Mast Cell Tryptase Recombinant Rabbit Monoclonal Antibody [SC68-07]
cat.: HA750229
Product Type: Recombinant Rabbit monoclonal IgG, primary antibodies
Species reactivity: Human, Mouse
Applications: WB, IHC-P, IP, IF-Tissue
Clonality: Monoclonal
Clone number: SC68-07
Form: Liquid
Storage condition: Store at +4℃ after thawing. Aliquot store at -20℃ or -80℃. Avoid repeated freeze / thaw cycles.
Storage buffer: 1*PBS (pH7.4).
Concentration: 1ug/ul
Purification: Protein A affinity purified.
Molecular weight: Predicted band size: 30 kDa
Isotype: IgG
Immunogen: Recombinant protein within Human Mast Cell Tryptase aa 10-275 / 275.
Positive control: Human lung tissue lysates, mouse skin tissue lysates, human lung tissue, human tonsil tissue, human small intestine tissue, human prostate carcinoma tissue.
Subcellular location: Secreted.
Recommended Dilutions:
  WB
  IHC-P
  IP
  IF-Tissue

1:1,000
1:5,000-1:10,000
Use at an assay dependent concentration.
1:1,000
Uniprot #: SwissProt: Q15661 Human | Q02844 Mouse
Alternative names: alpha II Lung tryptase Mast cell alpha II tryptase Mast cell beta I tryptase Mast cell protease 7 Mast cell protease II MCP 7 Pituitary tryptase Skin tryptase TPS 1 TPS1 TPS2 TPSAB1 TPSAB1 protein TPSB1 Tryptase 1 Tryptase alpha 1 tryptase alpha I included Tryptase alpha II tryptase alpha II included tryptase alpha included tryptase alpha/beta 1 Tryptase beta 1 tryptase beta I included Tryptase I tryptase I included Tryptase III Tryptase skin
Images
HA750229_1.jpg Fig1: Western blot analysis of Mast Cell Tryptase on different lysates with Rabbit anti-Mast Cell Tryptase antibody (HA750229) at 1/1,000 dilution.

Lane 1: Human lung tissue lysate
Lane 2: Mouse skin tissue lysate

Lysates/proteins at 40 µg/Lane.

Predicted band size: 30 kDa
Observed band size: 35 kDa

Exposure time: 59 seconds; ECL: K1801;

4-20% SDS-PAGE gel.

Proteins were transferred to a PVDF membrane and blocked with 5% NFDM/TBST for 1 hour at room temperature. The primary antibody (HA750229) at 1/1,000 dilution was used in 5% NFDM/TBST at 4℃ overnight. Goat Anti-Rabbit IgG - HRP Secondary Antibody (HA1001) at 1/50,000 dilution was used for 1 hour at room temperature.
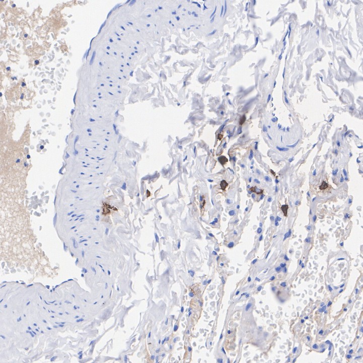
HA750229_2.jpg Fig2: Immunohistochemical analysis of paraffin-embedded human lung tissue with Rabbit anti-Mast Cell Tryptase antibody (HA750229) at 1/10,000 dilution.

The section was pre-treated using heat mediated antigen retrieval with Tris-EDTA buffer (pH 9.0) for 20 minutes. The tissues were blocked in 1% BSA for 20 minutes at room temperature, washed with ddH2O and PBS, and then probed with the primary antibody (HA750229) at 1/10,000 dilution for 1 hour at room temperature. The detection was performed using an HRP conjugated compact polymer system. DAB was used as the chromogen. Tissues were counterstained with hematoxylin and mounted with DPX.
HA750229_3.jpg Fig3: Application: Immunofluorescence (IF-tissue)

Species: Human
Tissue: Lung
Sample: Paraffin-embedded section

Antigen retrieval: Heat-mediated, Tris-EDTA buffer (pH 9.0), 20 minutes at 95℃.

Wash buffer: 1× TBST
Blocking: 10% normal goat serum + 1% Triton X-100 + 0.3 M Glycine in TBST, 30 minutes at room temperature.
Primary antibody: HA750229, 1/1,000, overnight at 4℃.
Secondary antibody: Goat Anti-Rabbit IgG (iFluor™ 488, HA1121), 1.5 hours at room temperature.
Note: All products are “FOR RESEARCH USE ONLY AND ARE NOT INTENDED FOR DIAGNOSTIC OR THERAPEUTIC USE”.