ROCK1 Recombinant Rabbit Monoclonal Antibody [ST05-19]
cat.: HA750181
Product Type: Recombinant Rabbit monoclonal IgG, primary antibodies
Species reactivity: Human, Mouse, Rat
Applications: WB, IF-Tissue, IHC-P, IP
Clonality: Monoclonal
Clone number: ST05-19
Form: Liquid
Storage condition: Store at +4℃ after thawing. Aliquot store at -20℃ or -80℃. Avoid repeated freeze / thaw cycles.
Storage buffer: 1*PBS (pH7.4).
Concentration: 1ug/ul
Purification: Protein A affinity purified.
Molecular weight: Predicted band size: 158 kDa
Isotype: IgG
Immunogen: Synthetic peptide within Human ROCK1 aa aa 1104-1149 / 1,354.
Positive control: A431 cell lysate, Human lung tissue lysate, Mouse spleen tissue lysate, C6 cell lysate, L6 cell lysate, human thyroid tissue, mouse thyroid tissue, rat thyroid tissue.
Subcellular location: Cell membrane, Cell projection, Cytoplasm, Cytoskeleton, Golgi apparatus, Membrane.
Recommended Dilutions:
  WB
  IF-Tissue
  IHC-P
  IP

1:1,000-1:5,000
1:50
1:50-1:200
Use at an assay dependent concentration.
Uniprot #: SwissProt: Q13464 Human | P70335 Mouse | Q63644 Rat
Alternative names: coiled-coil-containing protein kinase 1 coiled-coil-containing protein kinase I MGC131603 MGC43611 p160 Rhoassociated coiled coil-forming protein kinase p160 ROCK-1 p160 ROCK1 p160ROCK PRO0435 Renal carcinoma antigen NY REN 35 Renal carcinoma antigen NY-REN-35 Rho associated coiled coil containing protein kinase 1 Rho associated protein kinase 1 Rho kinase Rho-alpha kinase Rho-associated Rho-associated protein kinase 1 ROCK I ROCK-I ROCK1 ROCK1_HUMAN Rok rokalpha
Images
HA750181_1.jpg Fig1: Western blot analysis of ROCK1 on different lysates with Rabbit anti-ROCK1 antibody (HA750181) at 1/1,000 dilution.

Lane 1: A431 cell lysate (20 µg/Lane)
Lane 2: Human lung tissue lysate (20 µg/Lane)
Lane 3: Mouse spleen tissue lysate (20 µg/Lane)
Lane 4: C6 cell lysate (20 µg/Lane)
Lane 5: L6 cell lysate (20 µg/Lane)

Predicted band size: 158 kDa
Observed band size: 158 kDa

Exposure time: 3 minutes;
4-20% SDS-PAGE gel.

