Phospho-c-Myc (S62) Recombinant Rabbit Monoclonal Antibody [ST49-08]
cat.: HA750186
Product Type: Recombinant Rabbit monoclonal IgG, primary antibodies
Species reactivity: Human, Mouse, Rat
Applications: WB, IF-Cell, IF-Tissue, IHC-P, IP
Clonality: Monoclonal
Clone number: ST49-08
Form: Liquid
Storage condition: Store at +4℃ after thawing. Aliquot store at -20℃ or -80℃. Avoid repeated freeze / thaw cycles.
Storage buffer: 1*PBS (pH7.4).
Concentration: 1ug/ul
Purification: Protein A affinity purified.
Molecular weight: Predicted band size: 50 kDa
Isotype: IgG
Immunogen: Synthetic phospho-peptide corresponding to residues surrounding Ser62 of Human c-Myc aa 46-87 / 439.
Positive control: HepG2 cell lysates, HeLa cell lysates, NIH/3T3 cell lysate, C6 cell lysate, HeLa, rat testis tissue.
Subcellular location: Nucleoplasm, nucleolus.
Recommended Dilutions:
  WB
  IHC-P
  IF-Cell
  IF-Tissue
  IP

1:500-1:2,000
1:50-1:200
1:50-1:200
1:50-1:200
Use at an assay dependent concentration.
Uniprot #: SwissProt: P01106 Human | P01108 Mouse | P09416 Rat
Alternative names: AU016757 Avian myelocytomatosis viral oncogene homolog bHLHe39 c Myc Class E basic helix-loop-helix protein 39 MRTL Myc Myc protein Myc proto oncogene protein Myc proto-oncogene protein myc-related translation/localization regulatory factor MYC_HUMAN Myc2 MYCC Myelocytomatosis oncogene Niard Nird Oncogene Myc OTTHUMP00000158589 Proto-oncogene c-Myc Protooncogene homologous to myelocytomatosis virus RNCMYC Transcription factor p64 Transcriptional regulator Myc-A V-Myc avian myelocytomatosis viral oncogene homolog v-myc myelocytomatosis viral oncogene homolog (avian)
Images
HA750186_1.jpg Fig1: Western blot analysis of Phospho-c-Myc(S62) on HepG2 cell lysates.

Lane 1: HepG2 cells, whole cell lysate, 10ug/lane
Lane 2: HepG2 cells treated with 2.8ug/ul lambda-PP for 30 minutes, whole cell lysates, 10ug/lane

All lanes :
Anti-Phospho-c-Myc(S62) antibody (HA750186) at 1:500 dilution. Anti-GAPDH antibody (ET1601-4) at 1:10,000 dilution. Goat Anti-Rabbit IgG H&L (HRP) (HA1001) at 1/200,000 dilution.

Predicted band size: 50 kDa
Observed band size: 57 kDa

Blocking and diluting buffer: 5% BSA.

Exposure time: 3 minutes
HA750186_2.jpg Fig2: Western blot analysis of Phospho-c-Myc(S62) on HeLa cell lysates.

Lane 1: HeLa cells, whole cell lysate, 10ug/lane
Lane 2/3: HeLa cells treated with 200 nM PMA for 10 minutes, whole cell lysates, 10ug/lane
Lane 4: HeLa cells treated with 200 nM PMA for 10 minutes, then treated with 2.8ug/ul lambda-PP for 30 minutes, whole cell lysates, 10ug/lane

All lanes :
Anti-Phospho-c-Myc(S62) antibody (HA750186
) at 1:500 dilution. Anti-GAPDH antibody (ET1601-4) at 1:10,000 dilution. Goat Anti-Rabbit IgG H&L (HRP) (HA1001) at 1/200,000 dilution.

Predicted band size: 50 kDa
Observed band size: 57/60 kDa

Blocking and diluting buffer: 5% BSA.

Exposure time: 3 minutes
HA750186_3.jpg Fig3: Western blot analysis of Phospho-c-Myc (S62) on different lysates with Rabbit anti-Phospho-c-Myc (S62) antibody (HA750186) at 1/1,000 dilution.

Lane 1: NIH/3T3 cell lysate
Lane 2: C6 cell lysate

Lysates/proteins at 20 µg/Lane.

Predicted band size: 50 kDa
Observed band size: 57 kDa

Exposure time: 3 minutes; ECL: K1801;

4-20% SDS-PAGE gel.

Proteins were transferred to a PVDF membrane and blocked with 5% NFDM/TBST for 1 hour at room temperature. The primary antibody (HA750186) at 1/1,000 dilution was used in 5% NFDM/TBST at 4℃ overnight. Goat Anti-Rabbit IgG - HRP Secondary Antibody (HA1001) at 1/50,000 dilution was used for 1 hour at room temperature.
HA750186_4.jpg Fig4: Immunocytochemistry analysis of HeLa cells treated with or without λpp labeling Phospho-c-Myc (S62) with Rabbit anti-Phospho-c-Myc (S62) antibody (HA750186) at 1/100 dilution.

Cells were fixed in 4% paraformaldehyde for 15 minutes at room temperature, permeabilized with 0.1% Triton X-100 in PBS for 15 minutes at room temperature, then blocked with 1% BSA in 10% negative goat serum for 1 hour at room temperature. Cells were then incubated with Rabbit anti-Phospho-c-Myc (S62) antibody (HA750186) at 1/100 dilution in 1% BSA in PBST overnight at 4 ℃. Goat Anti-Rabbit IgG H&L (iFluor™ 488, HA1121) was used as the secondary antibody at 1/1,000 dilution. PBS instead of the primary antibody was used as the secondary antibody only control. Nuclear DNA was labelled in blue with DAPI.

Beta tubulin (HA601187, red) was stained at 1/100 dilution overnight at +4℃. Goat Anti-Mouse IgG H&L (iFluor™ 594, HA1126) was used as the secondary antibody at 1/1,000 dilution.
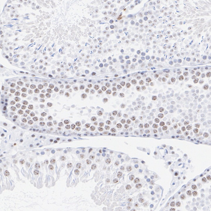
HA750186_5.jpg Fig5: Immunohistochemical analysis of paraffin-embedded rat testis tissue with Rabbit anti-Phospho-c-Myc (S62) antibody (HA750186) at 1/200 dilution.

The section was pre-treated using heat mediated antigen retrieval with sodium citrate buffer (pH 6.0) (high pressure) for 2 minutes. The tissues were blocked in 1% BSA for 20 minutes at room temperature, washed with ddH2O and PBS, and then probed with the primary antibody (HA750186) at 1/200 dilution for 1 hour at room temperature. The detection was performed using an HRP conjugated compact polymer system. DAB was used as the chromogen. Tissues were counterstained with hematoxylin and mounted with DPX.
Note: All products are “FOR RESEARCH USE ONLY AND ARE NOT INTENDED FOR DIAGNOSTIC OR THERAPEUTIC USE”.