HSP60 Recombinant Rabbit Monoclonal Antibody [ST48-04]
cat.: HA750175
Product Type: Recombinant Rabbit monoclonal IgG, primary antibodies
Species reactivity: Human, Mouse, Rat
Applications: WB, IHC-P, IF-Cell, IP
Clonality: Monoclonal
Clone number: ST48-04
Form: Liquid
Storage condition: Store at +4℃ after thawing. Aliquot store at -20℃ or -80℃. Avoid repeated freeze / thaw cycles.
Storage buffer: 1*PBS (pH7.4).
Concentration: 1ug/ul
Purification: Protein A affinity purified.
Molecular weight: Predicted band size: 61 kDa
Isotype: IgG
Immunogen: Synthetic peptide within Human Hsp60 aa 421-457 / 573.
Positive control: HeLa cell lysate, HepG2 cell lysate, SW480 cell lysate, Jurkat cell lysate, PANC-1 cell lysate, F9 cell lysate, NIH/3T3 cell lysate, PC-12 cell lysate, HeLa, NIH/3T3, PC-12, human kidney tissue, human lung cancer tissue, mouse kidney tissue, rat kidney tissue.
Subcellular location: Mitochondrion matrix.
Recommended Dilutions:
  WB
  IHC-P
  IF-Cell
  IP

1:20,000-1:100,000
1:1,000
1:500-1:1,000
1-2μg/sample
Uniprot #: SwissProt: P10809 Human | P63038 Mouse | P63039 Rat
Alternative names: 60 kDa chaperonin 60 kDa heat shock protein, mitochondrial CH60_HUMAN Chaperonin 60 Chaperonin, 60-KD CPN60 fa04a05 GROEL heat shock 60kDa protein 1 (chaperonin) Heat shock protein 1 (chaperonin) Heat shock protein 60 Heat shock protein 65 heat shock protein family D (Hsp60) member 1 HLD4 Hsp 60 HSP 65 HSP-60 HSP60 HSP65 HSPD1 HuCHA60 Mitochondrial matrix protein P1 P60 lymphocyte protein short heat shock protein 60 Hsp60s1 SPG13
Images
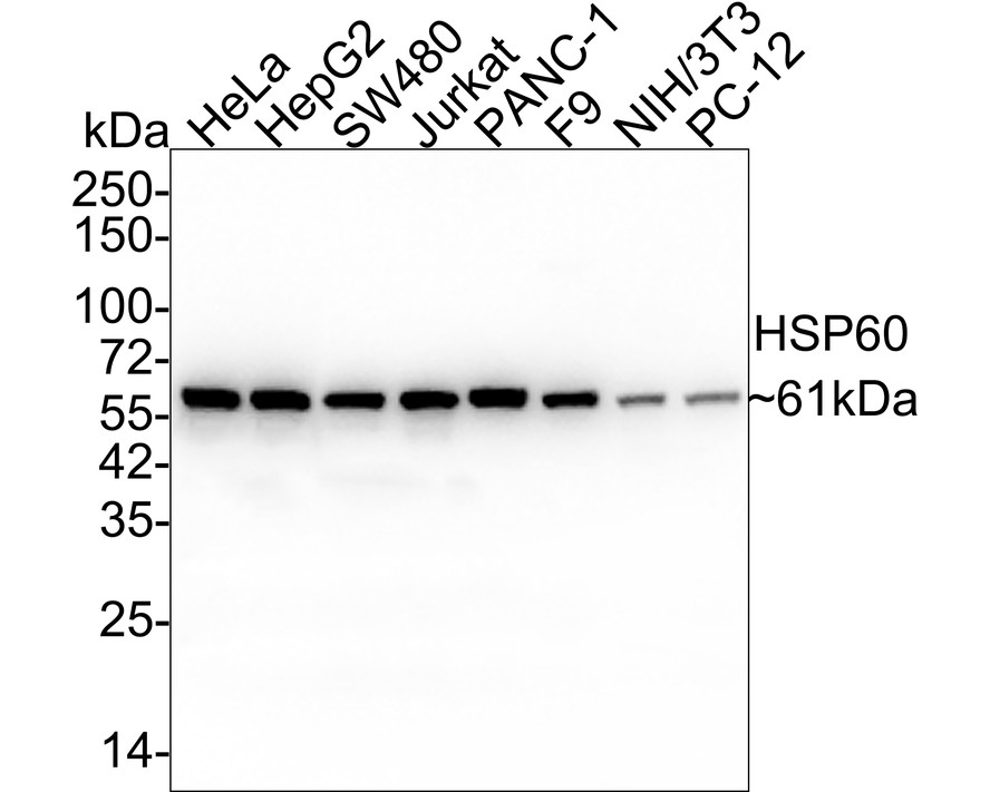
HA750175_1.jpg Fig1: Western blot analysis of HSP60 on different lysates with Rabbit anti-HSP60 antibody (HA750175) at 1/100,000 dilution.

