Phospho-Smad2 (S250) Recombinant Rabbit Monoclonal Antibody [SD207-1]
cat.: HA750291
Product Type: Recombinant Rabbit monoclonal IgG, primary antibodies
Species reactivity: Human, Mouse, Rat
Applications: WB, FC, IP, IHC-P
Clonality: Monoclonal
Clone number: SD207-1
Form: Liquid
Storage condition: Store at +4℃ after thawing. Aliquot store at -20℃ or -80℃. Avoid repeated freeze / thaw cycles.
Storage buffer: 1*PBS (pH7.4).
Concentration: 1ug/ul
Purification: Protein A affinity purified.
Molecular weight: Predicted band size: 52 kDa
Isotype: IgG
Immunogen: Synthetic phospho-peptide corresponding to residues surrounding Ser250 of Human Smad2 aa 221-270 / 467.
Positive control: HeLa cell lysate, HeLa treated with 200nM PMA for 30 minutes cell lysate, NIH/3T3 cell lysate, NIH/3T3 treated with 200nM PMA for 30 minutes cell lysate, C6 cell lysate, C6 treated with 200nM PMA for 30 minutes cell lysate, HeLa, human lung cancer tissue, mouse testis tissue, rat testis tissue.
Subcellular location: Cytoplasm, Nucleus.
Recommended Dilutions:
  WB
  FC
  IP
  IHC-P

1:5,000
1:50-1:100
1-2μg/sample
1:50
Uniprot #: SwissProt: Q15796 Human | Q62432 Mouse | O70436 Rat
Alternative names: Drosophila, homolog of, MADR2 hMAD-2 HsMAD2 JV18 JV18-1 JV181 MAD MAD homolog 2 MAD Related Protein 2 Mad-related protein 2 MADH2 MADR2 MGC22139 MGC34440 Mother against DPP homolog 2 Mothers against decapentaplegic homolog 2 Mothers against decapentaplegic, Drosophila, homolog of, 2 Mothers against DPP homolog 2 OTTHUMP00000163489 Sma and Mad related protein 2 Sma- and Mad-related protein 2 MAD SMAD 2 SMAD family member 2 SMAD, mothers against DPP homolog 2 SMAD2 SMAD2_HUMAN
Images
HA750291_1.jpg Fig1: Western blot analysis of Phospho-Smad2 (S250) on different lysates with Rabbit anti-Phospho-Smad2 (S250) antibody (HA750291) at 1/5,000 dilution.

Lane 1: HeLa cell lysate
Lane 2: HeLa treated with 200nM PMA for 30 minutes cell lysate
Lane 3: NIH/3T3 cell lysate
Lane 4: NIH/3T3 treated with 200nM PMA for 30 minutes cell lysate

Lysates/proteins at 20 µg/Lane.

Predicted band size: 52 kDa
Observed band size: 55 kDa

Exposure time: 30 seconds; ECL: K1801;
4-20% SDS-PAGE gel.

Proteins were transferred to a PVDF membrane and blocked with 5% NFDM/TBST for 1 hour at room temperature. The primary antibody (HA750291) at 1/5,000 dilution was used in 5% NFDM/TBST at 4℃ overnight. Goat Anti-Rabbit IgG - HRP Secondary Antibody (HA1001) at 1/50,000 dilution was used for 1 hour at room temperature.
HA750291_2.jpg Fig2: Western blot analysis of Phospho-Smad2 (S250) on different lysates with Rabbit anti-Phospho-Smad2 (S250) antibody (HA750291) at 1/5,000 dilution.

Lane 1: C6 cell lysate
Lane 2: C6 treated with 200nM PMA for 30 minutes cell lysate

Lysates/proteins at 20 µg/Lane.

Predicted band size: 52 kDa
Observed band size: 55 kDa

Exposure time: 2 minutes; ECL: K1801;
4-20% SDS-PAGE gel.

Proteins were transferred to a PVDF membrane and blocked with 5% NFDM/TBST for 1 hour at room temperature. The primary antibody (HA750291) at 1/5,000 dilution was used in 5% NFDM/TBST at 4℃ overnight. Goat Anti-Rabbit IgG - HRP Secondary Antibody (HA1001) at 1/50,000 dilution was used for 1 hour at room temperature.
HA750291_3.jpg Fig3: Phospho-Smad2 (S250) was immunoprecipitated from 0.2 mg HeLa treated with 100nM TPA for 30 minutes cell lysate with HA750291 at 2 µg/10 µl beads. Western blot was performed from the immunoprecipitate using HA750291 at 1/5,000 dilution. Anti-Rabbit IgG for IP Nano-secondary antibody (NBI01H) at 1/5,000 dilution was used for 1 hour at room temperature.

Lane 1: HeLa treated with 100nM TPA for 30 minutes cell lysate (input)
Lane 2: HA750291 IP in HeLa treated with 100nM TPA for 30 minutes cell lysate
Lane 3: Rabbit IgG instead of HA750291 in HeLa treated with 100nM TPA for 30 minutes cell lysate

Blocking/Dilution buffer: 5% NFDM/TBST
Exposure time: 35 seconds; ECL: K1802
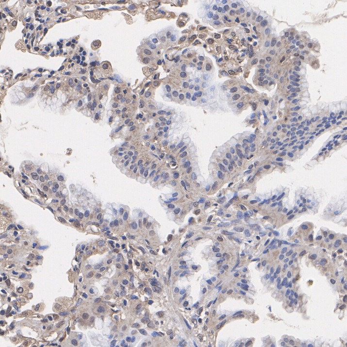
HA750291_4.jpg Fig4: Immunohistochemical analysis of paraffin-embedded human lung cancer tissue with Rabbit anti-Phospho-Smad2 (S250) antibody (HA750291) at 1/50 dilution.

