ATP citrate lyase Recombinant Rabbit Monoclonal Antibody [ST51-07]
cat.: HA750171
Product Type: Recombinant Rabbit monoclonal IgG, primary antibodies
Species reactivity: Human, Mouse, Rat
Applications: WB, IF-Cell, IF-Tissue, IHC-P, FC, IP
Clonality: Monoclonal
Clone number: ST51-07
Form: Liquid
Storage condition: Store at +4℃ after thawing. Aliquot store at -20℃ or -80℃. Avoid repeated freeze / thaw cycles.
Storage buffer: 1*PBS (pH7.4).
Concentration: 1ug/ul
Purification: Protein A affinity purified.
Molecular weight: Predicted band size: 121 kDa
Isotype: IgG
Immunogen: Synthetic peptide within C-terminal human ATP citrate lyase.
Positive control: HeLa cell lysate, A549 cell lysate, NIH/3T3 cell lysate, Mouse liver tissue lysate, Rat liver tissue lysate, C6 cell lysate, HeLa, NIH/3T3, human kidney tissue, mouse kidney tissue, rat kidney tissue, human thyroid tissue.
Subcellular location: Cytoplasm, cytosol.
Recommended Dilutions:
  WB
  IF-Cell
  IF-Tissue
  IHC-P
  FC
  IP

1:1,000-1:5,000
1:1,000
1:50-1:200
1:200-1:1,000
1:1,000
1-2μg/sample
Uniprot #: SwissProt: P53396 Human | Q91V92 Mouse | P16638 Rat
Alternative names: ACL Acly ACLY_HUMAN ATP citrate (pro-S) lyase ATP citrate lyase ATP citrate synthase ATP-citrate (pro-S-)-lyase ATP-citrate synthase ATPcitrate synthase ATPCL Citrate cleavage enzyme CLATP OTTHUMP00000164773
Images
HA750171_1.jpg Fig1: Western blot analysis of ATP citrate lyase with anti-ATP citrate lyase antibody [ST51-07] (HA750171) at 1/1,000 dilution.
Lane 1: Wild-type A549 whole cell lysate (20 µg).
Lane 2: ATP citrate lyase knockout A549 whole cell lysate (20 µg).

ET1609-37 was shown to specifically react with ATP citrate lyase in wild-type A549 cells. No band was observed when ATP citrate lyase knockout sample was tested. Wild-type and ATP citrate lyase knockout samples were subjected to SDS-PAGE. Proteins were transferred to a PVDF membrane and blocked with 5% NFDM in TBST for 1 hour at room temperature. The primary antibody (ET1609-37, 1/1,000) and Loading control antibody (Rabbit anti-HSP90, ET1605-56, 1/10,000)was used in 5% BSA at room temperature for 2 hours. Goat Anti-Rabbit IgG-HRP Secondary Antibody (HA1001) at 1:200,000 dilution was used for 1 hour at room temperature.
HA750171_2.jpg Fig2: Western blot analysis of ATP citrate lyase on different lysates with Rabbit anti-ATP citrate lyase antibody (HA750171) at 1/5,000 dilution.

Lane 1: HeLa cell lysate (20 µg/Lane)
Lane 2: A549 cell lysate (20 µg/Lane)
Lane 3: NIH/3T3 cell lysate (20 µg/Lane)
Lane 4: Mouse liver tissue lysate (40 µg/Lane)
Lane 5: Rat liver tissue lysate (40 µg/Lane)

Predicted band size: 121 kDa
Observed band size: 121 kDa

Exposure time: 10 seconds; ECL: K1801;

4-20% SDS-PAGE gel.

Proteins were transferred to a PVDF membrane and blocked with 5% NFDM/TBST for 1 hour at room temperature. The primary antibody (HA750171) at 1/5,000 dilution was used in primary antibody dilution (K1803) at 4℃ overnight. Goat Anti-Rabbit IgG - HRP Secondary Antibody (HA1001) at 1/50,000 dilution was used for 1 hour at room temperature.
HA750171_3.jpg Fig3: Western blot analysis of ATP citrate lyase on different lysates with Rabbit anti-ATP citrate lyase antibody (HA750171) at 1/1,000 dilution.

Lane 1: HeLa cell lysate
Lane 2: NIH/3T3 cell lysate
Lane 3: C6 cell lysate

Lysates/proteins at 10 µg/Lane.

Predicted band size: 121 kDa
Observed band size: 121 kDa

Exposure time: 10 seconds; ECL: K1801;

4-20% SDS-PAGE gel.

Proteins were transferred to a PVDF membrane and blocked with 5% NFDM/TBST for 1 hour at room temperature. The primary antibody (HA750171) at 1/1,000 dilution was used in 5% NFDM/TBST at 4℃ overnight. Goat Anti-Rabbit IgG - HRP Secondary Antibody (HA1001) at 1/50,000 dilution was used for 1 hour at room temperature.
HA750171_4.jpg Fig4: Immunocytochemistry analysis of HeLa cells labeling ATP citrate lyase with Rabbit anti-ATP citrate lyase antibody (HA750171) at 1/1,000 dilution.

