c-Jun Recombinant Rabbit Monoclonal Antibody [SY0298]
cat.: HA750143
Product Type: Recombinant Rabbit monoclonal IgG, primary antibodies
Species reactivity: Human, Mouse, Rat
Applications: WB, IF-Cell, IHC-P, IP
Clonality: Monoclonal
Clone number: SY0298
Form: Liquid
Storage condition: Store at +4℃ after thawing. Aliquot store at -20℃ or -80℃. Avoid repeated freeze / thaw cycles.
Storage buffer: 1*PBS (pH7.4).
Concentration: 1ug/ul
Purification: Protein A affinity purified.
Molecular weight: Predicted band size: 36 kDa
Isotype: IgG
Immunogen: Synthetic peptide within N-terminal human c-Jun.
Positive control: HEK-293 cell lysate, U-2 OS cell lysate, U-87 MG cell lysate, NIH/3T3 cell lysate, PC-12 cell lysate, HEK-293, NIH/3T3, L6, human breast carcinoma tissue, human prostate carcinoma tissue, mouse liver tissue.
Subcellular location: Nucleus.
Recommended Dilutions:
  WB
  IF-Cell
  IHC-P
  IP

1:500-1:2,000
1:100-1:500
1:200-1:1,000
1-2μg/sample
Uniprot #: SwissProt: P05412 Human | P05627 Mouse | P17325 Rat
Alternative names: Activator protein 1 AP 1 AP1 cJun Enhancer Binding Protein AP1 Jun Activation Domain Binding Protein JUN Jun oncogene JUN protein Jun proto oncogene JUN_HUMAN JUNC Oncogene JUN p39 Proto oncogene c jun Proto oncogene cJun Proto-oncogene c-jun Transcription Factor AP 1 Transcription factor AP-1 Transcription Factor AP1 V jun avian sarcoma virus 17 oncogene homolog V jun sarcoma virus 17 oncogene homolog (avian) V jun sarcoma virus 17 oncogene homolog V-jun avian sarcoma virus 17 oncogene homolog vJun Avian Sarcoma Virus 17 Oncogene Homolog
Images
HA750143_1.jpg Fig1: Western blot analysis of c-Jun on different lysates with Rabbit anti-c-Jun antibody (HA750143) at 1/2,000 dilution.

Lane 1: HEK-293 cell lysate
Lane 2: U-2 OS cell lysate
Lane 3: U-87 MG cell lysate
Lane 4: NIH/3T3 cell lysate
Lane 5: PC-12 cell lysate

Lysates/proteins at 15 µg/Lane.

Predicted band size: 36 kDa
Observed band size: 40 kDa

Exposure time: 30 seconds;

4-20% SDS-PAGE gel.

Proteins were transferred to a PVDF membrane and blocked with 5% NFDM/TBST for 1 hour at room temperature. The primary antibody (HA750143) at 1/2,000 dilution was used in 5% NFDM/TBST at 4℃ overnight. Goat Anti-Rabbit IgG - HRP Secondary Antibody (HA1001) at 1/50,000 dilution was used for 1 hour at room temperature.
HA750143_2.jpg Fig2: Immunocytochemistry analysis of HEK-293 cells labeling c-Jun with Rabbit anti-c-Jun antibody (HA750143) at 1/100 dilution.

Cells were fixed in 4% paraformaldehyde for 20 minutes at room temperature, permeabilized with 0.1% Triton X-100 in PBS for 5 minutes at room temperature, then blocked with 1% BSA in 10% negative goat serum for 1 hour at room temperature. Cells were then incubated with Rabbit anti-c-Jun antibody (HA750143) at 1/100 dilution in 1% BSA in PBST overnight at 4 ℃. Goat Anti-Rabbit IgG H&L (iFluor™ 488, HA1121) was used as the secondary antibody at 1/1,000 dilution. PBS instead of the primary antibody was used as the secondary antibody only control. Nuclear DNA was labelled in blue with DAPI.

Beta tubulin (M1305-2, red) was stained at 1/100 dilution overnight at +4℃. Goat Anti-Mouse IgG H&L (iFluor™ 594, HA1126) was used as the secondary antibody at 1/1,000 dilution.
HA750143_3.jpg Fig3: Immunocytochemistry analysis of NIH/3T3 cells labeling c-Jun with Rabbit anti-c-Jun antibody (HA750143) at 1/100 dilution.

Cells were fixed in 4% paraformaldehyde for 20 minutes at room temperature, permeabilized with 0.1% Triton X-100 in PBS for 5 minutes at room temperature, then blocked with 1% BSA in 10% negative goat serum for 1 hour at room temperature. Cells were then incubated with Rabbit anti-c-Jun antibody (HA750143) at 1/100 dilution in 1% BSA in PBST overnight at 4 ℃. Goat Anti-Rabbit IgG H&L (iFluor™ 488, HA1121) was used as the secondary antibody at 1/1,000 dilution. PBS instead of the primary antibody was used as the secondary antibody only control. Nuclear DNA was labelled in blue with DAPI.

