Phospho-JNK1/2/3 (T183 + T183 + T221) Recombinant Rabbit Monoclonal Antibody [ST500]
cat.: HA750173
Product Type: Recombinant Rabbit monoclonal IgG, primary antibodies
Species reactivity: Human, Mouse, Rat
Applications: WB, IF-Cell, IF-Tissue, IHC-P, IP, FC, IHC-Fr
Clonality: Monoclonal
Clone number: ST500
Form: Liquid
Storage condition: Store at +4℃ after thawing. Aliquot store at -20℃ or -80℃. Avoid repeated freeze / thaw cycles.
Storage buffer: 1*PBS (pH7.4).
Concentration: 1ug/ul
Purification: Protein A affinity purified.
Molecular weight: Predicted band size: 48/53 kDa
Isotype: IgG
Immunogen: Synthetic phospho-peptide corresponding to residues surrounding Thr183 of Human JNK1 aa 161-204 / 427.
Positive control: A431 cell lysate treated with UV40, 293 cell lysate treated with UV40, Hela cell lysate treated with UV40, HeLa treated with 25μg/mL Anisomycin for 30 minutes cell lysate, NIH/3T3 treated with 25μg/mL Anisomycin for 30 minutes cell lysate, C6 treated with 25ug/mL Anisomycin for 30 minutes cell lysate, Hela, NIH/3T3, HUVEC, human colon tissue, human endometrium tissue, mouse heart tissue, rat liver tissue, rat kidney tissue.
Subcellular location: Cytoplasm, Membrane, Mitochondrion, Nucleus.
Recommended Dilutions:
  WB
  IF-Cell
  IF-Tissue
  IHC-P
  FC
  IP
  IHC-Fr

1:2,000-1:5,000
1:100-1:200
1:200-1:500
1:400-1:1,000
1:500-1:1,000
Use at an assay dependent concentration.
1:100-1:500
Uniprot #: SwissProt: P45983 Human | P45984 Human | P53779 Human | Q61831 Mouse | Q91Y86 Mouse | Q9WTU6 Mouse | P49185 Rat | P49186 Rat | P49187 Rat
Alternative names: C Jun kinase 2 c Jun N terminal kinase 1 c Jun N terminal kinase 2 c Jun N terminal kinase 3 c-Jun N-terminal kinase 1 JNK 46 JNK 55 JNK JNK-46 JNK1 JNK1A2 JNK2 JNK21B1/2 JNK2A JNK2ALPHA JNK2B JNK2BETA JNK3 alpha protein kinase JNK3 JNK3A Jun kinase JUN N terminal kinase MAP kinase 10 MAP kinase 8 MAP kinase 9 MAP kinase p49 3F12 MAPK 10 MAPK 8 MAPK 9 MAPK10 mapk8 MAPK9 Mitogen activated protein kinase 10 Mitogen activated protein kinase 8 Mitogen activated protein kinase 8 isoform JNK1 alpha1 Mitogen activated protein kinase 8 isoform JNK1 beta2 Mitogen activated protein kinase 9 Mitogen-activated protein kinase 8 MK08_HUMAN p493F12 p54a p54aSAPK p54bSAPK PRKM10 PRKM8 PRKM9 SAPK SAPK(beta) SAPK1 SAPK1a SAPK1b SAPK1c Stress activated protein kinase 1 Stress activated protein kinase 1a Stress activated protein kinase 1b Stress activated protein kinase 1c Stress activated prote......
Images
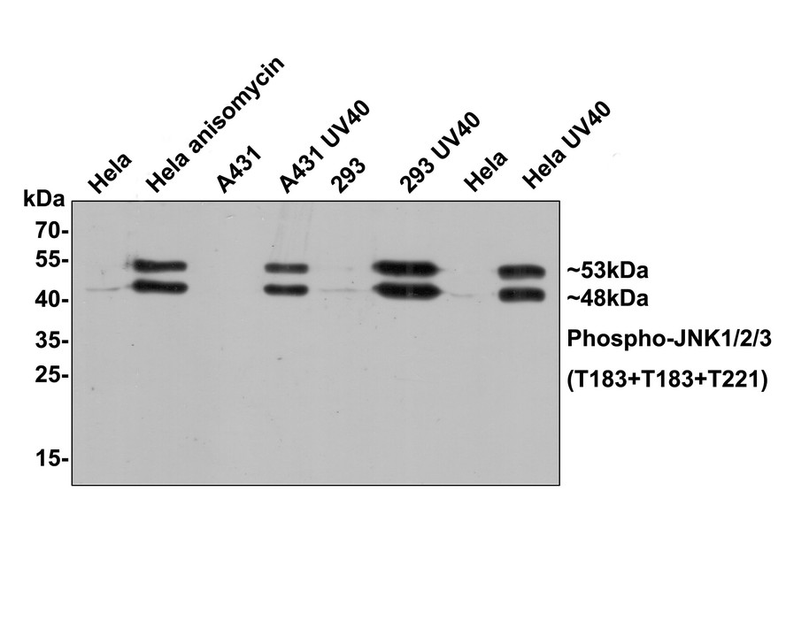
HA750173_1.jpg Fig1: Western blot analysis of Phospho-JNK1/2/3 (T183 + T183 + T221) on different lysates with Rabbit anti-Phospho-JNK1/2/3 (T183 + T183 + T221) antibody (HA750173) at 1/1,000 dilution.

