COL1A1 Recombinant Rabbit Monoclonal Antibody [ST58-04]
cat.: HA750188
Product Type: Recombinant Rabbit monoclonal IgG, primary antibodies
Species reactivity: Human, Cow
Applications: WB, IHC-P
Clonality: Monoclonal
Clone number: ST58-04
Form: Liquid
Storage condition: Store at +4℃ after thawing. Aliquot store at -20℃ or -80℃. Avoid repeated freeze / thaw cycles.
Storage buffer: 1*PBS (pH7.4).
Concentration: 1ug/ul
Purification: Protein A affinity purified.
Molecular weight: Predicted band size: 139 kDa
Isotype: IgG
Immunogen: Synthetic peptide within Human COL1A1 aa 1191-1238 / 1464.
Positive control: Human placenta tissue lysates, human skin tissue lysates, human kidney tissue, human colon carcinoma tissue.
Subcellular location: Secreted.
Recommended Dilutions:
  WB
  IHC-P

1:1,000-1:2,000
1:1,000
Uniprot #: SwissProt: P02452 Human
Entrez Gene: 282187 Cow
Alternative names: Alpha 1 type I collagen alpha1(I) procollagen CO1A1_HUMAN COL1A1 collagen alpha 1 chain type I Collagen alpha-1(I) chain collagen alpha-1(I) chain preproprotein Collagen I alpha 1 polypeptide collagen of skin, tendon and bone, alpha-1 chain Collagen type I alpha 1 EDSC OI1 OI2 OI3 OI4 pro-alpha-1 collagen type 1 type I proalpha 1 type I procollagen alpha 1 chain Type I procollagen
Images
HA750188_1.jpg Fig1: Western blot analysis of COL1A1 on human placenta tissue lysates. Proteins were transferred to a PVDF membrane and blocked with 5% BSA in PBS for 1 hour at room temperature. The primary antibody (HA750188, 1/500) was used in 5% BSA at room temperature for 2 hours. Goat Anti-Rabbit IgG - HRP Secondary Antibody (HA1001) at 1:5,000 dilution was used for 1 hour at room temperature.
HA750188_2.jpg Fig2: Western blot analysis of COL1A1 on human skin tissue lysates. Proteins were transferred to a PVDF membrane and blocked with 5% BSA in PBS for 1 hour at room temperature. The primary antibody (HA750188, 1/500) was used in 5% BSA at room temperature for 2 hours. Goat Anti-Rabbit IgG - HRP Secondary Antibody (HA1001) at 1:200,000 dilution was used for 1 hour at room temperature.
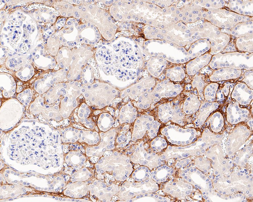
HA750188_3.jpg Fig3: Immunohistochemical analysis of paraffin-embedded human kidney tissue with Rabbit anti-COL1A1 antibody (HA750188) at 1/1,000 dilution.

The section was pre-treated using heat mediated antigen retrieval with sodium citrate buffer (pH 6.0) (high pressure) for 2 minutes. The tissues were blocked in 1% BSA for 20 minutes at room temperature, washed with ddH2O and PBS, and then probed with the primary antibody (HA750188) at 1/1,000 dilution for 1 hour at room temperature. The detection was performed using an HRP conjugated compact polymer system. DAB was used as the chromogen. Tissues were counterstained with hematoxylin and mounted with DPX.
HA750188_4.jpg Fig4: Immunohistochemical analysis of paraffin-embedded human colon carcinoma tissue with Rabbit anti-COL1A1 antibody (HA750188) at 1/1,000 dilution.

The section was pre-treated using heat mediated antigen retrieval with sodium citrate buffer (pH 6.0) (high pressure) for 2 minutes. The tissues were blocked in 1% BSA for 20 minutes at room temperature, washed with ddH2O and PBS, and then probed with the primary antibody (HA750188) at 1/1,000 dilution for 1 hour at room temperature. The detection was performed using an HRP conjugated compact polymer system. DAB was used as the chromogen. Tissues were counterstained with hematoxylin and mounted with DPX.
Note: All products are “FOR RESEARCH USE ONLY AND ARE NOT INTENDED FOR DIAGNOSTIC OR THERAPEUTIC USE”.