AKT1/2/3 Recombinant Rabbit Monoclonal Antibody [ST48-09]
cat.: HA750179
Product Type: Recombinant Rabbit monoclonal IgG, primary antibodies
Species reactivity: Human, Mouse, Rat, Monkey
Applications: WB, IF-Cell, IF-Tissue, IHC-P, IP, FC, IHC-Fr
Clonality: Monoclonal
Clone number: ST48-09
Form: Liquid
Storage condition: Store at +4℃ after thawing. Aliquot store at -20℃ or -80℃. Avoid repeated freeze / thaw cycles.
Storage buffer: 1*PBS (pH7.4).
Concentration: 1ug/ul
Purification: Protein A affinity purified.
Molecular weight: Predicted band size: 56 kDa
Isotype: IgG
Immunogen: Recombinant protein within human AKT3 aa 300-479.
Positive control: MCF7 cell lysate, U-2 OS cell lysate, Jurkat cell lysate, C6 cell lysate, mouse heart tissue lysate, mouse testis tissue lysate, rat heart tissue lysate, rat testis tissue lysate, MCF7, RAW264.7, C6, human brain tissue, human lung tissue, mouse brain tissue, mouse lung tissue, rat brain tissue, rat lung tissue, mouse hippocampus tissue, mouse cerebral cortex tissue.
Subcellular location: Cell membrane, Cytoplasm, Membrane, Nucleus.
Recommended Dilutions:
  WB
  IF-Cell
  IF-Tissue
  IHC-P
  FC
  IP
  IHC-Fr

1:5,000-1:10,000
1:100-1:200
1:500-1:1,000
1:2,000
1:1,000
1-2μg/sample
1:100
Uniprot #: SwissProt: P31749 Human | P31751 Human | Q9Y243 Human | P31750 Mouse | Q60823 Mouse | Q9WUA6 Mouse | P47196 Rat | P47197 Rat | Q63484 Rat
Alternative names: AKT AKT1 AKT1 kinase AKT1m AKT2 AKT2 kinase Akt3 AKT3_HUMAN CAKT CWS6 DKFZp434N0250 HIHGHH kinase Akt1 MGC99656 MPPH Murine thymoma viral (v-akt) homolog 2 PKB ALPHA PKB PKB beta PKB gamma PKB-GAMMA PKB/Akt PKBALPHA PKBB PKBBETA PKBG PKBGAMMA PRKBA PRKBB PRKBG Protein kinase Akt 2 Protein kinase Akt-3 Protein kinase B alpha Protein kinase B Protein kinase B beta Protein kinase B gamma Proto oncogene c Akt RAC ALPHA RAC alpha serine/threonine protein kinase RAC RAC BETA RAC beta serine/threonine protein kinase RAC PK alpha RAC PK beta rac protein kinase alpha rac protein kinase beta RAC-gamma RAC-gamma serine/threonine-protein kinase RAC-PK-gamma RACALPHA RACalpha serine/threonine kinase RACBETA RACgamma RACgamma serine/threonine protein kinase RACPKgamma serine threonine protein kinase STK-2 STK2 thymoma viral proto oncogene 1 thymoma viral proto oncogene V akt murine......
Images
HA750179_1.jpg Fig1: Western blot analysis of AKT1/2/3 on different lysates with Rabbit anti-AKT1/2/3 antibody (HA750179) at 1/5,000 dilution.

Lane 1: MCF7 cell lysate (20 µg/Lane)
Lane 2: A549 cell lysate (20 µg/Lane)
Lane 3: U-2 OS cell lysate (20 µg/Lane)
Lane 4: COS-1 cell lysate (20 µg/Lane)
Lane 5: NIH/3T3 cell lysate (20 µg/Lane)
Lane 6: RAW264.7 cell lysate (20 µg/Lane)
Lane 7: C6 cell lysate (20 µg/Lane)
Lane 8: PC-12 cell lysate (20 µg/Lane)
Lane 9: Mouse brain tissue lysate (20 µg/Lane)
Lane 10: Mouse heart tissue lysate (20 µg/Lane)
Lane 11: Mouse testis tissue lysate (20 µg/Lane)
Lane 12: Rat brain tissue lysate (20 µg/Lane)
Lane 13: Rat heart tissue lysate (20 µg/Lane)
Lane 14: Rat testis tissue lysate (20 µg/Lane)

Predicted band size: 56 kDa
Observed band size: 56 kDa

Exposure time: 24 seconds; ECL: K1801;
4-20% SDS-PAGE gel.