Lane 1: Hela cell lysate, untreated (10 µg/Lane)
Lane 2: Hela cell lysate, treated with Anisomycin (10 µg/Lane)
Lane 3: A431 cell lysate, untreated (10 µg/Lane)
Lane 4: A431 cell lysate, treated with UV40 (10 µg/Lane)
Lane 5: 293 cell lysate, untreated (10 µg/Lane)
Lane 6: 293 cell lysate, treated with UV40 (10 µg/Lane)
Lane 7: Hela cell lysate, untreated (10 µg/Lane)
Lane 8: Hela cell lysate, treated with UV40 (10 µg/Lane)

Predicted band size: 48/53 kDa
Observed band size: 48/53 kDa

Exposure time: 2 minutes;
12% SDS-PAGE gel.

Proteins were transferred to a PVDF membrane and blocked with 5% NFDM/TBST for 1 hour at room temperature. The primary antibody (HA750173) at 1/1,000 dilution was used in 5% NFDM/TBST at room temperature for 2 hours. Goat Anti-Rabbit IgG - HRP Secondary Antibody (HA1001) at 1:300,000 dilution was used for 1 hour at room temperature.
HA750173_2.jpg Fig2: Western blot analysis of Phospho-JNK1/2/3 (T183 + T183 + T221) on different lysates with Rabbit anti-Phospho-JNK1/2/3 (T183 + T183 + T221) antibody (HA750173) at 1/2,000 dilution.

Lane 1: C6 cell lysate
Lane 2: C6 treated with 25µg/mL Anisomycin for 30 minutes cell lysate.

Lysates/proteins at 20 µg/Lane.

Predicted band size: 48/53 kDa
Observed band size: 48/53 kDa

Exposure time: 2 minutes 6 seconds; ECL: K1802;
4-20% SDS-PAGE gel.

Proteins were transferred to a PVDF membrane and blocked with 5% NFDM/TBST for 1 hour at room temperature. The primary antibody (HA750173) at 1/2,000 dilution was used in 5% NFDM/TBST at 4℃ overnight. Goat Anti-Rabbit IgG - HRP Secondary Antibody (HA1001) at 1/50,000 dilution was used for 1 hour at room temperature.
HA750173_3.jpg Fig3: Western blot analysis of Phospho-JNK1/2/3 (T183 + T183 + T221) on different lysates with Rabbit anti-Phospho-JNK1/2/3 (T183 + T183 + T221) antibody (HA750173) at 1/2,000 dilution.

Lane 1: HeLa cell lysate
Lane 2: HeLa treated with 25μg/mL Anisomycin for 30 minutes cell lysate
Lane 3: NIH/3T3 cell lysate
Lane 4: NIH/3T3 treated with 25μg/mL Anisomycin for 30 minutes cell lysate

Lysates/proteins at 20 µg/Lane.

Predicted band size: 48/53 kDa
Observed band size: 48/53 kDa

Exposure time: 59 seconds; ECL: K1801;

4-20% SDS-PAGE gel.

Proteins were transferred to a PVDF membrane and blocked with 5% NFDM/TBST for 1 hour at room temperature. The primary antibody (HA750173) at 1/2,000 dilution was used in 5% NFDM/TBST at 4℃ overnight. Goat Anti-Rabbit IgG - HRP Secondary Antibody (HA1001) at 1/50,000 dilution was used for 1 hour at room temperature.
HA750173_4.jpg Fig4: ICC staining of Phospho-JNK1/2/3 (T183 + T183 + T221) in Hela cells (green).

