ATF4 Recombinant Rabbit Monoclonal Antibody [SD20-92]
cat.: HA750292
Product Type: Recombinant Rabbit monoclonal IgG, primary antibodies
Species reactivity: Human, Mouse, Rat
Applications: WB, IF-Cell, IF-Tissue, IHC-P
Clonality: Monoclonal
Clone number: SD20-92
Form: Liquid
Storage condition: Store at +4℃ after thawing. Aliquot store at -20℃ or -80℃. Avoid repeated freeze / thaw cycles.
Storage buffer: PBS (pH7.4).
Concentration: 1ug/ul
Purification: Protein A affinity purified.
Molecular weight: Predicted band size: 39 kDa
Isotype: IgG
Immunogen: Recombinant protein within Human ATF4 aa 1-220 / 351.
Positive control: HeLa cell lysate, HL-60 cell lysate, Mouse testis tissue lysate, Rat testis tissue lysate, Neuro-2a, human colon carcinoma tissue, human liver carcinoma tissue, human thyroid tissue, human prostate carcinoma tissue, human skin tissue, human breast carcinoma tissue, human stomach carcinoma tissue, human small intestine tissue, mouse colon tissue.
Subcellular location: Nucleus, Nucleus speckle, Cell membrane, Cytoplasm, Centrosome.
Recommended Dilutions:
  WB
  IF-Cell
  IF-Tissue
  IHC-P

1:2,000-1:5,000
1:100-1:200
1:200-1:500
1:200-1:1,000
Uniprot #: SwissProt: P18848 Human | Q06507 Mouse | Q9ES19 Rat
Alternative names: Activating transcription factor 4 ATF 4 ATF4 ATF4 protein ATF4_HUMAN cAMP-dependent transcription factor ATF-4 cAMP-responsive element-binding protein 2 CREB 2 CREB-2 CREB2 Cyclic AMP dependent transcription factor ATF 4 Cyclic AMP response element binding protein 2 Cyclic AMP-dependent transcription factor ATF-4 Cyclic AMP-responsive element-binding protein 2 DNA binding protein TAXREB67 DNA-binding protein TAXREB67 Tax Responsive Enhancer Element B67 Tax-responsive enhancer element-binding protein 67 TaxREB67 TXREB
Images
HA750292_1.jpg Fig1: Western blot analysis of ATF4 on different lysates with Rabbit anti-ATF4 antibody (HA750292) at 1/5,000 dilution.

Lane 1: HeLa cell lysate (20 µg/Lane)
Lane 2: HL-60 cell lysate (20 µg/Lane)
Lane 3: Mouse testis tissue lysate (40 µg/Lane)
Lane 4: Rat testis tissue lysate (40 µg/Lane)

Predicted band size: 39 kDa
Observed band size: 55 kDa

Exposure time: 1 minute; ECL: K1801;

4-20% SDS-PAGE gel.

Proteins were transferred to a PVDF membrane and blocked with 5% NFDM/TBST for 1 hour at room temperature. The primary antibody (HA750292) at 1/5,000 dilution was used in primary antibody dilution (K1803) at 4℃ overnight. Goat Anti-Rabbit IgG - HRP Secondary Antibody (HA1001) at 1/50,000 dilution was used for 1 hour at room temperature.
HA750292_2.jpg Fig2: Immunocytochemistry analysis of Neuro-2a cells labeling ATF4 with Rabbit anti-ATF4 antibody (HA750292) at 1/100 dilution.

Cells were fixed in 4% paraformaldehyde for 15 minutes at room temperature, permeabilized with 0.1% Triton X-100 in PBS for 15 minutes at room temperature, then blocked with 1% BSA in 10% negative goat serum for 1 hour at room temperature. Cells were then incubated with Rabbit anti-ATF4 antibody (HA750292) at 1/100 dilution in 1% BSA in PBST overnight at 4 ℃. Goat Anti-Rabbit IgG H&L (iFluor™ 488, HA1121) was used as the secondary antibody at 1/1,000 dilution. PBS instead of the primary antibody was used as the secondary antibody only control. Nuclear DNA was labelled in blue with DAPI.

