Histone H4 Recombinant Rabbit Monoclonal Antibody [SD209-04]
cat.: HA750294
Product Type: Recombinant Rabbit monoclonal IgG, primary antibodies
Species reactivity: Human, Mouse, Rat
Applications: WB, IF-Cell, IF-Tissue, IHC-P, ChIP
Clonality: Monoclonal
Clone number: SD209-04
Form: Liquid
Storage condition: Store at +4℃ after thawing. Aliquot store at -20℃ or -80℃. Avoid repeated freeze / thaw cycles.
Storage buffer: 1*PBS (pH7.4).
Concentration: 1ug/ul
Purification: Protein A affinity purified.
Molecular weight: Predicted band size: 11 kDa
Isotype: IgG
Immunogen: Synthetic peptide within C-terminal Human Histone H4 aa 54-103 / 103.
Positive control: HeLa cell lysate, HepG2 cell lysate, Jurkat cell lysate, C2C12 cell lysate, NIH/3T3 cell lysate, C6 cell lysate, PC-12 cell lysate, human kidney tissue, human testis tissue, mouse kidney tissue, mouse testis tissue, rat kidney tissue, rat testis tissue, PANC-1.
Subcellular location: Nucleus, Chromosome.
Recommended Dilutions:
  WB
  IF-Cell
  IF-Tissue
  IHC-P
  ChIP

1:2,000
1:50-1:200
1:500-1:2,000
1:1:20,000
Use 0.5~2 μg for 25 μg of chromatin.
Uniprot #: SwissProt: P62805 Human | P62806 Mouse | P62804 Rat
Alternative names: dJ160A22.1 dJ160A22.2 dJ221C16.1 dJ221C16.9 FO108 H4 H4.k H4/a H4/b H4/c H4/d H4/e H4/g H4/h H4/I H4/j H4/k H4/m H4/n H4/p H4_HUMAN H4F2 H4F2iii H4F2iv H4FA H4FB H4FC H4FD H4FE H4FG H4FH H4FI H4FJ H4FK H4FM H4FN H4M HIST1H4A HIST1H4B HIST1H4C HIST1H4D HIST1H4E HIST1H4F HIST1H4H HIST1H4I HIST1H4J HIST1H4K HIST1H4L HIST2H4 HIST2H4A Hist4h4 Histone 1 H4a Histone 1 H4b Histone 1 H4c Histone 1 H4d Histone 1 H4e Histone 1 H4f Histone 1 H4h Histone 1 H4i Histone 1 H4j Histone 1 H4k Histone 1 H4l Histone 2 H4a histone 4 H4 Histone H4 MGC24116
Images
HA750294_1.jpg Fig1: Western blot analysis of Histone H4 on different lysates with Rabbit anti-Histone H4 antibody (HA750294) at 1/2,000 dilution.

Lane 1: HeLa cell lysate
Lane 2: HepG2 cell lysate
Lane 3: Jurkat cell lysate
Lane 4: C2C12 cell lysate
Lane 5: NIH/3T3 cell lysate
Lane 6: C6 cell lysate
Lane 7: PC-12 cell lysate

Lysates/proteins at 20 µg/Lane.

Predicted band size: 11 kDa
Observed band size: 11 kDa

Exposure time: 58 seconds;

4-20% SDS-PAGE gel.