Formalin fixed cells were permeabilized with 0.1% Triton X-100 in TBS for 10 minutes at room temperature and blocked with 1% Blocker BSA for 15 minutes at room temperature. Cells were probed with the primary antibody (HA750173, 1/50) for 1 hour at room temperature, washed with PBS. Alexa Fluor®488 Goat anti-Rabbit IgG was used as the secondary antibody at 1/1,000 dilution. The nuclear counter stain is DAPI (blue).
HA750173_5.jpg Fig5: ICC staining of Phospho-JNK1/2/3 (T183 + T183 + T221) in NIH/3T3 cells (green).

Formalin fixed cells were permeabilized with 0.1% Triton X-100 in TBS for 10 minutes at room temperature and blocked with 1% Blocker BSA for 15 minutes at room temperature. Cells were probed with the primary antibody (HA750173, 1/50) for 1 hour at room temperature, washed with PBS. Alexa Fluor®488 Goat anti-Rabbit IgG was used as the secondary antibody at 1/1,000 dilution. The nuclear counter stain is DAPI (blue).
HA750173_6.jpg Fig6: ICC staining of Phospho-JNK1/2/3 (T183 + T183 + T221) in HUVEC cells (green).

Formalin fixed cells were permeabilized with 0.1% Triton X-100 in TBS for 10 minutes at room temperature and blocked with 1% Blocker BSA for 15 minutes at room temperature. Cells were probed with the primary antibody (HA750173, 1/50) for 1 hour at room temperature, washed with PBS. Alexa Fluor®488 Goat anti-Rabbit IgG was used as the secondary antibody at 1/1,000 dilution. The nuclear counter stain is DAPI (blue).
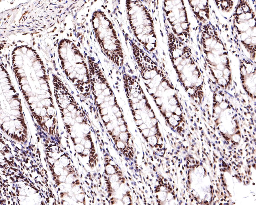
HA750173_7.jpg Fig7: Immunohistochemical analysis of paraffin-embedded human colon tissue with Rabbit anti-Phospho-JNK1/2/3 (T183 + T183 + T221) antibody (HA750173) at 1/400 dilution.

The section was pre-treated using heat mediated antigen retrieval with sodium citrate buffer (pH 6.0) (high pressure) for 2 minutes. The tissues were blocked in 1% BSA for 20 minutes at room temperature, washed with ddH2O and PBS, and then probed with the primary antibody (HA750173) at 1/400 dilution for 1 hour at room temperature. The detection was performed using an HRP conjugated compact polymer system. DAB was used as the chromogen. Tissues were counterstained with hematoxylin and mounted with DPX.
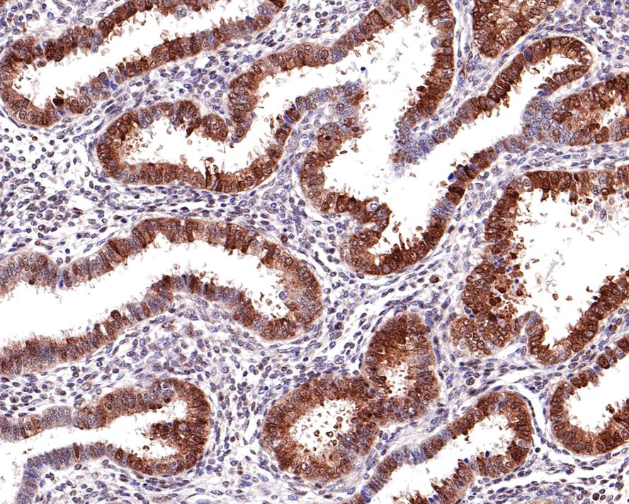
HA750173_8.jpg Fig8: Immunohistochemical analysis of paraffin-embedded human endometrium tissue with Rabbit anti-Phospho-JNK1/2/3 (T183 + T183 + T221) antibody (HA750173) at 1/400 dilution.

