Ret Recombinant Rabbit Monoclonal Antibody [SN20-28]
cat.: HA750280
Product Type: Recombinant Rabbit monoclonal IgG, primary antibodies
Species reactivity: Human, Mouse, Rat
Applications: WB, IF-Cell, IF-Tissue, IHC-P, IP, FC
Clonality: Monoclonal
Clone number: SN20-28
Form: Liquid
Storage condition: Store at +4℃ after thawing. Aliquot store at -20℃ or -80℃. Avoid repeated freeze / thaw cycles.
Storage buffer: 1*PBS (pH7.4).
Concentration: 1ug/ul
Purification: Protein A affinity purified.
Molecular weight: Predicted band size: 124 kDa
Isotype: IgG
Immunogen: Synthetic peptide within Human Ret aa 1,065-1,114 / 1,114.
Positive control: THP-1 cell lysate, PC-12 cell lysate, AGS, MCF-7, SW480, human prostate tissue, mouse testis tissue, rat adrenal gland tissue, rat small intestine.
Subcellular location: Cell membrane, Endosome membrane.
Recommended Dilutions:
  WB
  IF-Cell
  IF-Tissue
  IHC-P
  FC
  IP

1:500-1:2,000
1:100-1:500
1:100-1:500
1:500
1:50-1:100
Use at an assay dependent concentration.
Uniprot #: SwissProt: P07949 Human | P35546 Mouse | G3V9H8 Rat
Alternative names: C ret Cadherin family member 12 Cadherin related family member 16 CDHF 12 CDHF12 CDHR16 ELKS Fusion gene HSCR 1 HSCR1 Hydroxyaryl protein kinase MEN2A MEN2B MTC 1 MTC1 Multiple endocrine neoplasia and medullary thyroid carcinoma 1 Oncogene RET Proto oncogene tyrosine protein kinase receptor ret Proto-oncogene c-Ret Proto-oncogene tyrosine-protein kinase receptor ret PTC RET RET ELE1 Ret Proto oncogene RET transforming sequence RET_HUMAN RET51 RET9 tyrosine-protein kinase receptor ret
Images
HA750280_1.jpg Fig1: Western blot analysis of Ret on different lysates with Rabbit anti-Ret antibody (HA750280) at 1/2,000 dilution.

Lane 1: THP-1 cell lysate
Lane 2: PC-12 cell lysate

Lysates/proteins at 20 µg/Lane.

Predicted band size: 124 kDa
Observed band size: 150 kDa

Exposure time: 3 minutes; ECL: K1801;

4-20% SDS-PAGE gel.

Proteins were transferred to a PVDF membrane and blocked with 5% NFDM/TBST for 1 hour at room temperature. The primary antibody (HA750280) at 1/2,000 dilution was used in 5% NFDM/TBST at 4℃ overnight. Goat Anti-Rabbit IgG - HRP Secondary Antibody (HA1001) at 1/50,000 dilution was used for 1 hour at room temperature.
HA750280_2.jpg Fig2: ICC staining of Ret in AGS cells (green). Formalin fixed cells were permeabilized with 0.1% Triton X-100 in TBS for 10 minutes at room temperature and blocked with 1% Blocker BSA for 15 minutes at room temperature. Cells were probed with the primary antibody (HA750280, 1/50) for 1 hour at room temperature, washed with PBS. Alexa Fluor®488 Goat anti-Rabbit IgG was used as the secondary antibody at 1/1,000 dilution. The nuclear counter stain is DAPI (blue).
HA750280_3.jpg Fig3: ICC staining of Ret in MCF-7 cells (green). Formalin fixed cells were permeabilized with 0.1% Triton X-100 in TBS for 10 minutes at room temperature and blocked with 1% Blocker BSA for 15 minutes at room temperature. Cells were probed with the primary antibody (HA750280, 1/50) for 1 hour at room temperature, washed with PBS. Alexa Fluor®488 Goat anti-Rabbit IgG was used as the secondary antibody at 1/1,000 dilution. The nuclear counter stain is DAPI (blue).
HA750280_4.jpg Fig4: ICC staining of Ret in SW480 cells (green). Formalin fixed cells were permeabilized with 0.1% Triton X-100 in TBS for 10 minutes at room temperature and blocked with 1% Blocker BSA for 15 minutes at room temperature. Cells were probed with the primary antibody (HA750280, 1/50) for 1 hour at room temperature, washed with PBS. Alexa Fluor®488 Goat anti-Rabbit IgG was used as the secondary antibody at 1/1,000 dilution. The nuclear counter stain is DAPI (blue).
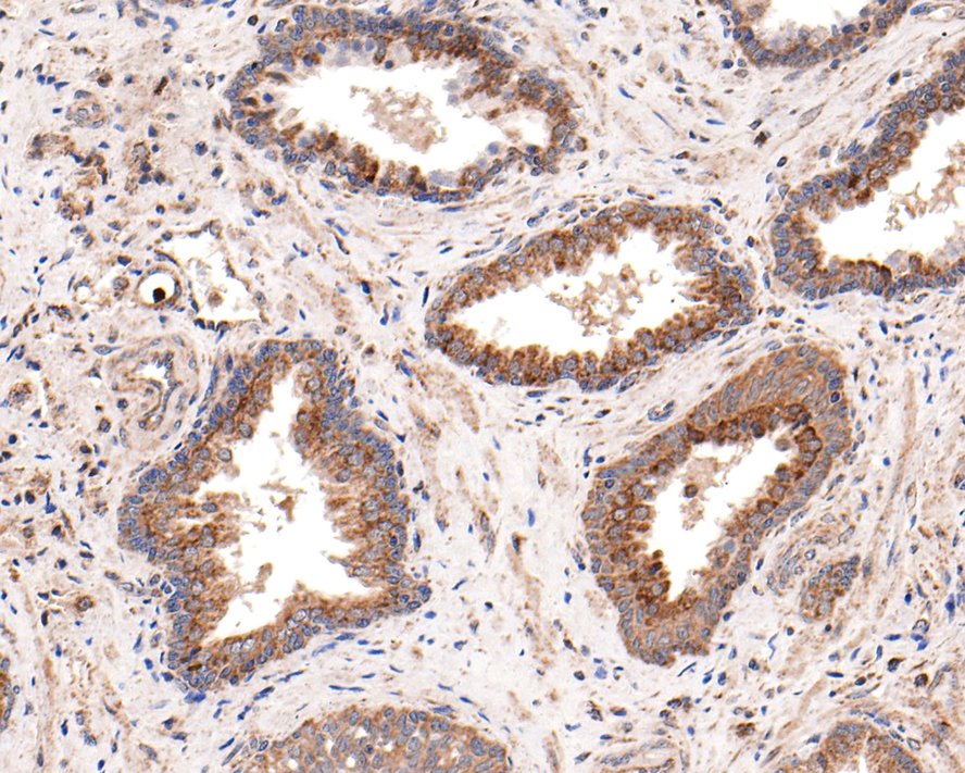
HA750280_5.jpg Fig5: Immunohistochemical analysis of paraffin-embedded human prostate tissue with Rabbit anti-Ret antibody (HA750280) at 1/500 dilution.

