Cytochrome C Recombinant Rabbit Monoclonal Antibody [SC69-08]
cat.: HA750226
Product Type: Recombinant Rabbit monoclonal IgG, primary antibodies
Species reactivity: Human, Mouse, Rat
Applications: WB, IF-Tissue, IHC-P, IP, IF-Cell
Clonality: Monoclonal
Clone number: SC69-08
Form: Liquid
Storage condition: Store at +4℃ after thawing. Aliquot store at -20℃ or -80℃. Avoid repeated freeze / thaw cycles.
Storage buffer: 1*PBS (pH7.4).
Concentration: 1ug/ul
Purification: Protein A affinity purified.
Molecular weight: Predicted band size: 12 kDa
Isotype: IgG
Immunogen: Synthetic peptide within human Cytochrome C aa 20-60.
Positive control: HeLa cell lysate, C6 cell lysate, Mouse brain tissue lysate, Mouse kidney tissue lysate, Rat brain tissue lysate, Rat kidney tissue lysate, Jurkat cell lysate, Human kidney tissue lysate, C6, human kidney tissue, mouse liver tissue, mouse kidney tissue, rat brain tissue.
Subcellular location: Mitochondrion intermembrane space.
Recommended Dilutions:
  WB
  IF-Tissue
  IHC-P
  IP
  IF-Cell

1:2,000
1:50-1:100
1:1,000-1:5,000
Use at an assay dependent concentration.
1:100
Uniprot #: SwissProt: P99999 Human | P62897 Mouse | P62898 Rat
Alternative names: CYC CYC_HUMAN CYCS Cytochrome c Cytochrome c somatic HCS THC4
Images
HA750226_1.jpg Fig1: Western blot analysis of Cytochrome C on different lysates with Rabbit anti-Cytochrome C antibody (HA750226) at 1/2,000 dilution.

Lane 1: HeLa cell lysate (10 µg/Lane)
Lane 2: C6 cell lysate (10 µg/Lane)
Lane 3: Mouse brain tissue lysate (20 µg/Lane)
Lane 4: Mouse kidney tissue lysate (20 µg/Lane)
Lane 5: Rat brain tissue lysate (20 µg/Lane)
Lane 6: Rat kidney tissue lysate (20 µg/Lane)

Predicted band size: 12 kDa
Observed band size: 12 kDa

Exposure time: 4 seconds; ECL: K1801;

4-20% SDS-PAGE gel.

Proteins were transferred to a PVDF membrane and blocked with 5% NFDM/TBST for 1 hour at room temperature. The primary antibody (HA750226) at 1/2,000 dilution was used in 5% NFDM/TBST at 4℃ overnight. Goat Anti-Rabbit IgG - HRP Secondary Antibody (HA1001) at 1/50,000 dilution was used for 1 hour at room temperature.
HA750226_2.jpg Fig2: Western blot analysis of Cytochrome C on different lysates with Rabbit anti-Cytochrome C antibody (HA750226) at 1/2,000 dilution.

Lane 1: HeLa cell lysate (15 µg/Lane)
Lane 2: Jurkat cell lysate (15 µg/Lane)
Lane 3: C6 cell lysate (15 µg/Lane)
Lane 4: Human kidney tissue lysate (20 µg/Lane)
Lane 5: Mouse brain tissue lysate (20 µg/Lane)
Lane 6: Rat brain tissue lysate (20 µg/Lane)

Predicted band size: 12 kDa
Observed band size: 12 kDa

Exposure time: 3 minutes; ECL: K1801;
4-20% SDS-PAGE gel.

Proteins were transferred to a PVDF membrane and blocked with 5% NFDM/TBST for 1 hour at room temperature. The primary antibody (HA750226) at 1/2,000 dilution was used in 5% NFDM/TBST at 4℃ overnight. Goat Anti-Rabbit IgG - HRP Secondary Antibody (HA1001) at 1/50,000 dilution was used for 1 hour at room temperature.
HA750226_3.jpg Fig3: Immunocytochemistry analysis of C6 cells labeling Cytochrome C with Rabbit anti-Cytochrome C antibody (HA750226) at 1/100 dilution.

Cells were fixed in 4% paraformaldehyde for 20 minutes at room temperature, permeabilized with 0.1% Triton X-100 in PBS for 5 minutes at room temperature, then blocked with 1% BSA in 10% negative goat serum for 1 hour at room temperature. Cells were then incubated with Rabbit anti-Cytochrome C antibody (HA750226) at 1/100 dilution in 1% BSA in PBST overnight at 4 ℃. Goat Anti-Rabbit IgG H&L (iFluor™ 488, HA1121) was used as the secondary antibody at 1/1,000 dilution. PBS instead of the primary antibody was used as the secondary antibody only control. Nuclear DNA was labelled in blue with DAPI.