Beta tubulin (M1305-2, red) was stained at 1/100 dilution overnight at +4℃. Goat Anti-Mouse IgG H&L (iFluor™ 594, HA1126) was used as the secondary antibody at 1/1,000 dilution.
HA750143_4.jpg Fig4: ICC staining of c-Jun in L6 cells (green). Formalin fixed cells were permeabilized with 0.1% Triton X-100 in TBS for 10 minutes at room temperature and blocked with 1% Blocker BSA for 15 minutes at room temperature. Cells were probed with the primary antibody (HA750143, 1/50) for 1 hour at room temperature, washed with PBS. Alexa Fluor®488 Goat anti-Rabbit IgG was used as the secondary antibody at 1/1,000 dilution. The nuclear counter stain is DAPI (blue).
HA750143_5.jpg Fig5: Immunohistochemical analysis of paraffin-embedded human breast carcinoma tissue with Rabbit anti-c-Jun antibody (HA750143) at 1/1,000 dilution.

The section was pre-treated using heat mediated antigen retrieval with sodium citrate buffer (pH 6.0) (high pressure) for 2 minutes. The tissues were blocked in 1% BSA for 20 minutes at room temperature, washed with ddH2O and PBS, and then probed with the primary antibody (HA750143) at 1/1,000 dilution for 1 hour at room temperature. The detection was performed using an HRP conjugated compact polymer system. DAB was used as the chromogen. Tissues were counterstained with hematoxylin and mounted with DPX.
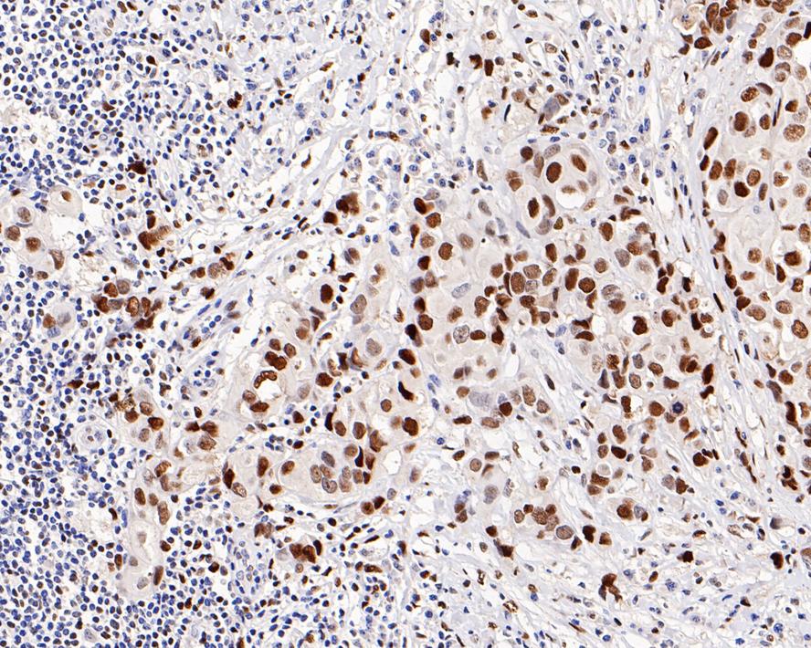
HA750143_6.jpg Fig6: Immunohistochemical analysis of paraffin-embedded human prostate carcinoma tissue with Rabbit anti-c-Jun antibody (HA750143) at 1/200 dilution.

The section was pre-treated using heat mediated antigen retrieval with sodium citrate buffer (pH 6.0) (high pressure) for 2 minutes. The tissues were blocked in 1% BSA for 20 minutes at room temperature, washed with ddH2O and PBS, and then probed with the primary antibody (HA750143) at 1/200 dilution for 1 hour at room temperature. The detection was performed using an HRP conjugated compact polymer system. DAB was used as the chromogen. Tissues were counterstained with hematoxylin and mounted with DPX.
HA750143_7.jpg Fig7: Immunohistochemical analysis of paraffin-embedded mouse liver tissue with Rabbit anti-c-Jun antibody (HA750143) at 1/200 dilution.

The section was pre-treated using heat mediated antigen retrieval with sodium citrate buffer (pH 6.0) (high pressure) for 2 minutes. The tissues were blocked in 1% BSA for 20 minutes at room temperature, washed with ddH2O and PBS, and then probed with the primary antibody (HA750143) at 1/200 dilution for 1 hour at room temperature. The detection was performed using an HRP conjugated compact polymer system. DAB was used as the chromogen. Tissues were counterstained with hematoxylin and mounted with DPX.
HA750143_8.jpg Fig8: c-Jun was immunoprecipitated from 0.2 mg NIH/3T3 cell lysate with HA750143 at 2 µg/10 µl beads. Western blot was performed from the immunoprecipitate using HA750143 at 1/2,000 dilution. HRP Conjugated Anti-Rabbit IgG for IP Nano-secondary antibody at 1/5,000 dilution was used for 1 hour at room temperature.

Lane 1: NIH/3T3 cell lysate (input)
Lane 2: HA750143 IP in NIH/3T3 cell lysate
Lane 3: Rabbit IgG instead of HA750143 in NIH/3T3 cell lysate

Blocking/Dilution buffer: primary antibody dilution (K1803)
Exposure time: 46 seconds; ECL: K1801
Note: All products are “FOR RESEARCH USE ONLY AND ARE NOT INTENDED FOR DIAGNOSTIC OR THERAPEUTIC USE”.