO1A with Rabbit anti-FOXO1A antibody (HA750140) at 1/100 dilution.

Cells were fixed in 4% paraformaldehyde for 20 minutes at room temperature, permeabilized with 0.1% Triton X-100 in PBS for 5 minutes at room temperature, then blocked with 1% BSA in 10% negative goat serum for 1 hour at room temperature. Cells were then incubated with Rabbit anti-FOXO1A antibody (HA750140) at 1/100 dilution in 1% BSA in PBST overnight at 4 ℃. Goat Anti-Rabbit IgG H&L (iFluor™ 488, HA1121) was used as the secondary antibody at 1/1,000 dilution. PBS instead of the primary antibody was used as the secondary antibody only control. Nuclear DNA was labelled in blue with DAPI.

Beta tubulin (M1305-2, red) was stained at 1/100 dilution overnight at +4℃. Goat Anti-Mouse IgG H&L (iFluor™ 594, HA1126) was used as the secondary antibody at 1/1,000 dilution.
HA750140_4.jpg Fig4: Immunocytochemistry analysis of NIH/3T3 cells labeling FOXO1A with Rabbit anti-FOXO1A antibody (HA750140) at 1/50 dilution.

Cells were fixed in 4% paraformaldehyde for 10 minutes at 37 ℃, permeabilized with 0.05% Triton X-100 in PBS for 20 minutes, and then blocked with 2% negative goat serum for 30 minutes at room temperature. Cells were then incubated with Rabbit anti-FOXO1A antibody (HA750140) at 1/50 dilution in 2% negative goat serum overnight at 4 ℃. Goat Anti-Rabbit IgG H&L (iFluor™ 488, HA1121) was used as the secondary antibody at 1/1,000 dilution. PBS instead of the primary antibody was used as the secondary antibody only control. Nuclear DNA was labelled in blue with DAPI.
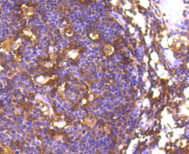
HA750140_5.jpg Fig5: Immunohistochemical analysis of paraffin-embedded human tonsil tissue using anti-FOXO1A antibody. The section was pre-treated using heat mediated antigen retrieval with Tris-EDTA buffer (pH 8.0-8.4) for 20 minutes.The tissues were blocked in 5% BSA for 30 minutes at room temperature, washed with ddH2O and PBS, and then probed with the primary antibody (HA750140, 1/50) for 30 minutes at room temperature. The detection was performed using an HRP conjugated compact polymer system. DAB was used as the chromogen. Tissues were counterstained with hematoxylin and mounted with DPX.
HA750140_6.jpg Fig6: Immunohistochemical analysis of paraffin-embedded human breast carcinoma tissue using anti-FOXO1A antibody. The section was pre-treated using heat mediated antigen retrieval with Tris-EDTA buffer (pH 8.0-8.4) for 20 minutes.The tissues were blocked in 5% BSA for 30 minutes at room temperature, washed with ddH2O and PBS, and then probed with the primary antibody (HA750140, 1/50) for 30 minutes at room temperature. The detection was performed using an HRP conjugated compact polymer system. DAB was used as the chromogen. Tissues were counterstained with hematoxylin and mounted with DPX.
HA750140_7.jpg Fig7: Immunohistochemical analysis of paraffin-embedded mouse brain tissue with Rabbit anti-FOXO1A antibody (HA750140) at 1/1,000 dilution.

The section was pre-treated using heat mediated antigen retrieval with sodium citrate buffer (pH 6.0) (high pressure) for 2 minutes. The tissues were blocked in 1% BSA for 20 minutes at room temperature, washed with ddH2O and PBS, and then probed with the primary antibody (HA750140) at 1/1,000 dilution for 1 hour at room temperature. The detection was performed using an HRP conjugated compact polymer system. DAB was used as the chromogen. Tissues were counterstained with hematoxylin and mounted with DPX.
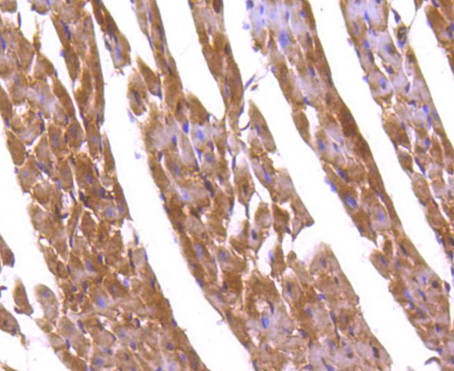
HA750140_8.jpg Fig8: Immunohistochemical analysis of paraffin-embedded mouse heart tissue using anti-FOXO1A antibody. The section was pre-treated using heat mediated antigen retrieval with Tris-EDTA buffer (pH 8.0-8.4) for 20 minutes.The tissues were blocked in 5% BSA for 30 minutes at room temperature, washed with ddH2O and PBS, and then probed with the primary antibody (HA750140, 1/50) for 30 minutes at room temperature. The detection was performed using an HRP conjugated compact polymer system. DAB was used as the chromogen. Tissues were counterstained with hematoxylin and mounted with DPX.
HA750140_9.jpg Fig9: Immunohistochemical analysis of paraffin-embedded rat brain tissue with Rabbit anti-FOXO1A antibody (HA750140) at 1/1,000 dilution.

The section was pre-treated using heat mediated antigen retrieval with sodium citrate buffer (pH 6.0) (high pressure) for 2 minutes. The tissues were blocked in 1% BSA for 20 minutes at room temperature, washed with ddH2O and PBS, and then probed with the primary antibody (HA750140) at 1/1,000 dilution for 1 hour at room temperature. The detection was performed using an HRP conjugated compact polymer system. DAB was used as the chromogen. Tissues were counterstained with hematoxylin and mounted with DPX.
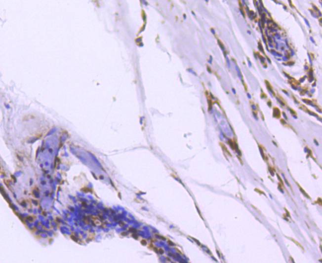
HA750140_10.jpg Fig10: Immunohistochemical analysis of paraffin-embedded rat heart tissue with Rabbit anti-FOXO1A antibody (HA750140) at 1/1,000 dilution.

The section was pre-treated using heat mediated antigen retrieval with sodium citrate buffer (pH 6.0) (high pressure) for 2 minutes. The tissues were blocked in 1% BSA for 20 minutes at room temperature, washed with ddH2O and PBS, and then probed with the primary antibody (HA750140) at 1/1,000 dilution for 1 hour at room temperature. The detection was performed using an HRP conjugated compact polymer system. DAB was used as the chromogen. Tissues were counterstained with hematoxylin and mounted with DPX.
HA750140_11.jpg Fig11: Flow cytometric analysis of HeLa cells labeling FOXO1A.

Cells were fixed and permeabilized. Then stained with the primary antibody (HA750140, 1/1,000) (red) compared with Rabbit IgG Isotype Control (green). After incubation of the primary antibody at +4℃ for an hour, the cells were stained with a iFluor™ 488 conjugate-Goat anti-Rabbit IgG Secondary antibody (HA1121) at 1/1,000 dilution for 30 minutes at +4℃. Unlabelled sample was used as a control (cells without incubation with primary antibody; black).
Note: All products are “FOR RESEARCH USE ONLY AND ARE NOT INTENDED FOR DIAGNOSTIC OR THERAPEUTIC USE”.