Cytokeratin 15 Recombinant Rabbit Monoclonal Antibody [ST04-85]
cat.: HA750182
Product Type: Recombinant Rabbit monoclonal IgG, primary antibodies
Species reactivity: Human, Mouse, Rat
Applications: WB, IHC-P, IF-Tissue, IF-Cell
Clonality: Monoclonal
Clone number: ST04-85
Form: Liquid
Storage condition: Store at +4℃ after thawing. Aliquot store at -20℃ or -80℃. Avoid repeated freeze / thaw cycles.
Storage buffer: 1*PBS (pH7.4).
Concentration: 1ug/ul
Purification: Protein A affinity purified.
Molecular weight: Predicted band size: 49 kDa
Isotype: IgG
Immunogen: Synthetic peptide within Human Cytokeratin 15 aa 410-455 / 456.
Positive control: A431 cell lysate, Mouse skin tissue lysate, human skin tissue, human breast carcinoma tissue, human cervical carcinoma tissue, mouse small intestine tissue, mouse skin tissue, rat skin tissue, A431.
Subcellular location: Intermediate filament, cytosol, extracellular exosome, nucleus.
Recommended Dilutions:
  WB
  IHC-P
  IF-Tissue
  IF-Cell
  FC

1:500-1:2,000
1:50-1:1,500
1:400-1:500
1:100
1:50-1:100
Uniprot #: SwissProt: P19012 Human | Q61414 Mouse | Q6IFV3 Rat
Alternative names: AI528832 CK 15 CK-15 CK15 Cytokeratin-15 Cytokeratin15 K15 K1C15_HUMAN K1CO Ka15 Keratin 15 Keratin 15 basic Keratin 15 beta Keratin Keratin complex 1 acidic gene 15 Keratin type I cytoskeletal 15 Keratin-15 Keratin15 KRT 15 Krt1-15 KRT15 KRTB KRTL15 Type I cytoskeletal 15 Type I keratin Ka15
Images
HA750182_1.jpg Fig1: Western blot analysis of Cytokeratin 15 on different lysates with Rabbit anti-Cytokeratin 15 antibody (HA750182) at 1/1,000 dilution.

Lane 1: A431 cell lysate (20 µg/Lane)
Lane 2: Mouse skin tissue lysate (40 µg/Lane)

Predicted band size: 49 kDa
Observed band size: 49 kDa

Exposure time: 25 seconds; ECL: K1801;

4-20% SDS-PAGE gel.

Proteins were transferred to a PVDF membrane and blocked with 5% NFDM/TBST for 1 hour at room temperature. The primary antibody (HA750182) at 1/1,000 dilution was used in 5% NFDM/TBST at 4℃ overnight. Goat Anti-Rabbit IgG - HRP Secondary Antibody (HA1001) at 1/50,000 dilution was used for 1 hour at room temperature.
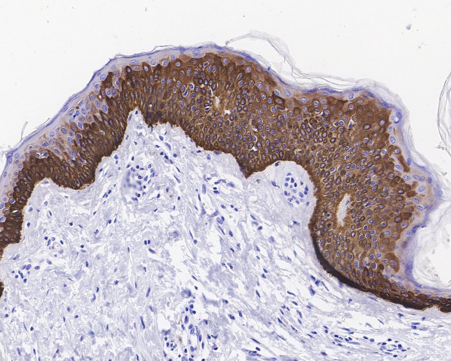
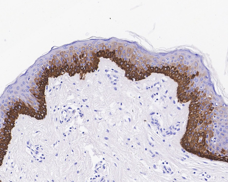
HA750182_2.jpg Fig2: Immunohistochemical analysis of paraffin-embedded human skin tissue with Rabbit anti-Cytokeratin 15 antibody (HA750182) at 1/1,500 dilution.

