Phospho-FOXO3a (S253) Recombinant Rabbit Monoclonal Antibody [ST49-01]
cat.: HA750178
Product Type: Recombinant Rabbit monoclonal IgG, primary antibodies
Species reactivity: Human, Mouse, Rat
Applications: WB, IHC-P, IF-Cell, FC
Clonality: Monoclonal
Clone number: ST49-01
Form: Liquid
Storage condition: Store at +4℃ after thawing. Aliquot store at -20℃ or -80℃. Avoid repeated freeze / thaw cycles.
Storage buffer: 1*PBS (pH7.4).
Concentration: 1ug/ul
Purification: Protein A affinity purified.
Molecular weight: Predicted band size: 71 kDa
Isotype: IgG
Immunogen: Synthetic Human Metabotropic Glutamate Receptor 5 aa 1150 to the C-terminus aa 238-282 / 673.
Positive control: Hela cell lysate, PC-12 cell lysate, THP-1 cell lysate, K562 cell lysate, human tonsil tissue, human breast carcinoma tissue, human pancreas tissue, mouse pancreas tissue, 293T whole cell lysate, 293T treated with 50 uM LY294002 and 1 uM Wortmannin for 16 hours whole cell lysate.
Subcellular location: Cytoplasm, Membrane, Mitochondrion, Mitochondrion outer membrane, Nucleus.
Recommended Dilutions:
  WB
  IHC-P
  IF-Cell
  FC

1:1,000-1:5,000
1:50-1:200
1:100
1:1,000
Uniprot #: SwissProt: O43524 Human | Q9WVH4 Mouse | D3ZBQ1 Rat
Alternative names: AF6q21 AF6q21 protein DKFZp781A0677 FKHR2 FKHRL 1 FKHRL1 FKHRL1P2 Forkhead (Drosophila) homolog (rhabdomyosarcoma) like 1 Forkhead box O3 Forkhead box O3A Forkhead box protein O3 Forkhead box protein O3A Forkhead Drosophila homolog of in rhabdomyosarcoma like 1 Forkhead homolog (rhabdomyosarcoma) like 1 Forkhead in rhabdomyosarcoma like 1 Forkhead in rhabdomyosarcoma-like 1 FOX O3A FOXO2 foxo3 FOXO3_HUMAN FOXO3A MGC12739 MGC31925
Images
HA750178_1.jpg Fig1: Western blot analysis of Phospho-FOXO3a (S253) on different lysates with Rabbit anti-Phospho-FOXO3a (S253) antibody (HA750178) at 1/1,000 dilution.

Lane 1: Hela cell lysate
Lane 2: PC-12 cell lysate
Lane 3: THP-1 cell lysate
Lane 4: K562 cell lysate

Lysates/proteins at 10 µg/Lane.

Predicted band size: 71 kDa
Observed band size: 100 kDa

Exposure time: 1 minute;

8% SDS-PAGE gel.

Proteins were transferred to a PVDF membrane and blocked with 5% NFDM/TBST for 1 hour at room temperature. The primary antibody (HA750178) at 1/1,000 dilution was used in 5% NFDM/TBST at room temperature for 2 hours. Goat Anti-Rabbit IgG - HRP Secondary Antibody (HA1001) at 1:300,000 dilution was used for 1 hour at room temperature.
HA750178_2.jpg Fig2: Western blot analysis of Phospho-FOXO3a (S253) on different lysates with Rabbit anti-Phospho-FOXO3a (S253) antibody (HA750178) at 1/1,000 dilution.

Lane 1: 293T whole cell lysate
Lane 2: 293T treated with 50 uM LY294002 and 1 uM Wortmannin for 16 hours whole cell lysate

Lysates/proteins at 15 µg/Lane.

Predicted band size: 71 kDa
Observed band size: 100 kDa

Exposure time: 20 seconds;

4-20% SDS-PAGE gel.

