Histone H2B Recombinant Rabbit Monoclonal Antibody [SD20-63]
cat.: HA750287
Product Type: Recombinant Rabbit monoclonal IgG, primary antibodies
Species reactivity: Human, Mouse, Rat
Applications: WB, IF-Tissue, IHC-P, IP, ChIP
Clonality: Monoclonal
Clone number: SD20-63
Form: Liquid
Storage condition: Store at +4℃ after thawing. Aliquot store at -20℃ or -80℃. Avoid repeated freeze / thaw cycles.
Storage buffer: 1*PBS (pH7.4).
Concentration: 1ug/ul
Purification: Protein A affinity purified.
Molecular weight: Predicted band size: 14 kDa
Isotype: IgG
Immunogen: Synthetic peptide within human Histone H2B aa 110 to the C-terminus.
Positive control: Hela cell lysate, PC-12 cell lysate, human tonsil tissue, human liver tissue, mouse liver tissue, mouse testis tissue, mouse colon tissue, human breast carcinoma tissue
Subcellular location: Nucleus, Chromosome.
Recommended Dilutions:
  WB
  IF-Tissue
  IHC-P
  IP
  ChIP

1:500-1:2,000
1:100-1:500
1:50-1:5,000
Use at an assay dependent concentration.
Use 0.5~2 μg for 25 μg of chromatin.
Uniprot #: SwissProt: O60814 Human | P10854 Mouse | Q64475 Mouse | Q00729 Rat
Alternative names: H2B GL105 H2B histone family member O H2B histone family member S H2B.1 H2B.1 B H2B.b H2B.c H2B.d H2B.e H2B.f H2B.j H2B.q H2B/b H2B/c H2B/d H2B/e H2B/f H2B/j H2B/o H2B/q H2BFB H2BFC H2BFD H2BFE H2BFF H2BFJ H2BFO H2BFQ H2BFS HIRIP2 HIST1H2BB HIST1H2BD HIST1H2BH HIST1H2BL HIST1H2BM HIST1H2BN HIST2H2BE Histone H2B Histone H2B type 1 B Histone H2B type 1 D Histone H2B type 1 H Histone H2B type 1 L Histone H2B type 1 M Histone H2B type 1 N Histone H2B type 2 E histone protein
Images