Proteins were transferred to a PVDF membrane and blocked with 5% NFDM/TBST for 1 hour at room temperature. The primary antibody (HA750179) at 1/5,000 dilution was used in 5% NFDM/TBST at room temperature for 2 hours. Goat Anti-Rabbit IgG - HRP Secondary Antibody (HA1001) at 1/50,000 dilution was used for 1 hour at room temperature.
HA750179_2.jpg Fig2: AKT1/2/3 was immunoprecipitated from 0.2 mg MCF7 cell lysate with HA750179 at 2 µg/10 µl beads. Western blot was performed from the immunoprecipitate using HA750179 at 1/1,000 dilution. Anti-Rabbit IgG for IP Nano-secondary antibody (NBI01H) at 1/5,000 dilution was used for 1 hour at room temperature.

Lane 1: MCF7 cell lysate (input)
Lane 2: HA750179 IP in MCF7 cell lysate
Lane 3: Rabbit IgG instead of HA750179 in MCF7 cell lysate

Blocking/Dilution buffer: 5% NFDM/TBST
Exposure time: 23 seconds; ECL: K1801
HA750179_3.jpg Fig3: Immunocytochemistry analysis of MCF7 cells labeling AKT1/2/3 with Rabbit anti-AKT1/2/3 antibody (HA750179) at 1/100 dilution.

Cells were fixed in 4% paraformaldehyde for 20 minutes at room temperature, permeabilized with 0.1% Triton X-100 in PBS for 5 minutes at room temperature, then blocked with 1% BSA in 10% negative goat serum for 1 hour at room temperature. Cells were then incubated with Rabbit anti-AKT1/2/3 antibody (HA750179) at 1/100 dilution in 1% BSA in PBST overnight at 4 ℃. Goat Anti-Rabbit IgG H&L (iFluor™ 488, HA1121) was used as the secondary antibody at 1/1,000 dilution. PBS instead of the primary antibody was used as the secondary antibody only control. Nuclear DNA was labelled in blue with DAPI.

Beta tubulin (M1305-2, red) was stained at 1/100 dilution overnight at +4℃. Goat Anti-Mouse IgG H&L (iFluor™ 594, HA1126) was used as the secondary antibody at 1/1,000 dilution.
HA750179_4.jpg Fig4: Immunocytochemistry analysis of RAW264.7 cells labeling AKT1/2/3 with Rabbit anti-AKT1/2/3 antibody (HA750179) at 1/100 dilution.

Cells were fixed in 4% paraformaldehyde for 20 minutes at room temperature, permeabilized with 0.1% Triton X-100 in PBS for 5 minutes at room temperature, then blocked with 1% BSA in 10% negative goat serum for 1 hour at room temperature. Cells were then incubated with Rabbit anti-AKT1/2/3 antibody (HA750179) at 1/100 dilution in 1% BSA in PBST overnight at 4 ℃. Goat Anti-Rabbit IgG H&L (iFluor™ 488, HA1121) was used as the secondary antibody at 1/1,000 dilution. PBS instead of the primary antibody was used as the secondary antibody only control. Nuclear DNA was labelled in blue with DAPI.

Beta tubulin (M1305-2, red) was stained at 1/100 dilution overnight at +4℃. Goat Anti-Mouse IgG H&L (iFluor™ 594, HA1126) was used as the secondary antibody at 1/1,000 dilution.
HA750179_5.jpg Fig5: Immunocytochemistry analysis of C6 cells labeling AKT1/2/3 with Rabbit anti-AKT1/2/3 antibody (HA750179) at 1/100 dilution.

