Pan-Cadherin Recombinant Rabbit Monoclonal Antibody [ST54-01]
cat.: HA750190
Product Type: Recombinant Rabbit monoclonal IgG, primary antibodies
Species reactivity: Human, Mouse, Rat
Applications: WB, IF-Cell, IF-Tissue, IHC-P, IP, IHC-Fr
Clonality: Monoclonal
Clone number: ST54-01
Form: Liquid
Storage condition: Store at +4℃ after thawing. Aliquot store at -20℃ or -80℃. Avoid repeated freeze / thaw cycles.
Storage buffer: 1*PBS (pH7.4).
Concentration: 1ug/ul
Purification: Protein A affinity purified.
Molecular weight: Predicted band size: 100 kDa
Isotype: IgG
Immunogen: Synthetic peptide within C-terminal human CDH2.
Positive control: A431 cell lysate, MCF7 cell lysate, Mouse embryo tissue lysate, Mouse placenta tissue lysate, Rat embryo tissue lysate, Human heart tissue lysate, Mouse heart tissue lysate, Rat heart tissue lysate, HeLa, Caco-2, NIH/3T3, C6, mouse liver tissue, mouse kidney tissue, mouse heart tissue, rat liver tissue.
Subcellular location: Cell membrane, Cell junction, Endosome, Golgi apparatus.
Recommended Dilutions:
  WB
  IF-Cell
  IF-Tissue
  IHC-P
  IP
  IHC-Fr

1:1,000
1:50-1:200
1:200
1:50-1:1,000
Use at an assay dependent concentration.
1:200
Uniprot #: SwissProt: P19022 Human | P12830 Human | P22223 Human | P33151 Human | P55283 Human | P39038 Mouse
Alternative names: Cadherin CDH3 CDHP 7B4 antigen Cadherin-1 Cadherin-2 Cadherin-3 Cadherin-4 Cadherin-5 CAM 120/80 CD144 CD324 CD325 Cdh4 CDH5 CDHE CDHN E-cadherin Epithelial cadherin N-cadherin NCAD Neural cadherin P-cadherin Placental cadherin UVO Uvomorulin Vascular endothelial cadherin
Images
HA750190_1.jpg Fig1: Western blot analysis of Pan-Cadherin on different lysates with Rabbit anti-Pan-Cadherin antibody (HA750190) at 1/2,000 dilution.

Lane 1: A431 cell lysate (20 µg/Lane)
Lane 2: MCF7 cell lysate (20 µg/Lane)
Lane 3: Mouse embryo tissue lysate (40 µg/Lane)
Lane 4: Mouse placenta tissue lysate (40 µg/Lane)
Lane 5: Rat embryo tissue lysate (40 µg/Lane)

Predicted band size: 100 kDa
Observed band size: 120 kDa

Exposure time: 4 seconds; ECL: K1801;

4-20% SDS-PAGE gel.

Proteins were transferred to a PVDF membrane and blocked with 5% NFDM/TBST for 1 hour at room temperature. The primary antibody (HA750190) at 1/2,000 dilution was used in 5% NFDM/TBST at 4℃ overnight. Goat Anti-Rabbit IgG - HRP Secondary Antibody (HA1001) at 1/50,000 dilution was used for 1 hour at room temperature.
HA750190_2.jpg Fig2: Western blot analysis of Pan-Cadherin on different lysates with Rabbit anti-Pan-Cadherin antibody (HA750190) at 1/1,000 dilution.

Lane 1: Human heart tissue lysate
Lane 2: Mouse heart tissue lysate
Lane 3: Rat heart tissue lysate

Lysates/proteins at 20 µg/Lane.

Predicted band size: 100 kDa
Observed band size: 120 kDa

Exposure time: 1 minute;

6% SDS-PAGE gel.

Proteins were transferred to a PVDF membrane and blocked with 5% NFDM/TBST for 1 hour at room temperature. The primary antibody (HA750190) at 1/1,000 dilution was used in 5% NFDM/TBST at room temperature for 2 hours. Goat Anti-Rabbit IgG - HRP Secondary Antibody (HA1001) at 1/300,000 dilution was used for 1 hour at room temperature.
HA750190_3.jpg Fig3: Immunocytochemistry analysis of HeLa cells labeling Pan-Cadherin with Rabbit anti-Pan-Cadherin antibody (HA750190) at 1/100 dilution.