The section was pre-treated using heat mediated antigen retrieval with sodium citrate buffer (pH 6.0) (high pressure) for 2 minutes. The tissues were blocked in 1% BSA for 20 minutes at room temperature, washed with ddH2O and PBS, and then probed with the primary antibody (HA750173) at 1/400 dilution for 1 hour at room temperature. The detection was performed using an HRP conjugated compact polymer system. DAB was used as the chromogen. Tissues were counterstained with hematoxylin and mounted with DPX.
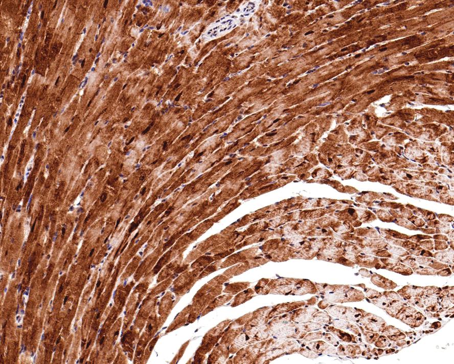
HA750173_9.jpg Fig9: Immunohistochemical analysis of paraffin-embedded mouse heart tissue with Rabbit anti-Phospho-JNK1/2/3 (T183 + T183 + T221) antibody (HA750173) at 1/400 dilution.

The section was pre-treated using heat mediated antigen retrieval with sodium citrate buffer (pH 6.0) (high pressure) for 2 minutes. The tissues were blocked in 1% BSA for 20 minutes at room temperature, washed with ddH2O and PBS, and then probed with the primary antibody (HA750173) at 1/400 dilution for 1 hour at room temperature. The detection was performed using an HRP conjugated compact polymer system. DAB was used as the chromogen. Tissues were counterstained with hematoxylin and mounted with DPX.
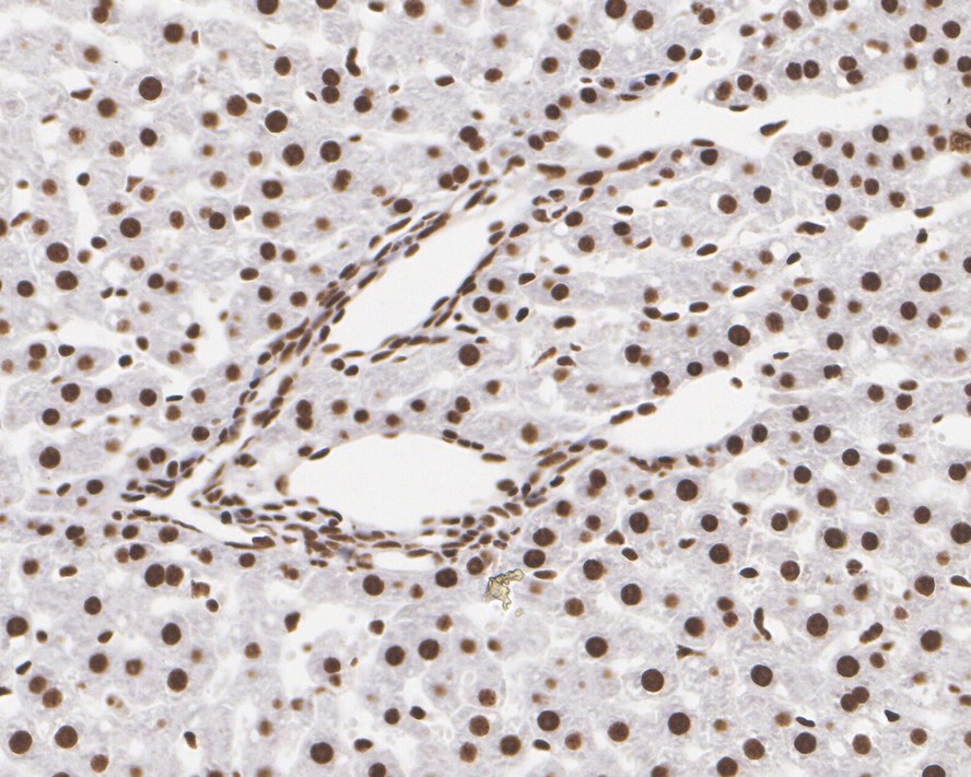
HA750173_10.jpg Fig10: Immunohistochemical analysis of paraffin-embedded rat liver tissue with Rabbit anti-Phospho-JNK1/2/3 (T183 + T183 + T221) antibody (HA750173) at 1/1,000 dilution.