Cells were fixed in 4% paraformaldehyde for 20 minutes at room temperature, permeabilized with 0.1% Triton X-100 in PBS for 5 minutes at room temperature, then blocked with 1% BSA in 10% negative goat serum for 1 hour at room temperature. Cells were then incubated with Rabbit anti-AKT1/2/3 antibody (HA750179) at 1/100 dilution in 1% BSA in PBST overnight at 4 ℃. Goat Anti-Rabbit IgG H&L (iFluor™ 488, HA1121) was used as the secondary antibody at 1/1,000 dilution. PBS instead of the primary antibody was used as the secondary antibody only control. Nuclear DNA was labelled in blue with DAPI.

Beta tubulin (M1305-2, red) was stained at 1/100 dilution overnight at +4℃. Goat Anti-Mouse IgG H&L (iFluor™ 594, HA1126) was used as the secondary antibody at 1/1,000 dilution.
HA750179_6.jpg Fig6: Immunohistochemical analysis of paraffin-embedded human brain tissue with Rabbit anti-AKT1/2/3 antibody (HA750179) at 1/2,000 dilution.

The section was pre-treated using heat mediated antigen retrieval with Tris-EDTA buffer (pH 9.0) for 20 minutes. The tissues were blocked in 1% BSA for 20 minutes at room temperature, washed with ddH2O and PBS, and then probed with the primary antibody (HA750179) at 1/2,000 dilution for 1 hour at room temperature. The detection was performed using an HRP conjugated compact polymer system. DAB was used as the chromogen. Tissues were counterstained with hematoxylin and mounted with DPX.
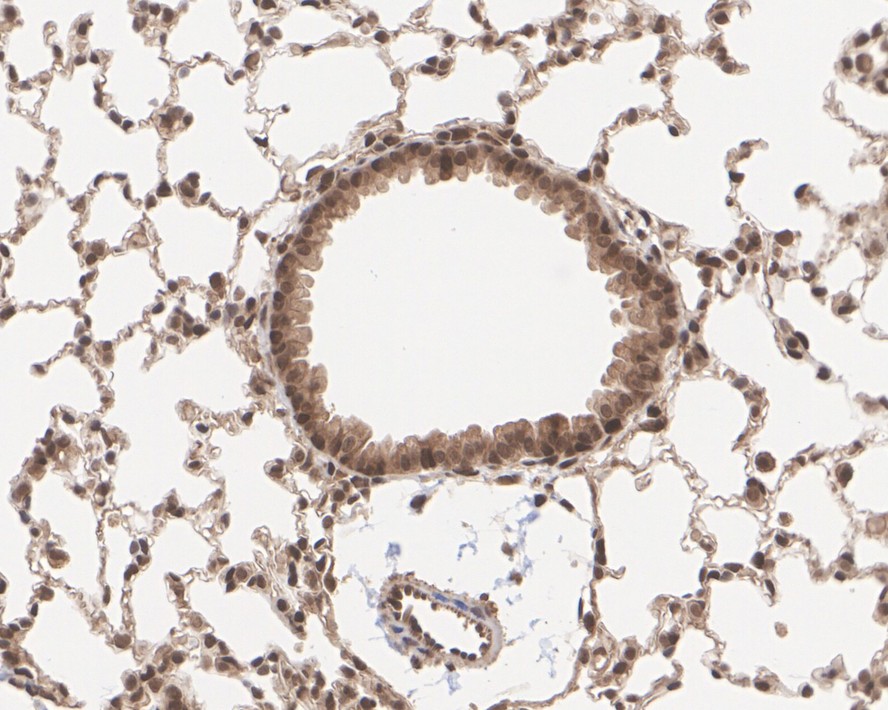
HA750179_7.jpg Fig7: Immunohistochemical analysis of paraffin-embedded human lung tissue with Rabbit anti-AKT1/2/3 antibody (HA750179) at 1/2,000 dilution.