Beta tubulin (HA601187, red) was stained at 1/100 dilution overnight at +4℃. Goat Anti-Mouse IgG H&L (iFluor™ 594, HA1126) was used as the secondary antibody at 1/1,000 dilution.
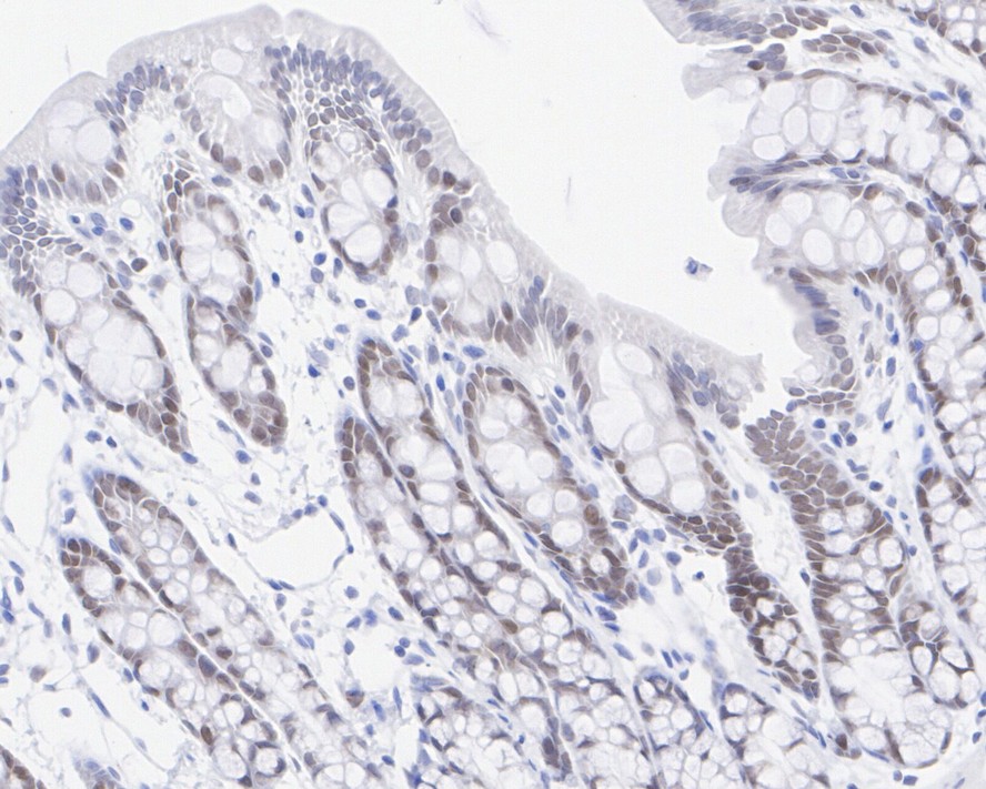
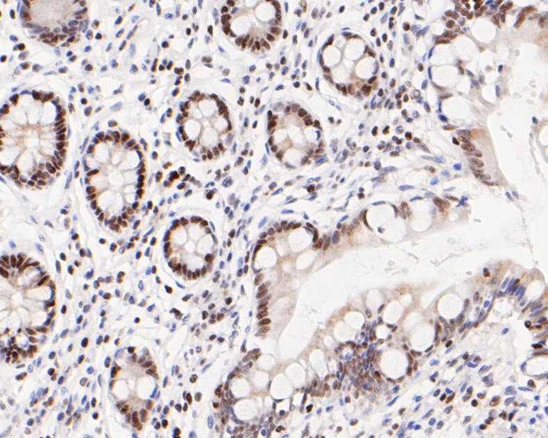
HA750292_3.jpg Fig3: Immunohistochemical analysis of paraffin-embedded human colon carcinoma tissue with Rabbit anti-ATF4 antibody (HA750292) at 1/1,000 dilution.

