Cdk6 Recombinant Rabbit Monoclonal Antibody [SD20-50]
cat.: HA750289
Product Type: Recombinant Rabbit monoclonal IgG, primary antibodies
Species reactivity: Human
Applications: IF-Cell, IF-Tissue, IHC-P, FC, WB
Clonality: Monoclonal
Clone number: SD20-50
Form: Liquid
Storage condition: Store at +4℃ after thawing. Aliquot store at -20℃ or -80℃. Avoid repeated freeze / thaw cycles.
Storage buffer: 1*PBS (pH7.4).
Concentration: 1ug/ul
Purification: Protein A affinity purified.
Molecular weight: Predicted band size: 37 kDa
Isotype: IgG
Immunogen: Synthetic peptide within Human Cdk6 aa 277-326 / 326.
Positive control: HeLa cell lysate, SK-OV-3 cell lysate, MCF7 cell lysate, K-562 cell lysate, Hela, SW480, 293, human colon carcinoma tissue, human tonsil tissue.
Subcellular location: Cytoplasm, Nucleus, Cell projection.
Recommended Dilutions:
  WB
  IF-Cell
  IF-Tissue
  IHC-P
  FC

1:500-1:2,000
1:50-1:200
1:50-1:200
1:50-1:200
1:50-1:100
Uniprot #: SwissProt: Q00534 Human
Alternative names: CDK 6 CDK6 CDK6_HUMAN Cell division protein kinase 6 Crk 2 Crk2 Cyclin dependent kinase 6 Cyclin-dependent kinase 6 MGC59692 p40 PLSTIRE Serine/threonine protein kinase PLSTIRE Serine/threonine-protein kinase PLSTIRE STQTL11
Images
HA750289_1.jpg Fig1: Western blot analysis of Cdk6 on different lysates with Rabbit anti-Cdk6 antibody (HA750289) at 1/2,000 dilution.

Lane 1: HeLa cell lysate
Lane 2: SK-OV-3 cell lysate
Lane 3: MCF7 cell lysate
Lane 4: K-562 cell lysate

Lysates/proteins at 20 µg/Lane.

Predicted band size: 37 kDa
Observed band size: 37 kDa

Exposure time: 59 seconds; ECL: K1801;

4-20% SDS-PAGE gel.