Lane 1: HeLa cell lysate
Lane 2: HepG2 cell lysate
Lane 3: SW480 cell lysate
Lane 4: Jurkat cell lysate
Lane 5: PANC-1 cell lysate
Lane 6: F9 cell lysate
Lane 7: NIH/3T3 cell lysate
Lane 8: PC-12 cell lysate

Lysates/proteins at 10 µg/Lane.

Predicted band size: 61 kDa
Observed band size: 61 kDa

Exposure time: 46 seconds;

4-20% SDS-PAGE gel.

Proteins were transferred to a PVDF membrane and blocked with 5% NFDM/TBST for 1 hour at room temperature. The primary antibody (HA750175) at 1/100,000 dilution was used in 5% NFDM/TBST at 4℃ overnight. Goat Anti-Rabbit IgG - HRP Secondary Antibody (HA1001) at 1/50,000 dilution was used for 1 hour at room temperature.
HA750175_2.jpg Fig2: Immunocytochemistry analysis of HeLa cells labeling HSP60 with Rabbit anti-HSP60 antibody (HA750175) at 1/1,000 dilution.

Cells were fixed in 4% paraformaldehyde for 20 minutes at room temperature, permeabilized with 0.1% Triton X-100 in PBS for 5 minutes at room temperature, then blocked with 1% BSA in 10% negative goat serum for 1 hour at room temperature. Cells were then incubated with Rabbit anti-HSP60 antibody (HA750175) at 1/1,000 dilution in 1% BSA in PBST overnight at 4 ℃. Goat Anti-Rabbit IgG H&L (iFluor™ 488, HA1121) was used as the secondary antibody at 1/1,000 dilution. PBS instead of the primary antibody was used as the secondary antibody only control. Counterstained with Mitotracker. Nuclear DNA was labelled in blue with DAPI.
HA750175_3.jpg Fig3: Immunocytochemistry analysis of NIH3T3 cells labeling HSP60 with Rabbit anti-HSP60 antibody (HA750175) at 1/500 dilution.

Cells were fixed in 4% paraformaldehyde for 20 minutes at room temperature, permeabilized with 0.1% Triton X-100 in PBS for 5 minutes at room temperature, then blocked with 1% BSA in 10% negative goat serum for 1 hour at room temperature. Cells were then incubated with Rabbit anti-HSP60 antibody (HA750175) at 1/500 dilution in 1% BSA in PBST overnight at 4 ℃. Goat Anti-Rabbit IgG H&L (iFluor™ 488, HA1121) was used as the secondary antibody at 1/1,000 dilution. PBS instead of the primary antibody was used as the secondary antibody only control. Counterstained with Mitotracker. Nuclear DNA was labelled in blue with DAPI.
HA750175_4.jpg Fig4: Immunocytochemistry analysis of PC-12 cells labeling HSP60 with Rabbit anti-HSP60 antibody (HA750175) at 1/500 dilution.

Cells were fixed in 4% paraformaldehyde for 20 minutes at room temperature, permeabilized with 0.1% Triton X-100 in PBS for 5 minutes at room temperature, then blocked with 1% BSA in 10% negative goat serum for 1 hour at room temperature. Cells were then incubated with Rabbit anti-HSP60 antibody (HA750175) at 1/500 dilution in 1% BSA in PBST overnight at 4 ℃. Goat Anti-Rabbit IgG H&L (iFluor™ 488, HA1121) was used as the secondary antibody at 1/1,000 dilution. PBS instead of the primary antibody was used as the secondary antibody only control. Counterstained with Mitotracker. Nuclear DNA was labelled in blue with DAPI.
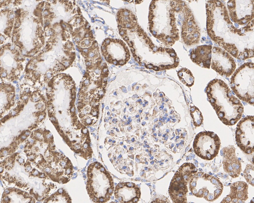
HA750175_5.jpg Fig5: Immunohistochemical analysis of paraffin-embedded human kidney tissue with Rabbit anti-HSP60 antibody (HA750175) at 1/1,000 dilution.

