AKT1 Recombinant Rabbit Monoclonal Antibody [ST05-09]
cat.: HA750177
Product Type: Recombinant Rabbit monoclonal IgG, primary antibodies
Species reactivity: Human, Mouse, Rat
Applications: WB, IHC-P, IP, FC, IHC-Fr, IF-Cell
Clonality: Monoclonal
Clone number: ST05-09
Form: Liquid
Storage condition: Store at +4℃ after thawing. Aliquot store at -20℃ or -80℃. Avoid repeated freeze / thaw cycles.
Storage buffer: 1*PBS (pH7.4).
Concentration: 1ug/ul
Purification: Protein A affinity purified.
Molecular weight: Predicted band size: 56 kDa
Isotype: IgG
Immunogen: Synthetic peptide within C-terminal human AKT1.
Positive control: HeLa cell lysate, A549 cell lysate, C6 cell lysate, PC-12 cell lysate, SH-SY5Y cell lysates, mouse brain tissue, mouse kidney tissue, human kidney tissue, mouse prostate tissue, Hela, mouse hippocampus tissue, mouse cerebral cortex tissue, MCF7, C6.
Subcellular location: Cell membrane, Cytoplasm, Membrane, Nucleus.
Recommended Dilutions:
  WB
  IHC-P
  FC
  IP
  IHC-Fr
  IF-Cell

1:5,000-1:10,000
1:2,000-1:5,000
1:1,000
1-2μg/sample
1:200
1:100
Uniprot #: SwissProt: P31749 Human | P31750 Mouse | P47196 Rat
Alternative names: AKT 1 AKT AKT1 AKT1_HUMAN MGC99656 PKB PKB-ALPHA PRKBA Protein Kinase B Alpha Protein kinase B Proto-oncogene c-Akt RAC Alpha RAC RAC-alpha serine/threonine-protein kinase RAC-PK-alpha
Images
HA750177_1.jpg Fig1: Western blot analysis of AKT1 on different lysates with Rabbit anti-AKT1 antibody (HA750177) at 1/5,000 dilution.

Lane 1: A549-si NT cell lysate
Lane 2: A549-si AKT1 cell lysate

Lysates/proteins at 10 µg/Lane.

Predicted band size: 56 kDa
Observed band size: 56 kDa

Exposure time: 40 seconds; ECL: K1801;

4-20% SDS-PAGE gel.

Proteins were transferred to a PVDF membrane and blocked with 5% NFDM/TBST for 1 hour at room temperature. The primary antibody (HA750177) at 1/5,000 dilution was used in 5% NFDM/TBST at 4℃ overnight. Goat Anti-Rabbit IgG - HRP Secondary Antibody (HA1001) at 1/50,000 dilution was used for 1 hour at room temperature.
HA750177_2.jpg Fig2: Western blot analysis of AKT1 on different lysates with Rabbit anti-AKT1 antibody (HA750177) at 1/5,000 dilution.

Lane 1: HeLa cell lysate
Lane 2: A549 cell lysate
Lane 3: C6 cell lysate
Lane 4: PC-12 cell lysate

Lysates/proteins at 15 µg/Lane.

Predicted band size: 56 kDa
Observed band size: 56 kDa

Exposure time: 43 seconds;

4-20% SDS-PAGE gel.

Proteins were transferred to a PVDF membrane and blocked with 5% NFDM/TBST for 1 hour at room temperature. The primary antibody (HA750177) at 1/5,000 dilution was used in 5% NFDM/TBST at 4℃ overnight. Goat Anti-Rabbit IgG - HRP Secondary Antibody (HA1001) at 1/50,000 dilution was used for 1 hour at room temperature.
HA750177_3.jpg Fig3: Western blot analysis of AKT1 on SH-SY5Y cell lysates with Rabbit anti-AKT1 antibody (HA750177) at 1/5,000 dilution.

Lysates/proteins at 10 µg/Lane.

Predicted band size: 56 kDa
Observed band size: 56 kDa

Exposure time: 2 minutes;

10% SDS-PAGE gel.

Proteins were transferred to a PVDF membrane and blocked with 5% NFDM/TBST for 1 hour at room temperature. The primary antibody (HA750177) at 1/5,000 dilution was used in 5% NFDM/TBST at room temperature for 2 hours. Goat Anti-Rabbit IgG - HRP Secondary Antibody (HA1001) at /50,000 dilution was used for 1 hour at room temperature.
HA750177_4.jpg Fig4: Immunohistochemical analysis of paraffin-embedded mouse brain tissue with Rabbit anti-AKT1 antibody (HA750177) at 1/5,000 dilution.

The section was pre-treated using heat mediated antigen retrieval with Tris-EDTA buffer (pH 9.0) for 20 minutes. The tissues were blocked in 1% BSA for 20 minutes at room temperature, washed with ddH2O and PBS, and then probed with the primary antibody (HA750177) at 1/5,000 dilution for 1 hour at room temperature. The detection was performed using an HRP conjugated compact polymer system. DAB was used as the chromogen. Tissues were counterstained with hematoxylin and mounted with DPX.
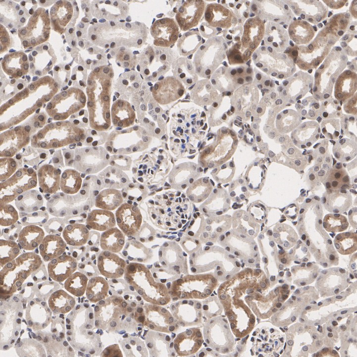
HA750177_5.jpg Fig5: Immunohistochemical analysis of paraffin-embedded mouse kidney tissue with Rabbit anti-AKT1 antibody (HA750177) at 1/5,000 dilution.