Proteins were transferred to a PVDF membrane and blocked with 5% NFDM/TBST for 1 hour at room temperature. The primary antibody (HA750181) at 1/1,000 dilution was used in 5% NFDM/TBST at 4℃ overnight. Goat Anti-Rabbit IgG - HRP Secondary Antibody (HA1001) at 1/50,000 dilution was used for 1 hour at room temperature.
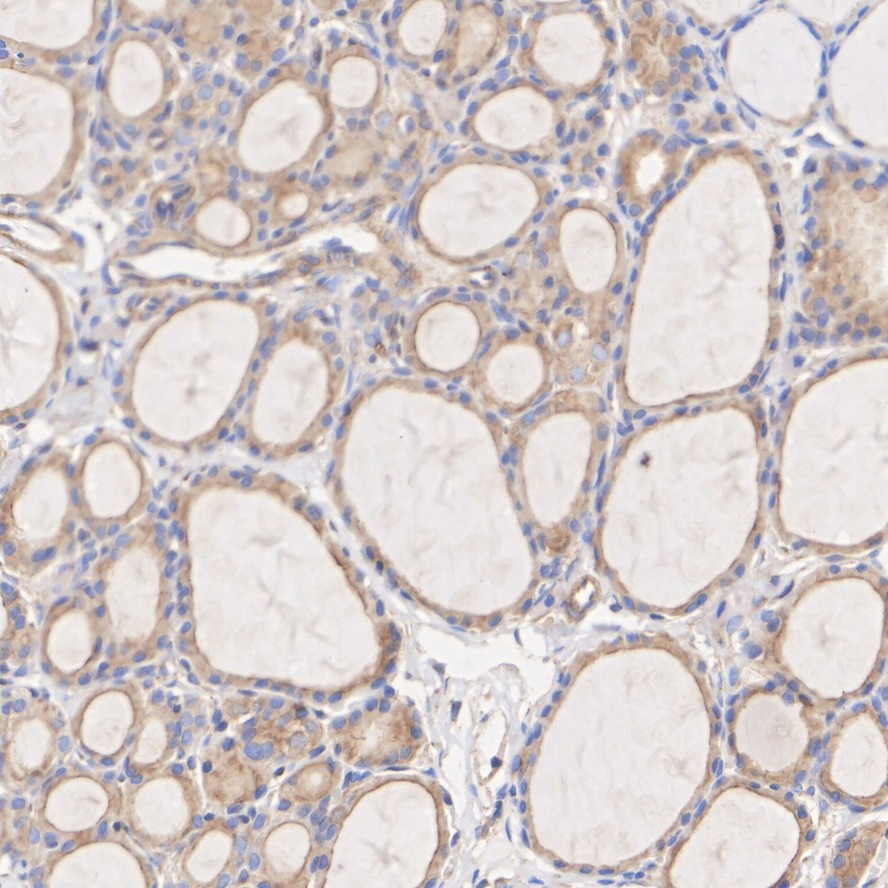
HA750181_2.jpg Fig2: Immunohistochemical analysis of paraffin-embedded human thyroid tissue with Rabbit anti-ROCK1 antibody (HA750181) at 1/50 dilution.

The section was pre-treated using heat mediated antigen retrieval with Tris-EDTA buffer (pH 9.0) for 20 minutes. The tissues were blocked in 1% BSA for 20 minutes at room temperature, washed with ddH2O and PBS, and then probed with the primary antibody (HA750181) at 1/50 dilution for 1 hour at room temperature. The detection was performed using an HRP conjugated compact polymer system. DAB was used as the chromogen. Tissues were counterstained with hematoxylin and mounted with DPX.
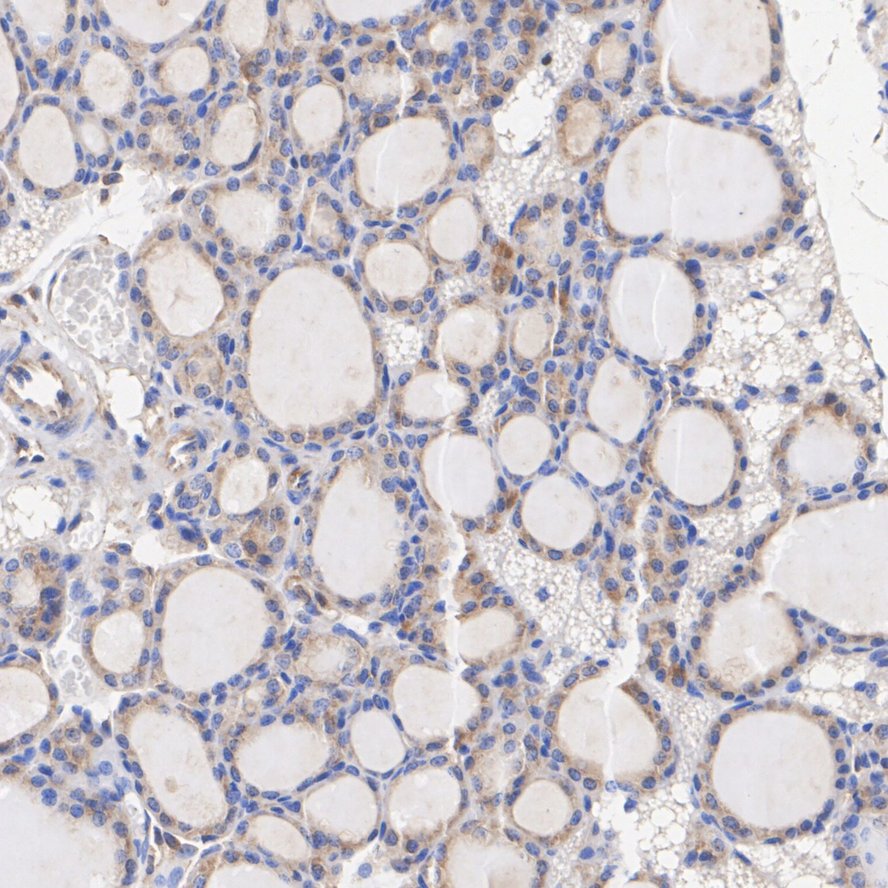
HA750181_3.jpg Fig3: Immunohistochemical analysis of paraffin-embedded mouse thyroid tissue with Rabbit anti-ROCK1 antibody (HA750181) at 1/200 dilution.

