Cytokeratin 7 Recombinant Rabbit Monoclonal Antibody [ST50-05]
cat.: HA750185
Product Type: Recombinant Rabbit monoclonal IgG, primary antibodies
Species reactivity: Human, Mouse
Applications: WB, IF-Cell, IF-Tissue, IHC-P, IP, FC
Clonality: Monoclonal
Clone number: ST50-05
Form: Liquid
Storage condition: Store at +4℃ after thawing. Aliquot store at -20℃ or -80℃. Avoid repeated freeze / thaw cycles.
Storage buffer: 1*PBS (pH7.4).
Concentration: 1ug/ul
Purification: Protein A affinity purified.
Molecular weight: Predicted band size: 51 kDa
Isotype: IgG
Immunogen: Synthetic peptide within Human Cytokeratin 7 aa 18-67.
Positive control: HeLa cell lysate, A549 cell lysate, A549, human breast tissue, human breast carcinoma tissue, SK-Br-3, human liver tissue, human gastric cancer tissue.
Subcellular location: Cytoplasm.
Recommended Dilutions:
  WB
  IF-Cell
  IF-Tissue
  IHC-P
  FC
  IP

1:5,000
1:100
1:200
1:1,000-1:2,000
1:1,000
Use at an assay dependent concentration.
Uniprot #: SwissProt: P08729 Human | Q9DCV7 Mouse
Alternative names: CK 7 CK-7 CK7 Cytokeratin 7 Cytokeratin-7 D15Wsu77e K2C7 K2C7_HUMAN K7 Keratin 7 Keratin 7, type II Keratin type II cytoskeletal 7 Keratin, 55K type II cytoskeletal Keratin, simple epithelial Keratin, simple epithelial type I, K7 Keratin, type II cytoskeletal 7 Keratin-7 Krt2-7 KRT7 MGC11625 MGC129731 MGC3625 Sarcolectin SCL Type II mesothelial keratin K7 Type-II keratin Kb7 Cytokeratin7
Images
HA750185_1.jpg Fig1: All lanes: Western blot analysis of Cytokeratin 7 with anti-Cytokeratin 7 antibody [ST50-05] (HA750185) at 1:1,000 dilution.
Lane 1/2: Wild-type Hela whole cell lysate (20 µg).
Lane 3/4: Cytokeratin 7 fragment 1 knockdown Hela whole cell lysate (20 µg).
Lane 5/6: Cytokeratin 7 fragment 2 knockdown Hela whole cell lysate (20 µg).

ET1609-62 was shown to specifically react with Cytokeratin 7 in wild-type Hela cells. Weakened bands were observed when Cytokeratin 7 knockdown samples were tested. Wild-type and Cytokeratin 7 knockdown samples were subjected to SDS-PAGE. Proteins were transferred to a PVDF membrane and blocked with 5% NFDM in TBST for 1 hour at room temperature. The primary antibody (ET1609-62, 1/1,000) and Loading control antibody (Rabbit anti-GAPDH , ET1601-4, 1/10,000) were used in 5% BSA at room temperature for 2 hours. Goat Anti-Rabbit IgG-HRP Secondary Antibody (HA1001) at 1:200,000 dilution was used for 1 hour at room temperature.
HA750185_2.jpg Fig2: Western blot analysis of Cytokeratin 7 on different lysates with Rabbit anti-Cytokeratin 7 antibody (HA750185) at 1/5,000 dilution.

Lane 1: HeLa cell lysate
Lane 2: A549 cell lysate
Lane 3: MCF7 cell lysate (negative)

Lysates/proteins at 15 µg/Lane.

Predicted band size: 51 kDa
Observed band size: 55 kDa

Exposure time: 20 seconds;

4-20% SDS-PAGE gel.

Proteins were transferred to a PVDF membrane and blocked with 5% NFDM/TBST for 1 hour at room temperature. The primary antibody (HA750185) at 1/5,000 dilution was used in 5% NFDM/TBST at 4℃ overnight. Goat Anti-Rabbit IgG - HRP Secondary Antibody (HA1001) at 1/50,000 dilution was used for 1 hour at room temperature.
HA750185_3.jpg Fig3: Immunocytochemistry analysis of A549 cells labeling Cytokeratin 7 with Rabbit anti-Cytokeratin 7 antibody (HA750185) at 1/100 dilution.

Cells were fixed in 4% paraformaldehyde for 20 minutes at room temperature, permeabilized with 0.1% Triton X-100 in PBS for 5 minutes at room temperature, then blocked with 1% BSA in 10% negative goat serum for 1 hour at room temperature. Cells were then incubated with Rabbit anti-Cytokeratin 7 antibody (HA750185) at 1/100 dilution in 1% BSA in PBST overnight at 4 ℃. Goat Anti-Rabbit IgG H&L (iFluor™ 488, HA1121) was used as the secondary antibody at 1/1,000 dilution. PBS instead of the primary antibody was used as the secondary antibody only control. Nuclear DNA was labelled in blue with DAPI.