Cells were fixed in 4% paraformaldehyde for 20 minutes at room temperature, permeabilized with 0.1% Triton X-100 in PBS for 5 minutes at room temperature, then blocked with 1% BSA in 10% negative goat serum for 1 hour at room temperature. Cells were then incubated with Rabbit anti-ATP citrate lyase antibody (HA750171) at 1/1,000 dilution in 1% BSA in PBST overnight at 4 ℃. Goat Anti-Rabbit IgG H&L (iFluor™ 488, HA1121) was used as the secondary antibody at 1/1,000 dilution. PBS instead of the primary antibody was used as the secondary antibody only control. Nuclear DNA was labelled in blue with DAPI.

Beta tubulin (M1305-2, red) was stained at 1/100 dilution overnight at +4℃. Goat Anti-Mouse IgG H&L (iFluor™ 594, HA1126) was used as the secondary antibody at 1/1,000 dilution.
HA750171_5.jpg Fig5: Immunocytochemistry analysis of NIH/3T3 cells labeling ATP citrate lyase with Rabbit anti-ATP citrate lyase antibody (HA750171) at 1/1,000 dilution.

Cells were fixed in 4% paraformaldehyde for 20 minutes at room temperature, permeabilized with 0.1% Triton X-100 in PBS for 5 minutes at room temperature, then blocked with 1% BSA in 10% negative goat serum for 1 hour at room temperature. Cells were then incubated with Rabbit anti-ATP citrate lyase antibody (HA750171) at 1/1,000 dilution in 1% BSA in PBST overnight at 4 ℃. Goat Anti-Rabbit IgG H&L (iFluor™ 488, HA1121) was used as the secondary antibody at 1/1,000 dilution. PBS instead of the primary antibody was used as the secondary antibody only control. Nuclear DNA was labelled in blue with DAPI.

Beta tubulin (M1305-2, red) was stained at 1/100 dilution overnight at +4℃. Goat Anti-Mouse IgG H&L (iFluor™ 594, HA1126) was used as the secondary antibody at 1/1,000 dilution.
HA750171_6.jpg Fig6: Immunohistochemical analysis of paraffin-embedded human kidney tissue with Rabbit anti-ATP citrate lyase antibody (HA750171) at 1/1,000 dilution.

The section was pre-treated using heat mediated antigen retrieval with Tris-EDTA buffer (pH 9.0) for 20 minutes. The tissues were blocked in 1% BSA for 20 minutes at room temperature, washed with ddH2O and PBS, and then probed with the primary antibody (HA750171) at 1/1,000 dilution for 1 hour at room temperature. The detection was performed using an HRP conjugated compact polymer system. DAB was used as the chromogen. Tissues were counterstained with hematoxylin and mounted with DPX.
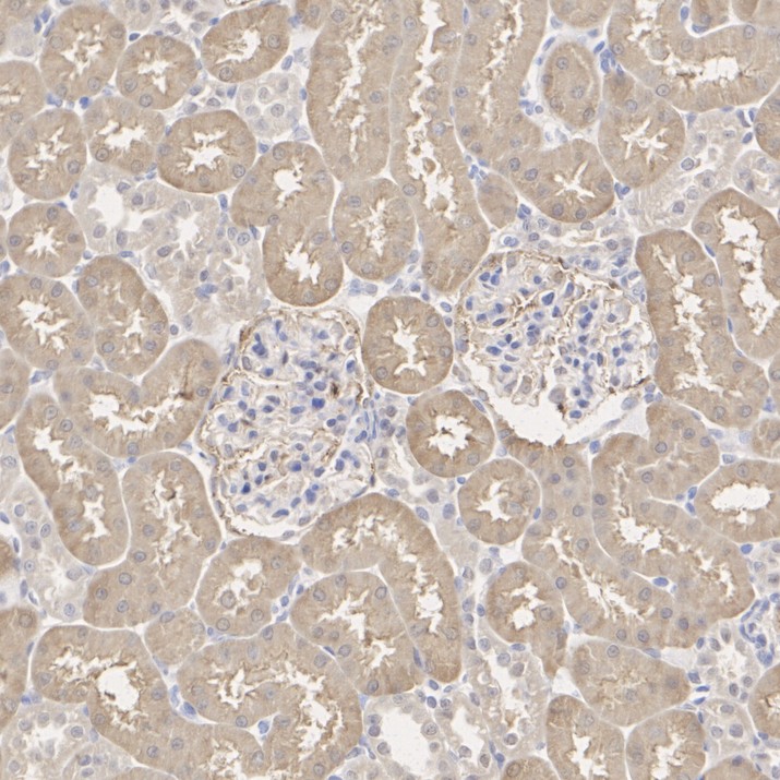
HA750171_7.jpg Fig7: Immunohistochemical analysis of paraffin-embedded mouse kidney tissue with Rabbit anti-ATP citrate lyase antibody (HA750171) at 1/1,000 dilution.