The section was pre-treated using heat mediated antigen retrieval with Tris-EDTA buffer (pH 9.0) for 20 minutes. The tissues were blocked in 1% BSA for 20 minutes at room temperature, washed with ddH2O and PBS, and then probed with the primary antibody (HA750181) at 1/200 dilution for 1 hour at room temperature. The detection was performed using an HRP conjugated compact polymer system. DAB was used as the chromogen. Tissues were counterstained with hematoxylin and mounted with DPX.
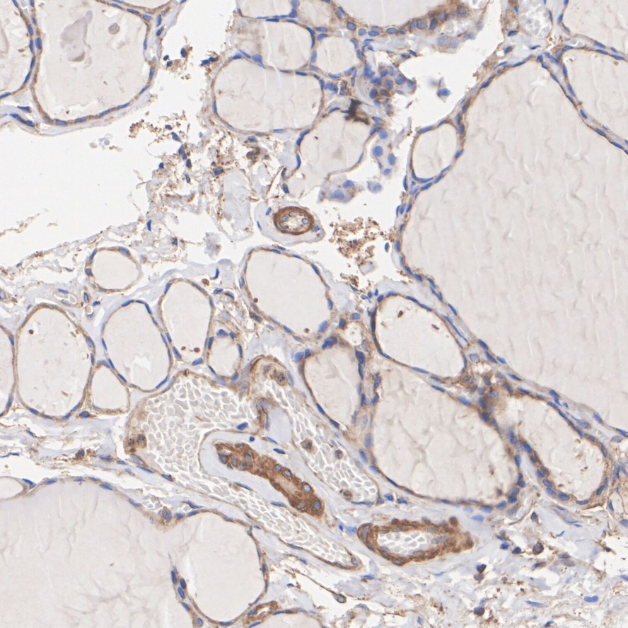
HA750181_4.jpg Fig4: Immunohistochemical analysis of paraffin-embedded rat thyroid tissue with Rabbit anti-ROCK1 antibody (HA750181) at 1/200 dilution.

The section was pre-treated using heat mediated antigen retrieval with Tris-EDTA buffer (pH 9.0) for 20 minutes. The tissues were blocked in 1% BSA for 20 minutes at room temperature, washed with ddH2O and PBS, and then probed with the primary antibody (HA750181) at 1/200 dilution for 1 hour at room temperature. The detection was performed using an HRP conjugated compact polymer system. DAB was used as the chromogen. Tissues were counterstained with hematoxylin and mounted with DPX.
Note: All products are “FOR RESEARCH USE ONLY AND ARE NOT INTENDED FOR DIAGNOSTIC OR THERAPEUTIC USE”.