The section was pre-treated using heat mediated antigen retrieval with Tris-EDTA buffer (pH 9.0) for 20 minutes. The tissues were blocked in 1% BSA for 20 minutes at room temperature, washed with ddH2O and PBS, and then probed with the primary antibody (HA750182) at 1/1,500 dilution for 1 hour at room temperature. The detection was performed using an HRP conjugated compact polymer system. DAB was used as the chromogen. Tissues were counterstained with hematoxylin and mounted with DPX.
HA750182_3.jpg Fig3: Immunohistochemical analysis of paraffin-embedded human skin tissue with Rabbit anti-Cytokeratin 15 antibody (HA750182) at 1/1,500 dilution.

The section was not undergone antigen retrieval. The tissues were blocked in 1% BSA for 20 minutes at room temperature, washed with ddH2O and PBS, and then probed with the primary antibody (HA750182) at 1/1,500 dilution for 1 hour at room temperature. The detection was performed using an HRP conjugated compact polymer system. DAB was used as the chromogen. Tissues were counterstained with hematoxylin and mounted with DPX.
HA750182_4.jpg Fig4: Immunohistochemical analysis of paraffin-embedded human breast carcinoma tissue with Rabbit anti-Cytokeratin 15 antibody (HA750182) at 1/400 dilution.

The section was pre-treated using heat mediated antigen retrieval with Tris-EDTA buffer (pH 9.0) for 20 minutes. The tissues were blocked in 1% BSA for 20 minutes at room temperature, washed with ddH2O and PBS, and then probed with the primary antibody (HA750182) at 1/400 dilution for 1 hour at room temperature. The detection was performed using an HRP conjugated compact polymer system. DAB was used as the chromogen. Tissues were counterstained with hematoxylin and mounted with DPX.
HA750182_5.jpg Fig5: Immunohistochemical analysis of paraffin-embedded human cervical carcinoma tissue with Rabbit anti-Cytokeratin 15 antibody (HA750182) at 1/1,500 dilution.

The section was pre-treated using heat mediated antigen retrieval with Tris-EDTA buffer (pH 9.0) for 20 minutes. The tissues were blocked in 1% BSA for 20 minutes at room temperature, washed with ddH2O and PBS, and then probed with the primary antibody (HA750182) at 1/1,500 dilution for 1 hour at room temperature. The detection was performed using an HRP conjugated compact polymer system. DAB was used as the chromogen. Tissues were counterstained with hematoxylin and mounted with DPX.
HA750182_6.jpg Fig6: Immunohistochemical analysis of paraffin-embedded mouse small intestine tissue using anti-Cytokeratin 15 antibody. The section was pre-treated using heat mediated antigen retrieval with Tris-EDTA buffer (pH 8.0-8.4) for 20 minutes.The tissues were blocked in 5% BSA for 30 minutes at room temperature, washed with ddH2O and PBS, and then probed with the primary antibody (HA750182, 1/50) for 30 minutes at room temperature. The detection was performed using an HRP conjugated compact polymer system. DAB was used as the chromogen. Tissues were counterstained with hematoxylin and mounted with DPX.
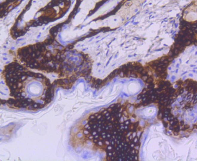
HA750182_7.jpg Fig7: Immunohistochemical analysis of paraffin-embedded mouse skin tissue using anti-Cytokeratin 15 antibody. The section was pre-treated using heat mediated antigen retrieval with Tris-EDTA buffer (pH 8.0-8.4) for 20 minutes.The tissues were blocked in 5% BSA for 30 minutes at room temperature, washed with ddH2O and PBS, and then probed with the primary antibody (HA750182, 1/50) for 30 minutes at room temperature. The detection was performed using an HRP conjugated compact polymer system. DAB was used as the chromogen. Tissues were counterstained with hematoxylin and mounted with DPX.
HA750182_8.jpg Fig8: Immunofluorescence analysis of paraffin-embedded human skin tissue labeling Cytokeratin 15 (HA750182).