Proteins were transferred to a PVDF membrane and blocked with 5% NFDM/TBST for 1 hour at room temperature. The primary antibody (HA750294) at 1/2,000 dilution was used in 5% NFDM/TBST at 4℃ overnight. Goat Anti-Rabbit IgG - HRP Secondary Antibody (HA1001) at 1/50,000 dilution was used for 1 hour at room temperature.
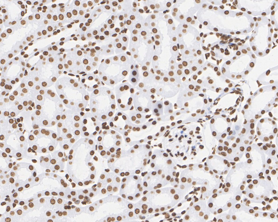
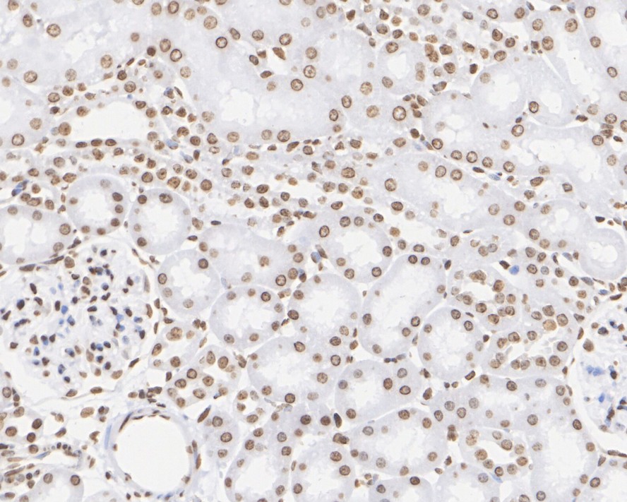
HA750294_2.jpg Fig2: Immunohistochemical analysis of paraffin-embedded human kidney tissue with Rabbit anti-Histone H4 antibody (HA750294) at 1/20,000 dilution.

The section was pre-treated using heat mediated antigen retrieval with sodium citrate buffer (pH 6.0) (high pressure) for 2 minutes. The tissues were blocked in 1% BSA for 20 minutes at room temperature, washed with ddH2O and PBS, and then probed with the primary antibody (HA750294) at 1/20,000 dilution for 1 hour at room temperature. The detection was performed using an HRP conjugated compact polymer system. DAB was used as the chromogen. Tissues were counterstained with hematoxylin and mounted with DPX.
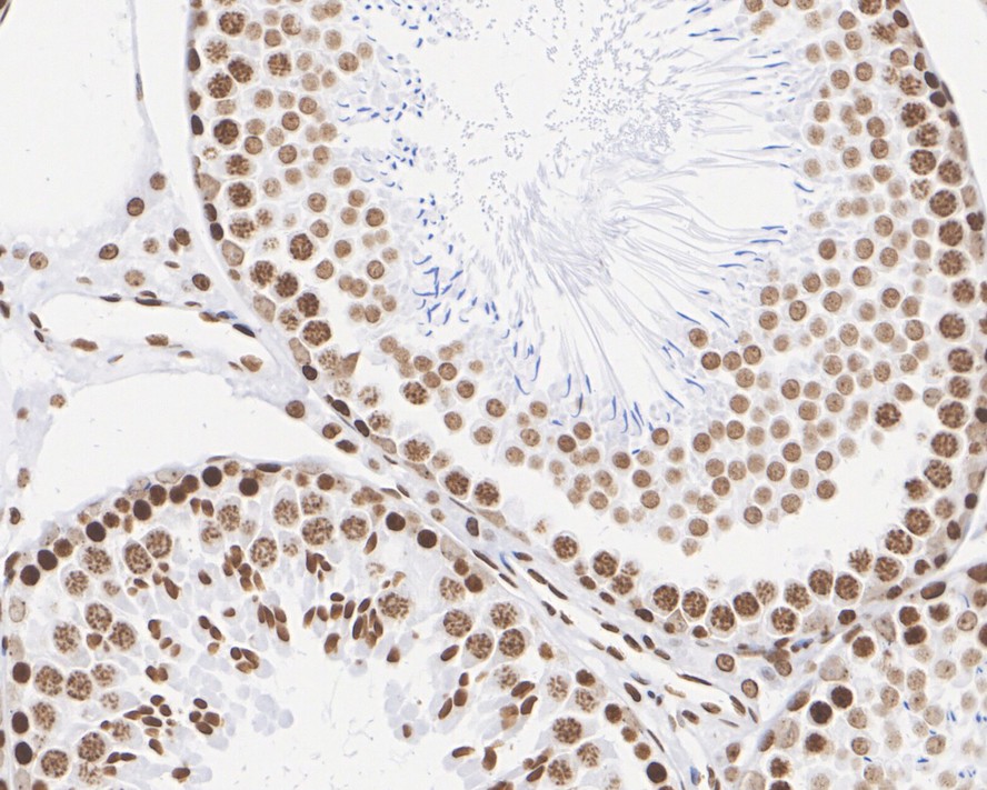
HA750294_3.jpg Fig3: Immunohistochemical analysis of paraffin-embedded human testis tissue with Rabbit anti-Histone H4 antibody (HA750294) at 1/20,000 dilution.

