ICAM1 Recombinant Rabbit Monoclonal Antibody [ST0487]
cat.: HA750176
Product Type: Recombinant Rabbit monoclonal IgG, primary antibodies
Species reactivity: Human
Applications: WB, IF-Tissue, IHC-P
Clonality: Monoclonal
Clone number: ST0487
Form: Liquid
Storage condition: Store at +4℃ after thawing. Aliquot store at -20℃ or -80℃. Avoid repeated freeze / thaw cycles.
Storage buffer: 1*PBS (pH7.4).
Concentration: 1ug/ul
Purification: Protein A affinity purified.
Molecular weight: Predicted band size: 58 kDa
Isotype: IgG
Immunogen: Synthetic peptide within human ICAM1 aa 30-70.
Positive control: HepG2 cell lysate, Ramos cell lysate, Raji cell lysate, human liver tissue lysate, human colon cancer tissue, human lung cancer tissue, human kidney tissue, human lymph node tissue.
Subcellular location: Membrane.
Recommended Dilutions:
  WB
  IF-Tissue
  IHC-P

1:1,000-1:5,000
1:50-1:200
1:200
Uniprot #: SwissProt: P05362 Human
Alternative names: Antigen identified by monoclonal BB2 BB 2 BB2 CD 54 CD_antigen=CD54 CD54 Cell surface glycoprotein P3.58 Human rhinovirus receptor ICAM 1 ICAM-1 ICAM1 ICAM1_HUMAN intercellular adhesion molecule 1 (CD54), human rhinovirus receptor Intercellular adhesion molecule 1 Major group rhinovirus receptor MALA 2 MALA2 MyD 10 MyD10 P3.58 Surface antigen of activated B cells, BB2
Images
HA750176_1.jpg Fig1: Western blot analysis of ICAM1 on different lysates with Rabbit anti-ICAM1 antibody (HA750176) at 1/1,000 dilution.

Lane 1: HepG2 cell lysate (20 µg/Lane)
Lane 2: Ramos cell lysate (20 µg/Lane)
Lane 3: Raji cell lysate (20 µg/Lane)
Lane 4: human liver tissue lysate (40 µg/Lane)

Predicted band size: 58 kDa
Observed band size: 110 kDa

Exposure time: 25 seconds; ECL: K1801;

4-20% SDS-PAGE gel.

Proteins were transferred to a PVDF membrane and blocked with 5% NFDM/TBST for 1 hour at room temperature. The primary antibody (HA750176) at 1/1,000 dilution was used in 5% NFDM/TBST at 4℃ overnight. Goat Anti-Rabbit IgG - HRP Secondary Antibody (HA1001) at 1/50,000 dilution was used for 1 hour at room temperature.
HA750176_2.jpg Fig2: Western blot analysis of ICAM1 on different lysates with Rabbit anti-ICAM1 antibody (HA750176) at 1/2,000 dilution.

Lane 1: HepG2 cell lysate
Lane 2: K-562 cell lysate (low expression)
Lane 3: Raji cell lysate
Lane 4: Ramos cell lysate

Lysates/proteins at 20 µg/Lane.

Predicted band size: 58 kDa
Observed band size: 110 kDa

Exposure time: 42 seconds; ECL: K1801;

4-20% SDS-PAGE gel.

Proteins were transferred to a PVDF membrane and blocked with 5% NFDM/TBST for 1 hour at room temperature. The primary antibody (HA750176) at 1/2,000 dilution was used in 5% NFDM/TBST at 4℃ overnight. Goat Anti-Rabbit IgG - HRP Secondary Antibody (HA1001) at 1/50,000 dilution was used for 1 hour at room temperature.
HA750176_3.jpg Fig3: Immunohistochemical analysis of paraffin-embedded human colon cancer tissue with Rabbit anti-ICAM1 antibody (HA750176) at 1/200 dilution.

The section was pre-treated using heat mediated antigen retrieval with Tris-EDTA buffer (pH 9.0) for 20 minutes. The tissues were blocked in 1% BSA for 20 minutes at room temperature, washed with ddH2O and PBS, and then probed with the primary antibody (HA750176) at 1/200 dilution for 1 hour at room temperature. The detection was performed using an HRP conjugated compact polymer system. DAB was used as the chromogen. Tissues were counterstained with hematoxylin and mounted with DPX.
HA750176_4.jpg Fig4: Immunohistochemical analysis of paraffin-embedded human lung cancer tissue with Rabbit anti-ICAM1 antibody (HA750176) at 1/200 dilution.

The section was pre-treated using heat mediated antigen retrieval with Tris-EDTA buffer (pH 9.0) for 20 minutes. The tissues were blocked in 1% BSA for 20 minutes at room temperature, washed with ddH2O and PBS, and then probed with the primary antibody (HA750176) at 1/200 dilution for 1 hour at room temperature. The detection was performed using an HRP conjugated compact polymer system. DAB was used as the chromogen. Tissues were counterstained with hematoxylin and mounted with DPX.
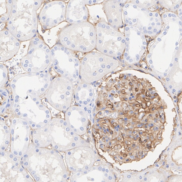
HA750176_5.jpg Fig5: Immunohistochemical analysis of paraffin-embedded human kidney tissue with Rabbit anti-ICAM1 antibody (HA750176) at 1/200 dilution.

The section was pre-treated using heat mediated antigen retrieval with Tris-EDTA buffer (pH 9.0) for 20 minutes. The tissues were blocked in 1% BSA for 20 minutes at room temperature, washed with ddH2O and PBS, and then probed with the primary antibody (HA750176) at 1/200 dilution for 1 hour at room temperature. The detection was performed using an HRP conjugated compact polymer system. DAB was used as the chromogen. Tissues were counterstained with hematoxylin and mounted with DPX.
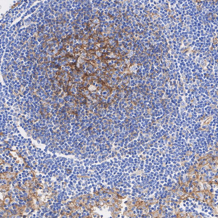
HA750176_6.jpg Fig6: Immunohistochemical analysis of paraffin-embedded human lymph node tissue with Rabbit anti-ICAM1 antibody (HA750176) at 1/200 dilution.

The section was pre-treated using heat mediated antigen retrieval with Tris-EDTA buffer (pH 9.0) for 20 minutes. The tissues were blocked in 1% BSA for 20 minutes at room temperature, washed with ddH2O and PBS, and then probed with the primary antibody (HA750176) at 1/200 dilution for 1 hour at room temperature. The detection was performed using an HRP conjugated compact polymer system. DAB was used as the chromogen. Tissues were counterstained with hematoxylin and mounted with DPX.
Note: All products are “FOR RESEARCH USE ONLY AND ARE NOT INTENDED FOR DIAGNOSTIC OR THERAPEUTIC USE”.