RUNX2 Recombinant Rabbit Monoclonal Antibody [SD208-0]
cat.: HA750295
Product Type: Recombinant Rabbit monoclonal IgG, primary antibodies
Species reactivity: Human, Mouse, Rat
Applications: IF-Cell, IF-Tissue, IHC-P, WB, FC, IP
Clonality: Monoclonal
Clone number: SD208-0
Form: Liquid
Storage condition: Store at +4℃ after thawing. Aliquot store at -20℃ or -80℃. Avoid repeated freeze / thaw cycles.
Storage buffer: 1*PBS (pH7.4).
Concentration: 1ug/ul
Purification: Protein A affinity purified.
Molecular weight: Predicted band size: 57 kDa
Isotype: IgG
Immunogen: Recombinant protein within human 300-450.
Positive control: MDA-MB-231 cell lysate, Saos-2 cell lysate, NIH/3T3 cell lysate, Saos-2, SW480, human tonsil tissue, human colon tissue, human spleen tissue, mouse bone tissue, rat maxilla tissue, C2C12.
Subcellular location: Nucleus.
Recommended Dilutions:
  WB
  IF-Cell
  IF-Tissue
  IHC-P
  FC
  IP

1:5,000-1:10,000
1:1,000-1:5,000
1:200-1:500
1:200-1:1,000
1:5,000
1-2μg/sample
Uniprot #: SwissProt: Q13950 Human | Q08775 Mouse | Q9Z2J9 Rat
Alternative names: Acute myeloid leukemia 3 protein Alpha subunit 1 AML3 CBF alpha 1 CBF-alpha-1 CBFA1 CCD CCD1 Cleidocranial dysplasia 1 Core binding factor Core binding factor runt domain alpha subunit 1 Core binding factor subunit alpha 1 Core-binding factor subunit alpha-1 MGC120022 MGC120023 Oncogene AML 3 Oncogene AML-3 OSF 2 OSF-2 OSF2 Osteoblast specific transcription factor 2 Osteoblast-specific transcription factor 2 OTTHUMP00000016533 PEA2 alpha A PEA2-alpha A PEA2aA PEBP2 alpha A PEBP2-alpha A PEBP2A1 PEBP2A2 PEBP2aA PEBP2aA1 Polyomavirus enhancer binding protein 2 alpha A subunit Polyomavirus enhancer-binding protein 2 alpha A subunit Runt domain Runt related transcription factor 2 Runt-related transcription factor 2 RUNX2 RUNX2_HUMAN SL3 3 enhancer factor 1 alpha A subunit SL3-3 enhancer factor 1 alpha A subunit SL3/AKV core binding factor alpha A subunit SL3/AKV core-binding factor alpha A subunit
Images
HA750295_1.jpg Fig1: Western blot analysis of RUNX2 on different lysates with Rabbit anti-RUNX2 antibody (HA750295) at 1/10,000 dilution.

Lane 1: MDA-MB-231 cell lysate
Lane 2: Saos-2 cell lysate
Lane 3: LNCaP cell lysate (low expression)
Lane 4: NIH/3T3 cell lysate

Lysates/proteins at 20 µg/Lane.

Predicted band size: 57 kDa
Observed band size: 57 kDa

Exposure time: 2 minutes 24 seconds; ECL: K1801;

4-20% SDS-PAGE gel.

Proteins were transferred to a PVDF membrane and blocked with 5% NFDM/TBST for 1 hour at room temperature. The primary antibody (HA750295) at 1/10,000 dilution was used in 5% NFDM/TBST at 4℃ overnight. Goat Anti-Rabbit IgG - HRP Secondary Antibody (HA1001) at 1/50,000 dilution was used for 1 hour at room temperature.
HA750295_2.jpg Fig2: Immunocytochemistry analysis of Saos-2 (positive) and HeLa (negative) labeling RUNX2 with Rabbit anti-RUNX2 antibody (HA750295) at 1/5,000 dilution and competitor's antibody at 1/1,000 dilution.

Cells were fixed in 4% paraformaldehyde for 20 minutes at room temperature, permeabilized with 0.1% Triton X-100 in PBS for 5 minutes at room temperature, then blocked with 1% BSA in 10% negative goat serum for 1 hour at room temperature. Cells were then incubated with Rabbit anti-RUNX2 antibody (HA750295) at 1/5,000 dilution and competitor's antibody at 1/1,000 dilution in 1% BSA in PBST overnight at 4 ℃. Goat Anti-Rabbit IgG H&L (iFluor™ 488, HA1121) was used as the secondary antibody at 1/1,000 dilution. PBS instead of the primary antibody was used as the secondary antibody only control. Nuclear DNA was labelled in blue with DAPI.

Beta tubulin (M1305-2, red) was stained at 1/100 dilution overnight at +4℃. Goat Anti-Mouse IgG H&L (iFluor™ 594, HA1126) was used as the secondary antibody at 1/1,000 dilution.
HA750295_3.jpg Fig3: Western blot analysis of RUNX2 on different lysates with Rabbit anti-RUNX2 antibody (HA750295) at 1/5,000 dilution.

Lane 1: Saos-2-si NT cell lysate
Lane 2: Saos-2-si RUNX2#1 cell lysate
Lane 3: Saos-2-si RUNX2#2 cell lysate

Lysates/proteins at 10 µg/Lane.