Beta tubulin (M1305-2, red) was stained at 1/100 dilution overnight at +4℃. Goat Anti-Mouse IgG H&L (iFluor™ 594, HA1126) was used as the secondary antibody at 1/1,000 dilution.
HA750226_4.jpg Fig4: Immunohistochemical analysis of paraffin-embedded human kidney tissue with Rabbit anti-Cytochrome C antibody (HA750226) at 1/5,000 dilution.

The section was pre-treated using heat mediated antigen retrieval with Tris-EDTA buffer (pH 9.0) for 20 minutes. The tissues were blocked in 1% BSA for 20 minutes at room temperature, washed with ddH2O and PBS, and then probed with the primary antibody (HA750226) at 1/5,000 dilution for 1 hour at room temperature. The detection was performed using an HRP conjugated compact polymer system. DAB was used as the chromogen. Tissues were counterstained with hematoxylin and mounted with DPX.
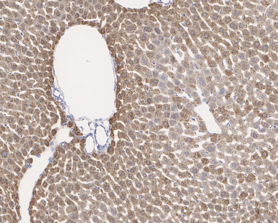
HA750226_5.jpg Fig5: Immunohistochemical analysis of paraffin-embedded mouse liver tissue with Rabbit anti-Cytochrome C antibody (HA750226) at 1/5,000 dilution.

The section was pre-treated using heat mediated antigen retrieval with Tris-EDTA buffer (pH 9.0) for 20 minutes. The tissues were blocked in 1% BSA for 20 minutes at room temperature, washed with ddH2O and PBS, and then probed with the primary antibody (HA750226) at 1/5,000 dilution for 1 hour at room temperature. The detection was performed using an HRP conjugated compact polymer system. DAB was used as the chromogen. Tissues were counterstained with hematoxylin and mounted with DPX.
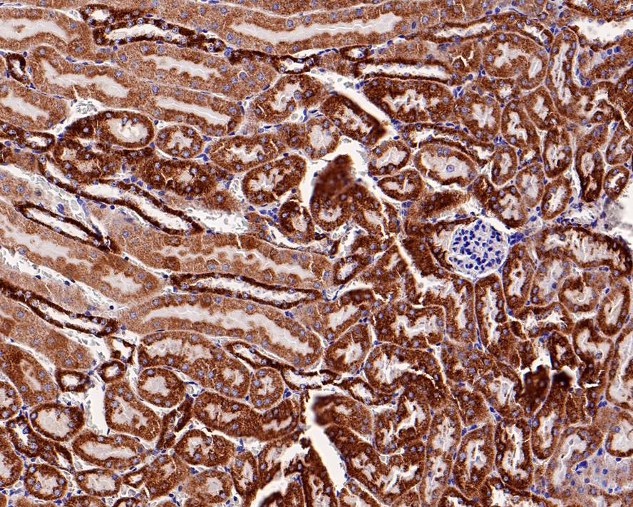
HA750226_6.jpg Fig6: Immunohistochemical analysis of paraffin-embedded mouse kidney tissue with Rabbit anti-Cytochrome C antibody (HA750226) at 1/1,000 dilution.

The section was pre-treated using heat mediated antigen retrieval with Tris-EDTA buffer (pH 9.0) for 20 minutes. The tissues were blocked in 1% BSA for 20 minutes at room temperature, washed with ddH2O and PBS, and then probed with the primary antibody (HA750226) at 1/1,000 dilution for 1 hour at room temperature. The detection was performed using an HRP conjugated compact polymer system. DAB was used as the chromogen. Tissues were counterstained with hematoxylin and mounted with DPX.
HA750226_7.jpg Fig7: Immunohistochemical analysis of paraffin-embedded rat brain tissue with Rabbit anti-Cytochrome C antibody (HA750226) at 1/1,000 dilution.

The section was pre-treated using heat mediated antigen retrieval with Tris-EDTA buffer (pH 9.0) for 20 minutes. The tissues were blocked in 1% BSA for 20 minutes at room temperature, washed with ddH2O and PBS, and then probed with the primary antibody (HA750226) at 1/1,000 dilution for 1 hour at room temperature. The detection was performed using an HRP conjugated compact polymer system. DAB was used as the chromogen. Tissues were counterstained with hematoxylin and mounted with DPX.
Note: All products are “FOR RESEARCH USE ONLY AND ARE NOT INTENDED FOR DIAGNOSTIC OR THERAPEUTIC USE”.