Tryptophan Hydroxylase 1 (TPH1) Recombinant Rabbit Monoclonal Antibody [SC53-07]
cat.: HA750214
Product Type: Recombinant Rabbit monoclonal IgG, primary antibodies
Species reactivity: Human, Mouse, Rat, Cynomolgus monkey, Pig
Applications: WB, IF-Cell, IF-Tissue, IHC-P, IP, FC
Clonality: Monoclonal
Clone number: SC53-07
Form: Liquid
Storage condition: Store at +4℃ after thawing. Aliquot store at -20℃ or -80℃. Avoid repeated freeze / thaw cycles.
Storage buffer: 1*PBS (pH7.4).
Concentration: 1ug/ul
Purification: Protein A affinity purified.
Molecular weight: Predicted band size: 51 kDa
Isotype: IgG
Immunogen: Synthetic peptide within Human TPH1 aa 372-419 / 444.
Positive control: MDA-MB-231 cell lysate, LNCaP cell lysate, HL-60 cell lysate, THP-1 cell lysate, MCF7 cell lysate, human brain tissue, rat brain tissue, mouse cerebellum tissue, Hela.
Subcellular location: Cytosol, neuron projection.
Recommended Dilutions:
  WB
  IF-Cell
  IF-Tissue
  IHC-P
  FC
  IP

1:500-1:1,000
1:50-1:200
1:50-1:200
1:50-1:200
1:50-1:100
Use at an assay dependent concentration.
Uniprot #: SwissProt: P17752 Human | P17532 Mouse | P09810 Rat
Alternative names: Indoleacetic acid 5 hydroxylase L tryptophan hydroxylase MGC119994 TPH 1 TPH TPH1 TPH1_HUMAN TPRH TRPH Tryptophan 5 hydroxylase 1 Tryptophan 5 monooxygenase 1 Tryptophan 5 monooxygenase Tryptophan 5-hydroxylase 1 Tryptophan 5-monooxygenase 1 Tryptophan hydroxylase 1
Images
HA750214_1.jpg Fig1: Western blot analysis of Tryptophan Hydroxylase 1 (TPH1) on different lysates with Rabbit anti-Tryptophan Hydroxylase 1 (TPH1) antibody (HA750214) at 1/1,000 dilution.

Lane 1: MDA-MB-231 cell lysate
Lane 2: LNCaP cell lysate
Lane 3: HL-60 cell lysate
Lane 4: THP-1 cell lysate
Lane 5: MCF7 cell lysate

Lysates/proteins at 20 µg/Lane.

Predicted band size: 51 kDa
Observed band size: 72 kDa

Exposure time: 3 minutes;
4-20% SDS-PAGE gel.

Proteins were transferred to a PVDF membrane and blocked with 5% NFDM/TBST for 1 hour at room temperature. The primary antibody (HA750214) at 1/1,000 dilution was used in 5% NFDM/TBST at 4℃ overnight. Goat Anti-Rabbit IgG - HRP Secondary Antibody (HA1001) at 1/50,000 dilution was used for 1 hour at room temperature.
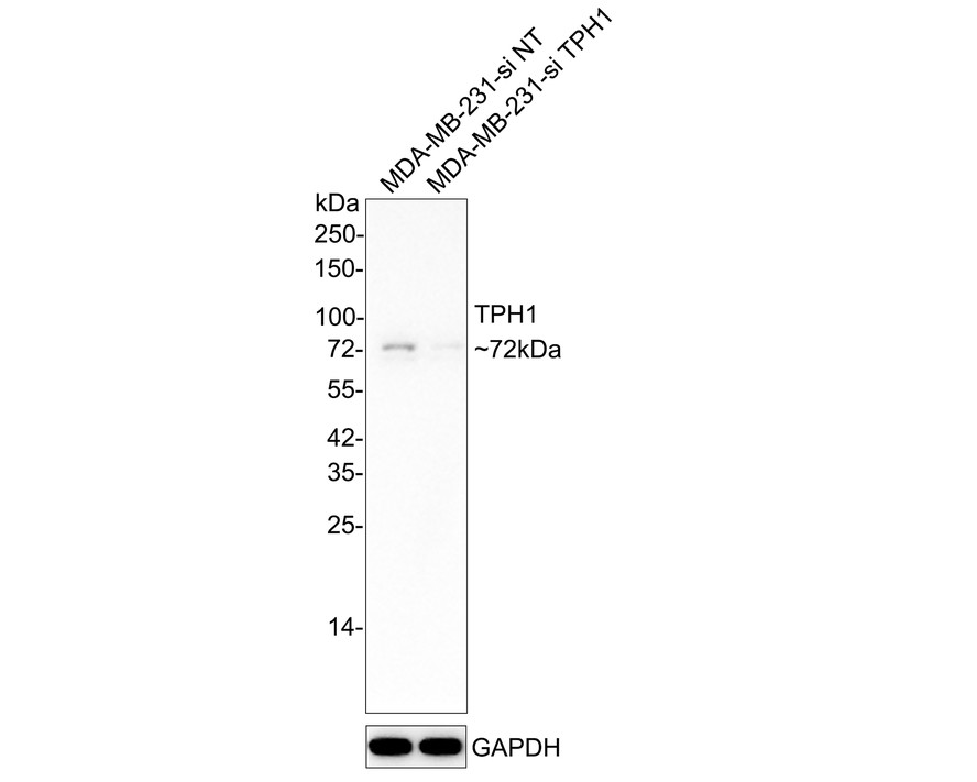
HA750214_2.jpg Fig2: Western blot analysis of TPH1 on different lysates with Rabbit anti-TPH1 antibody (HA750214) at 1/1,000 dilution.

