TrkA Recombinant Rabbit Monoclonal Antibody [SU0354]
cat.: HA750148
Product Type: Recombinant Rabbit monoclonal IgG, primary antibodies
Species reactivity: Human, Mouse, Rat
Applications: WB, IF-Cell, IF-Tissue, IHC-P, IP, FC
Clonality: Monoclonal
Clone number: SU0354
Form: Liquid
Storage condition: Store at +4℃ after thawing. Aliquot store at -20℃ or -80℃. Avoid repeated freeze / thaw cycles.
Storage buffer: 1*PBS (pH7.4).
Concentration: 1ug/ul
Purification: Protein A affinity purified.
Molecular weight: Predicted band size: 88 kDa
Isotype: IgG
Immunogen: Synthetic peptide within Human TrkA aa 747-796 / 796.
Positive control: TF-1 cell lysate, mouse brain tissue lysate, rat brain tissue lysate, Hela, N2A, SH-SY5Y, mouse brain tissue, mouse liver tissue, mouse kidney tissue, human tonsil tissue.
Subcellular location: Cell membrane, Early endosome membrane, Late endosome membrane.
Recommended Dilutions:
  WB
  IF-Cell
  IF-Tissue
  IHC-P
  FC
  IP

1:5,000
1:50-1:200
1:50-1:200
1:50-1:1,000
1:50-1:100
1-2μg/sample
Uniprot #: SwissProt: P04629 Human | Q3UFB7 Mouse | P35739 Rat
Alternative names: gp140trk High affinity nerve growth factor receptor High affinity nerve growth factor receptor precursor MTC Neurotrophic tyrosine kinase receptor type 1 NTRK1 NTRK1_HUMAN Oncogene TRK p14-TrkA p140 TrkA p140-TrkA Slow nerve growth Trk A TRK Trk-A TRK1 TRK1-transforming tyrosine kinase protein Tropomyosin-related kinase A Tyrosine kinase receptor A Tyrosine kinase receptor
Images
HA750148_1.jpg Fig1: Western blot analysis of TrkA on different lysates with Rabbit anti-TrkA antibody (HA750148) at 1/5,000 dilution.

Lane 1: TF-1 cell lysate
Lane 2: 293T cell lysate (negative)
Lane 3: Mouse brain tissue lysate
Lane 4: Rat brain tissue lysate

Lysates/proteins at 20 µg/Lane.

Predicted band size: 88 kDa
Observed band size: 140 kDa

Exposure time: 1 minute 21 seconds;

4-20% SDS-PAGE gel.

Proteins were transferred to a PVDF membrane and blocked with 5% NFDM/TBST for 1 hour at room temperature. The primary antibody (HA750148) at 1/5,000 dilution was used in 5% NFDM/TBST at 4℃ overnight. Goat Anti-Rabbit IgG - HRP Secondary Antibody (HA1001) at 1:50,000 dilution was used for 1 hour at room temperature.
HA750148_2.jpg Fig2: TrkA was immunoprecipitated in 0.2mg TF-1 cell lysate with HA750148 at 2 µg/10 µl beads. Western blot was performed from the immunoprecipitate using HA750148 at 1/2,000 dilution. Anti-Rabbit IgG for IP Nano-secondary antibody (NBI01H) at 1/5,000 dilution was used for 1 hour at room temperature.

Lane 1: TF-1 cell lysate (input)
Lane 2: Rabbit IgG instead of HA750148 in TF-1 cell lysate
Lane 3: HA750148 IP in TF-1 cell lysate