The section was pre-treated using heat mediated antigen retrieval with Tris-EDTA buffer (pH 9.0) for 20 minutes. The tissues were blocked in 1% BSA for 20 minutes at room temperature, washed with ddH2O and PBS, and then probed with the primary antibody (HA750175) at 1/1,000 dilution for 1 hour at room temperature. The detection was performed using an HRP conjugated compact polymer system. DAB was used as the chromogen. Tissues were counterstained with hematoxylin and mounted with DPX.
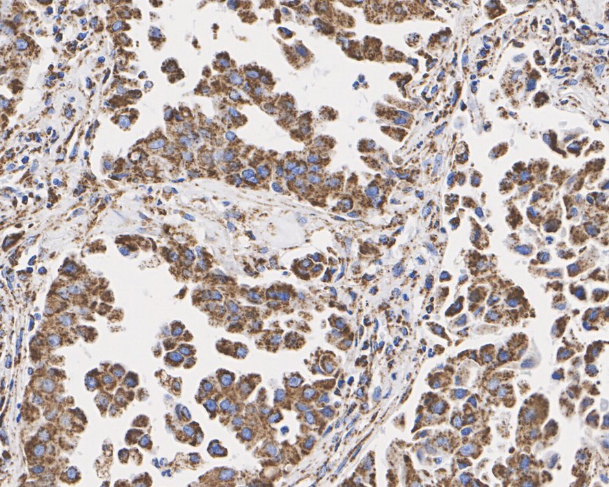
HA750175_6.jpg Fig6: Immunohistochemical analysis of paraffin-embedded human lung cancer tissue with Rabbit anti-HSP60 antibody (HA750175) at 1/1,000 dilution.

The section was pre-treated using heat mediated antigen retrieval with Tris-EDTA buffer (pH 9.0) for 20 minutes. The tissues were blocked in 1% BSA for 20 minutes at room temperature, washed with ddH2O and PBS, and then probed with the primary antibody (HA750175) at 1/1,000 dilution for 1 hour at room temperature. The detection was performed using an HRP conjugated compact polymer system. DAB was used as the chromogen. Tissues were counterstained with hematoxylin and mounted with DPX.
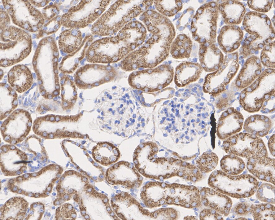
HA750175_7.jpg Fig7: Immunohistochemical analysis of paraffin-embedded mouse kidney tissue with Rabbit anti-HSP60 antibody (HA750175) at 1/1,000 dilution.

The section was pre-treated using heat mediated antigen retrieval with Tris-EDTA buffer (pH 9.0) for 20 minutes. The tissues were blocked in 1% BSA for 20 minutes at room temperature, washed with ddH2O and PBS, and then probed with the primary antibody (HA750175) at 1/1,000 dilution for 1 hour at room temperature. The detection was performed using an HRP conjugated compact polymer system. DAB was used as the chromogen. Tissues were counterstained with hematoxylin and mounted with DPX.
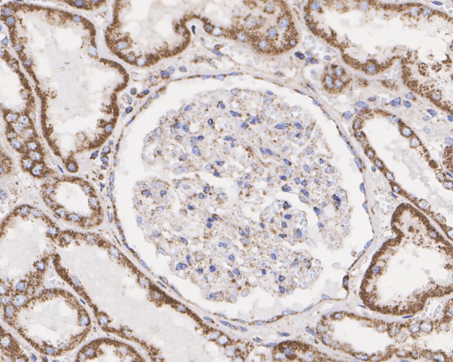
HA750175_8.jpg Fig8: Immunohistochemical analysis of paraffin-embedded rat kidney tissue with Rabbit anti-HSP60 antibody (HA750175) at 1/1,000 dilution.

The section was pre-treated using heat mediated antigen retrieval with Tris-EDTA buffer (pH 9.0) for 20 minutes. The tissues were blocked in 1% BSA for 20 minutes at room temperature, washed with ddH2O and PBS, and then probed with the primary antibody (HA750175) at 1/1,000 dilution for 1 hour at room temperature. The detection was performed using an HRP conjugated compact polymer system. DAB was used as the chromogen. Tissues were counterstained with hematoxylin and mounted with DPX.
HA750175_9.jpg Fig9: HSP60 was immunoprecipitated in 0.2mg HeLa cell lysate with (HA750175) at 2 µg/10 µl beads. Western blot was performed from the immunoprecipitate using (HA750175) at 1/1,000 dilution. Anti-Rabbit IgG for IP Nano-secondary antibody (NBI01H) at 1/10,000 dilution was used for 1 hour at room temperature.

Lane 1: HeLa cell lysate (input)
Lane 2: (HA750175) IP in HeLa cell lysate
Lane 3: Rabbit IgG instead of (HA750175) in HeLa cell lysate

Blocking/Dilution buffer: 5% NFDM/TBST
Exposure time: 43 seconds
Note: All products are “FOR RESEARCH USE ONLY AND ARE NOT INTENDED FOR DIAGNOSTIC OR THERAPEUTIC USE”.