Phospho-Smad3 (S423 + S425) Recombinant Rabbit Monoclonal Antibody [ST0493]
cat.: HA750172
Product Type: Recombinant Rabbit monoclonal IgG, primary antibodies
Species reactivity: Human, Mouse
Applications: WB, IF-Cell, IF-Tissue, IHC-P
Clonality: Monoclonal
Clone number: ST0493
Form: Liquid
Storage condition: Store at +4℃ after thawing. Aliquot store at -20℃ or -80℃. Avoid repeated freeze / thaw cycles.
Storage buffer: 1*PBS (pH7.4).
Concentration: 1ug/ul
Purification: Protein A affinity purified.
Molecular weight: Predicted band size: 48 kDa
Isotype: IgG
Immunogen: Synthetic phospho-peptide corresponding to residues surrounding Ser423 and 425 of human Smad3.
Positive control: A549 treated with 5ng/mL TGF-beta1 for 24 hours whole cell lysate, C2C12 treated with 5ng/mL TGF-beta1 for 24 hours whole cell lysate, HeLa starved overnight then treated with 10ng/mL TGF-β1 for 30 minutes cell lysate, NIH/3T3 starved overnight then treated with 10ng/mL TGF-β1 for 30 minutes cell lysate, A549, human large intestine tissue, mouse skin tissue, mouse kidney tissue.
Subcellular location: Cytoplasm, Nucleus.
Recommended Dilutions:
  WB
  IF-Cell
  IF-Tissue
  IHC-P

1:2,000-1:5,000
1:500
1:200
1:200-1:1,000
Uniprot #: SwissProt: P84022 Human | Q8BUN5 Mouse
Alternative names: DKFZP586N0721 DKFZp686J10186 hMAD 3 hMAD-3 hSMAD3 HSPC193 HST17436 JV15 2 JV15-2 JV152 LDS1C LDS3 MAD (mothers against decapentaplegic Drosophila) homolog 3 MAD homolog 3 Mad homolog JV15 2 Mad protein homolog MAD, mothers against decapentaplegic homolog 3 Mad3 MADH 3 MADH3 MGC60396 Mothers against decapentaplegic homolog 3 Mothers against DPP homolog 3 SMA and MAD related protein 3 SMAD 3 SMAD SMAD family member 3 SMAD, mothers against DPP homolog 3 Smad3 SMAD3_HUMAN
Images
HA750172_1.jpg Fig1: Western blot analysis of Phospho-Smad3 (S423 + S425) on different lysates with Rabbit anti-Phospho-Smad3 (S423 + S425) antibody (HA750172) at 1/5,000 dilution and competitor's antibody at 1/1,000 dilution.

Lane 1: A549 whole cell lysate
Lane 2: A549 treated with 5ng/mL TGF-beta1 for 24 hours whole cell lysate
Lane 3: C2C12 whole cell lysate
Lane 4: C2C12 treated with 5ng/mL TGF-beta1 for 24 hours whole cell lysate

Lysates/proteins at 15 µg/Lane.

Predicted band size: 48 kDa
Observed band size: 55 kDa

Exposure time: 2 minutes; ECL: K1802;

4-20% SDS-PAGE gel.

Proteins were transferred to a PVDF membrane and blocked with 5% NFDM/TBST for 1 hour at room temperature. The primary antibody (HA750172) at 1/5,000 dilution and competitor's antibody at 1/1,000 dilution were used in 5% NFDM/TBST at 4℃ overnight. Goat Anti-Rabbit IgG - HRP Secondary Antibody (HA1001) at 1/50,000 dilution was used for 1 hour at room temperature.
HA750172_2.jpg Fig2: Western blot analysis of Phospho-Smad3(S423/S425) on K562 cell lysates.

Lane 1: K562 cells, whole cell lysate, 10ug/lane
Lane 2: K562 cells treated with 2.8ug/ul lambda-PP for 30 minutes, whole cell lysates, 10ug/lane

All lanes :
Anti-Phospho-Smad3(S423/S425) antibody (HA750172) at 1/2,000 dilution. Anti-GAPDH antibody (ET1601-4) at 1:10,000 dilution. Goat Anti-Rabbit IgG H&L (HRP) (HA1001) at 1/200,000 dilution.

