PRMT5 Recombinant Rabbit Monoclonal Antibody [ST51-06]
cat.: HA750174
Product Type: Recombinant Rabbit monoclonal IgG, primary antibodies
Species reactivity: Human, Mouse, Rat, Monkey
Applications: WB, IF-Cell, IF-Tissue, IHC-P, IP, FC
Clonality: Monoclonal
Clone number: ST51-06
Form: Liquid
Storage condition: Store at +4℃ after thawing. Aliquot store at -20℃ or -80℃. Avoid repeated freeze / thaw cycles.
Storage buffer: 1*PBS (pH7.4).
Concentration: 1ug/ul
Purification: Protein A affinity purified.
Molecular weight: Predicted band size: 73 kDa
Isotype: IgG
Immunogen: Synthetic peptide within Human PRMT5 aa 48-91 / 637.
Positive control: HepG2 cell lysate, HEK-293 cell lysate, Raji cell lysate, Jurkat cell lysate, A431 cell lysate, C6 cell lysate, PC-12 cell lysate, bEnd.3 cell lysate, NIH/3T3 cell lysate, C2C12 cell lysate, HepG2, MCF7 cell lysate, COS-1 cell lysate, Neuro-2a cell lysate, Neuro-2a, human kidney tissue, mouse ovary tissue, rat ovary tissue.
Subcellular location: Cytoplasm, Nucleus, Golgi apparatus, Chromosome.
Recommended Dilutions:
  WB
  IF-Cell
  IF-Tissue
  IHC-P
  IP
  FC

1:2,000-1:5,000
1:50-1:250
1:50-1:200
1:500-1:2,000
1-2μg/sample
1:1,000
Uniprot #: SwissProt: O14744 Human | Q8CIG8 Mouse | D4A0E8 Rat
Alternative names: 72 kDa ICln binding protein 72 kDa ICln-binding protein ANM5_HUMAN Histone synthetic lethal 7, S. cerevisiae, homolog of Histone-arginine N-methyltransferase PRMT5 HMT1 hnRNP methyltransferase like 5 HOMOLOG OF; SKB1 HRMT1L5 IBP72 Jak-binding protein 1 JBP 1 JBP1 PRMT 5 PRMT5 Protein arginine methyltransferase 5 Protein arginine N methyltransferase 5 Protein arginine N methyltransferase 5 N terminally processed Protein arginine N-methyltransferase 5 S. POMBE S. POMBE HOMOLOG OF; SKB1 SHK1 KINASE BINDING PROTEIN 1 Shk1 kinase binding protein 1 homolog Shk1 kinase-binding protein 1 homolog Shk1 kinase/binding protein 1, S. pombe, homolog of SKB 1 SKB1 SKB1 homolog SKB1: SKB1 homolog (S. pombe) SKB1Hs
Images
HA750174_1.jpg Fig1: Western blot analysis of PRMT5 on different lysates with Rabbit anti-PRMT5 antibody (HA750174) at 1/5,000 dilution.

Lane 1: HepG2 cell lysate
Lane 2: HEK-293 cell lysate
Lane 3: Raji cell lysate
Lane 4: Jurkat cell lysate
Lane 5: A431 cell lysate
Lane 6: C6 cell lysate
Lane 7: PC-12 cell lysate
Lane 8: bEnd.3 cell lysate
Lane 9: NIH/3T3 cell lysate
Lane 10: C2C12 cell lysate

Lysates/proteins at 30 µg/Lane.

Predicted band size: 73 kDa
Observed band size: 70 kDa

Exposure time: 1 minute 50 seconds; ECL: K1801;

4-20% SDS-PAGE gel.

Proteins were transferred to a PVDF membrane and blocked with 5% NFDM/TBST for 1 hour at room temperature. The primary antibody (HA750174) at 1/5,000 dilution was used in 5% NFDM/TBST at 4℃ overnight. Goat Anti-Rabbit IgG - HRP Secondary Antibody (HA1001) at 1/50,000 dilution was used for 1 hour at room temperature.
HA750174_2.jpg Fig2: Immunocytochemistry analysis of HepG2 cells labeling PRMT5 with Rabbit anti-PRMT5 antibody (HA750174) at 1/250 dilution.