Cells were fixed in 4% paraformaldehyde for 20 minutes at room temperature, permeabilized with 0.1% Triton X-100 in PBS for 5 minutes at room temperature, then blocked with 1% BSA in 10% negative goat serum for 1 hour at room temperature. Cells were then incubated with Rabbit anti-Pan-Cadherin antibody (HA750190) at 1/100 dilution in 1% BSA in PBST overnight at 4 ℃. Goat Anti-Rabbit IgG H&L (iFluor™ 488, HA1121) was used as the secondary antibody at 1/1,000 dilution. PBS instead of the primary antibody was used as the secondary antibody only control. Nuclear DNA was labelled in blue with DAPI.

Beta tubulin (M1305-2, red) was stained at 1/100 dilution overnight at +4℃. Goat Anti-Mouse IgG H&L (iFluor™ 594, HA1126) was used as the secondary antibody at 1/1,000 dilution.
HA750190_4.jpg Fig4: Immunocytochemistry analysis of Caco-2 cells labeling Pan-Cadherin with Rabbit anti-Pan-Cadherin antibody (HA750190) at 1/100 dilution.

Cells were fixed in 4% paraformaldehyde for 20 minutes at room temperature, permeabilized with 0.1% Triton X-100 in PBS for 5 minutes at room temperature, then blocked with 1% BSA in 10% negative goat serum for 1 hour at room temperature. Cells were then incubated with Rabbit anti-Pan-Cadherin antibody (HA750190) at 1/100 dilution in 1% BSA in PBST overnight at 4 ℃. Goat Anti-Rabbit IgG H&L (iFluor™ 488, HA1121) was used as the secondary antibody at 1/1,000 dilution. PBS instead of the primary antibody was used as the secondary antibody only control. Nuclear DNA was labelled in blue with DAPI.

Beta tubulin (M1305-2, red) was stained at 1/100 dilution overnight at +4℃. Goat Anti-Mouse IgG H&L (iFluor™ 594, HA1126) was used as the secondary antibody at 1/1,000 dilution.
HA750190_5.jpg Fig5: Immunocytochemistry analysis of NIH/3T3 cells labeling Pan-Cadherin with Rabbit anti-Pan-Cadherin antibody (HA750190) at 1/100 dilution.

Cells were fixed in 4% paraformaldehyde for 20 minutes at room temperature, permeabilized with 0.1% Triton X-100 in PBS for 5 minutes at room temperature, then blocked with 1% BSA in 10% negative goat serum for 1 hour at room temperature. Cells were then incubated with Rabbit anti-Pan-Cadherin antibody (HA750190) at 1/100 dilution in 1% BSA in PBST overnight at 4 ℃. Goat Anti-Rabbit IgG H&L (iFluor™ 488, HA1121) was used as the secondary antibody at 1/1,000 dilution. PBS instead of the primary antibody was used as the secondary antibody only control. Nuclear DNA was labelled in blue with DAPI. Beta tubulin (M1305-2, red) was stained at 1/100 dilution overnight at +4℃. Goat Anti-Mouse IgG H&L (iFluor™ 594, HA1126) was used as the secondary antibody at 1/1,000 dilution.
HA750190_6.jpg Fig6: Immunocytochemistry analysis of C6 cells labeling Pan-Cadherin with Rabbit anti-Pan-Cadherin antibody (HA750190) at 1/100 dilution.