The section was pre-treated using heat mediated antigen retrieval with Tris-EDTA buffer (pH 9.0) for 20 minutes. The tissues were blocked in 1% BSA for 20 minutes at room temperature, washed with ddH2O and PBS, and then probed with the primary antibody (HA750291) at 1/50 dilution for 1 hour at room temperature. The detection was performed using an HRP conjugated compact polymer system. DAB was used as the chromogen. Tissues were counterstained with hematoxylin and mounted with DPX.
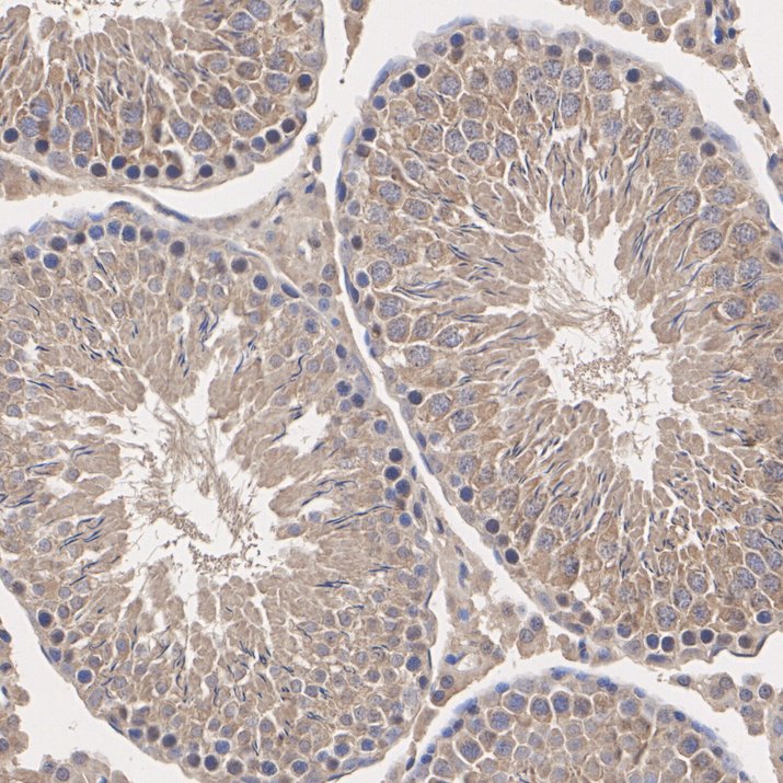
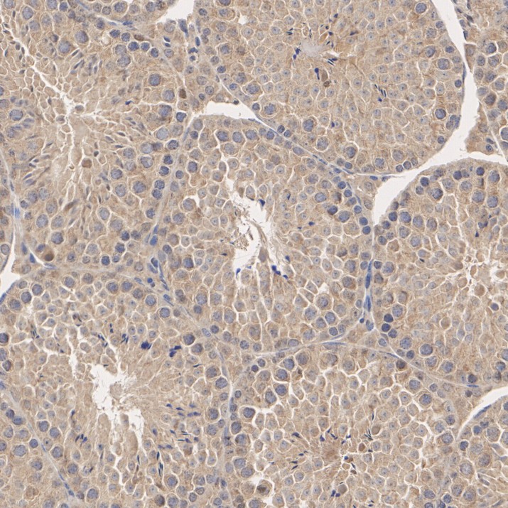
HA750291_5.jpg Fig5: Immunohistochemical analysis of paraffin-embedded mouse testis tissue with Rabbit anti-Phospho-Smad2 (S250) antibody (HA750291) at 1/50 dilution.

The section was pre-treated using heat mediated antigen retrieval with Tris-EDTA buffer (pH 9.0) for 20 minutes. The tissues were blocked in 1% BSA for 20 minutes at room temperature, washed with ddH2O and PBS, and then probed with the primary antibody (HA750291) at 1/50 dilution for 1 hour at room temperature. The detection was performed using an HRP conjugated compact polymer system. DAB was used as the chromogen. Tissues were counterstained with hematoxylin and mounted with DPX.
HA750291_6.jpg Fig6: Immunohistochemical analysis of paraffin-embedded rat testis tissue with Rabbit anti-Phospho-Smad2 (S250) antibody (HA750291) at 1/50 dilution.

The section was pre-treated using heat mediated antigen retrieval with Tris-EDTA buffer (pH 9.0) for 20 minutes. The tissues were blocked in 1% BSA for 20 minutes at room temperature, washed with ddH2O and PBS, and then probed with the primary antibody (HA750291) at 1/50 dilution for 1 hour at room temperature. The detection was performed using an HRP conjugated compact polymer system. DAB was used as the chromogen. Tissues were counterstained with hematoxylin and mounted with DPX.
HA750291_7.jpg Fig7: Flow cytometric analysis of HeLa cells labeling Phospho-Smad2 (S250).

Cells were fixed and permeabilized. Then stained with the primary antibody (HA750291, 1/1,000) (red) compared with Rabbit IgG Isotype Control (green). After incubation of the primary antibody at +4℃ for an hour, the cells were stained with a iFluor™ 488 conjugate-Goat anti-Rabbit IgG Secondary antibody (HA1121) at 1/1,000 dilution for 30 minutes at +4℃. Unlabelled sample was used as a control (cells without incubation with primary antibody; black).
Note: All products are “FOR RESEARCH USE ONLY AND ARE NOT INTENDED FOR DIAGNOSTIC OR THERAPEUTIC USE”.