The section was pre-treated using heat mediated antigen retrieval with sodium citrate buffer (pH 6.0) (high pressure) for 2 minutes. The tissues were blocked in 1% BSA for 20 minutes at room temperature, washed with ddH2O and PBS, and then probed with the primary antibody (HA750173) at 1/1,000 dilution for 1 hour at room temperature. The detection was performed using an HRP conjugated compact polymer system. DAB was used as the chromogen. Tissues were counterstained with hematoxylin and mounted with DPX.
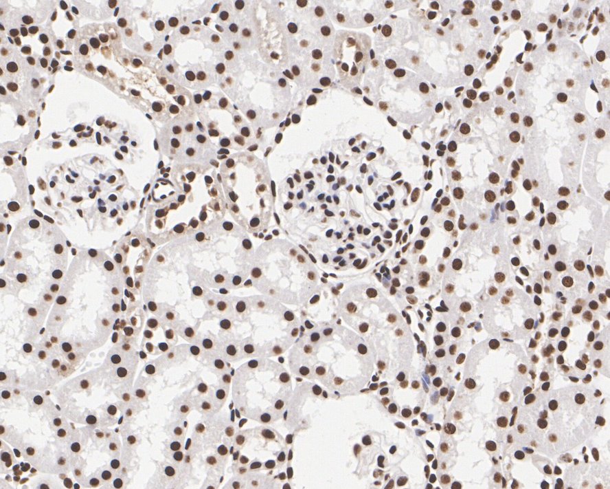
HA750173_11.jpg Fig11: Immunohistochemical analysis of paraffin-embedded rat kidney tissue with Rabbit anti-Phospho-JNK1/2/3 (T183 + T183 + T221) antibody (HA750173) at 1/1,000 dilution.

The section was pre-treated using heat mediated antigen retrieval with sodium citrate buffer (pH 6.0) (high pressure) for 2 minutes. The tissues were blocked in 1% BSA for 20 minutes at room temperature, washed with ddH2O and PBS, and then probed with the primary antibody (HA750173) at 1/1,000 dilution for 1 hour at room temperature. The detection was performed using an HRP conjugated compact polymer system. DAB was used as the chromogen. Tissues were counterstained with hematoxylin and mounted with DPX.
HA750173_12.jpg Fig12: Flow cytometric analysis of Phospho-JNK1/2/3 (T183 + T183 + T221) was done on Hela cells. The cells were fixed, permeabilized and stained with the primary antibody (HA750173, 1/100) (blue). After incubation of the primary antibody at room temperature for an hour, the cells were stained with a Alexa Fluor 488-conjugated Goat anti-Rabbit IgG Secondary antibody at 1/1000 dilution for 30 minutes.Unlabelled sample was used as a control (cells without incubation with primary antibody; red).
HA750173_13.jpg Fig13: Immunofluorescence analysis of frozen mouse hippocampus tissue labeling Phospho-JNK1/2/3 (T183 + T183 + T221) with Rabbit anti-Phospho-JNK1/2/3 (T183 + T183 + T221) antibody (HA750173).

The tissues were blocked in 3% BSA for 30 minutes at room temperature, washed with PBS, and then probed with the primary antibody (HA750173, green) at 1/100 dilution overnight at 4℃, washed with PBS. Goat Anti-Rabbit IgG H&L (Alexa Fluor® 488) was used as the secondary antibody at 1/200 dilution. Nuclei were counterstained with DAPI (blue). Image acquisition was performed with KFBIO KF-FL-400 Scanner.
HA750173_14.jpg Fig14: Immunofluorescence analysis of frozen mouse cerebral cortex tissue labeling Phospho-JNK1/2/3 (T183 + T183 + T221) with Rabbit anti-Phospho-JNK1/2/3 (T183 + T183 + T221) antibody (HA750173).

The tissues were blocked in 3% BSA for 30 minutes at room temperature, washed with PBS, and then probed with the primary antibody (HA750173, green) at 1/100 dilution overnight at 4℃, washed with PBS. Goat Anti-Rabbit IgG H&L (Alexa Fluor® 488) was used as the secondary antibody at 1/200 dilution. Nuclei were counterstained with DAPI (blue). Image acquisition was performed with KFBIO KF-FL-400 Scanner.
Note: All products are “FOR RESEARCH USE ONLY AND ARE NOT INTENDED FOR DIAGNOSTIC OR THERAPEUTIC USE”.