Cytokeratin 1 Recombinant Rabbit Monoclonal Antibody [SN72-08]
cat.: HA750256
Product Type: Recombinant Rabbit monoclonal IgG, primary antibodies
Species reactivity: Human, Mouse, Rat
Applications: WB, IHC-P, IF-Tissue
Clonality: Monoclonal
Clone number: SN72-08
Form: Liquid
Storage condition: Store at +4℃ after thawing. Aliquot store at -20℃ or -80℃. Avoid repeated freeze / thaw cycles.
Storage buffer: 1*PBS (pH7.4).
Concentration: 1ug/ul
Purification: Protein A affinity purified.
Molecular weight: Predicted band size: 66 kDa
Isotype: IgG
Immunogen: Synthetic peptide within mouse Cytokeratin 1 aa 586-637 / 637.
Positive control: Mouse skin tissue lysate, Rat skin tissue lysate, Hela cell lysate, 293T cell lysate, human skin tissue, rat skin tissue, mouse skin tissue.
Subcellular location: Cell membrane, Cytoplasm.
Recommended Dilutions:
  WB
  IHC-P
  IF-Tissue

1:500-1:1,000
1:400-1:1,500
1:200
Uniprot #: SwissProt: P04264 Human | P04104 Mouse | Q6IMF3 Rat
Alternative names: 67 kDa cytokeratin CK-1 CK1 Cytokeratin-1 Cytokeratin1 EHK EHK1 Epidermolytic hyperkeratosis 1 EPPK Hair alpha protein K1 K2C1_HUMAN Keratin Keratin type II cytoskeletal 1 Keratin-1 Keratin1 KRT 1 Krt1 KRT1A NEPPK type II cytoskeletal 1 Type II keratin Kb1 Type-II keratin Kb1
Images
HA750256_1.jpg Fig1: Western blot analysis of Cytokeratin 1 on different lysates with Rabbit anti-Cytokeratin 1 antibody (HA750256) at 1/1,000 dilution.

Lane 1: Mouse skin tissue lysate (RIPA lysis)
Lane 2: Mouse skin tissue lysate (hot lysis)
Lane 3: Rat skin tissue lysate (RIPA lysis)
Lane 4: Rat skin tissue lysate (hot lysis)

Lysates/proteins at 40 µg/Lane.

Predicted band size: 66 kDa
Observed band size: 66 kDa

Exposure time: 6 seconds; ECL: K1801;

4-20% SDS-PAGE gel.

Proteins were transferred to a PVDF membrane and blocked with 5% NFDM/TBST for 1 hour at room temperature. The primary antibody (HA750256) at 1/1,000 dilution was used in 5% NFDM/TBST at 4℃ overnight. Goat Anti-Rabbit IgG - HRP Secondary Antibody (HA1001) at 1/50,000 dilution was used for 1 hour at room temperature.
HA750256_2.jpg Fig2: Western blot analysis of Cytokeratin 1 on different lysates. Proteins were transferred to a PVDF membrane and blocked with 5% BSA in PBS for 1 hour at room temperature. The primary antibody (HA750256, 1/500) was used in 5% BSA at room temperature for 2 hours. Goat Anti-Rabbit IgG - HRP Secondary Antibody (HA1001) at 1:5,000 dilution was used for 1 hour at room temperature.
Positive control:
Lane 1: Hela cell lysate
Lane 2: 293T cell lysate
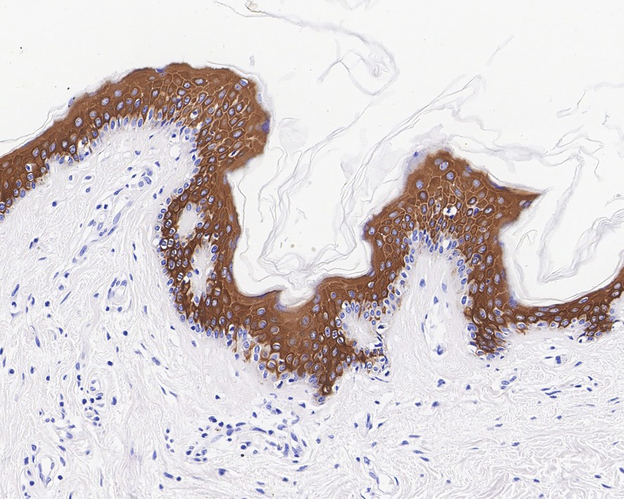
HA750256_3.jpg Fig3: Immunohistochemical analysis of paraffin-embedded human skin tissue with Rabbit anti-Cytokeratin 1 antibody (HA750256) at 1/1,500 dilution.