Proteins were transferred to a PVDF membrane and blocked with 5% NFDM/TBST for 1 hour at room temperature. The primary antibody (HA750289) at 1/2,000 dilution was used in primary antibody dilution (K1803) at 4℃ overnight. Goat Anti-Rabbit IgG - HRP Secondary Antibody (HA1001) at 1/50,000 dilution was used for 1 hour at room temperature.
HA750289_2.jpg Fig2: ICC staining of Cdk6 in Hela cells (green). Formalin fixed cells were permeabilized with 0.1% Triton X-100 in TBS for 10 minutes at room temperature and blocked with 1% Blocker BSA for 15 minutes at room temperature. Cells were probed with the primary antibody (HA750289, 1/50) for 1 hour at room temperature, washed with PBS. Alexa Fluor®488 Goat anti-Rabbit IgG was used as the secondary antibody at 1/1,000 dilution. The nuclear counter stain is DAPI (blue).
HA750289_3.jpg Fig3: ICC staining of Cdk6 in SW480 cells (green). Formalin fixed cells were permeabilized with 0.1% Triton X-100 in TBS for 10 minutes at room temperature and blocked with 1% Blocker BSA for 15 minutes at room temperature. Cells were probed with the primary antibody (HA750289, 1/50) for 1 hour at room temperature, washed with PBS. Alexa Fluor®488 Goat anti-Rabbit IgG was used as the secondary antibody at 1/1,000 dilution. The nuclear counter stain is DAPI (blue).
HA750289_4.jpg Fig4: ICC staining of Cdk6 in 293 cells (green). Formalin fixed cells were permeabilized with 0.1% Triton X-100 in TBS for 10 minutes at room temperature and blocked with 1% Blocker BSA for 15 minutes at room temperature. Cells were probed with the primary antibody (HA750289, 1/50) for 1 hour at room temperature, washed with PBS. Alexa Fluor®488 Goat anti-Rabbit IgG was used as the secondary antibody at 1/1,000 dilution. The nuclear counter stain is DAPI (blue).
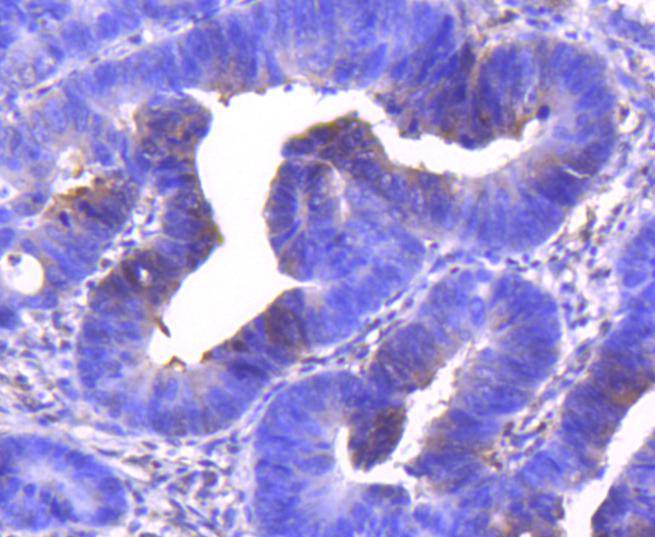
HA750289_5.jpg Fig5: Immunohistochemical analysis of paraffin-embedded human colon carcinoma tissue using anti-Cdk6 antibody. The section was pre-treated using heat mediated antigen retrieval with Tris-EDTA buffer (pH 8.0-8.4) for 20 minutes.The tissues were blocked in 5% BSA for 30 minutes at room temperature, washed with ddH2O and PBS, and then probed with the primary antibody (HA750289, 1/50) for 30 minutes at room temperature. The detection was performed using an HRP conjugated compact polymer system. DAB was used as the chromogen. Tissues were counterstained with hematoxylin and mounted with DPX.
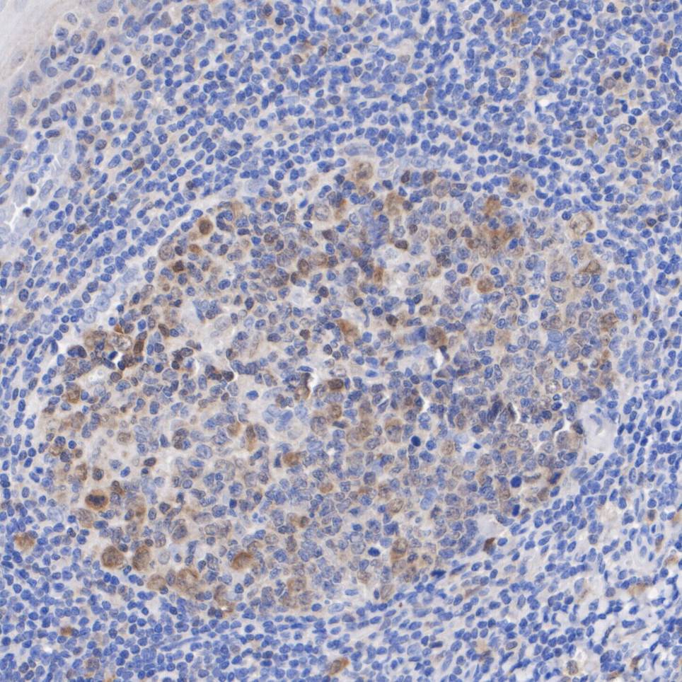
HA750289_6.jpg Fig6: Immunohistochemical analysis of paraffin-embedded human tonsil tissue with Rabbit anti-Cdk6 antibody (HA750289) at 1/200 dilution.

The section was pre-treated using heat mediated antigen retrieval with sodium citrate buffer (pH 6.0) (high pressure) for 2 minutes. The tissues were blocked in 1% BSA for 20 minutes at room temperature, washed with ddH2O and PBS, and then probed with the primary antibody (HA750289) at 1/200 dilution for 1 hour at room temperature. The detection was performed using an HRP conjugated compact polymer system. DAB was used as the chromogen. Tissues were counterstained with hematoxylin and mounted with DPX.
HA750289_7.jpg Fig7: Flow cytometric analysis of Cdk6 was done on Hela cells. The cells were fixed, permeabilized and stained with the primary antibody (HA750289, 1/50) (red). After incubation of the primary antibody at room temperature for an hour, the cells were stained with a Alexa Fluor 488-conjugated Goat anti-Rabbit IgG Secondary antibody at 1/1000 dilution for 30 minutes.Unlabelled sample was used as a control (cells without incubation with primary antibody; black).
Note: All products are “FOR RESEARCH USE ONLY AND ARE NOT INTENDED FOR DIAGNOSTIC OR THERAPEUTIC USE”.