Phospho-Nrf2 (S40) Recombinant Rabbit Monoclonal Antibody [SU0334]
cat.: HA750142
Product Type: Recombinant Rabbit monoclonal IgG, primary antibodies
Species reactivity: Human, Mouse, Rat
Applications: WB, IF-Cell, IF-Tissue, IHC-P, FC, IP
Clonality: Monoclonal
Clone number: SU0334
Form: Liquid
Storage condition: Store at +4℃ after thawing. Aliquot store at -20℃ or -80℃. Avoid repeated freeze / thaw cycles.
Storage buffer: 1*PBS (pH7.4).
Concentration: 1ug/ul
Purification: Protein A affinity purified.
Molecular weight: Predicted band size: 68 kDa
Isotype: IgG
Immunogen: Synthetic phospho-peptide corresponding to residues surrounding Ser40 of Human Nrf2 aa 20-69 / 605.
Positive control: HepG2 cell lysate, Raji cell lysate, HepG2, Hela, A549, human breast carcinoma tissue, human tonsil tissue, human kidney tissue, K562.
Subcellular location: Cytoplasm, cytosol, Nucleus.
Recommended Dilutions:
  WB
  IF-Cell
  IHC-P
  IF-Tissue
  FC
  IP

1:2,000-1:5,000
1:250
1:1,000
1:200-1:500
1:100-1:200
Use at an assay dependent concentration.
Uniprot #: SwissProt: Q16236 Human
Alternative names: erythroid derived 2 HEBP1 like 2 NF E2 related factor 2 NF-E2-related factor 2 NF2L2_HUMAN NFE2 related factor 2 NFE2-related factor 2 Nfe2l2 Nrf 2 NRF2 Nuclear factor (erythroid derived 2) like 2 Nuclear factor nuclear factor erythroid 2 like 2 Nuclear factor erythroid 2 related factor 2 Nuclear factor erythroid 2-related factor 2 Nuclear factor erythroid derived 2 like 2
Images
HA750142_1.jpg Fig1: Western blot analysis of Phospho-Nrf2 (S40) on different lysates with Rabbit anti-Phospho-Nrf2 (S40) antibody (HA750142) at 1/2,000 dilution.

Lane 1: HepG2 cell lysate
Lane 2: Raji cell lysate

Lysates/proteins at 10 µg/Lane.

Predicted band size: 68 kDa
Observed band size: 100 kDa

Exposure time: 30 seconds;

8% SDS-PAGE gel.

Proteins were transferred to a PVDF membrane and blocked with 5% NFDM/TBST for 1 hour at room temperature. The primary antibody (HA750142) at 1/2,000 dilution was used in 5% NFDM/TBST at room temperature for 2 hours. Goat Anti-Rabbit IgG - HRP Secondary Antibody (HA1001) at 1/50,000 dilution was used for 1 hour at room temperature.
HA750142_2.jpg Fig2: Immunocytochemistry analysis of HepG2 cells labeling Phospho-Nrf2 (S40) with Rabbit anti-Phospho-Nrf2 (S40) antibody (HA750142) at 1/250 dilution.

Cells were fixed in 4% paraformaldehyde for 20 minutes at room temperature, permeabilized with 0.1% Triton X-100 in PBS for 5 minutes at room temperature, then blocked with 1% BSA in 10% negative goat serum for 1 hour at room temperature. Cells were then incubated with Rabbit anti-Phospho-Nrf2 (S40) antibody (HA750142) at 1/250 dilution in 1% BSA in PBST overnight at 4 ℃. Goat Anti-Rabbit IgG H&L (iFluor™ 488, HA1121) was used as the secondary antibody at 1/1,000 dilution. PBS instead of the primary antibody was used as the secondary antibody only control. Nuclear DNA was labelled in blue with DAPI.

Beta tubulin (M1305-2, red) was stained at 1/100 dilution overnight at +4℃. Goat Anti-Mouse IgG H&L (iFluor™ 594, HA1126) was used as the secondary antibody at 1/1,000 dilution.
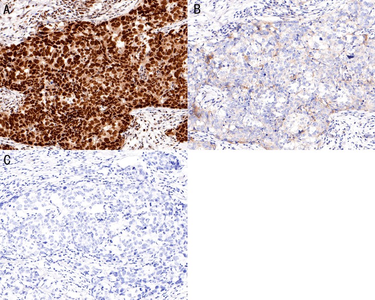
HA750142_3.jpg Fig3: Immunohistochemical analysis of paraffin-embedded human breast carcinoma tissue using anti-Phospho-Nrf2 (S40) antibody [SU0334] (HA750142).

The section was pre-treated using heat mediated antigen retrieval with 10 mM sodium citrate buffer (pH 6.0). The section were untreated (A, C) and treated (B) with λ-PPase at 1/25 dilution at 30℃ for 30 minutes after antigen retrieval. The tissues were blocked in 1% BSA for 30 minutes at room temperature, washed with ddH2O and PBS, and then probed with the primary antibody (HA750142, 1/200) for 30 minutes at room temperature. Goat anti-Rabbit IgG-HRP UltraPolymer antibody (HA1119) was used for 20 minutes at room temperature. DAB was used as the chromogen. The section were counterstained with hematoxylin and mounted with DPX. PBS was used instead of the primary antibody as the negative control, and is shown in the inset (C).
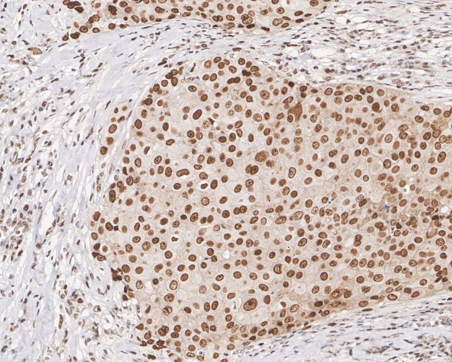
HA750142_4.jpg Fig4: Immunohistochemical analysis of paraffin-embedded human breast carcinoma tissue with Rabbit anti-Phospho-Nrf2 (S40) antibody (HA750142) at 1/1,000 dilution.