The section was pre-treated using heat mediated antigen retrieval with Tris-EDTA buffer (pH 9.0) for 20 minutes. The tissues were blocked in 1% BSA for 20 minutes at room temperature, washed with ddH2O and PBS, and then probed with the primary antibody (HA750177) at 1/5,000 dilution for 1 hour at room temperature. The detection was performed using an HRP conjugated compact polymer system. DAB was used as the chromogen. Tissues were counterstained with hematoxylin and mounted with DPX.
HA750177_6.jpg Fig6: Application: IHC-Fr

Species: Mouse

Site: Hippocampus

Sample: Frozen section

Antibody concentration: 1/200

Antigen retrieval: The section was pre-treated using 1% SDS buffer (in PBS, pH 7.4) for 5 minutes at room temperature.
HA750177_7.jpg Fig7: Application: IHC-Fr

Species: Mouse

Site: Cerebral cortex

Sample: Frozen section

Antibody concentration: 1/200

Antigen retrieval: The section was pre-treated using 1% SDS buffer (in PBS, pH 7.4) for 5 minutes at room temperature.
HA750177_8.jpg Fig8: Immunocytochemistry analysis of MCF7 cells labeling AKT1 with Rabbit anti-AKT1 antibody (HA750177) at 1/100 dilution.

Cells were fixed in 4% paraformaldehyde for 20 minutes at room temperature, permeabilized with 0.1% Triton X-100 in PBS for 5 minutes at room temperature, then blocked with 1% BSA in 10% negative goat serum for 1 hour at room temperature. Cells were then incubated with Rabbit anti-AKT1 antibody (HA750177) at 1/100 dilution in 1% BSA in PBST overnight at 4 ℃. Goat Anti-Rabbit IgG H&L (iFluor™ 488, HA1121) was used as the secondary antibody at 1/1,000 dilution. PBS instead of the primary antibody was used as the secondary antibody only control. Nuclear DNA was labelled in blue with DAPI.

Beta tubulin (M1305-2, red) was stained at 1/100 dilution overnight at +4℃. Goat Anti-Mouse IgG H&L (iFluor™ 594, HA1126) was used as the secondary antibody at 1/1,000 dilution.
HA750177_9.jpg Fig9: Immunocytochemistry analysis of C6 cells labeling AKT1 with Rabbit anti-AKT1 antibody (HA750177) at 1/100 dilution.

Cells were fixed in 4% paraformaldehyde for 20 minutes at room temperature, permeabilized with 0.1% Triton X-100 in PBS for 5 minutes at room temperature, then blocked with 1% BSA in 10% negative goat serum for 1 hour at room temperature. Cells were then incubated with Rabbit anti-AKT1 antibody (HA750177) at 1/100 dilution in 1% BSA in PBST overnight at 4 ℃. Goat Anti-Rabbit IgG H&L (iFluor™ 488, HA1121) was used as the secondary antibody at 1/1,000 dilution. PBS instead of the primary antibody was used as the secondary antibody only control. Nuclear DNA was labelled in blue with DAPI.

Beta tubulin (M1305-2, red) was stained at 1/100 dilution overnight at +4℃. Goat Anti-Mouse IgG H&L (iFluor™ 594, HA1126) was used as the secondary antibody at 1/1,000 dilution.
HA750177_10.jpg Fig10: Flow cytometric analysis of MCF7 cells labeling AKT1.

Cells were fixed and permeabilized. Then stained with the primary antibody (HA750177, 1/1,000) (red) compared with Rabbit IgG Isotype Control (green). After incubation of the primary antibody at +4℃ for an hour, the cells were stained with a iFluor™ 488 conjugate-Goat anti-Rabbit IgG Secondary antibody (HA1121) at 1/1,000 dilution for 30 minutes at +4℃. Unlabelled sample was used as a control (cells without incubation with primary antibody; black).
HA750177_11.jpg Fig11: AKT1 was immunoprecipitated from 0.2 mg MCF7 cell lysate with HA750177 at 2 µg/10 µl beads. Western blot was performed from the immunoprecipitate using HA750177 at 1/1,000 dilution. Anti-Rabbit IgG for IP Nano-secondary antibody (NBI01H) at 1/5,000 dilution was used for 1 hour at room temperature.

Lane 1: MCF7 cell lysate (input)
Lane 2: HA750177 IP in MCF7 cell lysate
Lane 3: Rabbit IgG instead of HA750177 in MCF7 cell lysate

Blocking/Dilution buffer: 5% NFDM/TBST
Exposure time: 23 seconds; ECL: K1801
Note: All products are “FOR RESEARCH USE ONLY AND ARE NOT INTENDED FOR DIAGNOSTIC OR THERAPEUTIC USE”.