Predicted band size: 48 kDa
Observed band size: 55 kDa

Blocking and diluting buffer: 5% BSA.

Exposure time: 3 minutes 43 seconds
HA750172_3.jpg Fig3: Western blot analysis of Phospho-Smad3 (S423 + S425) on different lysates with Rabbit anti-Phospho-Smad3 (S423 + S425) antibody (HA750172) at 1/2,000 dilution.

Lane 1: HeLa cell lysate
Lane 2: HeLa starved overnight then treated with 10ng/mL TGF-β1 for 30 minutes cell lysate
Lane 3: A549 cell lysate
Lane 4: A549 treated with 5ng/mL TGF-beta1 for 24 hours cell lysate
Lane 5: NIH/3T3 cell lysate
Lane 6: NIH/3T3 starved overnight then treated with 10ng/mL TGF-β1 for 30 minutes cell lysate

Lysates/proteins at 20 µg/Lane.

Predicted band size: 48 kDa
Observed band size: 55 kDa

Exposure time: 2 minutes; ECL: K1801;

4-20% SDS-PAGE gel.

Proteins were transferred to a PVDF membrane and blocked with 5% NFDM/TBST for 1 hour at room temperature. The primary antibody (HA750172) at 1/2,000 dilution was used in 5% NFDM/TBST at 4℃ overnight. Goat Anti-Rabbit IgG - HRP Secondary Antibody (HA1001) at 1/50,000 dilution was used for 1 hour at room temperature.
HA750172_4.jpg Fig4: Immunocytochemistry analysis of A549 cells labeling Phospho-Smad3 (S423 + S425) with Rabbit anti-Phospho-Smad3 (S423 + S425) antibody (HA750172) at 1/500 dilution.

Cells were fixed in 4% paraformaldehyde for 20 minutes at room temperature, permeabilized with 0.1% Triton X-100 in PBS for 5 minutes at room temperature, then blocked with 1% BSA in 10% negative goat serum for 1 hour at room temperature. Cells were then incubated with Rabbit anti-Phospho-Smad3 (S423 + S425) antibody (HA750172) at 1/500 dilution in 1% BSA in PBST overnight at 4 ℃. Goat Anti-Rabbit IgG H&L (iFluor™ 488, HA1121) was used as the secondary antibody at 1/1,000 dilution. PBS instead of the primary antibody was used as the secondary antibody only control. Nuclear DNA was labelled in blue with DAPI.

Beta tubulin (M1305-2, red) was stained at 1/100 dilution overnight at +4℃. Goat Anti-Mouse IgG H&L (iFluor™ 594, HA1126) was used as the secondary antibody at 1/1,000 dilution.
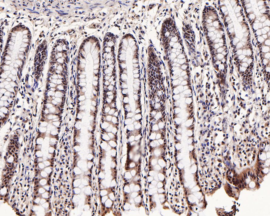
HA750172_5.jpg Fig5: Immunohistochemical analysis of paraffin-embedded human large intestine tissue with Rabbit anti-Phospho-Smad3 (S423 + S425) antibody (HA750172) at 1/200 dilution.

The section was pre-treated using heat mediated antigen retrieval with sodium citrate buffer (pH 6.0) (high pressure) for 2 minutes. The tissues were blocked in 1% BSA for 20 minutes at room temperature, washed with ddH2O and PBS, and then probed with the primary antibody (HA750172) at 1/200 dilution for 1 hour at room temperature. The detection was performed using an HRP conjugated compact polymer system. DAB was used as the chromogen. Tissues were counterstained with hematoxylin and mounted with DPX.
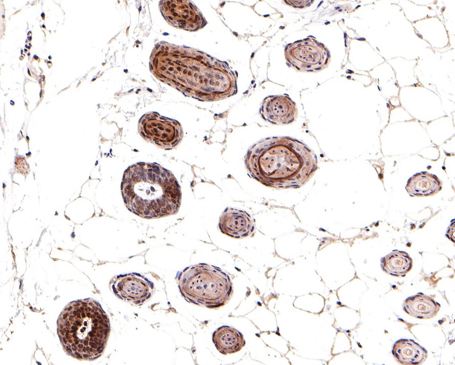
HA750172_6.jpg Fig6: Immunohistochemical analysis of paraffin-embedded mouse skin tissue with Rabbit anti-Phospho-Smad3 (S423 + S425) antibody (HA750172) at 1/500 dilution.

