S100A4 Recombinant Rabbit Monoclonal Antibody [SD200-08]
cat.: HA750282
Product Type: Recombinant Rabbit monoclonal IgG, primary antibodies
Species reactivity: Human, Mouse, Rat
Applications: WB, IF-Cell, IF-Tissue, IHC-P, IP, FC
Clonality: Monoclonal
Clone number: SD200-08
Form: Liquid
Storage condition: Store at +4℃ after thawing. Aliquot store at -20℃ or -80℃. Avoid repeated freeze / thaw cycles.
Storage buffer: 1*PBS (pH7.4).
Concentration: 1ug/ul
Purification: Protein A affinity purified.
Molecular weight: Predicted band size: 12 kDa
Isotype: IgG
Immunogen: Recombinant protein within Human S100A4 aa 1-101 / 101.
Positive control: HeLa cell lysate, A549 cell lysate, RAW264.7 cell lysate, RAW264.7 treated with 100ng/mL LPS for 7 hours add 300ng/mL BFA for last 3 hours cell lysate, HeLa, human tonsil tissue, mouse lung tissue, Jurkat.
Subcellular location: Extracellular space, nucleus.
Recommended Dilutions:
  WB
  IF-Cell
  IF-Tissue
  IHC-P
  FC
  IP

1:1,000
1:100-1:200
1:200-1:500
1:500-1:1,000
1:50-1:100
Use at an assay dependent concentration.
Uniprot #: SwissProt: P26447 Human | P07091 Mouse | P05942 Rat
Alternative names: 18A2 42A calcium Placental protein Calvasculin CAPL Fibroblast specific protein 1 (FSP1) Fibroblast specific protein 1 Fibroblast specific protein FSP1 Leukemia multidrug resistance associated protein Malignant transformation suppression 1 (MTS1) Malignant transformation suppression 1 Metastasin MTS1 OTTHUMP00000015467 OTTHUMP00000015468 P9KA PEL98 Placental calcium-binding protein Protein Mts1 Protein S100 A4 Protein S100-A4 S100 calcium binding protein A4 (calcium protein, calvasculin, metastasin, murine placental homolog) S100 calcium binding protein A4 S100 calcium-binding protein A4 S100a4 S10A4_HUMAN
Images
HA750282_1.jpg Fig1: Western blot analysis of S100A4 on different lysates with Rabbit anti-S100A4 antibody (HA750282) at 1/1,000 dilution.

Lane 1: HeLa cell lysate
Lane 2: A549 cell lysate

Lysates/proteins at 20 µg/Lane.

Predicted band size: 12 kDa
Observed band size: 12 kDa

Exposure time: 3 minutes;

4-20% SDS-PAGE gel.

Proteins were transferred to a PVDF membrane and blocked with 5% NFDM/TBST for 1 hour at room temperature. The primary antibody (HA750282) at 1/1,000 dilution was used in 5% NFDM/TBST at 4℃ overnight. Goat Anti-Rabbit IgG - HRP Secondary Antibody (HA1001) at 1/50,000 dilution was used for 1 hour at room temperature.
HA750282_2.jpg Fig2: Western blot analysis of S100A4 on different lysates with Rabbit anti-S100A4 antibody (HA750282) at 1/1,000 dilution.

Lane 1: RAW264.7 cell lysate
Lane 2: RAW264.7 treated with 100ng/mL LPS for 7 hours add 300ng/mL BFA for last 3 hours cell lysate

Lysates/proteins at 20 µg/Lane.

Predicted band size: 12 kDa
Observed band size: 12 kDa

Exposure time: 20 seconds; ECL: K1801;

4-20% SDS-PAGE gel.

Proteins were transferred to a PVDF membrane and blocked with 5% NFDM/TBST for 1 hour at room temperature. The primary antibody (HA750282) at 1/1,000 dilution was used in primary antibody dilution (K1803) at 4℃ overnight. Goat Anti-Rabbit IgG - HRP Secondary Antibody (HA1001) at 1/50,000 dilution was used for 1 hour at room temperature.
HA750282_3.jpg Fig3: Immunocytochemistry analysis of HeLa cells labeling S100A4 with Rabbit anti-S100A4 antibody (HA750282) at 1/100 dilution.

