STAT5a Recombinant Rabbit Monoclonal Antibody [SC66-09]
cat.: HA750225
Product Type: Recombinant Rabbit monoclonal IgG, primary antibodies
Species reactivity: Human, Mouse, Rat
Applications: WB, IF-Cell, IF-Tissue, IHC-P, IP, FC
Clonality: Monoclonal
Clone number: SC66-09
Form: Liquid
Storage condition: Store at +4℃ after thawing. Aliquot store at -20℃ or -80℃. Avoid repeated freeze / thaw cycles.
Storage buffer: 1*PBS (pH7.4).
Concentration: 1ug/ul
Purification: Protein A affinity purified.
Molecular weight: Predicted band size: 91 kDa
Isotype: IgG
Immunogen: Synthetic peptide within C-terminal human STAT5a.
Positive control: HeLa cell lysate, K-562 cell lysate, RAW264.7 cell lysate, EL4 cell lysate, Rat spleen tissue lysate, mouse bone tissue, mouse spleen tissue, rat bone tissue, rat spleen tissue, human tonsil tissue, Hela, C2C12, RAW264.7.
Subcellular location: Nucleus, Cytoplasm.
Recommended Dilutions:
  WB
  IF-Cell
  IF-Tissue
  IHC-P
  IP
  FC

1:1,000-1:2,000
1:50-1:200
1:50-1:200
1:200-1:1,000
1-2μg/sample
1:1,000
Uniprot #: SwissProt: P42229 Human | P42230 Mouse | Q62771 Rat
Alternative names: Mammary gland factor MGF Signal transducer and activator of transcription 5A STA5A_HUMAN STAT 5 STAT 5A STAT5 STAT5A
Images
HA750225_1.jpg Fig1: Western blot analysis of STAT5a on different lysates with Rabbit anti-STAT5a antibody (HA750225) at 1/1,000 dilution.

Lane 1: HeLa cell lysate
Lane 2: K-562 cell lysate
Lane 3: RAW264.7 cell lysate
Lane 4: EL4 cell lysate
Lane 5: Rat spleen tissue lysate

Lysates/proteins at 20 µg/Lane.

Predicted band size: 91 kDa
Observed band size: 91 kDa

Exposure time: 10 seconds; ECL: K1801;

4-20% SDS-PAGE gel.

Proteins were transferred to a PVDF membrane and blocked with 5% NFDM/TBST for 1 hour at room temperature. The primary antibody (HA750225) at 1/1,000 dilution was used in 5% NFDM/TBST at 4℃ overnight. Goat Anti-Rabbit IgG - HRP Secondary Antibody (HA1001) at 1/50,000 dilution was used for 1 hour at room temperature.
HA750225_2.jpg Fig2: All lanes: Western blot analysis of STAT5a with anti-STAT5a antibody (HA750225) at 1/500 dilution.

Lane 1: Wild-type Hela whole cell lysate.
Lane 2/3: STAT5a knockdown Hela whole cell lysate.

ET1610-58 was shown to specifically react with STAT5a in Wild-type Hela cells. Weakened bands were observed when STAT5a knockdown samples were tested. Wild-type and STAT5a knockdown samples were subjected to SDS-PAGE. Proteins were transferred to a PVDF membrane and blocked with 5% NFDM in TBST for 1 hour at room temperature. The primary Anti-STAT5a antibody (ET1610-58, 1/500) and Anti-HSP90 antibody (ET1605-56, 1/10,000) were used in 5% BSA at room temperature for 2 hours. Goat Anti-Rabbit IgG H&L (HRP) Secondary Antibody (HA1001) at 1:300,000 dilution was used for 1 hour at room temperature.
HA750225_3.jpg Fig3: Immunohistochemical analysis of paraffin-embedded mouse bone tissue with Rabbit anti-STAT5a antibody (HA750225) at 1/1,000 dilution.

The section was pre-treated using heat mediated antigen retrieval with sodium citrate buffer (pH 6.0) (high pressure) for 2 minutes. The tissues were blocked in 1% BSA for 20 minutes at room temperature, washed with ddH2O and PBS, and then probed with the primary antibody (HA750225) at 1/1,000 dilution for 1 hour at room temperature. The detection was performed using an HRP conjugated compact polymer system. DAB was used as the chromogen. Tissues were counterstained with hematoxylin and mounted with DPX.
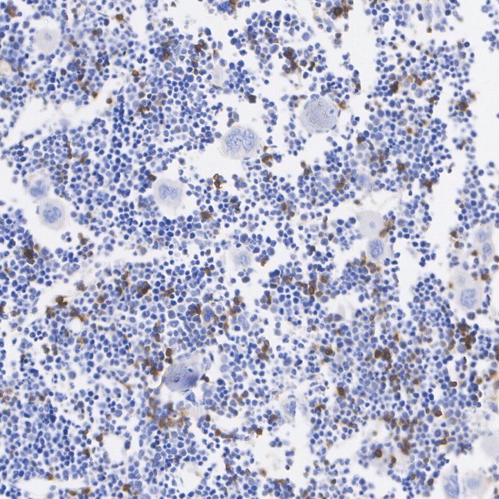
HA750225_4.jpg Fig4: Immunohistochemical analysis of paraffin-embedded mouse spleen tissue with Rabbit anti-STAT5a antibody (HA750225) at 1/1,000 dilution.