Blocking/Dilution buffer: 5% NFDM/TBST
Exposure time: 43 seconds
HA750148_3.jpg Fig3: ICC staining of TrkA in Hela cells (green). Formalin fixed cells were permeabilized with 0.1% Triton X-100 in TBS for 10 minutes at room temperature and blocked with 10% negative goat serum for 15 minutes at room temperature. Cells were probed with the primary antibody (HA750148, 1/50) for 1 hour at room temperature, washed with PBS. Alexa Fluor®488 conjugate-Goat anti-Rabbit IgG was used as the secondary antibody at 1/1,000 dilution. The nuclear counter stain is DAPI (blue).
HA750148_4.jpg Fig4: ICC staining of TrkA in N2A cells (green). Formalin fixed cells were permeabilized with 0.1% Triton X-100 in TBS for 10 minutes at room temperature and blocked with 10% negative goat serum for 15 minutes at room temperature. Cells were probed with the primary antibody (HA750148, 1/50) for 1 hour at room temperature, washed with PBS. Alexa Fluor®488 conjugate-Goat anti-Rabbit IgG was used as the secondary antibody at 1/1,000 dilution. The nuclear counter stain is DAPI (blue).
HA750148_5.jpg Fig5: ICC staining of TrkA in SH-SY5Y cells (green). Formalin fixed cells were permeabilized with 0.1% Triton X-100 in TBS for 10 minutes at room temperature and blocked with 10% negative goat serum for 15 minutes at room temperature. Cells were probed with the primary antibody (HA750148, 1/50) for 1 hour at room temperature, washed with PBS. Alexa Fluor®488 conjugate-Goat anti-Rabbit IgG was used as the secondary antibody at 1/1,000 dilution. The nuclear counter stain is DAPI (blue).
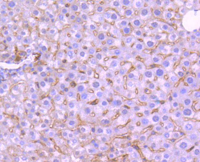
HA750148_6.jpg Fig6: Immunohistochemical analysis of paraffin-embedded mouse liver tissue using anti-TrkA antibody. The section was pre-treated using heat mediated antigen retrieval with Tris-EDTA buffer (pH 9.0) for 20 minutes.The tissues were blocked in 1% BSA for 30 minutes at room temperature, washed with ddH2O and PBS, and then probed with the primary antibody (HA750148, 1/50) for 30 minutes at room temperature. The detection was performed using an HRP conjugated compact polymer system. DAB was used as the chromogen. Tissues were counterstained with hematoxylin and mounted with DPX.
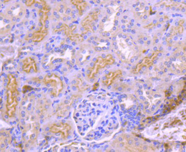
HA750148_7.jpg Fig7: Immunohistochemical analysis of paraffin-embedded mouse kidney tissue using anti-TrkA antibody. The section was pre-treated using heat mediated antigen retrieval with Tris-EDTA buffer (pH 9.0) for 20 minutes.The tissues were blocked in 5% BSA for 30 minutes at room temperature, washed with ddH2O and PBS, and then probed with the primary antibody (HA750148, 1/50) for 30 minutes at room temperature. The detection was performed using an HRP conjugated compact polymer system. DAB was used as the chromogen. Tissues were counterstained with hematoxylin and mounted with DPX.
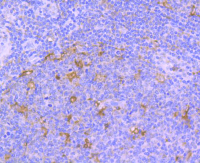
HA750148_8.jpg Fig8: Immunohistochemical analysis of paraffin-embedded human tonsil tissue using anti-TrkA antibody. The section was pre-treated using heat mediated antigen retrieval with Tris-EDTA buffer (pH 9.0) for 20 minutes.The tissues were blocked in 5% BSA for 30 minutes at room temperature, washed with ddH2O and PBS, and then probed with the primary antibody (HA750148, 1/50) for 30 minutes at room temperature. The detection was performed using an HRP conjugated compact polymer system. DAB was used as the chromogen. Tissues were counterstained with hematoxylin and mounted with DPX.
HA750148_9.jpg Fig9: Flow cytometric analysis of TrkA was done on SH-SY5Y cells. The cells were fixed, permeabilized and stained with the primary antibody (HA750148, 1/50) (red). After incubation of the primary antibody at room temperature for an hour, the cells were stained with a Alexa Fluor 488-conjugated Goat anti-Rabbit IgG Secondary antibody at 1/1,000 dilution for 30 minutes.Unlabelled sample was used as a control (cells without incubation with primary antibody; black).
Note: All products are “FOR RESEARCH USE ONLY AND ARE NOT INTENDED FOR DIAGNOSTIC OR THERAPEUTIC USE”.