The section was pre-treated using heat mediated antigen retrieval with sodium citrate buffer (pH 6.0) (high pressure) for 2 minutes. The tissues were blocked in 1% BSA for 20 minutes at room temperature, washed with ddH2O and PBS, and then probed with the primary antibody (HA750142) at 1/1,000 dilution for 1 hour at room temperature. The detection was performed using an HRP conjugated compact polymer system. DAB was used as the chromogen. Tissues were counterstained with hematoxylin and mounted with DPX.
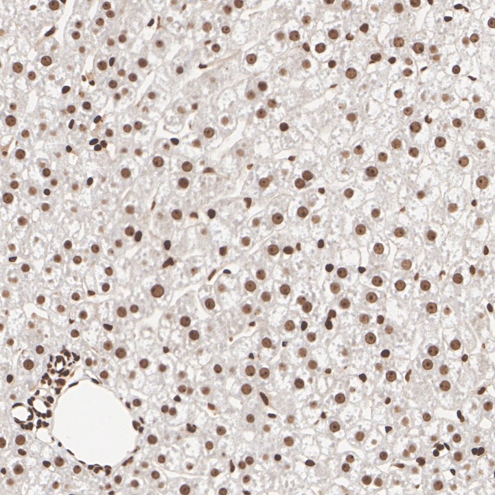
HA750142_5.jpg Fig5: Immunohistochemical analysis of paraffin-embedded mouse liver tissue with Rabbit anti-Phospho-Nrf2 (S40) antibody (HA750142) at 1/1,000 dilution.

The section was pre-treated using heat mediated antigen retrieval with sodium citrate buffer (pH 6.0) (high pressure) for 2 minutes. The tissues were blocked in 1% BSA for 20 minutes at room temperature, washed with ddH2O and PBS, and then probed with the primary antibody (HA750142) at 1/1,000 dilution for 1 hour at room temperature. The detection was performed using an HRP conjugated compact polymer system. DAB was used as the chromogen. Tissues were counterstained with hematoxylin and mounted with DPX.
HA750142_6.jpg Fig6: Immunohistochemical analysis of paraffin-embedded rat liver tissue with Rabbit anti-Phospho-Nrf2 (S40) antibody (HA750142) at 1/1,000 dilution.

The section was pre-treated using heat mediated antigen retrieval with sodium citrate buffer (pH 6.0) (high pressure) for 2 minutes. The tissues were blocked in 1% BSA for 20 minutes at room temperature, washed with ddH2O and PBS, and then probed with the primary antibody (HA750142) at 1/1,000 dilution for 1 hour at room temperature. The detection was performed using an HRP conjugated compact polymer system. DAB was used as the chromogen. Tissues were counterstained with hematoxylin and mounted with DPX.
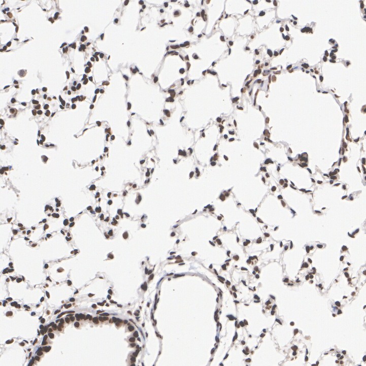
HA750142_7.jpg Fig7: Immunohistochemical analysis of paraffin-embedded mouse lung tissue with Rabbit anti-Phospho-Nrf2 (S40) antibody (HA750142) at 1/1,000 dilution.

The section was pre-treated using heat mediated antigen retrieval with sodium citrate buffer (pH 6.0) (high pressure) for 2 minutes. The tissues were blocked in 1% BSA for 20 minutes at room temperature, washed with ddH2O and PBS, and then probed with the primary antibody (HA750142) at 1/1,000 dilution for 1 hour at room temperature. The detection was performed using an HRP conjugated compact polymer system. DAB was used as the chromogen. Tissues were counterstained with hematoxylin and mounted with DPX.
HA750142_8.jpg Fig8: Immunohistochemical analysis of paraffin-embedded rat lung tissue with Rabbit anti-Phospho-Nrf2 (S40) antibody (HA750142) at 1/1,000 dilution.

The section was pre-treated using heat mediated antigen retrieval with sodium citrate buffer (pH 6.0) (high pressure) for 2 minutes. The tissues were blocked in 1% BSA for 20 minutes at room temperature, washed with ddH2O and PBS, and then probed with the primary antibody (HA750142) at 1/1,000 dilution for 1 hour at room temperature. The detection was performed using an HRP conjugated compact polymer system. DAB was used as the chromogen. Tissues were counterstained with hematoxylin and mounted with DPX.
HA750142_9.jpg Fig9: Flow cytometric analysis of Phospho-Nrf2 (S40) was done on K562 cells. The cells were fixed, permeabilized and stained with the primary antibody (HA750142, 1/50) (blue). After incubation of the primary antibody at room temperature for an hour, the cells were stained with a Alexa Fluor®488 conjugate-Goat anti-Rabbit IgG Secondary antibody at 1/1,000 dilution for 30 minutes.Unlabelled sample was used as a control (cells without incubation with primary antibody; red).
Note: All products are “FOR RESEARCH USE ONLY AND ARE NOT INTENDED FOR DIAGNOSTIC OR THERAPEUTIC USE”.