The section was pre-treated using heat mediated antigen retrieval with Tris-EDTA buffer (pH 9.0) for 20 minutes. The tissues were blocked in 1% BSA for 20 minutes at room temperature, washed with ddH2O and PBS, and then probed with the primary antibody (HA750171) at 1/1,000 dilution for 1 hour at room temperature. The detection was performed using an HRP conjugated compact polymer system. DAB was used as the chromogen. Tissues were counterstained with hematoxylin and mounted with DPX.
HA750171_8.jpg Fig8: Immunohistochemical analysis of paraffin-embedded rat kidney tissue with Rabbit anti-ATP citrate lyase antibody (HA750171) at 1/1,000 dilution.

The section was pre-treated using heat mediated antigen retrieval with Tris-EDTA buffer (pH 9.0) for 20 minutes. The tissues were blocked in 1% BSA for 20 minutes at room temperature, washed with ddH2O and PBS, and then probed with the primary antibody (HA750171) at 1/1,000 dilution for 1 hour at room temperature. The detection was performed using an HRP conjugated compact polymer system. DAB was used as the chromogen. Tissues were counterstained with hematoxylin and mounted with DPX.
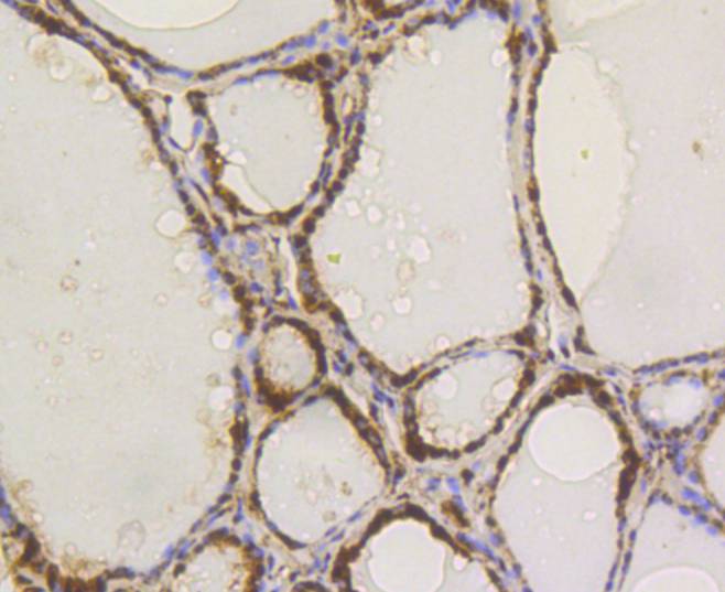
HA750171_9.jpg Fig9: Immunohistochemical analysis of paraffin-embedded human thyroid tissue using anti-ATP citrate lyase antibody. The section was pre-treated using heat mediated antigen retrieval with Tris-EDTA buffer (pH 8.0-8.4) for 20 minutes.The tissues were blocked in 5% BSA for 30 minutes at room temperature, washed with ddH2O and PBS, and then probed with the primary antibody (HA750171, 1/50) for 30 minutes at room temperature. The detection was performed using an HRP conjugated compact polymer system. DAB was used as the chromogen. Tissues were counterstained with hematoxylin and mounted with DPX.
HA750171_10.jpg Fig10: Flow cytometric analysis of HeLa cells labeling ATP citrate lyase.

Cells were fixed and permeabilized. Then stained with the primary antibody (HA750171, 1/1,000) (red) compared with Rabbit IgG Isotype Control (green). After incubation of the primary antibody at +4℃ for an hour, the cells were stained with a iFluor™ 488 conjugate-Goat anti-Rabbit IgG Secondary antibody (HA1121) at 1/1,000 dilution for 30 minutes at +4℃. Unlabelled sample was used as a control (cells without incubation with primary antibody; black).
HA750171_11.jpg Fig11: Flow cytometric analysis of NIH/3T3 cells labeling ATP citrate lyase.

Cells were fixed and permeabilized. Then stained with the primary antibody (HA750171, 1/1,000) (red) compared with Rabbit IgG Isotype Control (green). After incubation of the primary antibody at +4℃ for an hour, the cells were stained with a iFluor™ 488 conjugate-Goat anti-Rabbit IgG Secondary antibody (HA1121) at 1/1,000 dilution for 30 minutes at +4℃. Unlabelled sample was used as a control (cells without incubation with primary antibody; black).
HA750171_12.jpg Fig12: ATP citrate lyase was immunoprecipitated from 0.2 mg NIH/3T3 cell lysate with HA750171 at 2 µg/10 µl beads. Western blot was performed from the immunoprecipitate using HA750171 at 1/1,000 dilution. HRP Conjugated Anti-Rabbit IgG for IP Nano-secondary antibody at 1/5,000 dilution was used for 1 hour at room temperature.

Lane 1: NIH/3T3 cell lysate (input)
Lane 2: HA750171 IP in NIH/3T3 cell lysate
Lane 3: Rabbit IgG instead of HA750171 in NIH/3T3 cell lysate

Blocking/Dilution buffer: primary antibody dilution (K1803)
Exposure time: 2 seconds; ECL: K1801
Note: All products are “FOR RESEARCH USE ONLY AND ARE NOT INTENDED FOR DIAGNOSTIC OR THERAPEUTIC USE”.