HA750287_1.jpg Fig1: Western blot analysis of Histone H2B on different lysates. Proteins were transferred to a PVDF membrane and blocked with 5% BSA in PBS for 1 hour at room temperature. The primary antibody (HA750287, 1/500) was used in 5% BSA at room temperature for 2 hours. Goat Anti-Rabbit IgG - HRP Secondary Antibody (HA1001) at 1:5,000 dilution was used for 1 hour at room temperature.
Positive control:
Lane 1: Hela cell lysate
Lane 2: PC-12 cell lysate
HA750287_2.jpg Fig2: ICC staining of Histone H2B in A431 cells (green). Formalin fixed cells were permeabilized with 0.1% Triton X-100 in TBS for 10 minutes at room temperature and blocked with 1% Blocker BSA for 15 minutes at room temperature. Cells were probed with the primary antibody (HA750287, 1/50) for 1 hour at room temperature, washed with PBS. Alexa Fluor®488 Goat anti-Rabbit IgG was used as the secondary antibody at 1/1,000 dilution. The nuclear counter stain is DAPI (blue).
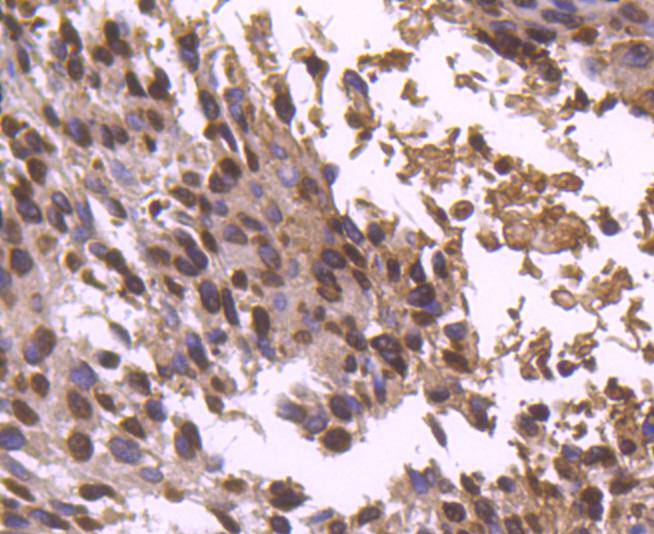
HA750287_3.jpg Fig3: Immunohistochemical analysis of paraffin-embedded human tonsil tissue using anti-Histone H2B antibody. The section was pre-treated using heat mediated antigen retrieval with Tris-EDTA buffer (pH 8.0-8.4) for 20 minutes.The tissues were blocked in 5% BSA for 30 minutes at room temperature, washed with ddH2O and PBS, and then probed with the primary antibody (HA750287, 1/50) for 30 minutes at room temperature. The detection was performed using an HRP conjugated compact polymer system. DAB was used as the chromogen. Tissues were counterstained with hematoxylin and mounted with DPX.
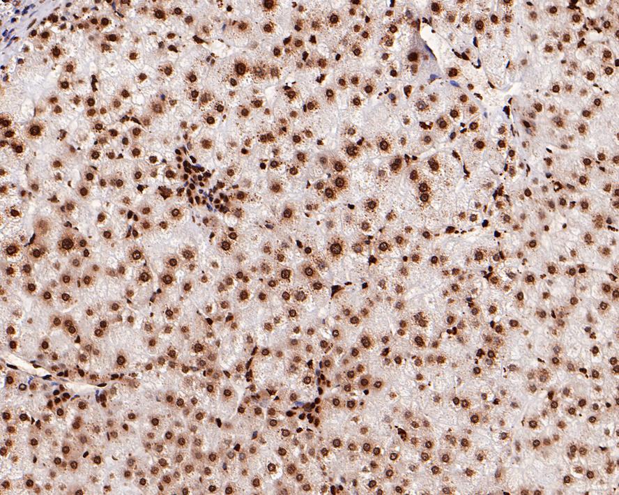
HA750287_4.jpg Fig4: Immunohistochemical analysis of paraffin-embedded human liver tissue with Rabbit anti-Histone H2B antibody (HA750287) at 1/5,000 dilution.

