PIM1 Recombinant Rabbit Monoclonal Antibody [ST0513]
cat.: HA750183
Product Type: Recombinant Rabbit monoclonal IgG, primary antibodies
Species reactivity: Human, Mouse, Rat
Applications: WB, IF-Cell, IF-Tissue, IHC-P
Clonality: Monoclonal
Clone number: ST0513
Form: Liquid
Storage condition: Store at +4℃ after thawing. Aliquot store at -20℃ or -80℃. Avoid repeated freeze / thaw cycles.
Storage buffer: 1*PBS (pH7.4).
Concentration: 1ug/ul
Purification: Protein A affinity purified.
Molecular weight: Predicted band size: 36 kDa
Isotype: IgG
Immunogen: Synthetic peptide within human PIM1 aa 20-60.
Positive control: K-562 cell lysate, TF-1 cell lysate, 22RV1 cell lysate, K-562, BT-20, HepG2, SW480, human tonsil tissue, human colon carcinoma tissue, human spleen tissue, human breast carcinoma tissue, human breast tissue.
Subcellular location: Cytoplasm, Nucleus, Cell membrane.
Recommended Dilutions:
  WB
  IF-Cell
  IF-Tissue
  IHC-P

1:2,000
1:50-1:200
1:50-1:400
1:50-1:2,000
Uniprot #: SwissProt: P11309 Human | P06803 Mouse
Alternative names: Oncogene PIM 1 Oncogene PIM1 PIM 1 pim 1 kinase 44 kDa isoform Pim 1 kinase pim 1 oncogene (proviral integration site 1) Pim 1 oncogene PIM PIM1 pim1 kinase 44 kDa isoform PIM1_HUMAN Pim2 PIM3 Proto oncogene serine/threonine protein kinase Pim 1 Proto-oncogene serine/threonine-protein kinase Pim-1 Proviral integration site 1 Proviral integration site 2
Images
HA750183_1.jpg Fig1: Western blot analysis of PIM1 on different lysates with Rabbit anti-PIM1 antibody (HA750183) at 1/2,000 dilution.

Lane 1: K-562 cell lysate
Lane 2: TF-1 cell lysate
Lane 3: 22RV1 cell lysate

Lysates/proteins at 15 µg/Lane.

Predicted band size: 36 kDa
Observed band size: 35 kDa

Exposure time: 1 minute;

4-20% SDS-PAGE gel.

Proteins were transferred to a PVDF membrane and blocked with 5% NFDM/TBST for 1 hour at room temperature. The primary antibody (HA750183) at 1/2,000 dilution was used in 5% NFDM/TBST at 4℃ overnight. Goat Anti-Rabbit IgG - HRP Secondary Antibody (HA1001) at 1/50,000 dilution was used for 1 hour at room temperature.
HA750183_2.jpg Fig2: Western blot analysis of PIM1 on different lysates with Rabbit anti-PIM1 antibody (HA750183) at 1/1,000 dilution.

Lane 1: Mouse testis tissue lysate(40μg/lane)
Lane 2: PC-12 cell lysate (20 µg/Lane)

Predicted band size: 35 kDa
Observed band size: 35 kDa

Exposure time: 43 seconds;

4-20% SDS-PAGE gel.

Proteins were transferred to a PVDF membrane and blocked with 5% NFDM/TBST for 1 hour at room temperature. The primary antibody (HA750183) at 1/1,000 dilution was used in 5% NFDM/TBST at 4℃ overnight. Goat Anti-Rabbit IgG - HRP Secondary Antibody (HA1001) at 1/50,000 dilution was used for 1 hour at room temperature.
HA750183_3.jpg Fig3: Immunocytochemistry analysis of K-562 cells labeling PIM1 with Rabbit anti-PIM1 antibody (HA750183) at 1/100 dilution.

Cells were fixed in 4% paraformaldehyde for 20 minutes at room temperature, permeabilized with 0.1% Triton X-100 in PBS for 5 minutes at room temperature, then blocked with 1% BSA in 10% negative goat serum for 1 hour at room temperature. Cells were then incubated with Rabbit anti-PIM1 antibody (HA750183) at 1/100 dilution in 1% BSA in PBST overnight at 4 ℃. Goat Anti-Rabbit IgG H&L (iFluor™ 488, HA1121) was used as the secondary antibody at 1/1,000 dilution. PBS instead of the primary antibody was used as the secondary antibody only control. Nuclear DNA was labelled in blue with DAPI.

Beta tubulin (M1305-2, red) was stained at 1/100 dilution overnight at +4℃. Goat Anti-Mouse IgG H&L (iFluor™ 594, HA1126) was used as the secondary antibody at 1/1,000 dilution.
HA750183_4.jpg Fig4: Immunocytochemistry analysis of BT-20 cells labeling PIM1 with Rabbit anti-PIM1 antibody (HA750183) at 1/50 dilution.