Cells were fixed in 4% paraformaldehyde for 20 minutes at room temperature, permeabilized with 0.1% Triton X-100 in PBS for 5 minutes at room temperature, then blocked with 1% BSA in 10% negative goat serum for 1 hour at room temperature. Cells were then incubated with Rabbit anti-Pan-Cadherin antibody (HA750190) at 1/100 dilution in 1% BSA in PBST overnight at 4 ℃. Goat Anti-Rabbit IgG H&L (iFluor™ 488, HA1121) was used as the secondary antibody at 1/1,000 dilution. PBS instead of the primary antibody was used as the secondary antibody only control. Nuclear DNA was labelled in blue with DAPI. Beta tubulin (M1305-2, red) was stained at 1/100 dilution overnight at +4℃. Goat Anti-Mouse IgG H&L (iFluor™ 594, HA1126) was used as the secondary antibody at 1/1,000 dilution.
HA750190_7.jpg Fig7: Application: IHC-Fr

Species: Mouse

Site: liver

Sample: Frozen section

Antibody concentration: 1/200

Antigen retrieval: Recommend. The section was pre-treated using heat mediated antigen retrieval with sodium citrate buffer (pH 6.0) for about 2 minutes in microwave oven.
HA750190_8.jpg Fig8: Application: IF-Tissue

Species: Mouse

Site: liver

Sample: Paraffin-embedded section

Antibody concentration: 1/200
HA750190_9.jpg Fig9: Immunohistochemical analysis of paraffin-embedded mouse liver tissue with Rabbit anti-Pan-Cadherin antibody (HA750190) at 1/1,000 dilution.

The section was pre-treated using heat mediated antigen retrieval with Tris-EDTA buffer (pH 9.0) for 20 minutes. The tissues were blocked in 1% BSA for 20 minutes at room temperature, washed with ddH2O and PBS, and then probed with the primary antibody (HA750190) at 1/1,000 dilution for 1 hour at room temperature. The detection was performed using an HRP conjugated compact polymer system. DAB was used as the chromogen. Tissues were counterstained with hematoxylin and mounted with DPX.
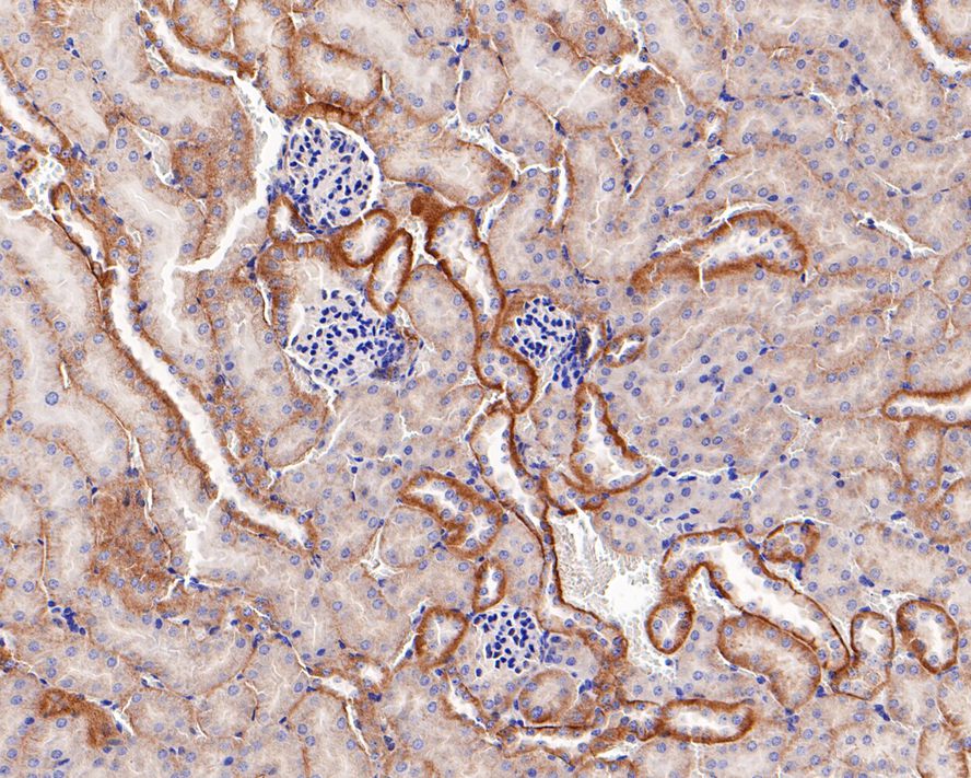
HA750190_10.jpg Fig10: Immunohistochemical analysis of paraffin-embedded mouse kidney tissue with Rabbit anti-Pan-Cadherin antibody (HA750190) at 1/1,000 dilution.

