Neuropilin 1 Recombinant Rabbit Monoclonal Antibody [ST05-30]
cat.: HA750189
Product Type: Recombinant Rabbit monoclonal IgG, primary antibodies
Species reactivity: Human, Mouse, Rat
Applications: WB, IF-Cell, IF-Tissue, IHC-P, IP
Clonality: Monoclonal
Clone number: ST05-30
Form: Liquid
Storage condition: Store at +4℃ after thawing. Aliquot store at -20℃ or -80℃. Avoid repeated freeze / thaw cycles.
Storage buffer: 1*PBS (pH7.4).
Concentration: 1ug/ul
Purification: Protein A affinity purified.
Molecular weight: Predicted band size: 103 kDa
Isotype: IgG
Immunogen: Synthetic peptide within Human Neuropilin-1 aa 881-923 / 923.
Positive control: U-87 MG cell lysate, A549 cell lysate, MDA-MB-231 cell lysate, mouse brain tissue lysate, rat brain tissue lysate, human liver tissue, mouse heart tissue lysate, rat heart tissue lysate, SHG-44, MCF-7, HUVEC, human kidney tissue, mouse kidney tissue.
Subcellular location: Cell membrane, Secreted.
Recommended Dilutions:
  WB
  IF-Cell
  IF-Tissue
  IHC-P
  IP

1:2,000-1:5,000
1:50-1:200
1:50-1:200
1:50-1:200
Use at an assay dependent concentration.
Uniprot #: SwissProt: O14786 Human | P97333 Mouse | Q9QWJ9 Rat
Alternative names: A5 protein BDCA4 BLOOD DENDRITIC CELL ANTIGEN 4 CD304 Neuropilin-1 Neuropilin1 NP1 NPN1 NRP 1 NRP NRP1 NRP1_HUMAN transmembrane receptor Vascular endothelial cell growth factor 165 receptor VEGF165R
Images
HA750189_1.jpg Fig1: Western blot analysis of Neuropilin 1 on different lysates with Rabbit anti-Neuropilin 1 antibody (HA750189) at 1/2,000 dilution and competitor's antibody at 1/2,000 dilution.

Lane 1: U-87 MG cell lysate
Lane 2: A549 cell lysate
Lane 3: SK-Br-3 cell lysate (low expression)
Lane 4: MDA-MB-231 cell lysate
Lane 5: Mouse brain tissue lysate
Lane 6: Rat brain tissue lysate

Lysates/proteins at 20 µg/Lane.

Predicted band size: 103 kDa
Observed band size: 130 kDa

Exposure time: 35 seconds; ECL: K1802;

4-20% SDS-PAGE gel.

Proteins were transferred to a PVDF membrane and blocked with 5% NFDM/TBST for 1 hour at room temperature. The primary antibody (HA750189) at 1/2,000 dilution and competitor's antibody at 1/2,000 dilution were used in 5% BSA at 4℃ overnight. Goat Anti-Rabbit IgG - HRP Secondary Antibody (HA1001) at 1/50,000 dilution was used for 1 hour at room temperature.
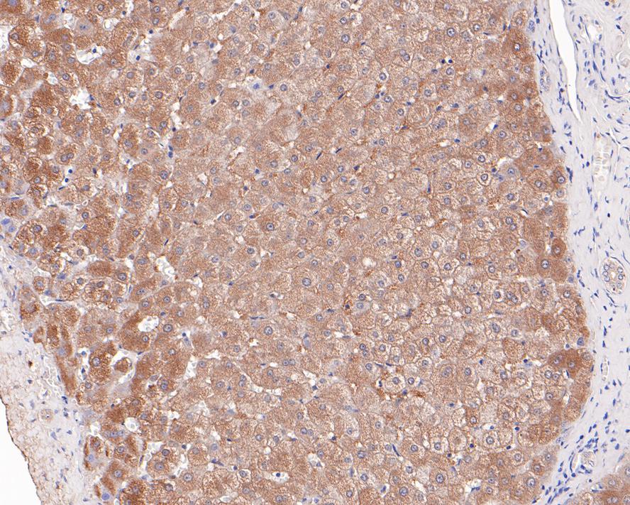
HA750189_2.jpg Fig2: Immunohistochemical analysis of paraffin-embedded human liver tissue with Rabbit anti-Neuropilin 1 antibody (HA750189) at 1/200 dilution.