Beta tubulin (M1305-2, red) was stained at 1/100 dilution overnight at +4℃. Goat Anti-Mouse IgG H&L (iFluor™ 594, HA1126) was used as the secondary antibody at 1/1,000 dilution.
HA750185_4.jpg Fig4: Immunohistochemical analysis of paraffin-embedded human breast tissue with Rabbit anti-Cytokeratin 7 antibody (HA750185) at 1/1,500 dilution.

The section was pre-treated using heat mediated antigen retrieval with Tris-EDTA buffer (pH 9.0) for 20 minutes. The tissues were blocked in 1% BSA for 20 minutes at room temperature, washed with ddH2O and PBS, and then probed with the primary antibody (HA750185) at 1/1,500 dilution for 1 hour at room temperature. The detection was performed using an HRP conjugated compact polymer system. DAB was used as the chromogen. Tissues were counterstained with hematoxylin and mounted with DPX.
HA750185_5.jpg Fig5: Immunohistochemical analysis of paraffin-embedded human breast tissue with Rabbit anti-Cytokeratin 7 antibody (HA750185) at 1/1,500 dilution.

The section was not undergone antigen retrieval. The tissues were blocked in 1% BSA for 20 minutes at room temperature, washed with ddH2O and PBS, and then probed with the primary antibody (HA750185) at 1/1,500 dilution for 1 hour at room temperature. The detection was performed using an HRP conjugated compact polymer system. DAB was used as the chromogen. Tissues were counterstained with hematoxylin and mounted with DPX.
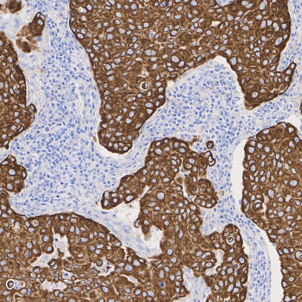
HA750185_6.jpg Fig6: Immunohistochemical analysis of paraffin-embedded human breast carcinoma tissue with Rabbit anti-Cytokeratin 7 antibody (HA750185) at 1/400 dilution.

The section was not undergone antigen retrieval. The tissues were blocked in 1% BSA for 20 minutes at room temperature, washed with ddH2O and PBS, and then probed with the primary antibody (HA750185) at 1/400 dilution for 1 hour at room temperature. The detection was performed using an HRP conjugated compact polymer system. DAB was used as the chromogen. Tissues were counterstained with hematoxylin and mounted with DPX.
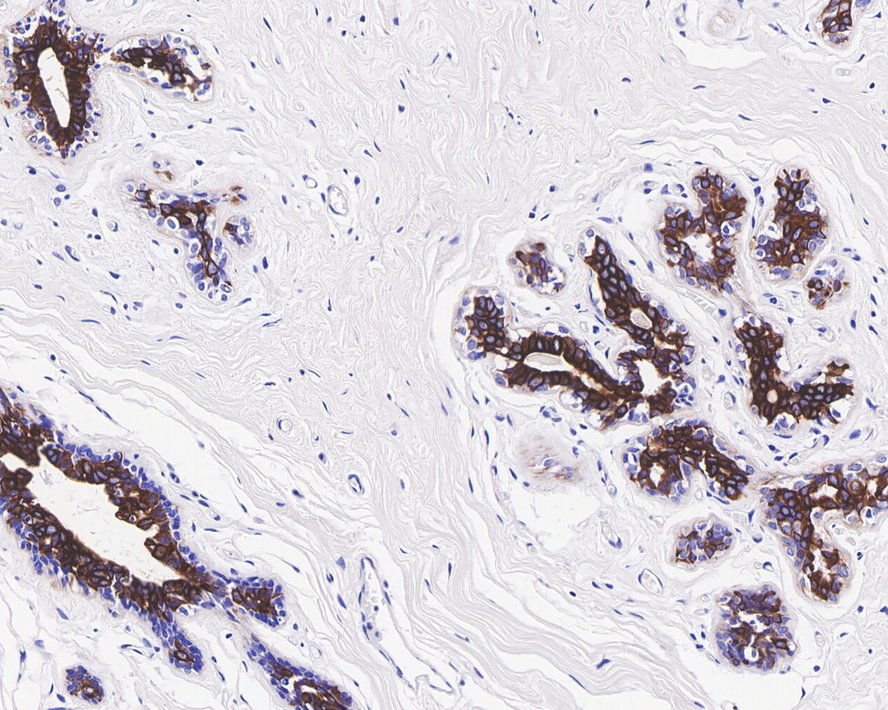
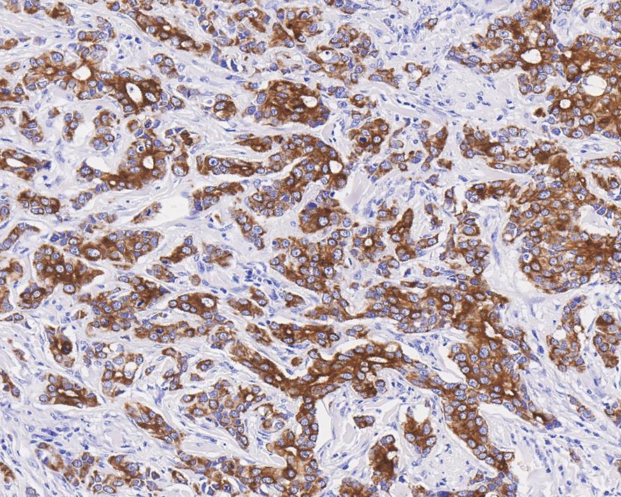
HA750185_7.jpg Fig7: Immunohistochemical analysis of paraffin-embedded human breast carcinoma tissue with Rabbit anti-Cytokeratin 7 antibody (HA750185) at 1/1,500 dilution.