The section was pre-treated using heat mediated antigen retrieval with Tris-EDTA buffer (pH 9.0) for 20 minutes. The tissues were blocked in 1% BSA for 20 minutes at room temperature, washed with ddH2O and PBS, and then probed with the primary antibody (HA750190) at 1/1,000 dilution for 1 hour at room temperature. The detection was performed using an HRP conjugated compact polymer system. DAB was used as the chromogen. Tissues were counterstained with hematoxylin and mounted with DPX.
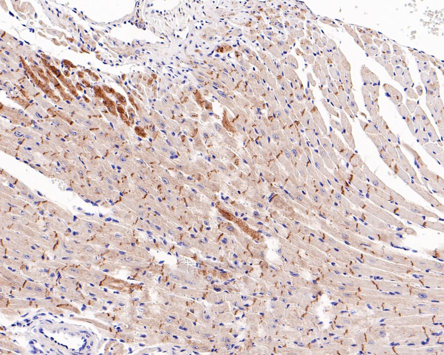
HA750190_11.jpg Fig11: Immunohistochemical analysis of paraffin-embedded mouse heart tissue with Rabbit anti-Pan-Cadherin antibody (HA750190) at 1/1,000 dilution.

The section was pre-treated using heat mediated antigen retrieval with Tris-EDTA buffer (pH 9.0) for 20 minutes. The tissues were blocked in 1% BSA for 20 minutes at room temperature, washed with ddH2O and PBS, and then probed with the primary antibody (HA750190) at 1/1,000 dilution for 1 hour at room temperature. The detection was performed using an HRP conjugated compact polymer system. DAB was used as the chromogen. Tissues were counterstained with hematoxylin and mounted with DPX.
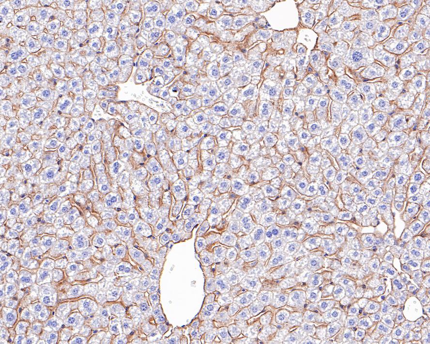
HA750190_12.jpg Fig12: Immunohistochemical analysis of paraffin-embedded rat liver tissue with Rabbit anti-Pan-Cadherin antibody (HA750190) at 1/1,000 dilution.

The section was pre-treated using heat mediated antigen retrieval with Tris-EDTA buffer (pH 9.0) for 20 minutes. The tissues were blocked in 1% BSA for 20 minutes at room temperature, washed with ddH2O and PBS, and then probed with the primary antibody (HA750190) at 1/1,000 dilution for 1 hour at room temperature. The detection was performed using an HRP conjugated compact polymer system. DAB was used as the chromogen. Tissues were counterstained with hematoxylin and mounted with DPX.
HA750190_13.jpg Fig13: Pan-Cadherin was immunoprecipitated from 0.2 mg HeLa cell lysate with HA750190 at 2 µg/10 µl beads. Western blot was performed from the immunoprecipitate using HA750190 at 1/1000 dilution. HRP Conjugated Goat anti-Rabbit IgG polyclonal Antibody(HA1001) at 1/50,000 dilution was used for 1 hour at room temperature.

Lane 1: HeLa cell lysate (input)
Lane 2: HA750190 IP in HeLa cell lysate
Lane 3: Rabbbit IgG instead of HA750190 in HeLa cell lysate

Blocking/Dilution buffer: 5% NFDM/TBST
Exposure time: 59 seconds; ECL: K1801
Note: All products are “FOR RESEARCH USE ONLY AND ARE NOT INTENDED FOR DIAGNOSTIC OR THERAPEUTIC USE”.