The section was pre-treated using heat mediated antigen retrieval with sodium citrate buffer (pH 6.0) (high pressure) for 2 minutes. The tissues were blocked in 1% BSA for 20 minutes at room temperature, washed with ddH2O and PBS, and then probed with the primary antibody (HA750225) at 1/1,000 dilution for 1 hour at room temperature. The detection was performed using an HRP conjugated compact polymer system. DAB was used as the chromogen. Tissues were counterstained with hematoxylin and mounted with DPX.
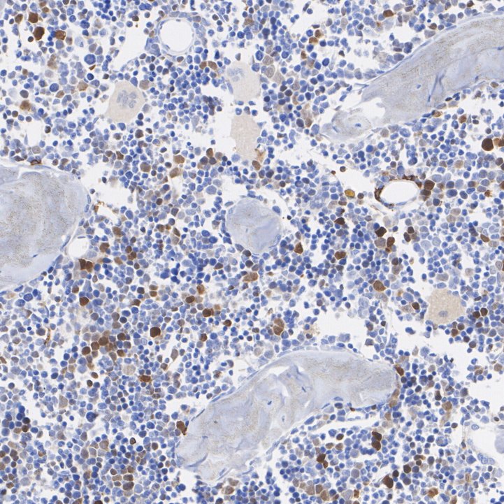
HA750225_5.jpg Fig5: Immunohistochemical analysis of paraffin-embedded rat bone tissue with Rabbit anti-STAT5a antibody (HA750225) at 1/1,000 dilution.

The section was pre-treated using heat mediated antigen retrieval with sodium citrate buffer (pH 6.0) (high pressure) for 2 minutes. The tissues were blocked in 1% BSA for 20 minutes at room temperature, washed with ddH2O and PBS, and then probed with the primary antibody (HA750225) at 1/1,000 dilution for 1 hour at room temperature. The detection was performed using an HRP conjugated compact polymer system. DAB was used as the chromogen. Tissues were counterstained with hematoxylin and mounted with DPX.
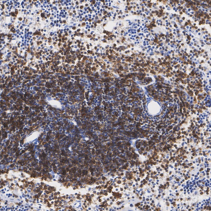
HA750225_6.jpg Fig6: Immunohistochemical analysis of paraffin-embedded rat spleen tissue with Rabbit anti-STAT5a antibody (HA750225) at 1/1,000 dilution.

The section was pre-treated using heat mediated antigen retrieval with sodium citrate buffer (pH 6.0) (high pressure) for 2 minutes. The tissues were blocked in 1% BSA for 20 minutes at room temperature, washed with ddH2O and PBS, and then probed with the primary antibody (HA750225) at 1/1,000 dilution for 1 hour at room temperature. The detection was performed using an HRP conjugated compact polymer system. DAB was used as the chromogen. Tissues were counterstained with hematoxylin and mounted with DPX.
HA750225_7.jpg Fig7: Immunohistochemical analysis of paraffin-embedded human tonsil tissue using anti-STAT5a antibody. The section was pre-treated using heat mediated antigen retrieval with Tris-EDTA buffer (pH 8.0-8.4) for 20 minutes.The tissues were blocked in 5% BSA for 30 minutes at room temperature, washed with ddH2O and PBS, and then probed with the primary antibody (HA750225, 1/50) for 30 minutes at room temperature. The detection was performed using an HRP conjugated compact polymer system. DAB was used as the chromogen. Tissues were counterstained with hematoxylin and mounted with DPX.
HA750225_8.jpg Fig8: ICC staining of STAT5a in Hela cells (green). Formalin fixed cells were permeabilized with 0.1% Triton X-100 in TBS for 10 minutes at room temperature and blocked with 1% Blocker BSA for 15 minutes at room temperature. Cells were probed with the primary antibody (HA750225, 1/50) for 1 hour at room temperature, washed with PBS. Alexa Fluor®488 Goat anti-Rabbit IgG was used as the secondary antibody at 1/1,000 dilution. The nuclear counter stain is DAPI (blue).
HA750225_9.jpg Fig9: ICC staining of STAT5a in C2C12 cells (green). Formalin fixed cells were permeabilized with 0.1% Triton X-100 in TBS for 10 minutes at room temperature and blocked with 1% Blocker BSA for 15 minutes at room temperature. Cells were probed with the primary antibody (HA750225, 1/50) for 1 hour at room temperature, washed with PBS. Alexa Fluor®488 Goat anti-Rabbit IgG was used as the secondary antibody at 1/1,000 dilution. The nuclear counter stain is DAPI (blue).
HA750225_10.jpg Fig10: Flow cytometric analysis of RAW264.7 cells labeling STAT5a.

Cells were fixed and permeabilized. Then stained with the primary antibody (HA750225, 1/1,000) (red) compared with Rabbit IgG Isotype Control (green). After incubation of the primary antibody at +4℃ for an hour, the cells were stained with a iFluor™ 488 conjugate-Goat anti-Rabbit IgG Secondary antibody (HA1121) at 1/1,000 dilution for 30 minutes at +4℃. Unlabelled sample was used as a control (cells without incubation with primary antibody; black).
HA750225_11.jpg Fig11: STAT5a was immunoprecipitated from 0.2 mg RAW264.7 cell lysate with HA750225 at 2 µg/10 µl beads. Western blot was performed from the immunoprecipitate using HA750225 at 1/1,000 dilution. HRP Conjugated Anti-Rabbit IgG for IP Nano-secondary antibody at 1/5,000 dilution was used for 1 hour at room temperature.

Lane 1: RAW264.7 cell lysate (input)
Lane 2: HA750225 IP in RAW264.7 cell lysate
Lane 3: Rabbit IgG instead of HA750225 in RAW264.7 cell lysate

Blocking/Dilution buffer: primary antibody dilution (K1803)
Exposure time: 46 seconds; ECL: K1801
Note: All products are “FOR RESEARCH USE ONLY AND ARE NOT INTENDED FOR DIAGNOSTIC OR THERAPEUTIC USE”.