The section was pre-treated using heat mediated antigen retrieval with Tris-EDTA buffer (pH 9.0) for 20 minutes. The tissues were blocked in 1% BSA for 20 minutes at room temperature, washed with ddH2O and PBS, and then probed with the primary antibody (HA750256) at 1/1,500 dilution for 1 hour at room temperature. The detection was performed using an HRP conjugated compact polymer system. DAB was used as the chromogen. Tissues were counterstained with hematoxylin and mounted with DPX.
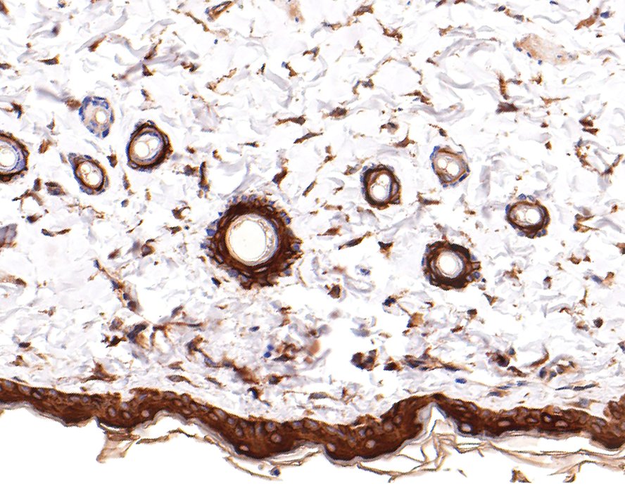
HA750256_4.jpg Fig4: Immunohistochemical analysis of paraffin-embedded human skin tissue with Rabbit anti-Cytokeratin 1 antibody (HA750256) at 1/1,500 dilution.

The section was not undergone antigen retrieval. The tissues were blocked in 1% BSA for 20 minutes at room temperature, washed with ddH2O and PBS, and then probed with the primary antibody (HA750256) at 1/1,500 dilution for 1 hour at room temperature. The detection was performed using an HRP conjugated compact polymer system. DAB was used as the chromogen. Tissues were counterstained with hematoxylin and mounted with DPX.
HA750256_5.jpg Fig5: Immunofluorescence analysis of paraffin-embedded human skin tissue labeling Cytokeratin 1 (HA750256) and Vimentin (EM0401).

The section was pre-treated using heat mediated antigen retrieval with Tris-EDTA buffer (pH 9.0) for 20 minutes. The tissues were blocked in 10% negative goat serum for 1 hour at room temperature, washed with PBS. And then probed with the primary antibodies Cytokeratin 1 (ET1611-46, red) at 1/200 dilution and Vimentin (EM0401, green) at 1/200 dilution at +4℃ overnight, washed with PBS.

Goat Anti-Rabbit IgG H&L (iFluor™ 594, HA1122) and Goat Anti-Mouse IgG H&L (iFluor™ 488, HA1125) were used as the secondary antibodies at 1/1,000 dilution. Nuclei were counterstained with DAPI (blue).
HA750256_6.jpg Fig6: Immunohistochemical analysis of paraffin-embedded rat skin tissue with Rabbit anti-Cytokeratin 1 antibody (HA750256) at 1/400 dilution.

The section was pre-treated using heat mediated antigen retrieval with Tris-EDTA buffer (pH 9.0) for 20 minutes. The tissues were blocked in 1% BSA for 20 minutes at room temperature, washed with ddH2O and PBS, and then probed with the primary antibody (HA750256) at 1/400 dilution for 1 hour at room temperature. The detection was performed using an HRP conjugated compact polymer system. DAB was used as the chromogen. Tissues were counterstained with hematoxylin and mounted with DPX.
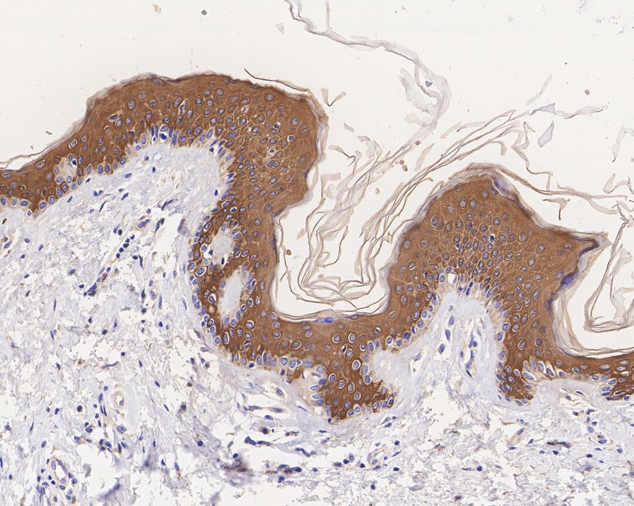
HA750256_7.jpg Fig7: Immunohistochemical analysis of paraffin-embedded mouse skin tissue using anti-Cytokeratin 1 antibody. The section was pre-treated using heat mediated antigen retrieval with Tris-EDTA buffer (pH 8.0-8.4) for 20 minutes.The tissues were blocked in 5% BSA for 30 minutes at room temperature, washed with ddH2O and PBS, and then probed with the primary antibody (HA750256, 1/50) for 30 minutes at room temperature. The detection was performed using an HRP conjugated compact polymer system. DAB was used as the chromogen. Tissues were counterstained with hematoxylin and mounted with DPX.
Note: All products are “FOR RESEARCH USE ONLY AND ARE NOT INTENDED FOR DIAGNOSTIC OR THERAPEUTIC USE”.