The section was pre-treated using heat mediated antigen retrieval with Tris-EDTA buffer (pH 9.0) for 20 minutes. The tissues were blocked in 1% BSA for 20 minutes at room temperature, washed with ddH2O and PBS, and then probed with the primary antibody (HA750179) at 1/2,000 dilution for 1 hour at room temperature. The detection was performed using an HRP conjugated compact polymer system. DAB was used as the chromogen. Tissues were counterstained with hematoxylin and mounted with DPX.
HA750179_8.jpg Fig8: Immunohistochemical analysis of paraffin-embedded mouse brain tissue with Rabbit anti-AKT1/2/3 antibody (HA750179) at 1/2,000 dilution.

The section was pre-treated using heat mediated antigen retrieval with Tris-EDTA buffer (pH 9.0) for 20 minutes. The tissues were blocked in 1% BSA for 20 minutes at room temperature, washed with ddH2O and PBS, and then probed with the primary antibody (HA750179) at 1/2,000 dilution for 1 hour at room temperature. The detection was performed using an HRP conjugated compact polymer system. DAB was used as the chromogen. Tissues were counterstained with hematoxylin and mounted with DPX.
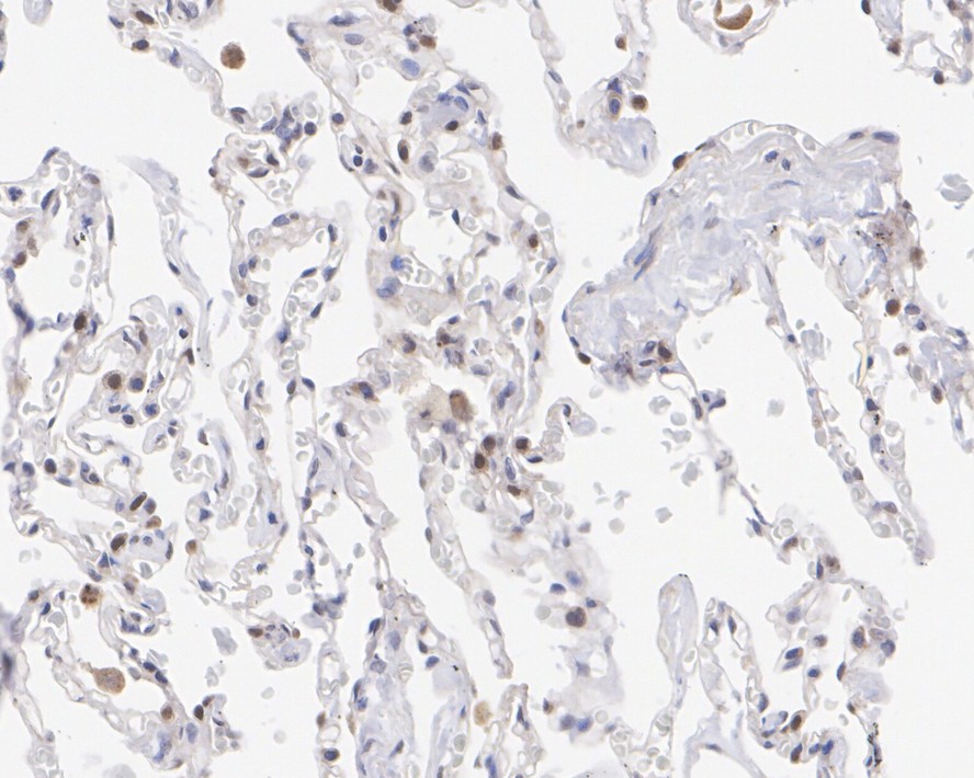
HA750179_9.jpg Fig9: Immunohistochemical analysis of paraffin-embedded mouse lung tissue with Rabbit anti-AKT1/2/3 antibody (HA750179) at 1/2,000 dilution.

The section was pre-treated using heat mediated antigen retrieval with Tris-EDTA buffer (pH 9.0) for 20 minutes. The tissues were blocked in 1% BSA for 20 minutes at room temperature, washed with ddH2O and PBS, and then probed with the primary antibody (HA750179) at 1/2,000 dilution for 1 hour at room temperature. The detection was performed using an HRP conjugated compact polymer system. DAB was used as the chromogen. Tissues were counterstained with hematoxylin and mounted with DPX.
HA750179_10.jpg Fig10: Immunohistochemical analysis of paraffin-embedded rat brain tissue with Rabbit anti-AKT1/2/3 antibody (HA750179) at 1/2,000 dilution.