Cells were fixed in 4% paraformaldehyde for 20 minutes at room temperature, permeabilized with 0.1% Triton X-100 in PBS for 5 minutes at room temperature, then blocked with 1% BSA in 10% negative goat serum for 1 hour at room temperature. Cells were then incubated with Rabbit anti-PRMT5 antibody (HA750174) at 1/250 dilution in 1% BSA in PBST overnight at 4 ℃. Goat Anti-Rabbit IgG H&L (iFluor™ 488, HA1121) was used as the secondary antibody at 1/1,000 dilution. PBS instead of the primary antibody was used as the secondary antibody only control. Nuclear DNA was labelled in blue with DAPI.

Beta tubulin (M1305-2, red) was stained at 1/100 dilution overnight at +4℃. Goat Anti-Mouse IgG H&L (iFluor™ 594, HA1126) was used as the secondary antibody at 1/1,000 dilution.
HA750174_3.jpg Fig3: Western blot analysis of PRMT5 on different lysates with Rabbit anti-PRMT5 antibody (HA750174) at 1/2,000 dilution.

Lane 1: HepG2 cell lysate
Lane 2: HEK-293 cell lysate
Lane 3: Raji cell lysate
Lane 4: Jurkat cell lysate
Lane 5: MCF7 cell lysate
Lane 6: A431 cell lysate
Lane 7: COS-1 cell lysate
Lane 8: Neuro-2a cell lysate
Lane 9: bEnd.3 cell lysate
Lane 10: NIH/3T3 cell lysate
Lane 11: C2C12 cell lysate
Lane 12: C6 cell lysate
Lane 13: PC-12 cell lysate

Lysates/proteins at 20 µg/Lane.
Predicted band size: 73 kDa
Observed band size: 70 kDa
Exposure time: 59 seconds; ECL: K1801;
4-20% SDS-PAGE gel.

Proteins were transferred to a PVDF membrane and blocked with 5% NFDM/TBST for 1 hour at room temperature. The primary antibody (HA750174) at 1/2,000 dilution was used in 5% NFDM/TBST at 4℃ overnight. Goat Anti-Rabbit IgG - HRP Secondary Antibody (HA1001) at 1/50,000 dilution was used for 1 hour at room temperature.
HA750174_4.jpg Fig4: Immunocytochemistry analysis of Neuro-2a cells labeling PRMT5 with Rabbit anti-PRMT5 antibody (HA750174) at 1/100 dilution.

Cells were fixed in 4% paraformaldehyde for 20 minutes at room temperature, permeabilized with 0.1% Triton X-100 in PBS for 5 minutes at room temperature, then blocked with 1% BSA in 10% negative goat serum for 1 hour at room temperature. Cells were then incubated with Rabbit anti-PRMT5 antibody (HA750174) at 1/100 dilution in 1% BSA in PBST overnight at 4 ℃. Goat Anti-Rabbit IgG H&L (iFluor™ 488, HA1121) was used as the secondary antibody at 1/1,000 dilution. PBS instead of the primary antibody was used as the secondary antibody only control. Nuclear DNA was labelled in blue with DAPI.

Beta tubulin (M1305-2, red) was stained at 1/100 dilution overnight at +4℃. Goat Anti-Mouse IgG H&L (iFluor™ 594, HA1126) was used as the secondary antibody at 1/1,000 dilution.
HA750174_5.jpg Fig5: Immunohistochemical analysis of paraffin-embedded human kidney tissue with Rabbit anti-PRMT5 antibody (HA750174) at 1/2,000 dilution.