The section was pre-treated using heat mediated antigen retrieval with sodium citrate buffer (pH 6.0) (high pressure) for 2 minutes. The tissues were blocked in 1% BSA for 20 minutes at room temperature, washed with ddH2O and PBS, and then probed with the primary antibody (HA750294) at 1/20,000 dilution for 1 hour at room temperature. The detection was performed using an HRP conjugated compact polymer system. DAB was used as the chromogen. Tissues were counterstained with hematoxylin and mounted with DPX.
HA750294_4.jpg Fig4: Immunohistochemical analysis of paraffin-embedded mouse kidney tissue with Rabbit anti-Histone H4 antibody (HA750294) at 1/20,000 dilution.

The section was pre-treated using heat mediated antigen retrieval with sodium citrate buffer (pH 6.0) (high pressure) for 2 minutes. The tissues were blocked in 1% BSA for 20 minutes at room temperature, washed with ddH2O and PBS, and then probed with the primary antibody (HA750294) at 1/20,000 dilution for 1 hour at room temperature. The detection was performed using an HRP conjugated compact polymer system. DAB was used as the chromogen. Tissues were counterstained with hematoxylin and mounted with DPX.
HA750294_5.jpg Fig5: Immunohistochemical analysis of paraffin-embedded mouse testis tissue with Rabbit anti-Histone H4 antibody (HA750294) at 1/20,000 dilution.

The section was pre-treated using heat mediated antigen retrieval with sodium citrate buffer (pH 6.0) (high pressure) for 2 minutes. The tissues were blocked in 1% BSA for 20 minutes at room temperature, washed with ddH2O and PBS, and then probed with the primary antibody (HA750294) at 1/20,000 dilution for 1 hour at room temperature. The detection was performed using an HRP conjugated compact polymer system. DAB was used as the chromogen. Tissues were counterstained with hematoxylin and mounted with DPX.
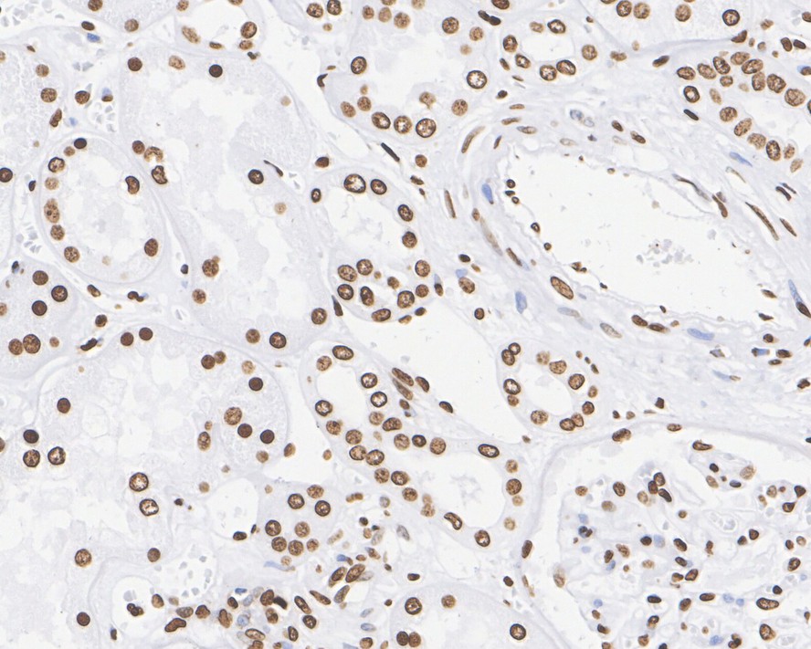
HA750294_6.jpg Fig6: Immunohistochemical analysis of paraffin-embedded rat kidney tissue with Rabbit anti-Histone H4 antibody (HA750294) at 1/20,000 dilution.

