DNA PKcs Recombinant Rabbit Monoclonal Antibody [SC57-08]
cat.: HA750198
Product Type: Recombinant Rabbit monoclonal IgG, primary antibodies
Species reactivity: Human, Mouse, Rat
Applications: WB, IF-Cell, IF-Tissue, IHC-P, IP
Clonality: Monoclonal
Clone number: SC57-08
Form: Liquid
Storage condition: Store at +4℃ after thawing. Aliquot store at -20℃ or -80℃. Avoid repeated freeze / thaw cycles.
Storage buffer: 1*PBS (pH7.4).
Concentration: 1ug/ul
Purification: Protein A affinity purified.
Molecular weight: Predicted band size: 469 kDa
Isotype: IgG
Immunogen: Synthetic peptide within Human DNA PKcs aa 4062-4109 / 4128.
Positive control: K-562 cell lysate, NIH/3T3 cell lysate, PC-12 cell lysate, K-562, Hela, MCF-7, human colon carcinoma tissue.
Subcellular location: Nucleus, nucleolus.
Recommended Dilutions:
  WB
  IF-Cell
  IF-Tissue
  IHC-P
  IP

1:5,000
1:50-1:200
1:50-1:200
1:50-1:200
1-2μg/sample
Uniprot #: SwissProt: P78527 Human | P97313 Mouse
Entrez Gene: 360748 Rat
Alternative names: DNA dependent protein kinase catalytic subunit DNA PK catalytic subunit DNA-dependent protein kinase catalytic subunit DNA-PK catalytic subunit DNA-PKcs DNAPK DNAPK catalytic subunit DNPK 1 DNPK1 Hyper radiosensitivity of murine scid mutation, complementing 1 HYRC 1 HYRC HYRC1 IMD26 p350 p460 PKRDC PRKDC PRKDC_HUMAN Protein Kinase DNA Activated Catalytic Polypeptide XRCC 7 XRCC7
Images
HA750198_1.jpg Fig1: Western blot analysis of DNA PKcs on different lysates with Rabbit anti-DNA PKcs antibody (HA750198) at 1/5,000 dilution.

Lane 1: K-562 cell lysate
Lane 2: NIH/3T3 cell lysate
Lane 3: PC-12 cell lysate

Lysates/proteins at 15 µg/Lane.

Predicted band size: 469 kDa
Observed band size: 469 kDa

Exposure time: 5 seconds; ECL: K1801;

3-8% SDS-PAGE gel.

Proteins were transferred to a PVDF membrane and blocked with 5% NFDM/TBST for 1 hour at room temperature. The primary antibody (HA750198) at 1/5,000 dilution was used in 5% NFDM/TBST at 4℃ overnight. Goat Anti-Rabbit IgG - HRP Secondary Antibody (HA1001) at 1/50,000 dilution was used for 1 hour at room temperature.
HA750198_2.jpg Fig2: Immunocytochemistry analysis of K-562 cells labeling DNA PKcs with Rabbit anti-DNA PKcs antibody (HA750198) at 1/100 dilution.

Cells were fixed in 4% paraformaldehyde for 20 minutes at room temperature, permeabilized with 0.1% Triton X-100 in PBS for 5 minutes at room temperature, then blocked with 1% BSA in 10% negative goat serum for 1 hour at room temperature. Cells were then incubated with Rabbit anti-DNA PKcs antibody (HA750198) at 1/100 dilution in 1% BSA in PBST overnight at 4 ℃. Goat Anti-Rabbit IgG H&L (iFluor™ 488, HA1121) was used as the secondary antibody at 1/1,000 dilution. PBS instead of the primary antibody was used as the secondary antibody only control. Nuclear DNA was labelled in blue with DAPI.

Beta tubulin (M1305-2, red) was stained at 1/100 dilution overnight at +4℃. Goat Anti-Mouse IgG H&L (iFluor™ 594, HA1126) was used as the secondary antibody at 1/1,000 dilution.
HA750198_3.jpg Fig3: ICC staining of DNA PKcs in Hela cells (green). Formalin fixed cells were permeabilized with 0.1% Triton X-100 in TBS for 10 minutes at room temperature and blocked with 1% Blocker BSA for 15 minutes at room temperature. Cells were probed with the primary antibody (HA750198, 1/50) for 1 hour at room temperature, washed with PBS. Alexa Fluor®488 Goat anti-Rabbit IgG was used as the secondary antibody at 1/1,000 dilution. The nuclear counter stain is DAPI (blue).
HA750198_4.jpg Fig4: ICC staining of DNA PKcs in MCF-7 cells (green). Formalin fixed cells were permeabilized with 0.1% Triton X-100 in TBS for 10 minutes at room temperature and blocked with 1% Blocker BSA for 15 minutes at room temperature. Cells were probed with the primary antibody (HA750198, 1/50) for 1 hour at room temperature, washed with PBS. Alexa Fluor®488 Goat anti-Rabbit IgG was used as the secondary antibody at 1/1,000 dilution. The nuclear counter stain is DAPI (blue).
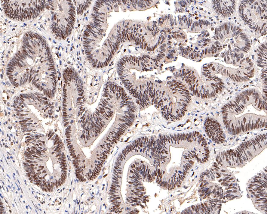
HA750198_5.jpg Fig5: Immunohistochemical analysis of paraffin-embedded human colon carcinoma tissue with Rabbit anti-DNA PKcs antibody (HA750198) at 1/200 dilution.

The section was pre-treated using heat mediated antigen retrieval with sodium citrate buffer (pH 6.0) (high pressure) for 2 minutes. The tissues were blocked in 1% BSA for 20 minutes at room temperature, washed with ddH2O and PBS, and then probed with the primary antibody (HA750198) at 1/200 dilution for 1 hour at room temperature. The detection was performed using an HRP conjugated compact polymer system. DAB was used as the chromogen. Tissues were counterstained with hematoxylin and mounted with DPX.
HA750198_6.jpg Fig6: DNA PKcs was immunoprecipitated from 0.2 mg K-562 cell lysate with HA750198 at 2 µg/10 µl beads. Western blot was performed from the immunoprecipitate using HA750198 at 1/1,000 dilution. HRP Conjugated Anti-Rabbit IgG for IP Nano-secondary antibody at 1/5,000 dilution was used for 1 hour at room temperature.

Lane 1: K-562 cell lysate (input)
Lane 2: HA750198 IP in K-562 cell lysate
Lane 3: Rabbit IgG instead of HA750198 in K-562 cell lysate

Blocking/Dilution buffer: primary antibody dilution (K1803)
Exposure time: 4 seconds; ECL: K1801
Note: All products are “FOR RESEARCH USE ONLY AND ARE NOT INTENDED FOR DIAGNOSTIC OR THERAPEUTIC USE”.