Cells were fixed in 4% paraformaldehyde for 15 minutes at room temperature, permeabilized with 0.1% Triton X-100 in PBS for 15 minutes at room temperature, then blocked with 1% BSA in 10% negative goat serum for 1 hour at room temperature. Cells were then incubated with Rabbit anti-S100A4 antibody (HA750282) at 1/100 dilution in 1% BSA in PBST overnight at 4 ℃. Goat Anti-Rabbit IgG H&L (iFluor™ 488, HA1121) was used as the secondary antibody at 1/1,000 dilution. PBS instead of the primary antibody was used as the secondary antibody only control. Nuclear DNA was labelled in blue with DAPI.

Beta tubulin (M1305-2, red) was stained at 1/100 dilution overnight at +4℃. Goat Anti-Mouse IgG H&L (iFluor™ 594, HA1126) was used as the secondary antibody at 1/1,000 dilution.
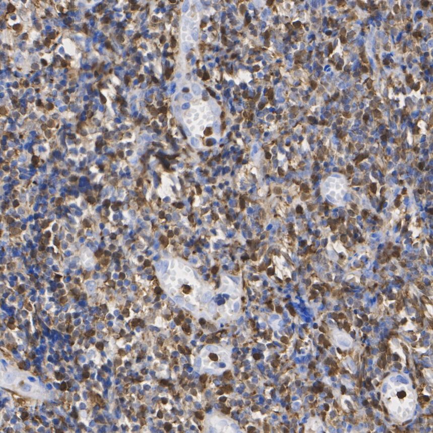
HA750282_4.jpg Fig4: Immunohistochemical analysis of paraffin-embedded human tonsil tissue with Rabbit anti-S100A4 antibody (HA750282) at 1/1,000 dilution.

The section was pre-treated using heat mediated antigen retrieval with Tris-EDTA buffer (pH 9.0) for 20 minutes. The tissues were blocked in 1% BSA for 20 minutes at room temperature, washed with ddH2O and PBS, and then probed with the primary antibody (HA750282) at 1/1,000 dilution for 1 hour at room temperature. The detection was performed using an HRP conjugated compact polymer system. DAB was used as the chromogen. Tissues were counterstained with hematoxylin and mounted with DPX.
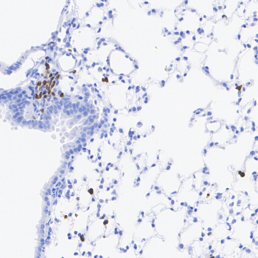
HA750282_5.jpg Fig5: Immunohistochemical analysis of paraffin-embedded mouse lung tissue with Rabbit anti-S100A4 antibody (HA750282) at 1/1,000 dilution.

The section was pre-treated using heat mediated antigen retrieval with Tris-EDTA buffer (pH 9.0) for 20 minutes. The tissues were blocked in 1% BSA for 20 minutes at room temperature, washed with ddH2O and PBS, and then probed with the primary antibody (HA750282) at 1/1,000 dilution for 1 hour at room temperature. The detection was performed using an HRP conjugated compact polymer system. DAB was used as the chromogen. Tissues were counterstained with hematoxylin and mounted with DPX.
HA750282_6.jpg Fig6: Flow cytometric analysis of S100A4 was done on Jurkat cells. The cells were fixed, permeabilized and stained with the primary antibody (HA750282, 1/50) (red). After incubation of the primary antibody at room temperature for an hour, the cells were stained with a Alexa Fluor®488 conjugate-Goat anti-Rabbit IgG Secondary antibody at 1/1000 dilution for 30 minutes.Unlabelled sample was used as a control (cells without incubation with primary antibody; black).
Note: All products are “FOR RESEARCH USE ONLY AND ARE NOT INTENDED FOR DIAGNOSTIC OR THERAPEUTIC USE”.