ATG7 Recombinant Rabbit Monoclonal Antibody [SC06-30]
cat.: HA750224
Product Type: Recombinant Rabbit monoclonal IgG, primary antibodies
Species reactivity: Human, Rat
Applications: WB, IF-Tissue, IHC-P, IP, FC
Clonality: Monoclonal
Clone number: SC06-30
Form: Liquid
Storage condition: Store at +4℃ after thawing. Aliquot store at -20℃ or -80℃. Avoid repeated freeze / thaw cycles.
Storage buffer: 1*PBS (pH7.4).
Concentration: 1ug/ul
Purification: Protein A affinity purified.
Molecular weight: Predicted band size: 78 kDa
Isotype: IgG
Immunogen: Synthetic peptide within Human ATG7 aa 654-703 / 703.
Positive control: HeLa cell lysate, Jurkat cell lysate, THP-1 cell lysate, human tonsil tissue, human spleen tissue, human kidney tissue, human liver tissue, rat kidney tissue lysate.
Subcellular location: Cytoplasm.
Recommended Dilutions:
  WB
  IF-Tissue
  IHC-P
  FC
  IP

1:500-1:2,000
1:50-1:200
1:50-1:1,000
1:50-1:100
Use at an assay dependent concentration.
Uniprot #: SwissProt: O95352 Human | Q641Y5 Rat
Alternative names: 1810013K23Rik Apg 7 APG7 autophagy 7 like APG7 autophagy 7-like (S. cerevisiae) APG7 like APG7, S. cerevisiae, homolog of APG7-like APG7L ATG 7 ATG12-activating enzyme E1 ATG7 ATG7 ATG7 autophagy related 7 homolog (S. cerevisiae) ATG7 autophagy related 7 homolog ATG7_HUMAN Atg7l Autophagy 7, S. cerevisiae, homolog of Autophagy related protein 7 Autophagy-related 7 (yeast) Autophagy-related protein 7 DKFZp434N0735 GSA 7 GSA7 hAGP7 Ubiquitin activating enzyme E1 like protein Ubiquitin-activating enzyme E1-like protein Ubiquitin-like modifier-activating enzyme ATG7
Images
HA750224_1.jpg Fig1: Western blot analysis of ATG7 on different lysates with Rabbit anti-ATG7 antibody (HA750224) at 1/2,000 dilution.

Lane 1: HeLa cell lysate
Lane 2: Jurkat cell lysate
Lane 3: THP-1 cell lysate

Lysates/proteins at 15 µg/Lane.

Predicted band size: 78 kDa
Observed band size: 70 kDa

Exposure time: 3 minutes;

4-20% SDS-PAGE gel.

Proteins were transferred to a PVDF membrane and blocked with 5% NFDM/TBST for 1 hour at room temperature. The primary antibody (HA750224) at 1/2,000 dilution was used in 5% NFDM/TBST at 4℃ overnight. Goat Anti-Rabbit IgG - HRP Secondary Antibody (HA1001) at 1/50,000 dilution was used for 1 hour at room temperature.
HA750224_2.jpg Fig2: Western blot analysis of ATG7 on rat kidney tissue lysates with Rabbit anti-ATG7 antibody (HA750224) at 1/1,000 dilution.

Lysates/proteins at 40 µg/Lane.

Predicted band size: 78 kDa
Observed band size: 70 kDa

Exposure time: 3 minutes;
4-20% SDS-PAGE gel.