The section was pre-treated using heat mediated antigen retrieval with sodium citrate buffer (pH 6.0) (high pressure) for 2 minutes. The tissues were blocked in 1% BSA for 20 minutes at room temperature, washed with ddH2O and PBS, and then probed with the primary antibody (HA750174) at 1/2,000 dilution for 1 hour at room temperature. The detection was performed using an HRP conjugated compact polymer system. DAB was used as the chromogen. Tissues were counterstained with hematoxylin and mounted with DPX.
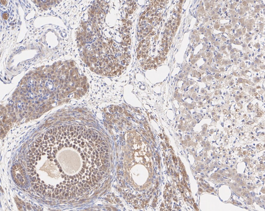
HA750174_6.jpg Fig6: Immunohistochemical analysis of paraffin-embedded mouse ovary tissue with Rabbit anti-PRMT5 antibody (HA750174) at 1/2,000 dilution.

The section was pre-treated using heat mediated antigen retrieval with sodium citrate buffer (pH 6.0) (high pressure) for 2 minutes. The tissues were blocked in 1% BSA for 20 minutes at room temperature, washed with ddH2O and PBS, and then probed with the primary antibody (HA750174) at 1/2,000 dilution for 1 hour at room temperature. The detection was performed using an HRP conjugated compact polymer system. DAB was used as the chromogen. Tissues were counterstained with hematoxylin and mounted with DPX.
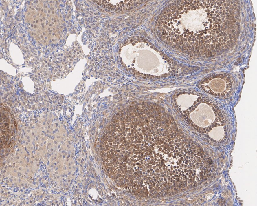
HA750174_7.jpg Fig7: Immunohistochemical analysis of paraffin-embedded rat ovary tissue with Rabbit anti-PRMT5 antibody (HA750174) at 1/2,000 dilution.

The section was pre-treated using heat mediated antigen retrieval with sodium citrate buffer (pH 6.0) (high pressure) for 2 minutes. The tissues were blocked in 1% BSA for 20 minutes at room temperature, washed with ddH2O and PBS, and then probed with the primary antibody (HA750174) at 1/2,000 dilution for 1 hour at room temperature. The detection was performed using an HRP conjugated compact polymer system. DAB was used as the chromogen. Tissues were counterstained with hematoxylin and mounted with DPX.
HA750174_8.jpg Fig8: Flow cytometric analysis of HepG2 cells labeling PRMT5.

Cells were fixed and permeabilized. Then stained with the primary antibody (HA750174, 1μg/mL) (red) compared with Rabbit IgG Isotype Control (green). After incubation of the primary antibody at +4℃ for an hour, the cells were stained with a iFluor™ 488 conjugate-Goat anti-Rabbit IgG Secondary antibody (HA1121) at 1/1,000 dilution for 30 minutes at +4℃. Unlabelled sample was used as a control (cells without incubation with primary antibody; black).
HA750174_9.jpg Fig9: Flow cytometric analysis of Neuro-2a cells labeling PRMT5.

Cells were fixed and permeabilized. Then stained with the primary antibody (HA750174, 1μg/mL) (red) compared with Rabbit IgG Isotype Control (green). After incubation of the primary antibody at +4℃ for an hour, the cells were stained with a iFluor™ 488 conjugate-Goat anti-Rabbit IgG Secondary antibody (HA1121) at 1/1,000 dilution for 30 minutes at +4℃. Unlabelled sample was used as a control (cells without incubation with primary antibody; black).
HA750174_10.jpg Fig10: PRMT5 was immunoprecipitated in 0.2mg HepG2 cell lysate with HA750174 at 2 µg/10 µl beads. Western blot was performed from the immunoprecipitate using HA750174 at 1/1,000 dilution. HRP Conjugated Anti-Rabbit IgG for IP Nano-secondary antibody at 1/5,000 dilution was used for 1 hour at room temperature.

Lane 1: HepG2 cell lysate (input)
Lane 2: HA750174 IP in HepG2 cell lysate
Lane 3: Rabbit IgG instead of HA750174 in HepG2 cell lysate

Blocking/Dilution buffer: 5% NFDM/TBST
Exposure time: 3 minutes; ECL: K1801
Note: All products are “FOR RESEARCH USE ONLY AND ARE NOT INTENDED FOR DIAGNOSTIC OR THERAPEUTIC USE”.