The section was pre-treated using heat mediated antigen retrieval with Tris-EDTA buffer (pH 9.0) for 20 minutes. The tissues were blocked in 1% BSA for 20 minutes at room temperature, washed with ddH2O and PBS, and then probed with the primary antibody (HA750185) at 1/1,500 dilution for 1 hour at room temperature. The detection was performed using an HRP conjugated compact polymer system. DAB was used as the chromogen. Tissues were counterstained with hematoxylin and mounted with DPX.
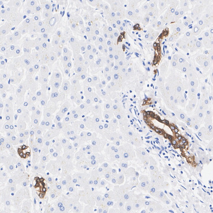
HA750185_8.jpg Fig8: Immunohistochemical analysis of paraffin-embedded human liver tissue with Rabbit anti-Cytokeratin 7 antibody (HA750185) at 1/2,000 dilution.

The section was pre-treated using heat mediated antigen retrieval with Tris-EDTA buffer (pH 9.0) for 20 minutes. The tissues were blocked in 1% BSA for 20 minutes at room temperature, washed with ddH2O and PBS, and then probed with the primary antibody (HA750185) at 1/2,000 dilution for 1 hour at room temperature. The detection was performed using an HRP conjugated compact polymer system. DAB was used as the chromogen. Tissues were counterstained with hematoxylin and mounted with DPX.
HA750185_9.jpg Fig9: Immunocytochemistry analysis of SK-Br-3 cells labeling Cytokeratin 7.
Cells were fixed in 4% paraformaldehyde and permeabilized with 0.1% Triton X-100 in PBS for 10 minutes and blocked with 1% BSA for 15 minutes at room temperature. Cells were probed with the primary antibodies Cytokeratin 7 (HA750185, red) at 1/100 dilution for overnight at 4 ℃. Goat anti rabbit IgG (iFluorTM 594) (HA1122) was used as the secondary antibody at 1/1,000 dilution dilution. DAPI was used as nuclear counterstain.
HA750185_10.jpg Fig10: Immunofluorescence analysis of paraffin-embedded human breast tissue labeling Cytokeratin 7 (HA750185).

The section was pre-treated using heat mediated antigen retrieval with Tris-EDTA buffer (pH 9.0) for 20 minutes. The tissues were blocked in 10% negative goat serum for 1 hour at room temperature, washed with PBS. And then probed with the primary antibodies Cytokeratin 7 (ET1609-62, red) at 1/400 dilution at +4℃ overnight, washed with PBS.

Goat Anti-Rabbit IgG H&L (iFluor™ 594, HA1122) was used as the secondary antibodies at 1/1,000 dilution. Nuclei were counterstained with DAPI (blue).
HA750185_11.jpg Fig11: Immunofluorescence analysis of paraffin-embedded human liver tissue labeling Cytokeratin 7 (HA750185).

The section was pre-treated using heat mediated antigen retrieval with Tris-EDTA buffer (pH 9.0) for 20 minutes. The tissues were blocked in 10% negative goat serum for 1 hour at room temperature, washed with PBS. And then probed with the primary antibodies Cytokeratin 7 (ET1609-62, red) at 1/400 dilution at +4℃ overnight, washed with PBS.

Goat Anti-Rabbit IgG H&L (iFluor™ 594, HA1122) was used as the secondary antibodies at 1/1,000 dilution. Nuclei were counterstained with DAPI (blue).
HA750185_12.jpg Fig12: Flow cytometric analysis of A549 cells labeling Cytokeratin 7.

Cells were fixed and permeabilized. Then stained with the primary antibody (HA750185, 1μg/mL) (red) compared with Rabbit IgG Isotype Control (green). After incubation of the primary antibody at +4℃ for an hour, the cells were stained with a iFluor™ 488 conjugate-Goat anti-Rabbit IgG Secondary antibody (HA1121) at 1/1,000 dilution for 30 minutes at +4℃. Unlabelled sample was used as a control (cells without incubation with primary antibody; black).
HA750185_13.jpg Fig13: Application: IF-Tissue

Species: Human

Site: breast carcinoma

Sample: Paraffin-embedded section

Antibody concentration: 1/200
Note: All products are “FOR RESEARCH USE ONLY AND ARE NOT INTENDED FOR DIAGNOSTIC OR THERAPEUTIC USE”.