IRF5 Recombinant Rabbit Monoclonal Antibody [SN201-05]
cat.: HA750277
Product Type: Recombinant Rabbit monoclonal IgG, primary antibodies
Species reactivity: Human
Applications: WB, IHC-P, FC
Clonality: Monoclonal
Clone number: SN201-05
Form: Liquid
Storage condition: Store at +4℃ after thawing. Aliquot store at -20℃ or -80℃. Avoid repeated freeze / thaw cycles.
Storage buffer: 1*PBS (pH7.4).
Concentration: 1ug/ul
Purification: Protein A affinity purified.
Molecular weight: Predicted band size: 56 kDa
Isotype: IgG
Immunogen: Synthetic peptide within human IRF5 aa 110-170.
Positive control: THP-1 cell lysate, U-937 cell lysate, human breast cancer tissue, human tonsil tissue, THP-1.
Subcellular location: Cytoplasm, Nucleus.
Recommended Dilutions:
  WB
  IHC-P
  FC

1:1,000-1:5,000
1:200-1:1,000
1:1,000
Uniprot #: SwissProt: Q13568 Human
Alternative names: Interferon regulatory factor 5 Interferon regulatory factor 5 bone marrow variant IRF 5 IRF-5 Irf5 IRF5_HUMAN SLEB10
Images
HA750277_1.jpg Fig1: Western blot analysis of IRF5 on different lysates with Rabbit anti-IRF5 antibody (HA750277) at 1/1,000 dilution.

Lane 1: THP-1 cell lysate
Lane 2: U-937 cell lysate

Lysates/proteins at 30 µg/Lane.

Predicted band size: 56 kDa
Observed band size: 56 kDa

Exposure time: Lane 1: 10 seconds; Lane 2: 3 minutes; ECL: K1801;

4-20% SDS-PAGE gel.

Proteins were transferred to a PVDF membrane and blocked with 5% NFDM/TBST for 1 hour at room temperature. The primary antibody (HA750277) at 1/1,000 dilution was used in 5% NFDM/TBST at 4℃ overnight. Goat Anti-Rabbit IgG - HRP Secondary Antibody (HA1001) at 1/50,000 dilution was used for 1 hour at room temperature.
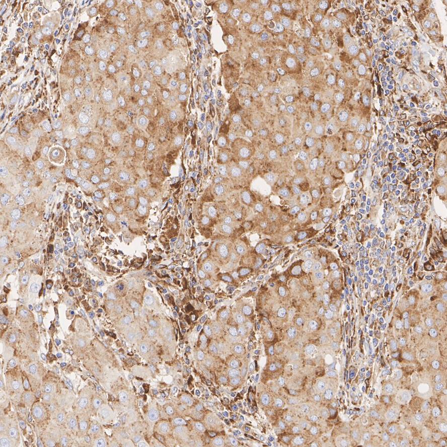
HA750277_2.jpg Fig2: Immunohistochemical analysis of paraffin-embedded human breast cancer tissue with Rabbit anti-IRF5 antibody (HA750277) at 1/1,000 dilution.

The section was pre-treated using heat mediated antigen retrieval with Tris-EDTA buffer (pH 9.0) for 20 minutes. The tissues were blocked in 1% BSA for 20 minutes at room temperature, washed with ddH2O and PBS, and then probed with the primary antibody (HA750277) at 1/1,000 dilution for 1 hour at room temperature. The detection was performed using an HRP conjugated compact polymer system. DAB was used as the chromogen. Tissues were counterstained with hematoxylin and mounted with DPX.
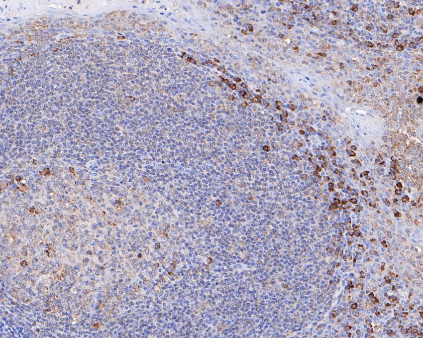
HA750277_3.jpg Fig3: Immunohistochemical analysis of paraffin-embedded human tonsil tissue using anti-IRF5 antibody. The section was pre-treated using heat mediated antigen retrieval with sodium citrate buffer (pH 6.0) (high pressure) for 2 minutes. The tissues were blocked in 5% BSA for 30 minutes at room temperature, washed with ddH2O and PBS, and then probed with the primary antibody (HA750277, 1/200) for 30 minutes at room temperature. The detection was performed using an HRP conjugated compact polymer system. DAB was used as the chromogen. Tissues were counterstained with hematoxylin and mounted with DPX.
HA750277_4.jpg Fig4: Flow cytometric analysis of THP-1 cells labeling IRF5.

Cells were fixed and permeabilized. Then stained with the primary antibody (HA750277, 1/1,000) (red) compared with Rabbit IgG Isotype Control (green). After incubation of the primary antibody at +4℃ for an hour, the cells were stained with a iFluor™ 488 conjugate-Goat anti-Rabbit IgG Secondary antibody (HA1121) at 1/1,000 dilution for 30 minutes at +4℃. Unlabelled sample was used as a control (cells without incubation with primary antibody; black).
Note: All products are “FOR RESEARCH USE ONLY AND ARE NOT INTENDED FOR DIAGNOSTIC OR THERAPEUTIC USE”.