The section was pre-treated using heat mediated antigen retrieval with Tris-EDTA buffer (pH 9.0) for 20 minutes. The tissues were blocked in 1% BSA for 20 minutes at room temperature, washed with ddH2O and PBS, and then probed with the primary antibody (HA750189) at 1/200 dilution for 1 hour at room temperature. The detection was performed using an HRP conjugated compact polymer system. DAB was used as the chromogen. Tissues were counterstained with hematoxylin and mounted with DPX.
HA750189_3.jpg Fig3: Western blot analysis of Neuropilin 1 on different lysates with Rabbit anti-Neuropilin 1 antibody (HA750189) at 1/5,000 dilution.

Lane 1: A549 cell lysate
Lane 2: MDA-MB-231 cell lysate
Lane 3: SK-Br-3 cell lysate (low expression)
Lane 4: Mouse brain tissue lysate
Lane 5: Mouse heart tissue lysate
Lane 6: Rat brain tissue lysate
Lane 7: Rat heart tissue lysate

Lysates/proteins at 20 µg/Lane.

Predicted band size: 103 kDa
Observed band size: 130 kDa

Exposure time: Lane 1-3: 1 minute 21 seconds; Lane 4-7: 43 seconds;

4-20% SDS-PAGE gel.

Proteins were transferred to a PVDF membrane and blocked with 5% NFDM/TBST for 1 hour at room temperature. The primary antibody (HA750189) at 1/5,000 dilution was used in 5% NFDM/TBST at room temperature for 2 hours. Goat Anti-Rabbit IgG - HRP Secondary Antibody (HA1001) at 1:100,000 dilution was used for 1 hour at room temperature.
HA750189_4.jpg Fig4: ICC staining of Neuropilin 1 in SHG-44 cells (green). Formalin fixed cells were permeabilized with 0.1% Triton X-100 in TBS for 10 minutes at room temperature and blocked with 1% Blocker BSA for 15 minutes at room temperature. Cells were probed with the primary antibody (HA750189, 1/50) for 1 hour at room temperature, washed with PBS. Alexa Fluor®488 Goat anti-Rabbit IgG was used as the secondary antibody at 1/1,000 dilution. The nuclear counter stain is DAPI (blue).
HA750189_5.jpg Fig5: ICC staining of Neuropilin 1 in MCF-7 cells (green). Formalin fixed cells were permeabilized with 0.1% Triton X-100 in TBS for 10 minutes at room temperature and blocked with 1% Blocker BSA for 15 minutes at room temperature. Cells were probed with the primary antibody (HA750189, 1/50) for 1 hour at room temperature, washed with PBS. Alexa Fluor®488 Goat anti-Rabbit IgG was used as the secondary antibody at 1/1,000 dilution. The nuclear counter stain is DAPI (blue).
HA750189_6.jpg Fig6: ICC staining of Neuropilin 1 in HUVEC cells (green). Formalin fixed cells were permeabilized with 0.1% Triton X-100 in TBS for 10 minutes at room temperature and blocked with 1% Blocker BSA for 15 minutes at room temperature. Cells were probed with the primary antibody (HA750189, 1/50) for 1 hour at room temperature, washed with PBS. Alexa Fluor®488 Goat anti-Rabbit IgG was used as the secondary antibody at 1/1,000 dilution. The nuclear counter stain is DAPI (blue).
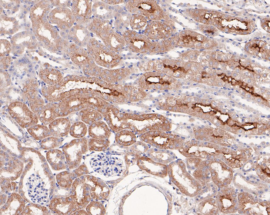
HA750189_7.jpg Fig7: Immunohistochemical analysis of paraffin-embedded human kidney tissue with Rabbit anti-Neuropilin 1 antibody (HA750189) at 1/50 dilution.