Proteins were transferred to a PVDF membrane and blocked with 5% NFDM/TBST for 1 hour at room temperature. The primary antibody (HA750224) at 1/1,000 dilution was used in 5% NFDM/TBST at 4℃ overnight. Goat Anti-Rabbit IgG - HRP Secondary Antibody (HA1001) at 1/50,000 dilution was used for 1 hour at room temperature.
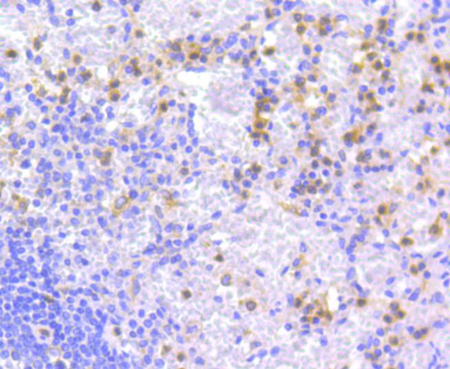
HA750224_3.jpg Fig3: Immunohistochemical analysis of paraffin-embedded human tonsil tissue using anti-Atg7 antibody. The section was pre-treated using heat mediated antigen retrieval with sodium citrate buffer (pH 6.0) (high pressure) for 2 minutes. The tissues were blocked in 5% BSA for 30 minutes at room temperature, washed with ddH2O and PBS, and then probed with the primary antibody (HA750224, 1/50) for 30 minutes at room temperature. The detection was performed using an HRP conjugated compact polymer system. DAB was used as the chromogen. Tissues were counterstained with hematoxylin and mounted with DPX.
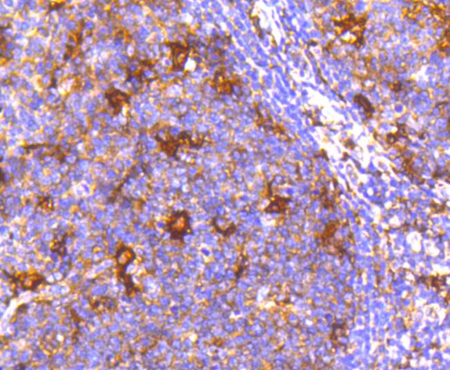
HA750224_4.jpg Fig4: Immunohistochemical analysis of paraffin-embedded human spleen tissue using anti-Atg7 antibody. The section was pre-treated using heat mediated antigen retrieval with sodium citrate buffer (pH 6.0) (high pressure) for 2 minutes. The tissues were blocked in 5% BSA for 30 minutes at room temperature, washed with ddH2O and PBS, and then probed with the primary antibody (HA750224, 1/50) for 30 minutes at room temperature. The detection was performed using an HRP conjugated compact polymer system. DAB was used as the chromogen. Tissues were counterstained with hematoxylin and mounted with DPX.
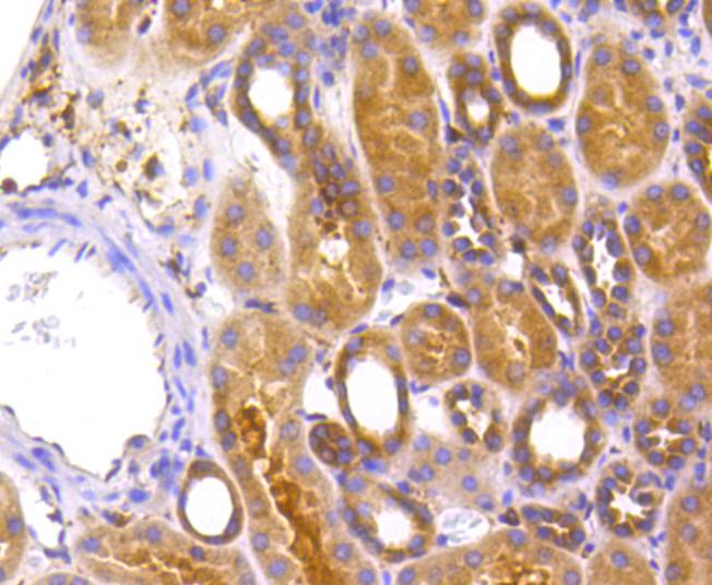
HA750224_5.jpg Fig5: Immunohistochemical analysis of paraffin-embedded human kidney tissue using anti-Atg7 antibody. The section was pre-treated using heat mediated antigen retrieval with sodium citrate buffer (pH 6.0) (high pressure) for 2 minutes. The tissues were blocked in 5% BSA for 30 minutes at room temperature, washed with ddH2O and PBS, and then probed with the primary antibody (HA750224, 1/50) for 30 minutes at room temperature. The detection was performed using an HRP conjugated compact polymer system. DAB was used as the chromogen. Tissues were counterstained with hematoxylin and mounted with DPX.
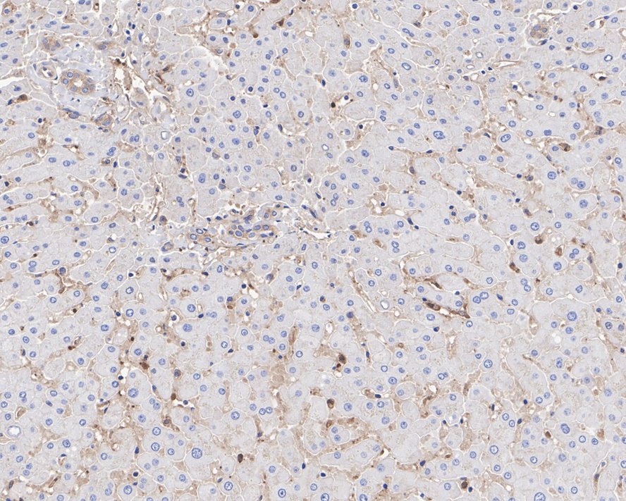
HA750224_6.jpg Fig6: Immunohistochemical analysis of paraffin-embedded human liver tissue with Rabbit anti-ATG7 antibody (HA750224) at 1/1,000 dilution.

The section was pre-treated using heat mediated antigen retrieval with Tris-EDTA buffer (pH 9.0) for 20 minutes. The tissues were blocked in 1% BSA for 20 minutes at room temperature, washed with ddH2O and PBS, and then probed with the primary antibody (HA750224) at 1/1,000 dilution for 1 hour at room temperature. The detection was performed using an HRP conjugated compact polymer system. DAB was used as the chromogen. Tissues were counterstained with hematoxylin and mounted with DPX.
HA750224_7.jpg Fig7: Flow cytometric analysis of Atg7 was done on Hela cells. The cells were fixed, permeabilized and stained with the primary antibody (HA750224, 1/50) (red). After incubation of the primary antibody at room temperature for an hour, the cells were stained with a Alexa Fluor 488-conjugated Goat anti-Rabbit IgG Secondary antibody at 1/1000 dilution for 30 minutes.Unlabelled sample was used as a control (cells without incubation with primary antibody; black).
HA750224_8.jpg Fig8: Western blot analysis of ATG7 on different lysates with Rabbit anti-ATG7 antibody (HA750224) at 1/2,000 dilution.

Lane 1: HeLa-si NT cell lysate
Lane 2: HeLa-si ATG7 cell lysate

Lysates/proteins at 10 µg/Lane.

Predicted band size: 78 kDa
Observed band size: 70 kDa

Exposure time: 10 seconds; ECL: K1801;

4-20% SDS-PAGE gel.

Proteins were transferred to a PVDF membrane and blocked with 5% NFDM/TBST for 1 hour at room temperature. The primary antibody (HA750224) at 1/2,000 dilution was used in 5% NFDM/TBST at 4℃ overnight. Goat Anti-Rabbit IgG - HRP Secondary Antibody (HA1001) at 1/50,000 dilution was used for 1 hour at room temperature.
Note: All products are “FOR RESEARCH USE ONLY AND ARE NOT INTENDED FOR DIAGNOSTIC OR THERAPEUTIC USE”.