Dnmt3a Recombinant Rabbit Monoclonal Antibody [ST04-78]
cat.: HA750169
Product Type: Recombinant Rabbit monoclonal IgG, primary antibodies
Species reactivity: Human, Mouse, Rat
Applications: WB, IF-Tissue, IHC-P
Clonality: Monoclonal
Clone number: ST04-78
Form: Liquid
Storage condition: Store at +4℃ after thawing. Aliquot store at -20℃ or -80℃. Avoid repeated freeze / thaw cycles.
Storage buffer: 1*PBS (pH7.4).
Concentration: 1ug/ul
Purification: Protein A affinity purified.
Molecular weight: Predicted band size: 102 kDa
Isotype: IgG
Immunogen: Synthetic peptide within human Dnmt3a aa 600-640.
Positive control: C2C12 cell lysate, NIH/3T3 cell lysate, Mouse brain tissue lysate, Mouse skeletal muscle tissue lysate, SH-SY5Y cell lysate, Hela cell lysate, mouse testis tissue, rat testis tissue.
Subcellular location: Cytoplasm, Nucleus, Chromosome.
Recommended Dilutions:
  WB
  IF-Tissue
  IHC-P

1:1,000-1:5,000
1:50-1:200
1:200-1:3,000
Uniprot #: SwissProt: Q9Y6K1 Human | O88508 Mouse | Q1LZ53 Rat
Alternative names: DNA (cytosine 5) methyltransferase 3 alpha DNA (cytosine 5) methyltransferase 3A DNA (cytosine-5)-methyltransferase 3A DNA cytosine methyltransferase 3A2 DNA methyltransferase 3 alpha DNA methyltransferase 3a DNA methyltransferase HsaIIIA DNA MTase HsaIIIA DNM3A_HUMAN DNMT 3a DNMT Dnmt3a DNMT3A2 M.HsaIIIA MCMT OTTHUMP00000201149 TBRS
Images
HA750169_1.jpg Fig1: Western blot analysis of Dnmt3a on different lysates with Rabbit anti-Dnmt3a antibody (HA750169) at 1/1,000 dilution.

Lane 1: C2C12 cell lysate
Lane 2: NIH/3T3 cell lysate
Lane 3: Mouse brain tissue lysate
Lane 4: Mouse skeletal muscle tissue lysate

Lysates/proteins at 30 µg/Lane.

Predicted band size: 102 kDa
Observed band size: 130 kDa

Exposure time: 3 minutes; ECL: K1801;

4-20% SDS-PAGE gel.

Proteins were transferred to a PVDF membrane and blocked with 5% NFDM/TBST for 1 hour at room temperature. The primary antibody (HA750169) at 1/1,000 dilution was used in 5% NFDM/TBST at 4℃ overnight. Goat Anti-Rabbit IgG - HRP Secondary Antibody (HA1001) at 1/50,000 dilution was used for 1 hour at room temperature.
HA750169_2.jpg Fig2: Western blot analysis of Dnmt3a on different lysates with Rabbit anti-Dnmt3a antibody (HA750169) at 1/1,000 dilution.

Lane 1: SH-SY5Y cell lysate
Lane 2: Hela cell lysate

Lysates/proteins at 10 µg/Lane.

Predicted band size: 102 kDa
Observed band size: 130 kDa

Exposure time: 2 minutes;

8% SDS-PAGE gel.

Proteins were transferred to a PVDF membrane and blocked with 5% NFDM/TBST for 1 hour at room temperature. The primary antibody (HA750169) at 1/1,000 dilution was used in 5% NFDM/TBST at room temperature for 2 hours. Goat Anti-Rabbit IgG - HRP Secondary Antibody (HA1001) at 1:300,000 dilution was used for 1 hour at room temperature.
HA750169_3.jpg Fig3: Western blot analysis of Dnmt3a on different lysates with Rabbit anti-Dnmt3a antibody (HA750169) at 1/2,000 dilution.

Lane 1: HCT116-WT cell lysate
Lane 2: HCT116-KD cell lysate

Lysates/proteins at 10 µg/Lane.

Predicted band size: 102 kDa
Observed band size: 130 kDa

Exposure time: 2 minutes; ECL: K1801;

4-20% SDS-PAGE gel.

Proteins were transferred to a PVDF membrane and blocked with 5% NFDM/TBST for 1 hour at room temperature. The primary antibody (HA750169) at 1/2,000 dilution was used in 5% NFDM/TBST at 4℃ overnight. Goat Anti-Rabbit IgG - HRP Secondary Antibody (HA1001) at 1/50,000 dilution was used for 1 hour at room temperature.
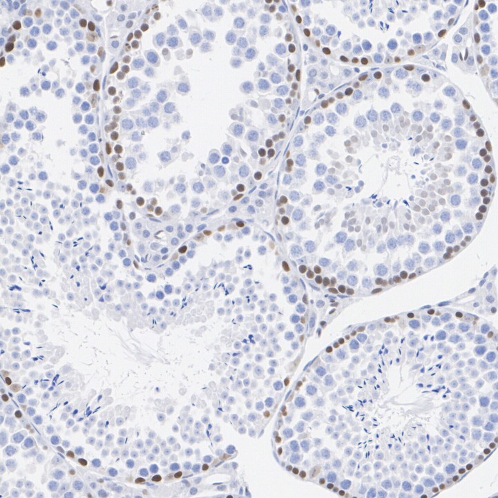
HA750169_4.jpg Fig4: Immunohistochemical analysis of paraffin-embedded mouse testis tissue with Rabbit anti-Dnmt3a antibody (HA750169) at 1/3,000 dilution.

The section was pre-treated using heat mediated antigen retrieval with sodium citrate buffer (pH 6.0) (high pressure) for 2 minutes. The tissues were blocked in 1% BSA for 20 minutes at room temperature, washed with ddH2O and PBS, and then probed with the primary antibody (HA750169) at 1/3,000 dilution for 1 hour at room temperature. The detection was performed using an HRP conjugated compact polymer system. DAB was used as the chromogen. Tissues were counterstained with hematoxylin and mounted with DPX.
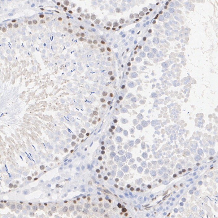
HA750169_5.jpg Fig5: Immunohistochemical analysis of paraffin-embedded rat testis tissue with Rabbit anti-Dnmt3a antibody (HA750169) at 1/200 dilution.

The section was pre-treated using heat mediated antigen retrieval with sodium citrate buffer (pH 6.0) (high pressure) for 2 minutes. The tissues were blocked in 1% BSA for 20 minutes at room temperature, washed with ddH2O and PBS, and then probed with the primary antibody (HA750169) at 1/200 dilution for 1 hour at room temperature. The detection was performed using an HRP conjugated compact polymer system. DAB was used as the chromogen. Tissues were counterstained with hematoxylin and mounted with DPX.
Note: All products are “FOR RESEARCH USE ONLY AND ARE NOT INTENDED FOR DIAGNOSTIC OR THERAPEUTIC USE”.