The section was pre-treated using heat mediated antigen retrieval with sodium citrate buffer (pH 6.0) (high pressure) for 2 minutes. The tissues were blocked in 1% BSA for 20 minutes at room temperature, washed with ddH2O and PBS, and then probed with the primary antibody (HA750292) at 1/1,000 dilution for 1 hour at room temperature. The detection was performed using an HRP conjugated compact polymer system. DAB was used as the chromogen. Tissues were counterstained with hematoxylin and mounted with DPX.
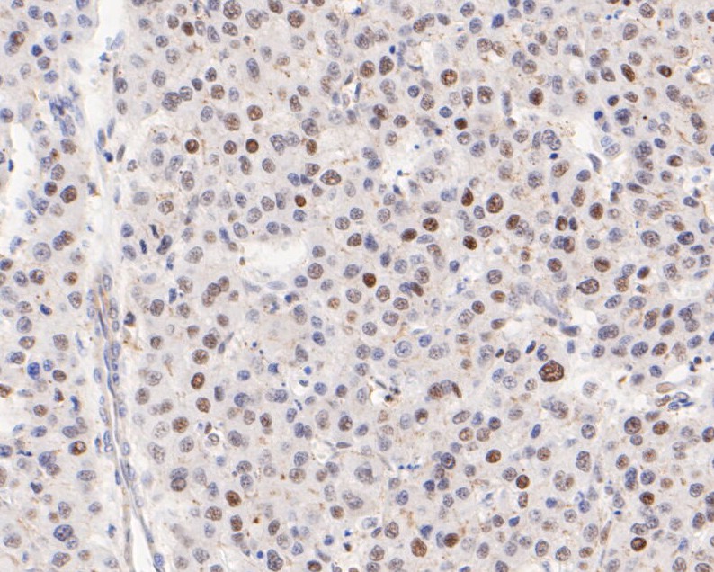
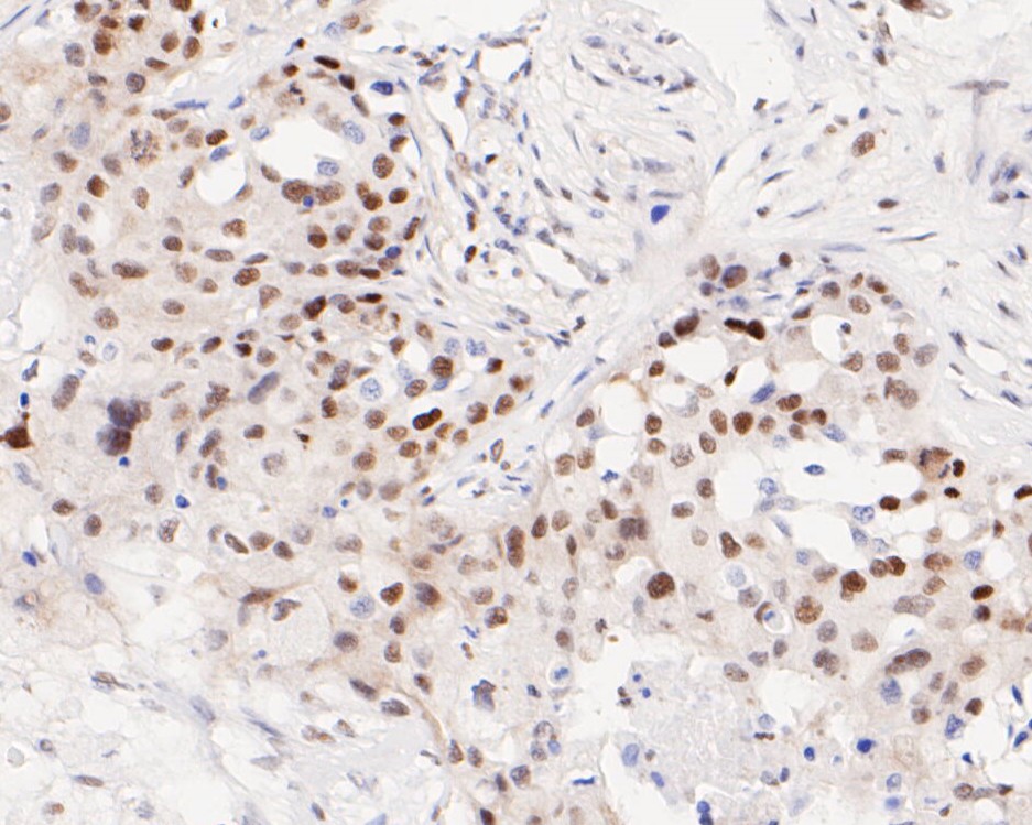
HA750292_4.jpg Fig4: Immunohistochemical analysis of paraffin-embedded human liver carcinoma tissue with Rabbit anti-ATF4 antibody (HA750292) at 1/200 dilution.