The section was pre-treated using heat mediated antigen retrieval with Tris-EDTA buffer (pH 9.0) for 20 minutes. The tissues were blocked in 1% BSA for 20 minutes at room temperature, washed with ddH2O and PBS, and then probed with the primary antibody (HA750280) at 1/500 dilution for 1 hour at room temperature. The detection was performed using an HRP conjugated compact polymer system. DAB was used as the chromogen. Tissues were counterstained with hematoxylin and mounted with DPX.
HA750280_6.jpg Fig6: Immunohistochemical analysis of paraffin-embedded mouse testis tissue with Rabbit anti-Ret antibody (HA750280) at 1/500 dilution.

The section was pre-treated using heat mediated antigen retrieval with Tris-EDTA buffer (pH 9.0) for 20 minutes. The tissues were blocked in 1% BSA for 20 minutes at room temperature, washed with ddH2O and PBS, and then probed with the primary antibody (HA750280) at 1/500 dilution for 1 hour at room temperature. The detection was performed using an HRP conjugated compact polymer system. DAB was used as the chromogen. Tissues were counterstained with hematoxylin and mounted with DPX.
HA750280_7.jpg Fig7: Immunohistochemical analysis of paraffin-embedded rat adrenal gland tissue with Rabbit anti-Ret antibody (HA750280) at 1/500 dilution.

The section was pre-treated using heat mediated antigen retrieval with Tris-EDTA buffer (pH 9.0) for 20 minutes. The tissues were blocked in 1% BSA for 20 minutes at room temperature, washed with ddH2O and PBS, and then probed with the primary antibody (ET1611-98) at 1/500 dilution for 1 hour at room temperature. The detection was performed using an HRP conjugated compact polymer system. DAB was used as the chromogen. Tissues were counterstained with hematoxylin and mounted with DPX.
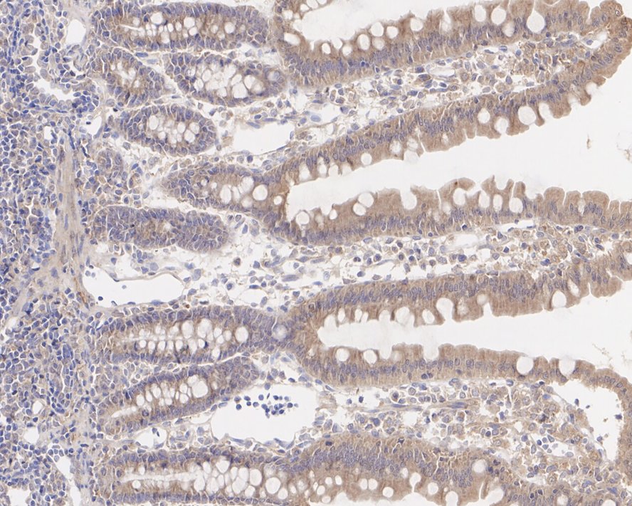
HA750280_8.jpg Fig8: Immunohistochemical analysis of paraffin-embedded rat small intestine with Rabbit anti-Ret antibody (HA750280) at 1/500 dilution.

The section was pre-treated using heat mediated antigen retrieval with Tris-EDTA buffer (pH 9.0) for 20 minutes. The tissues were blocked in 1% BSA for 20 minutes at room temperature, washed with ddH2O and PBS, and then probed with the primary antibody (ET1611-98) at 1/500 dilution for 1 hour at room temperature. The detection was performed using an HRP conjugated compact polymer system. DAB was used as the chromogen. Tissues were counterstained with hematoxylin and mounted with DPX.
HA750280_9.jpg Fig9: Flow cytometric analysis of Ret was done on SW480 cells. The cells were fixed, permeabilized and stained with the primary antibody (HA750280, 1/50) (red). After incubation of the primary antibody at room temperature for an hour, the cells were stained with a Alexa Fluor 488-conjugated Goat anti-Rabbit IgG Secondary antibody at 1/1000 dilution for 30 minutes.Unlabelled sample was used as a control (cells without incubation with primary antibody; black).
Note: All products are “FOR RESEARCH USE ONLY AND ARE NOT INTENDED FOR DIAGNOSTIC OR THERAPEUTIC USE”.