CD90 / THY1 Recombinant Rabbit Monoclonal Antibody [SU35-07]
cat.: HA750149
Product Type: Recombinant Rabbit monoclonal IgG, primary antibodies
Species reactivity: Human, Rat
Applications: WB, IHC-P
Clonality: Monoclonal
Clone number: SU35-07
Form: Liquid
Storage condition: Store at +4℃ after thawing. Aliquot store at -20℃ or -80℃. Avoid repeated freeze / thaw cycles.
Storage buffer: 1*PBS (pH7.4).
Concentration: 1ug/ul
Purification: Protein A affinity purified.
Molecular weight: Predicted band size: 18 kDa
Isotype: IgG
Immunogen: Synthetic peptide within Human CD90 aa 50-99 / 161.
Positive control: Human brain tissue lysate, Rat brain tissue lysate, human brain tissue, human breast cancer tissue, rat brain tissue.
Subcellular location: Cell membrane.
Recommended Dilutions:
  WB
  IHC-P

1:500-1:2,000
1:200-1:1,000
Uniprot #: SwissProt: P04216 Human | P01830 Rat
Alternative names: CD7 CD90 CD90 antigen CDw90 FLJ33325 MGC128895 T25 Theta antigen Thy 1 Thy 1 cell surface antigen Thy 1 membrane glycoprotein Thy 1 T cell antigen Thy 1.2 Thy-1 antigen Thy-1 membrane glycoprotein Thy1 Thy1 antigen Thy1 T cell antigen Thy1.1 Thy1.2 THY1_HUMAN Thymus cell antigen 1, theta
Images
HA750149_1.jpg Fig1: Western blot analysis of CD90 / THY1 on different lysates with Rabbit anti-CD90 / THY1 antibody (HA750149) at 1/2,000 dilution.

Lane 1: Human brain tissue lysate (20 µg/Lane)
Lane 2: Rat brain tissue lysate (20 µg/Lane)

Predicted band size: 18 kDa
Observed band size: 25 kDa

Exposure time: 2 minutes 20 seconds;

4-20% SDS-PAGE gel.

Proteins were transferred to a PVDF membrane and blocked with 5% NFDM/TBST for 1 hour at room temperature. The primary antibody (HA750149) at 1/2,000 dilution was used in 5% NFDM/TBST at 4℃ overnight. Goat Anti-Rabbit IgG - HRP Secondary Antibody (HA1001) at 1/50,000 dilution was used for 1 hour at room temperature.
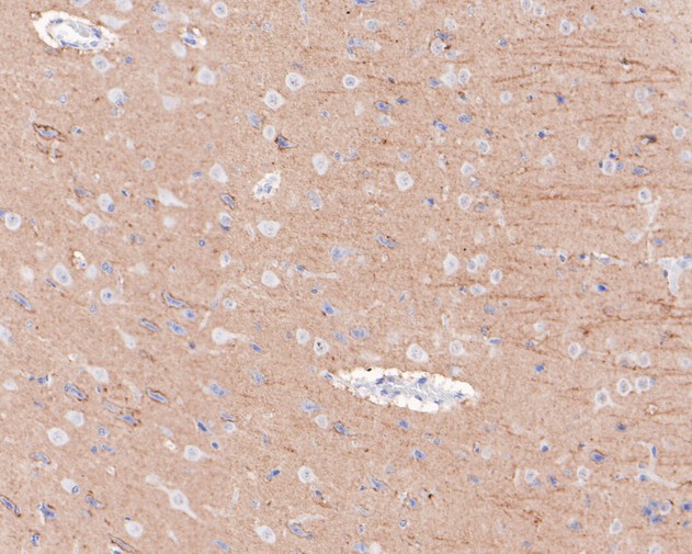
HA750149_2.jpg Fig2: Immunohistochemical analysis of paraffin-embedded human brain tissue with Rabbit anti-CD90 / THY1 antibody (HA750149) at 1/1,000 dilution.

The section was pre-treated using heat mediated antigen retrieval with Tris-EDTA buffer (pH 9.0) for 20 minutes. The tissues were blocked in 1% BSA for 20 minutes at room temperature, washed with ddH2O and PBS, and then probed with the primary antibody (HA750149) at 1/1,000 dilution for 1 hour at room temperature. The detection was performed using an HRP conjugated compact polymer system. DAB was used as the chromogen. Tissues were counterstained with hematoxylin and mounted with DPX.
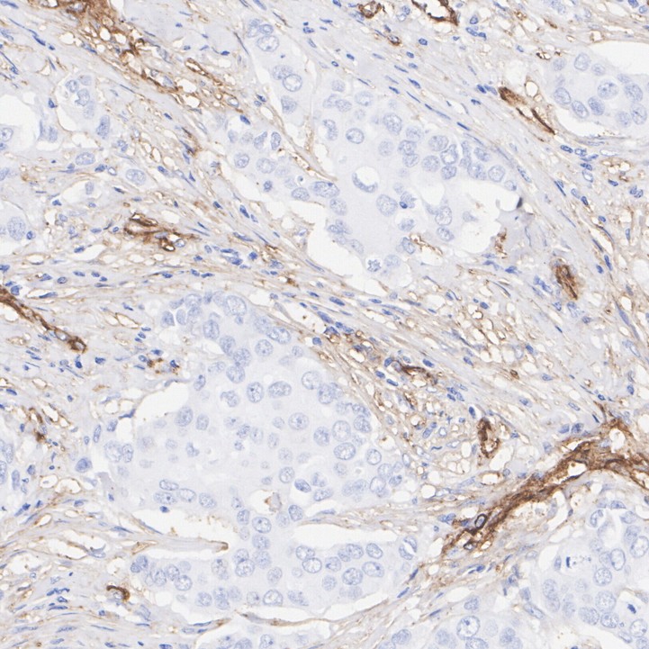
HA750149_3.jpg Fig3: Immunohistochemical analysis of paraffin-embedded human breast cancer tissue with Rabbit anti-CD90 / THY1 antibody (HA750149) at 1/1,000 dilution.

The section was pre-treated using heat mediated antigen retrieval with Tris-EDTA buffer (pH 9.0) for 20 minutes. The tissues were blocked in 1% BSA for 20 minutes at room temperature, washed with ddH2O and PBS, and then probed with the primary antibody (HA750149) at 1/1,000 dilution for 1 hour at room temperature. The detection was performed using an HRP conjugated compact polymer system. DAB was used as the chromogen. Tissues were counterstained with hematoxylin and mounted with DPX.
HA750149_4.jpg Fig4: Immunohistochemical analysis of paraffin-embedded rat brain tissue with Rabbit anti-CD90 / THY1 antibody (HA750149) at 1/200 dilution.

The section was pre-treated using heat mediated antigen retrieval with Tris-EDTA buffer (pH 9.0) for 20 minutes. The tissues were blocked in 1% BSA for 20 minutes at room temperature, washed with ddH2O and PBS, and then probed with the primary antibody (HA750149) at 1/200 dilution for 1 hour at room temperature. The detection was performed using an HRP conjugated compact polymer system. DAB was used as the chromogen. Tissues were counterstained with hematoxylin and mounted with DPX.
Note: All products are “FOR RESEARCH USE ONLY AND ARE NOT INTENDED FOR DIAGNOSTIC OR THERAPEUTIC USE”.