The section was pre-treated using heat mediated antigen retrieval with Tris-EDTA buffer (pH 9.0) for 20 minutes. The tissues were blocked in 1% BSA for 20 minutes at room temperature, washed with ddH2O and PBS, and then probed with the primary antibody (HA750292) at 1/200 dilution for 1 hour at room temperature. The detection was performed using an HRP conjugated compact polymer system. DAB was used as the chromogen. Tissues were counterstained with hematoxylin and mounted with DPX.
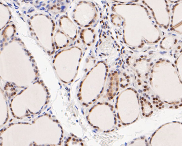
HA750292_5.jpg Fig5: Immunohistochemical analysis of paraffin-embedded human thyroid tissue with Rabbit anti-ATF4 antibody (HA750292) at 1/200 dilution.

The section was pre-treated using heat mediated antigen retrieval with Tris-EDTA buffer (pH 9.0) for 20 minutes. The tissues were blocked in 1% BSA for 20 minutes at room temperature, washed with ddH2O and PBS, and then probed with the primary antibody (HA750292) at 1/200 dilution for 1 hour at room temperature. The detection was performed using an HRP conjugated compact polymer system. DAB was used as the chromogen. Tissues were counterstained with hematoxylin and mounted with DPX.
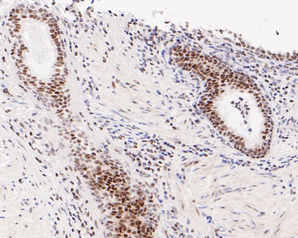
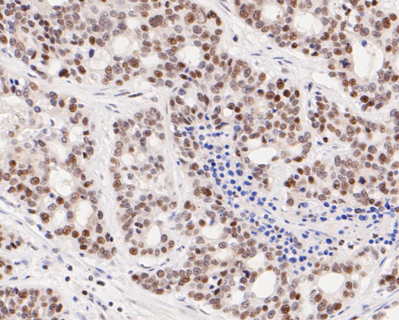
HA750292_6.jpg Fig6: Immunohistochemical analysis of paraffin-embedded human prostate carcinoma tissue with Rabbit anti-ATF4 antibody (HA750292) at 1/200 dilution.

The section was pre-treated using heat mediated antigen retrieval with Tris-EDTA buffer (pH 9.0) for 20 minutes. The tissues were blocked in 1% BSA for 20 minutes at room temperature, washed with ddH2O and PBS, and then probed with the primary antibody (HA750292) at 1/200 dilution for 1 hour at room temperature. The detection was performed using an HRP conjugated compact polymer system. DAB was used as the chromogen. Tissues were counterstained with hematoxylin and mounted with DPX.
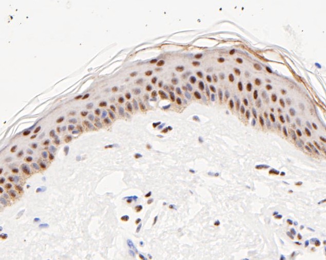
HA750292_7.jpg Fig7: Immunohistochemical analysis of paraffin-embedded human skin tissue with Rabbit anti-ATF4 antibody (HA750292) at 1/200 dilution.

The section was pre-treated using heat mediated antigen retrieval with Tris-EDTA buffer (pH 9.0) for 20 minutes. The tissues were blocked in 1% BSA for 20 minutes at room temperature, washed with ddH2O and PBS, and then probed with the primary antibody (HA750292) at 1/200 dilution for 1 hour at room temperature. The detection was performed using an HRP conjugated compact polymer system. DAB was used as the chromogen. Tissues were counterstained with hematoxylin and mounted with DPX.
HA750292_8.jpg Fig8: Immunohistochemical analysis of paraffin-embedded human breast carcinoma tissue with Rabbit anti-ATF4 antibody (HA750292) at 1/200 dilution.

The section was pre-treated using heat mediated antigen retrieval with Tris-EDTA buffer (pH 9.0) for 20 minutes. The tissues were blocked in 1% BSA for 20 minutes at room temperature, washed with ddH2O and PBS, and then probed with the primary antibody (HA750292) at 1/200 dilution for 1 hour at room temperature. The detection was performed using an HRP conjugated compact polymer system. DAB was used as the chromogen. Tissues were counterstained with hematoxylin and mounted with DPX.
HA750292_9.jpg Fig9: Immunohistochemical analysis of paraffin-embedded human stomach carcinoma tissue with Rabbit anti-ATF4 antibody (HA750292) at 1/200 dilution.