Proteins were transferred to a PVDF membrane and blocked with 5% NFDM/TBST for 1 hour at room temperature. The primary antibody (HA750178) at 1/1,000 dilution was used in 5% NFDM/TBST at room temperature for 2 hours. Goat Anti-Rabbit IgG - HRP Secondary Antibody (HA1001) at 1:200,000 dilution was used for 1 hour at room temperature.
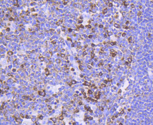
HA750178_3.jpg Fig3: Immunohistochemical analysis of paraffin-embedded human tonsil tissue using anti-Phospho-FOXO3a (S253) antibody. The section was pre-treated using heat mediated antigen retrieval with Tris-EDTA buffer (pH 8.0-8.4) for 20 minutes.The tissues were blocked in 5% BSA for 30 minutes at room temperature, washed with ddH2O and PBS, and then probed with the primary antibody (HA750178, 1/50) for 30 minutes at room temperature. The detection was performed using an HRP conjugated compact polymer system. DAB was used as the chromogen. Tissues were counterstained with hematoxylin and mounted with DPX.
HA750178_4.jpg Fig4: Immunohistochemical analysis of paraffin-embedded human breast carcinoma tissue using anti-Phospho-FOXO3a (S253) antibody. The section was pre-treated using heat mediated antigen retrieval with Tris-EDTA buffer (pH 8.0-8.4) for 20 minutes.The tissues were blocked in 5% BSA for 30 minutes at room temperature, washed with ddH2O and PBS, and then probed with the primary antibody (HA750178, 1/50) for 30 minutes at room temperature. The detection was performed using an HRP conjugated compact polymer system. DAB was used as the chromogen. Tissues were counterstained with hematoxylin and mounted with DPX.
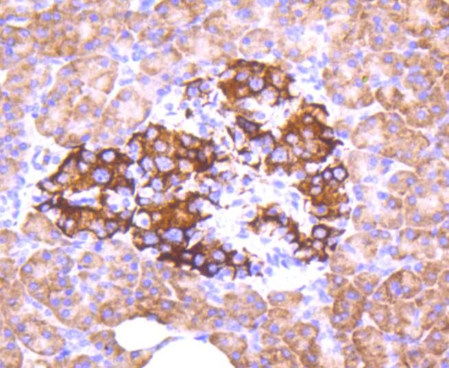
HA750178_5.jpg Fig5: Immunohistochemical analysis of paraffin-embedded human pancreas tissue using anti-Phospho-FOXO3a (S253) antibody. The section was pre-treated using heat mediated antigen retrieval with Tris-EDTA buffer (pH 8.0-8.4) for 20 minutes.The tissues were blocked in 5% BSA for 30 minutes at room temperature, washed with ddH2O and PBS, and then probed with the primary antibody (HA750178, 1/50) for 30 minutes at room temperature. The detection was performed using an HRP conjugated compact polymer system. DAB was used as the chromogen. Tissues were counterstained with hematoxylin and mounted with DPX.
HA750178_6.jpg Fig6: Immunohistochemical analysis of paraffin-embedded mouse pancreas tissue using anti-Phospho-FOXO3a (S253) antibody. The section was pre-treated using heat mediated antigen retrieval with Tris-EDTA buffer (pH 8.0-8.4) for 20 minutes.The tissues were blocked in 5% BSA for 30 minutes at room temperature, washed with ddH2O and PBS, and then probed with the primary antibody (HA750178, 1/50) for 30 minutes at room temperature. The detection was performed using an HRP conjugated compact polymer system. DAB was used as the chromogen. Tissues were counterstained with hematoxylin and mounted with DPX.
HA750178_7.jpg Fig7: Immunocytochemistry analysis of NIH/3T3 cells labeling Phospho-FOXO3a (S253) with Rabbit anti-Phospho-FOXO3a (S253) antibody (HA750178) at 1/100 dilution.

Cells were fixed in 4% paraformaldehyde for 15 minutes at room temperature, permeabilized with 0.1% Triton X-100 in PBS for 15 minutes at room temperature, then blocked with 1% BSA in 10% negative goat serum for 1 hour at room temperature. Cells were then incubated with Rabbit anti-Phospho-FOXO3a (S253) antibody (HA750178) at 1/100 dilution in 1% BSA in PBST overnight at 4 ℃. Goat Anti-Rabbit IgG H&L (iFluor™ 488, HA1121) was used as the secondary antibody at 1/1,000 dilution. PBS instead of the primary antibody was used as the secondary antibody only control. Nuclear DNA was labelled in blue with DAPI.

Beta tubulin (M1305-2, red) was stained at 1/100 dilution overnight at +4℃. Goat Anti-Mouse IgG H&L (iFluor™ 594, HA1126) was used as the secondary antibody at 1/1,000 dilution.
HA750178_8.jpg Fig8: Flow cytometric analysis of NIH/3T3 cells labeling Phospho-FOXO3a (S253).

Cells were fixed and permeabilized. Then stained with the primary antibody (HA750178, 1μg/mL) (red) compared with Rabbit IgG Isotype Control (green). After incubation of the primary antibody at +4℃ for an hour, the cells were stained with a iFluor™ 488 conjugate-Goat anti-Rabbit IgG Secondary antibody (HA1121) at 1/1,000 dilution for 30 minutes at +4℃. Unlabelled sample was used as a control (cells without incubation with primary antibody; black).
Note: All products are “FOR RESEARCH USE ONLY AND ARE NOT INTENDED FOR DIAGNOSTIC OR THERAPEUTIC USE”.