The section was pre-treated using heat mediated antigen retrieval with Tris-EDTA buffer (pH 9.0) for 20 minutes. The tissues were blocked in 10% negative goat serum for 1 hour at room temperature, washed with PBS. And then probed with the primary antibodies Cytokeratin 15 (ET1609-54, red) at 1/500 dilution at +4℃ overnight, washed with PBS.

Goat Anti-Rabbit IgG H&L (iFluor™ 594, HA1122) was used as the secondary antibodies at 1/1,000 dilution. Nuclei were counterstained with DAPI (blue).
HA750182_9.jpg Fig9: Immunofluorescence analysis of paraffin-embedded rat skin tissue labeling Cytokeratin 15 (HA750182).

The section was pre-treated using heat mediated antigen retrieval with Tris-EDTA buffer (pH 9.0) for 20 minutes. The tissues were blocked in 10% negative goat serum for 1 hour at room temperature, washed with PBS. And then probed with the primary antibodies Cytokeratin 15 (ET1609-54, red) at 1/500 dilution at +4℃ overnight, washed with PBS.

Goat Anti-Rabbit IgG H&L (iFluor™ 594, HA1122) was used as the secondary antibodies at 1/1,000 dilution. Nuclei were counterstained with DAPI (blue).
HA750182_10.jpg Fig10: Immunofluorescence analysis of paraffin-embedded human skin tissue labeling Cytokeratin 15 (HA750182) and Vimentin (EM0401).

The section was pre-treated using heat mediated antigen retrieval with Tris-EDTA buffer (pH 9.0) for 20 minutes. The tissues were blocked in 10% negative goat serum for 1 hour at room temperature, washed with PBS. And then probed with the primary antibodies Cytokeratin 15 (ET1609-54, red) at 1/400 dilution and Vimentin (EM0401, green) at 1/400 dilution at +4℃ overnight, washed with PBS.

Goat Anti-Rabbit IgG H&L (iFluor™ 594, HA1122) and Goat Anti-Mouse IgG H&L (iFluor™ 488, HA1125) were used as the secondary antibodies at 1/1,000 dilution. Nuclei were counterstained with DAPI (blue).
HA750182_11.jpg Fig11: Flow cytometric analysis of A431 cells labeling Cytokeratin 15.

Cells were fixed and permeabilized. Then stained with the primary antibody (HA750182, 1/100) (red) compared with Rabbit IgG Isotype Control (green). After incubation of the primary antibody at +4℃ for an hour, the cells were stained with a iFluor™ 488 conjugate-Goat anti-Rabbit IgG Secondary antibody (HA1121) at 1/1,000 dilution for 30 minutes at +4℃. Unlabelled sample was used as a control (cells without incubation with primary antibody; black).
HA750182_12.jpg Fig12: Immunocytochemistry analysis of A431 cells labeling Cytokeratin 15 with Rabbit anti-Cytokeratin 15 antibody (HA750182) at 1/100 dilution.

Cells were fixed in 4% paraformaldehyde for 20 minutes at room temperature, permeabilized with 0.1% Triton X-100 in PBS for 5 minutes at room temperature, then blocked with 1% BSA in 10% negative goat serum for 1 hour at room temperature. Cells were then incubated with Rabbit anti-Cytokeratin 15 antibody (HA750182) at 1/100 dilution in 1% BSA in PBST overnight at 4 ℃. Goat Anti-Rabbit IgG H&L (iFluor™ 488, HA1121) was used as the secondary antibody at 1/1,000 dilution. PBS instead of the primary antibody was used as the secondary antibody only control. Nuclear DNA was labelled in blue with DAPI.

Beta tubulin (M1305-2, red) was stained at 1/100 dilution overnight at +4℃. Goat Anti-Mouse IgG H&L (iFluor™ 594, HA1126) was used as the secondary antibody at 1/1,000 dilution.
Note: All products are “FOR RESEARCH USE ONLY AND ARE NOT INTENDED FOR DIAGNOSTIC OR THERAPEUTIC USE”.