The section was pre-treated using heat mediated antigen retrieval with Tris-EDTA buffer (pH 9.0) for 20 minutes. The tissues were blocked in 1% BSA for 20 minutes at room temperature, washed with ddH2O and PBS, and then probed with the primary antibody (HA750179) at 1/2,000 dilution for 1 hour at room temperature. The detection was performed using an HRP conjugated compact polymer system. DAB was used as the chromogen. Tissues were counterstained with hematoxylin and mounted with DPX.
HA750179_11.jpg Fig11: Immunohistochemical analysis of paraffin-embedded rat lung tissue with Rabbit anti-AKT1/2/3 antibody (HA750179) at 1/2,000 dilution.

The section was pre-treated using heat mediated antigen retrieval with Tris-EDTA buffer (pH 9.0) for 20 minutes. The tissues were blocked in 1% BSA for 20 minutes at room temperature, washed with ddH2O and PBS, and then probed with the primary antibody (HA750179) at 1/2,000 dilution for 1 hour at room temperature. The detection was performed using an HRP conjugated compact polymer system. DAB was used as the chromogen. Tissues were counterstained with hematoxylin and mounted with DPX.
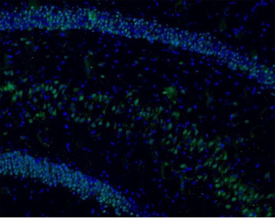
HA750179_12.jpg Fig12: Application: IHC-Fr

Species: Mouse

Site: Hippocampus

Sample: Frozen section

Antibody concentration: 1/100

Antigen retrieval: The section was pre-treated using 1% SDS buffer (in PBS, pH 7.4) for 5 minutes at room temperature.
HA750179_13.jpg Fig13: Application: IHC-Fr

Species: Mouse

Site: Cerebral cortex

Sample: Frozen section

Antibody concentration: 1/100

Antigen retrieval: The section was pre-treated using 1% SDS buffer (in PBS, pH 7.4) for 5 minutes at room temperature.
HA750179_14.jpg Fig14: Flow cytometric analysis of MCF7 cells labeling AKT1/2/3.

Cells were fixed and permeabilized. Then stained with the primary antibody (HA750179, 1/1,000) (red) compared with Rabbit IgG Isotype Control (green). After incubation of the primary antibody at +4℃ for an hour, the cells were stained with a iFluor™ 488 conjugate-Goat anti-Rabbit IgG Secondary antibody (HA1121) at 1/1,000 dilution for 30 minutes at +4℃. Unlabelled sample was used as a control (cells without incubation with primary antibody; black).
HA750179_15.jpg Fig15: Flow cytometric analysis of RAW264.7 cells labeling AKT1/2/3.

Cells were fixed and permeabilized. Then stained with the primary antibody (HA750179, 1/1,000) (red) compared with Rabbit IgG Isotype Control (green). After incubation of the primary antibody at +4℃ for an hour, the cells were stained with a iFluor™ 488 conjugate-Goat anti-Rabbit IgG Secondary antibody (HA1121) at 1/1,000 dilution for 30 minutes at +4℃. Unlabelled sample was used as a control (cells without incubation with primary antibody; black).
HA750179_16.jpg Fig16: Flow cytometric analysis of C6 cells labeling AKT1/2/3.

Cells were fixed and permeabilized. Then stained with the primary antibody (HA750179, 1/1,000) (red) compared with Rabbit IgG Isotype Control (green). After incubation of the primary antibody at +4℃ for an hour, the cells were stained with a iFluor™ 488 conjugate-Goat anti-Rabbit IgG Secondary antibody (HA1121) at 1/1,000 dilution for 30 minutes at +4℃. Unlabelled sample was used as a control (cells without incubation with primary antibody; black).
Note: All products are “FOR RESEARCH USE ONLY AND ARE NOT INTENDED FOR DIAGNOSTIC OR THERAPEUTIC USE”.