The section was pre-treated using heat mediated antigen retrieval with sodium citrate buffer (pH 6.0) (high pressure) for 2 minutes. The tissues were blocked in 1% BSA for 20 minutes at room temperature, washed with ddH2O and PBS, and then probed with the primary antibody (HA750294) at 1/20,000 dilution for 1 hour at room temperature. The detection was performed using an HRP conjugated compact polymer system. DAB was used as the chromogen. Tissues were counterstained with hematoxylin and mounted with DPX.
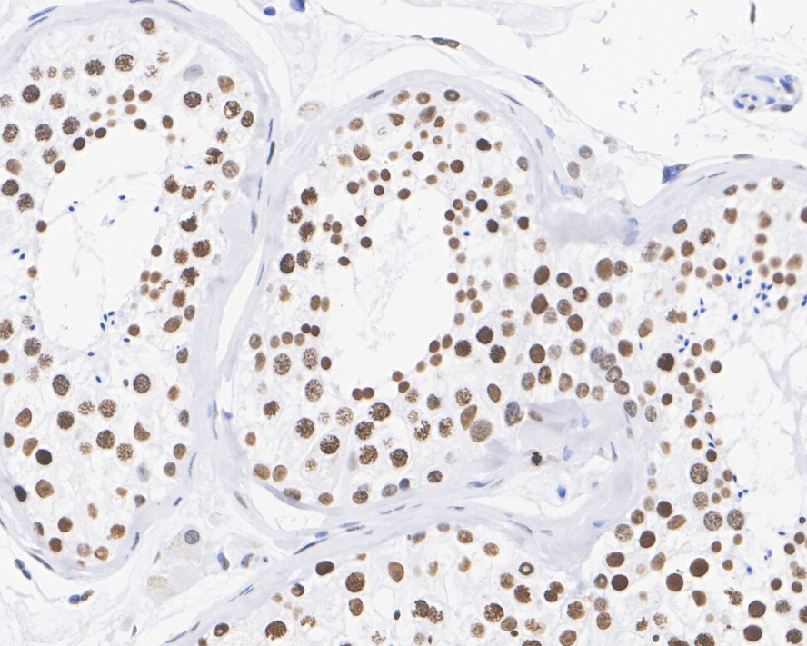
HA750294_7.jpg Fig7: Immunohistochemical analysis of paraffin-embedded rat testis tissue with Rabbit anti-Histone H4 antibody (HA750294) at 1/20,000 dilution.

The section was pre-treated using heat mediated antigen retrieval with sodium citrate buffer (pH 6.0) (high pressure) for 2 minutes. The tissues were blocked in 1% BSA for 20 minutes at room temperature, washed with ddH2O and PBS, and then probed with the primary antibody (HA750294) at 1/20,000 dilution for 1 hour at room temperature. The detection was performed using an HRP conjugated compact polymer system. DAB was used as the chromogen. Tissues were counterstained with hematoxylin and mounted with DPX.
HA750294_8.jpg Fig8: ICC staining of Histone H4 in PANC-1 cells (green). Formalin fixed cells were permeabilized with 0.1% Triton X-100 in TBS for 10 minutes at room temperature and blocked with 1% Blocker BSA for 15 minutes at room temperature. Cells were probed with the primary antibody (HA750294, 1/50) for 1 hour at room temperature, washed with PBS. Alexa Fluor®488 Goat anti-Rabbit IgG was used as the secondary antibody at 1/1,000 dilution. The nuclear counter stain is DAPI (blue).
HA750294_9.jpg Fig9: Chromatin immunoprecipitations were performed with cross-linked chromatin from HeLa cells with Histone H4 (HA750294) or Normal Rabbit IgG according to the ChIP protocol. The enriched DNA was quantified by real-time PCR using indicated primers. The amount of immunoprecipitated DNA in each sample is represented as signal relative to the total amount of input chromatin, which is equivalent to one.
Note: All products are “FOR RESEARCH USE ONLY AND ARE NOT INTENDED FOR DIAGNOSTIC OR THERAPEUTIC USE”.