Cells were fixed in 4% paraformaldehyde for 10 minutes at 37 ℃, permeabilized with 0.05% Triton X-100 in PBS for 20 minutes, and then blocked with 2% negative goat serum for 30 minutes at room temperature. Cells were then incubated with Rabbit anti-PIM1 antibody (HA750183) at 1/200 dilution in 2% negative goat serum overnight at 4 ℃. Goat Anti-Rabbit IgG H&L (iFluor™ 488, HA1121) was used as the secondary antibody at 1/1,000 dilution.Nuclear DNA was labelled in blue with DAPI.
HA750183_5.jpg Fig5: Immunocytochemistry analysis of HepG2 cells labeling PIM1 with Rabbit anti-PIM1 antibody (HA750183) at 1/50 dilution.

Cells were fixed in 4% paraformaldehyde for 10 minutes at 37 ℃, permeabilized with 0.05% Triton X-100 in PBS for 20 minutes, and then blocked with 2% negative goat serum for 30 minutes at room temperature. Cells were then incubated with Rabbit anti-PIM1 antibody (HA750183) at 1/200 dilution in 2% negative goat serum overnight at 4 ℃. Goat Anti-Rabbit IgG H&L (iFluor™ 488, HA1121) was used as the secondary antibody at 1/1,000 dilution. Nuclear DNA was labelled in blue with DAPI.
HA750183_6.jpg Fig6: Immunocytochemistry analysis of SW480 cells labeling PIM1 with Rabbit anti-PIM1 antibody (HA750183) at 1/50 dilution.

Cells were fixed in 4% paraformaldehyde for 10 minutes at 37 ℃, permeabilized with 0.05% Triton X-100 in PBS for 20 minutes, and then blocked with 2% negative goat serum for 30 minutes at room temperature. Cells were then incubated with Rabbit anti-PIM1 antibody (HA750183) at 1/200 dilution in 2% negative goat serum overnight at 4 ℃. Goat Anti-Rabbit IgG H&L (iFluor™ 488, HA1121) was used as the secondary antibody at 1/1,000 dilution. Nuclear DNA was labelled in blue with DAPI.
HA750183_7.jpg Fig7: Immunohistochemical analysis of paraffin-embedded human tonsil tissue with Rabbit anti-PIM1 antibody (HA750183) at 1/50 dilution.

The section was pre-treated using heat mediated antigen retrieval with Tris-EDTA buffer (pH 8.0-8.4) for 20 minutes. The tissues were blocked in 1% BSA for 20 minutes at room temperature, washed with ddH2O and PBS, and then probed with the primary antibody (HA750183) at 1/400 dilution for 1 hour at room temperature. The detection was performed using an HRP conjugated compact polymer system. DAB was used as the chromogen. Tissues were counterstained with hematoxylin and mounted with DPX.
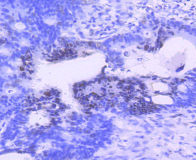
HA750183_8.jpg Fig8: Immunohistochemical analysis of paraffin-embedded human colon carcinoma tissue with Rabbit anti-PIM1 antibody (HA750183) at 1/50 dilution.

The section was pre-treated using heat mediated antigen retrieval with Tris-EDTA buffer (pH 8.0-8.4) for 20 minutes. The tissues were blocked in 1% BSA for 20 minutes at room temperature, washed with ddH2O and PBS, and then probed with the primary antibody (HA750183) at 1/400 dilution for 1 hour at room temperature. The detection was performed using an HRP conjugated compact polymer system. DAB was used as the chromogen. Tissues were counterstained with hematoxylin and mounted with DPX.
HA750183_9.jpg Fig9: Immunohistochemical analysis of paraffin-embedded human breast carcinoma with Rabbit anti-PIM1 antibody (HA750183) at 1/50 dilution.

The section was pre-treated using heat mediated antigen retrieval with Tris-EDTA buffer (pH 8.0-8.4) for 20 minutes. The tissues were blocked in 1% BSA for 20 minutes at room temperature, washed with ddH2O and PBS, and then probed with the primary antibody (HA750183) at 1/400 dilution for 1 hour at room temperature. The detection was performed using an HRP conjugated compact polymer system. DAB was used as the chromogen. Tissues were counterstained with hematoxylin and mounted with DPX.
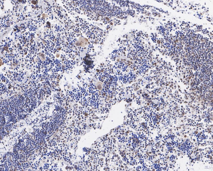
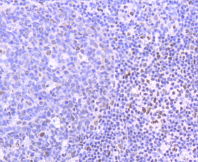
HA750183_10.jpg Fig10: Immunohistochemical analysis of paraffin-embedded human spleen tissue with Rabbit anti-PIM1 antibody (HA750183) at 1/400 dilution.