The section was pre-treated using heat mediated antigen retrieval with sodium citrate buffer (pH 6.0) (high pressure) for 2 minutes. The tissues were blocked in 1% BSA for 20 minutes at room temperature, washed with ddH2O and PBS, and then probed with the primary antibody (HA750172) at 1/500 dilution for 1 hour at room temperature. The detection was performed using an HRP conjugated compact polymer system. DAB was used as the chromogen. Tissues were counterstained with hematoxylin and mounted with DPX.
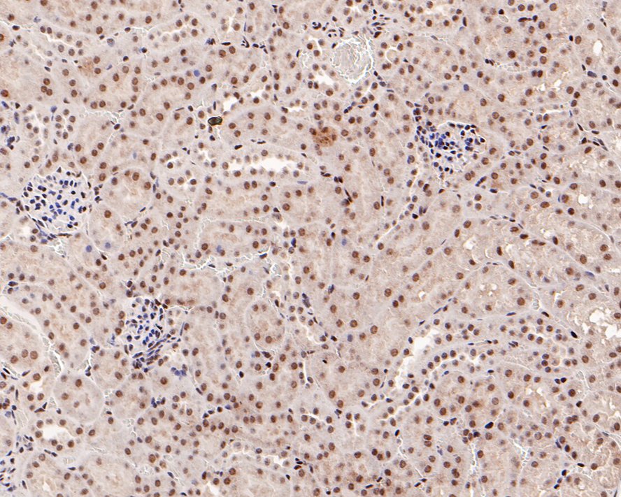
HA750172_7.jpg Fig7: Immunohistochemical analysis of paraffin-embedded mouse kidney tissue with Rabbit anti-Phospho-Smad3 (S423 + S425) antibody (HA750172) at 1/1,000 dilution.

The section was pre-treated using heat mediated antigen retrieval with sodium citrate buffer (pH 6.0) (high pressure) for 2 minutes. The tissues were blocked in 1% BSA for 20 minutes at room temperature, washed with ddH2O and PBS, and then probed with the primary antibody (HA750172) at 1/1,000 dilution for 1 hour at room temperature. The detection was performed using an HRP conjugated compact polymer system. DAB was used as the chromogen. Tissues were counterstained with hematoxylin and mounted with DPX.
HA750172_8.jpg Fig8: Immunofluorescence analysis of paraffin-embedded human large intestine tissue labeling Phospho-Smad3 (S423 + S425) with Rabbit anti-Phospho-Smad3 (S423 + S425) antibody (HA750172) at 1/200 dilution.

The section was pre-treated using heat mediated antigen retrieval with sodium citrate buffer (pH 6.0) (high pressure) for 2 minutes. The tissues were blocked in 10% negative goat serum for 1 hour at room temperature, washed with PBS, and then probed with the primary antibody (HA750172, green) at 1/200 dilution overnight at 4 ℃, washed with PBS. Goat Anti-Rabbit IgG H&L (iFluor™ 488, HA1121) was used as the secondary antibody at 1/1,000 dilution. Nuclei were counterstained with DAPI (blue).
HA750172_9.jpg Fig9: Immunofluorescence analysis of paraffin-embedded mouse kidney tissue labeling Phospho-Smad3 (S423 + S425) with Rabbit anti-Phospho-Smad3 (S423 + S425) antibody (HA750172) at 1/200 dilution.

The section was pre-treated using heat mediated antigen retrieval with sodium citrate buffer (pH 6.0) (high pressure) for 2 minutes. The tissues were blocked in 10% negative goat serum for 1 hour at room temperature, washed with PBS, and then probed with the primary antibody (HA750172, green) at 1/200 dilution overnight at 4 ℃, washed with PBS. Goat Anti-Rabbit IgG H&L (iFluor™ 488, HA1121) was used as the secondary antibody at 1/1,000 dilution. Nuclei were counterstained with DAPI (blue).
Note: All products are “FOR RESEARCH USE ONLY AND ARE NOT INTENDED FOR DIAGNOSTIC OR THERAPEUTIC USE”.