Lane 1: MDA-MB-231-si NT cell lysate (10 µg/Lane)
Lane 2: MDA-MB-231-si TPH1 cell lysate (10 µg/Lane)

Predicted band size: 51 kDa
Observed band size: 72 kDa

Exposure time: 3 minutes; ECL: K1801;
4-20% SDS-PAGE gel.

ET1610-37 was shown to specifically react with TPH1 in MDA-MB-231-si NT cells. Weakened band was observed when MDA-MB-231-si TPH1 sample was tested. MDA-MB-231-si NT and Hela-si TPH1 samples were subjected to SDS-PAGE. Proteins were transferred to a PVDF membrane and blocked with 5% NFDM in TBST for 1 hour at room temperature. The primary antibody (ET1610-37, 1/1,000) and Loading control antibody (Rabbit anti-GAPDH, ET1601-4, 1/10,000) were used in 5% NFDM/TBST at 4℃ overnight. Goat Anti-rabbit IgG-HRP Secondary Antibody (HA1001) at 1:50,000 dilution was used for 1 hour at room temperature.
HA750214_3.jpg Fig3: Immunohistochemical analysis of paraffin-embedded human brain tissue with Rabbit anti-Tryptophan Hydroxylase 1 (TPH1) antibody (HA750214) at 1/200 dilution.

The section was pre-treated using heat mediated antigen retrieval with Tris-EDTA buffer (pH 9.0) for 20 minutes. The tissues were blocked in 1% BSA for 20 minutes at room temperature, washed with ddH2O and PBS, and then probed with the primary antibody (HA750214) at 1/200 dilution for 1 hour at room temperature. The detection was performed using an HRP conjugated compact polymer system. DAB was used as the chromogen. Tissues were counterstained with hematoxylin and mounted with DPX.
HA750214_4.jpg Fig4: Immunohistochemical analysis of paraffin-embedded rat brain tissue with Rabbit anti-Tryptophan Hydroxylase 1 (TPH1) antibody (HA750214) at 1/200 dilution.

The section was pre-treated using heat mediated antigen retrieval with Tris-EDTA buffer (pH 9.0) for 20 minutes. The tissues were blocked in 1% BSA for 20 minutes at room temperature, washed with ddH2O and PBS, and then probed with the primary antibody (HA750214) at 1/200 dilution for 1 hour at room temperature. The detection was performed using an HRP conjugated compact polymer system. DAB was used as the chromogen. Tissues were counterstained with hematoxylin and mounted with DPX.
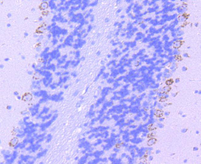
HA750214_5.jpg Fig5: Immunohistochemical analysis of paraffin-embedded mouse cerebellum tissue using anti-Tryptophan Hydroxylase 1 (TPH1) antibody. The section was pre-treated using heat mediated antigen retrieval with Tris-EDTA buffer (pH 8.0-8.4) for 20 minutes.The tissues were blocked in 5% BSA for 30 minutes at room temperature, washed with ddH2O and PBS, and then probed with the primary antibody (HA750214, 1/50) for 30 minutes at room temperature. The detection was performed using an HRP conjugated compact polymer system. DAB was used as the chromogen. Tissues were counterstained with hematoxylin and mounted with DPX.
HA750214_6.jpg Fig6: Flow cytometric analysis of Tryptophan Hydroxylase 1 (TPH1) was done on Hela cells. The cells were fixed, permeabilized and stained with the primary antibody (HA750214, 1/50) (red). After incubation of the primary antibody at room temperature for an hour, the cells were stained with a Alexa Fluor 488-conjugated Goat anti-Rabbit IgG Secondary antibody at 1/1000 dilution for 30 minutes.Unlabelled sample was used as a control (cells without incubation with primary antibody; black).
Note: All products are “FOR RESEARCH USE ONLY AND ARE NOT INTENDED FOR DIAGNOSTIC OR THERAPEUTIC USE”.