The section was pre-treated using heat mediated antigen retrieval with sodium citrate buffer (pH 6.0) (high pressure) for 2 minutes. The tissues were blocked in 1% BSA for 20 minutes at room temperature, washed with ddH2O and PBS, and then probed with the primary antibody (HA750183) at 1/400 dilution for 1 hour at room temperature. The detection was performed using an HRP conjugated compact polymer system. DAB was used as the chromogen. Tissues were counterstained with hematoxylin and mounted with DPX.
HA750183_11.jpg Fig11: Immunohistochemical analysis of paraffin-embedded human breast tissue with Rabbit anti-PIM1 antibody (HA750183) at 1/400 dilution.

The section was pre-treated using heat mediated antigen retrieval with sodium citrate buffer (pH 6.0) (high pressure) for 2 minutes. The tissues were blocked in 1% BSA for 20 minutes at room temperature, washed with ddH2O and PBS, and then probed with the primary antibody (HA750183) at 1/400 dilution for 1 hour at room temperature. The detection was performed using an HRP conjugated compact polymer system. DAB was used as the chromogen. Tissues were counterstained with hematoxylin and mounted with DPX.
HA750183_12.jpg Fig12: Immunohistochemical analysis of paraffin-embedded mouse spleen tissue with Rabbit anti-PIM1 antibody (HA750183) at 1/1,000 dilution.

The section was pre-treated using heat mediated antigen retrieval with sodium citrate buffer (pH 6.0) (high pressure) for 2 minutes. The tissues were blocked in 1% BSA for 20 minutes at room temperature, washed with ddH2O and PBS, and then probed with the primary antibody (HA750183) at 1/1,000 dilution for 1 hour at room temperature. The detection was performed using an HRP conjugated compact polymer system. DAB was used as the chromogen. Tissues were counterstained with hematoxylin and mounted with DPX.
HA750183_13.jpg Fig13: Immunohistochemical analysis of paraffin-embedded mouse colon tissue with Rabbit anti-PIM1 antibody (HA750183) at 1/1,000 dilution.

The section was pre-treated using heat mediated antigen retrieval with sodium citrate buffer (pH 6.0) (high pressure) for 2 minutes. The tissues were blocked in 1% BSA for 20 minutes at room temperature, washed with ddH2O and PBS, and then probed with the primary antibody (HA750183) at 1/1,000 dilution for 1 hour at room temperature. The detection was performed using an HRP conjugated compact polymer system. DAB was used as the chromogen. Tissues were counterstained with hematoxylin and mounted with DPX.
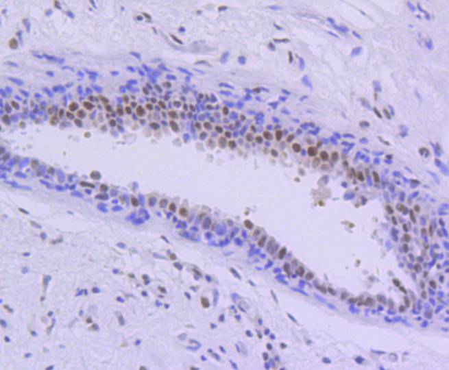
HA750183_14.jpg Fig14: Immunohistochemical analysis of paraffin-embedded rat spleen tissue with Rabbit anti-PIM1 antibody (HA750183) at 1/2,000 dilution.

The section was pre-treated using heat mediated antigen retrieval with sodium citrate buffer (pH 6.0) (high pressure) for 2 minutes. The tissues were blocked in 1% BSA for 20 minutes at room temperature, washed with ddH2O and PBS, and then probed with the primary antibody (HA750183) at 1/2,000 dilution for 1 hour at room temperature. The detection was performed using an HRP conjugated compact polymer system. DAB was used as the chromogen. Tissues were counterstained with hematoxylin and mounted with DPX.
HA750183_15.jpg Fig15: Immunohistochemical analysis of paraffin-embedded rat colon tissue with Rabbit anti-PIM1 antibody (HA750183) at 1/2,000 dilution.

The section was pre-treated using heat mediated antigen retrieval with sodium citrate buffer (pH 6.0) (high pressure) for 2 minutes. The tissues were blocked in 1% BSA for 20 minutes at room temperature, washed with ddH2O and PBS, and then probed with the primary antibody (HA750183) at 1/2,000 dilution for 1 hour at room temperature. The detection was performed using an HRP conjugated compact polymer system. DAB was used as the chromogen. Tissues were counterstained with hematoxylin and mounted with DPX.
Note: All products are “FOR RESEARCH USE ONLY AND ARE NOT INTENDED FOR DIAGNOSTIC OR THERAPEUTIC USE”.