HIF-1 beta Recombinant Rabbit Monoclonal Antibody [ST05-25]
cat.: HA750187
Product Type: Recombinant Rabbit monoclonal IgG, primary antibodies
Species reactivity: Human, Mouse, Rat
Applications: WB, IHC-P
Clonality: Monoclonal
Clone number: ST05-25
Form: Liquid
Storage condition: Store at +4℃ after thawing. Aliquot store at -20℃ or -80℃. Avoid repeated freeze / thaw cycles.
Storage buffer: 1*PBS (pH7.4).
Concentration: 1ug/ul
Purification: Protein A affinity purified.
Molecular weight: Predicted band size: 87 kDa
Isotype: IgG
Immunogen: Recombinant protein within Human HIF-1 beta aa 479-789 / 789.
Positive control: A549 cell lysate, Jurkat cell lysate, mouse testis tissue lysate, rat testis tissue lysate, human liver tissue, human fallopian tube tissue, human placenta tissue, human uterus tissue.
Subcellular location: Nucleus.
Recommended Dilutions:
  WB
  IHC-P

1:2,000-1:5,000
1:50-1:200
Uniprot #: SwissProt: P27540 Human | P53762 Mouse | P41739 Rat
Alternative names: arnT ARNT protein ARNT_HUMAN Aryl hydrocarbon receptor nuclear translocator bHLHe2 Class E basic helix-loop-helix protein 2 Dioxin receptor Dioxin receptor nuclear translocator Drnt HIF 1 beta HIF 1beta HIF-1-beta HIF1-beta HIF1B HIF1beta Hypoxia Inducible Factor 1 Hypoxia inducible factor 1 beta Hypoxia-inducible factor 1-beta nuclear translocator Tango
Images
HA750187_1.jpg Fig1: Western blot analysis of HIF-1 beta on different lysates with Rabbit anti-HIF-1 beta antibody (HA750187) at 1/5,000 dilution.

Lane 1: A549-si NT cell lysate
Lane 2: A549-si HIF-1 beta cell lysate

Lysates/proteins at 10 µg/Lane.

Predicted band size: 87 kDa
Observed band size: 72/87 kDa

Exposure time: 1 minute 20 seconds; ECL: K1802;

4-20% SDS-PAGE gel.

Proteins were transferred to a PVDF membrane and blocked with 5% NFDM/TBST for 1 hour at room temperature. The primary antibody (HA750187) at 1/5,000 dilution was used in 5% NFDM/TBST at 4℃ overnight. Goat Anti-Rabbit IgG - HRP Secondary Antibody (HA1001) at 1/50,000 dilution was used for 1 hour at room temperature.
HA750187_2.jpg Fig2: Western blot analysis of HIF-1 beta on different lysates with Rabbit anti-HIF-1 beta antibody (HA750187) at 1/2,000 dilution.

Lane 1: Jurkat cell lysate (10 µg/Lane)
Lane 2: Mouse testis tissue lysate (20 µg/Lane)
Lane 3: Rat testis tissue lysate (20 µg/Lane)

Predicted band size: 87 kDa
Observed band size: 72/87 kDa

Exposure time: 1 minute; ECL: K1801;

4-20% SDS-PAGE gel.

Proteins were transferred to a PVDF membrane and blocked with 5% NFDM/TBST for 1 hour at room temperature. The primary antibody (HA750187) at 1/2,000 dilution was used in 5% NFDM/TBST at 4℃ overnight. Goat Anti-Rabbit IgG - HRP Secondary Antibody (HA1001) at 1/50,000 dilution was used for 1 hour at room temperature.
HA750187_3.jpg Fig3: Immunohistochemical analysis of paraffin-embedded human liver tissue using anti-HIF-1 beta antibody. The section was pre-treated using heat mediated antigen retrieval with Tris-EDTA buffer (pH 8.0-8.4) for 20 minutes.The tissues were blocked in 5% BSA for 30 minutes at room temperature, washed with ddH2O and PBS, and then probed with the primary antibody (HA750187, 1/50) for 30 minutes at room temperature. The detection was performed using an HRP conjugated compact polymer system. DAB was used as the chromogen. Tissues were counterstained with hematoxylin and mounted with DPX.
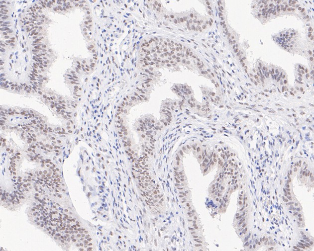
HA750187_4.jpg Fig4: Immunohistochemical analysis of paraffin-embedded human fallopian tube tissue using anti-HIF-1 beta antibody. The section was pre-treated using heat mediated antigen retrieval with sodium citrate buffer (pH 6.0) (high pressure) for 2 minutes. The tissues were blocked in 5% BSA for 30 minutes at room temperature, washed with ddH2O and PBS, and then probed with the primary antibody (HA750187, 1/50) for 30 minutes at room temperature. The detection was performed using an HRP conjugated compact polymer system. DAB was used as the chromogen. Tissues were counterstained with hematoxylin and mounted with DPX.
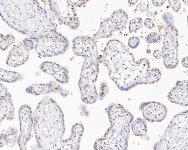
HA750187_5.jpg Fig5: Immunohistochemical analysis of paraffin-embedded human placenta tissue using anti-HIF-1 beta antibody. The section was pre-treated using heat mediated antigen retrieval with sodium citrate buffer (pH 6.0) (high pressure) for 2 minutes. The tissues were blocked in 5% BSA for 30 minutes at room temperature, washed with ddH2O and PBS, and then probed with the primary antibody (HA750187, 1/50) for 30 minutes at room temperature. The detection was performed using an HRP conjugated compact polymer system. DAB was used as the chromogen. Tissues were counterstained with hematoxylin and mounted with DPX.
HA750187_6.jpg Fig6: Immunohistochemical analysis of paraffin-embedded human uterus tissue using anti-HIF-1 beta antibody. The section was pre-treated using heat mediated antigen retrieval with sodium citrate buffer (pH 6.0) (high pressure) for 2 minutes. The tissues were blocked in 5% BSA for 30 minutes at room temperature, washed with ddH2O and PBS, and then probed with the primary antibody (HA750187, 1/200) for 30 minutes at room temperature. The detection was performed using an HRP conjugated compact polymer system. DAB was used as the chromogen. Tissues were counterstained with hematoxylin and mounted with DPX.
Note: All products are “FOR RESEARCH USE ONLY AND ARE NOT INTENDED FOR DIAGNOSTIC OR THERAPEUTIC USE”.