The section was pre-treated using heat mediated antigen retrieval with Tris-EDTA buffer (pH 9.0) for 20 minutes. The tissues were blocked in 1% BSA for 20 minutes at room temperature, washed with ddH2O and PBS, and then probed with the primary antibody (HA750292) at 1/200 dilution for 1 hour at room temperature. The detection was performed using an HRP conjugated compact polymer system. DAB was used as the chromogen. Tissues were counterstained with hematoxylin and mounted with DPX.
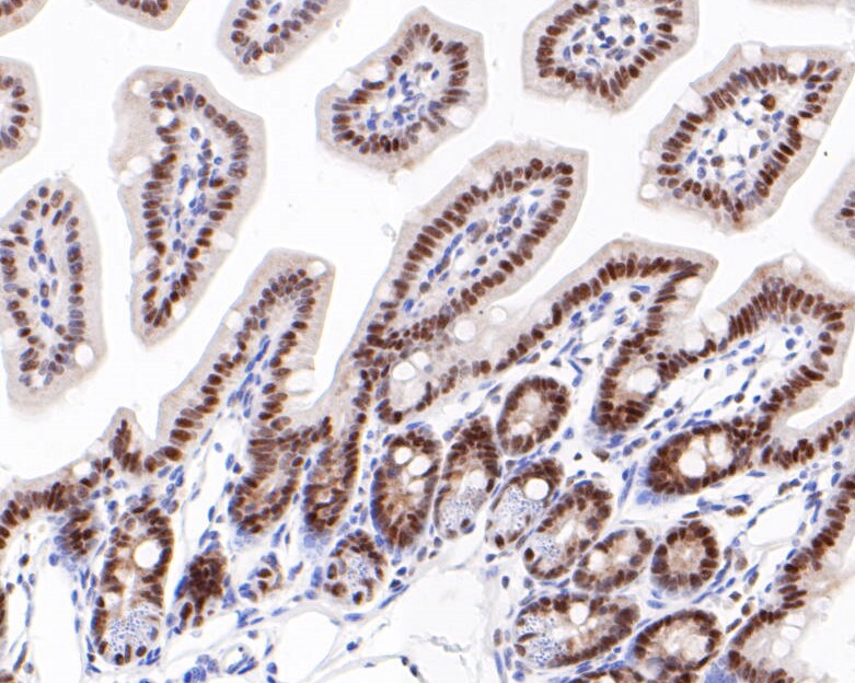
HA750292_10.jpg Fig10: Immunohistochemical analysis of paraffin-embedded human small intestine tissue with Rabbit anti-ATF4 antibody (HA750292) at 1/200 dilution.

The section was pre-treated using heat mediated antigen retrieval with Tris-EDTA buffer (pH 9.0) for 20 minutes. The tissues were blocked in 1% BSA for 20 minutes at room temperature, washed with ddH2O and PBS, and then probed with the primary antibody (HA750292) at 1/200 dilution for 1 hour at room temperature. The detection was performed using an HRP conjugated compact polymer system. DAB was used as the chromogen. Tissues were counterstained with hematoxylin and mounted with DPX.
HA750292_11.jpg Fig11: Immunohistochemical analysis of paraffin-embedded mouse colon tissue with Rabbit anti-ATF4 antibody (HA750292) at 1/200 dilution.

The section was pre-treated using heat mediated antigen retrieval with Tris-EDTA buffer (pH 9.0) for 20 minutes. The tissues were blocked in 1% BSA for 20 minutes at room temperature, washed with ddH2O and PBS, and then probed with the primary antibody (HA750292) at 1/200 dilution for 1 hour at room temperature. The detection was performed using an HRP conjugated compact polymer system. DAB was used as the chromogen. Tissues were counterstained with hematoxylin and mounted with DPX.
HA750292_12.jpg Fig12: Immunohistochemical analysis of paraffin-embedded rat
colon tissue with Rabbit anti-ATF4 antibody (HA750292) at 1/200 dilution.

The section was pre-treated using heat mediated antigen retrieval with sodium citrate buffer (pH 6.0) (high pressure) for 2 minutes. The tissues were blocked in 1% BSA for 20 minutes at room temperature, washed with ddH2O and PBS, and then probed with the primary antibody (HA750292) at 1/200 dilution for 1 hour at room temperature. The detection was performed using an HRP conjugated compact polymer system. DAB was used as the chromogen. Tissues were counterstained with hematoxylin and mounted with DPX.
Note: All products are “FOR RESEARCH USE ONLY AND ARE NOT INTENDED FOR DIAGNOSTIC OR THERAPEUTIC USE”.