The section was pre-treated using heat mediated antigen retrieval with Tris-EDTA buffer (pH 9.0) for 20 minutes. The tissues were blocked in 1% BSA for 20 minutes at room temperature, washed with ddH2O and PBS, and then probed with the primary antibody (HA750189) at 1/50 dilution for 1 hour at room temperature. The detection was performed using an HRP conjugated compact polymer system. DAB was used as the chromogen. Tissues were counterstained with hematoxylin and mounted with DPX.
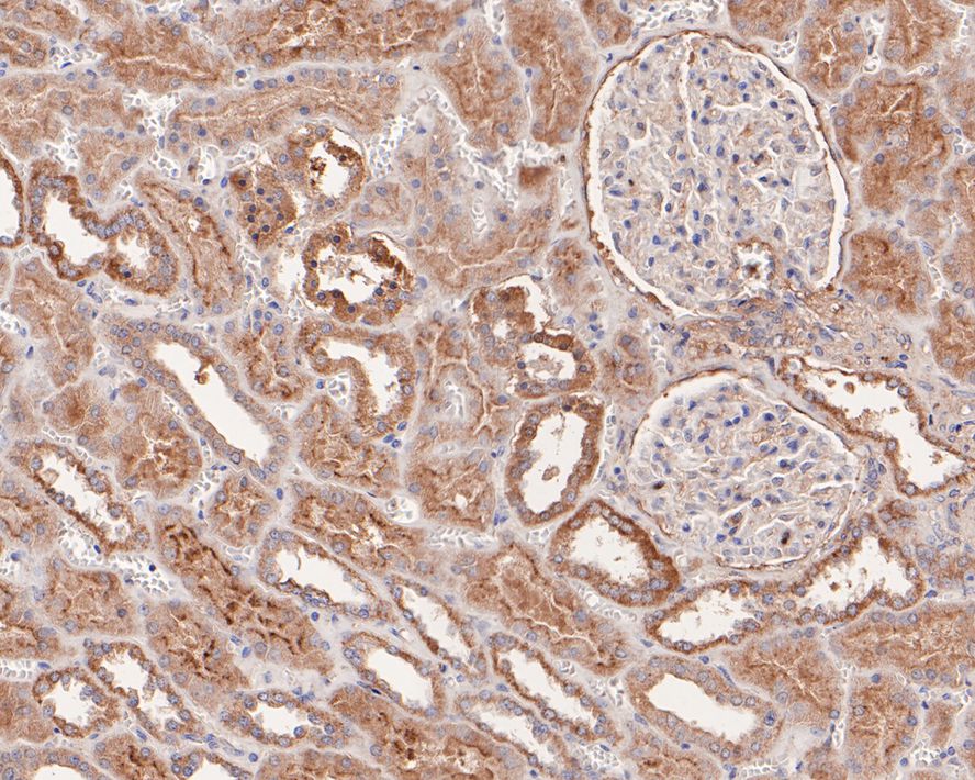
HA750189_8.jpg Fig8: Immunohistochemical analysis of paraffin-embedded mouse kidney tissue with Rabbit anti-Neuropilin 1 antibody (HA750189) at 1/200 dilution.

The section was pre-treated using heat mediated antigen retrieval with Tris-EDTA buffer (pH 9.0) for 20 minutes. The tissues were blocked in 1% BSA for 20 minutes at room temperature, washed with ddH2O and PBS, and then probed with the primary antibody (HA750189) at 1/200 dilution for 1 hour at room temperature. The detection was performed using an HRP conjugated compact polymer system. DAB was used as the chromogen. Tissues were counterstained with hematoxylin and mounted with DPX.
HA750189_9.jpg Fig9: Western blot analysis of Neuropilin 1 on different lysates with Rabbit anti-Neuropilin 1 antibody (HA750189) at 1/5,000 dilution.

Lane 1: MDA-MB-231-si NT cell lysate
Lane 2: MDA-MB-231-si Neuropilin 1 cell lysate

Lysates/proteins at 10 µg/Lane.

Predicted band size: 103 kDa
Observed band size: 130 kDa

Exposure time: 1 minute 2 seconds;

4-20% SDS-PAGE gel.

Proteins were transferred to a PVDF membrane and blocked with 5% NFDM/TBST for 1 hour at room temperature. The primary antibody (HA750189) at 1/5,000 dilution was used in 5% NFDM/TBST at 4℃ overnight. Goat Anti-Rabbit IgG - HRP Secondary Antibody (HA1001) at 1/50,000 dilution was used for 1 hour at room temperature.
Note: All products are “FOR RESEARCH USE ONLY AND ARE NOT INTENDED FOR DIAGNOSTIC OR THERAPEUTIC USE”.