The section was pre-treated using heat mediated antigen retrieval with sodium citrate buffer (pH 6.0) (high pressure) for 2 minutes. The tissues were blocked in 1% BSA for 20 minutes at room temperature, washed with ddH2O and PBS, and then probed with the primary antibody (HA750287) at 1/5,000 dilution for 1 hour at room temperature. The detection was performed using an HRP conjugated compact polymer system. DAB was used as the chromogen. Tissues were counterstained with hematoxylin and mounted with DPX.
HA750287_5.jpg Fig5: Immunohistochemical analysis of paraffin-embedded mouse liver tissue with Rabbit anti-Histone H2B antibody (HA750287) at 1/5,000 dilution.

The section was pre-treated using heat mediated antigen retrieval with sodium citrate buffer (pH 6.0) (high pressure) for 2 minutes. The tissues were blocked in 1% BSA for 20 minutes at room temperature, washed with ddH2O and PBS, and then probed with the primary antibody (HA750287) at 1/5,000 dilution for 1 hour at room temperature. The detection was performed using an HRP conjugated compact polymer system. DAB was used as the chromogen. Tissues were counterstained with hematoxylin and mounted with DPX.
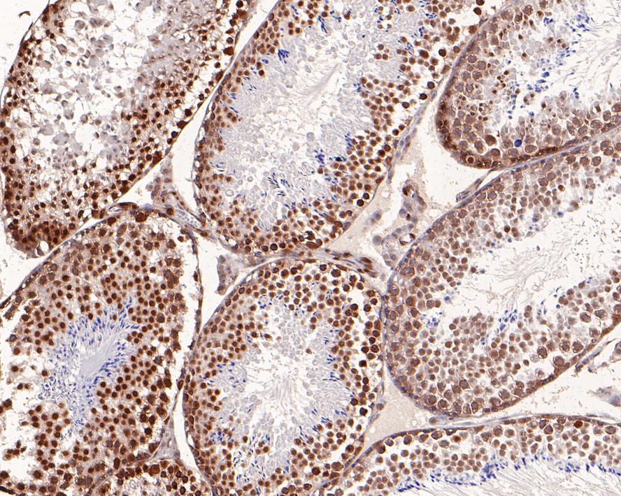
HA750287_6.jpg Fig6: Immunohistochemical analysis of paraffin-embedded mouse testis tissue with Rabbit anti-Histone H2B antibody (HA750287) at 1/2,000 dilution.

The section was pre-treated using heat mediated antigen retrieval with sodium citrate buffer (pH 6.0) (high pressure) for 2 minutes. The tissues were blocked in 1% BSA for 20 minutes at room temperature, washed with ddH2O and PBS, and then probed with the primary antibody (HA750287) at 1/2,000 dilution for 1 hour at room temperature. The detection was performed using an HRP conjugated compact polymer system. DAB was used as the chromogen. Tissues were counterstained with hematoxylin and mounted with DPX.
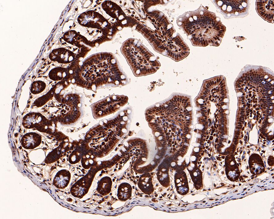
HA750287_7.jpg Fig7: Immunohistochemical analysis of paraffin-embedded mouse colon tissue with Rabbit anti-Histone H2B antibody (HA750287) at 1/5,000 dilution.

The section was pre-treated using heat mediated antigen retrieval with sodium citrate buffer (pH 6.0) (high pressure) for 2 minutes. The tissues were blocked in 1% BSA for 20 minutes at room temperature, washed with ddH2O and PBS, and then probed with the primary antibody (HA750287) at 1/5,000 dilution for 1 hour at room temperature. The detection was performed using an HRP conjugated compact polymer system. DAB was used as the chromogen. Tissues were counterstained with hematoxylin and mounted with DPX.
HA750287_8.jpg Fig8: Immunohistochemical analysis of paraffin-embedded human breast carcinoma tissue using anti-Histone H2B antibody. The section was pre-treated using heat mediated antigen retrieval with Tris-EDTA buffer (pH 8.0-8.4) for 20 minutes.The tissues were blocked in 5% BSA for 30 minutes at room temperature, washed with ddH2O and PBS, and then probed with the primary antibody (HA750287, 1/50) for 30 minutes at room temperature. The detection was performed using an HRP conjugated compact polymer system. DAB was used as the chromogen. Tissues were counterstained with hematoxylin and mounted with DPX.
HA750287_9.jpg Fig9: Flow cytometric analysis of Histone H2B was done on Hela cells. The cells were fixed, permeabilized and stained with the primary antibody (HA750287, 1/50) (red). After incubation of the primary antibody at room temperature for an hour, the cells were stained with a Alexa Fluor 488-conjugated Goat anti-Rabbit IgG Secondary antibody at 1/1000 dilution for 30 minutes.Unlabelled sample was used as a control (cells without incubation with primary antibody; black).
HA750287_10.jpg Fig10: Chromatin immunoprecipitations were performed with cross-linked chromatin from HeLa cells with Histone H2B (HA750287) or Normal Rabbit IgG according to the ChIP protocol. The enriched DNA was quantified by real-time PCR using indicated primers. The amount of immunoprecipitated DNA in each sample is represented as signal relative to the total amount of input chromatin, which is equivalent to one.
Note: All products are “FOR RESEARCH USE ONLY AND ARE NOT INTENDED FOR DIAGNOSTIC OR THERAPEUTIC USE”.