Predicted band size: 57 kDa
Observed band size: 57、55 kDa

Exposure time: 43 seconds; ECL: K1801;

4-20% SDS-PAGE gel.

ET1612-47 was shown to specifically react with RUNX2 in Saos-2-si NT cells. Weakened bands were observed when Saos-2-si RUNX2 samples were tested. Saos-2-si NT and Saos-2-si RUNX2 samples were subjected to SDS-PAGE. Proteins were transferred to a PVDF membrane and blocked with 5% NFDM in TBST for 1 hour at room temperature. The primary antibody (ET1612-47, 1/5,000) and Loading control antibody (Rabbit anti-GAPDH, ET1601-4, 1/10,000) were used in 5% NFDM/TBST at 4℃ overnight. Goat Anti-rabbit IgG-HRP Secondary Antibody (HA1001) at 1:50,000 dilution was used for 1 hour at room temperature.
HA750295_4.jpg Fig4: Immunocytochemistry analysis of C2C12 cells labeling RUNX2 with Rabbit anti-RUNX2 antibody (HA750295) at 1/1,000 dilution.

Cells were fixed in 4% paraformaldehyde for 15 minutes at room temperature, permeabilized with 0.1% Triton X-100 in PBS for 15 minutes at room temperature, then blocked with 1% BSA in 10% negative goat serum for 1 hour at room temperature. Cells were then incubated with Rabbit anti-RUNX2 antibody (HA750295) at 1/1,000 dilution in 1% BSA in PBST overnight at 4 ℃. Goat Anti-Rabbit IgG H&L (iFluor™ 488, HA1121) was used as the secondary antibody at 1/1,000 dilution. PBS instead of the primary antibody was used as the secondary antibody only control. Nuclear DNA was labelled in blue with DAPI.

Beta tubulin (HA601187, red) was stained at 1/100 dilution overnight at +4℃. Goat Anti-Mouse IgG H&L (iFluor™ 594, HA1126) was used as the secondary antibody at 1/1,000 dilution.
HA750295_5.jpg Fig5: Immunohistochemical analysis of paraffin-embedded human tonsil tissue with Rabbit anti-RUNX2 antibody (HA750295) at 1/1,000 dilution.

The section was pre-treated using heat mediated antigen retrieval with sodium citrate buffer (pH 6.0) (high pressure) for 2 minutes. The tissues were blocked in 1% BSA for 20 minutes at room temperature, washed with ddH2O and PBS, and then probed with the primary antibody (HA750295) at 1/1,000 dilution for 1 hour at room temperature. The detection was performed using an HRP conjugated compact polymer system. DAB was used as the chromogen. Tissues were counterstained with hematoxylin and mounted with DPX.
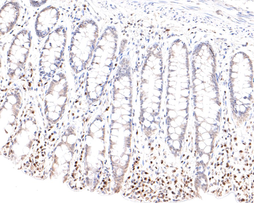
HA750295_6.jpg Fig6: Immunohistochemical analysis of paraffin-embedded human colon tissue with Rabbit anti-RUNX2 antibody (HA750295) at 1/500 dilution.

The section was pre-treated using heat mediated antigen retrieval with sodium citrate buffer (pH 6.0) (high pressure) for 2 minutes. The tissues were blocked in 1% BSA for 20 minutes at room temperature, washed with ddH2O and PBS, and then probed with the primary antibody (HA750295) at 1/500 dilution for 1 hour at room temperature. The detection was performed using an HRP conjugated compact polymer system. DAB was used as the chromogen. Tissues were counterstained with hematoxylin and mounted with DPX.
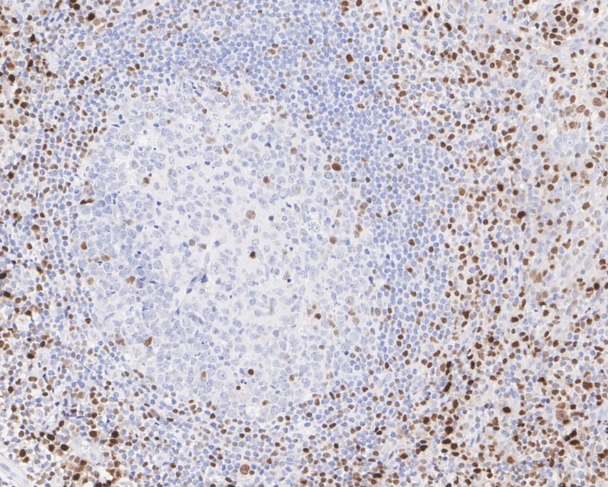
HA750295_7.jpg Fig7: Immunohistochemical analysis of paraffin-embedded human spleen tissue with Rabbit anti-RUNX2 antibody (HA750295) at 1/500 dilution.

The section was pre-treated using heat mediated antigen retrieval with sodium citrate buffer (pH 6.0) (high pressure) for 2 minutes. The tissues were blocked in 1% BSA for 20 minutes at room temperature, washed with ddH2O and PBS, and then probed with the primary antibody (HA750295) at 1/500 dilution for 1 hour at room temperature. The detection was performed using an HRP conjugated compact polymer system. DAB was used as the chromogen. Tissues were counterstained with hematoxylin and mounted with DPX.
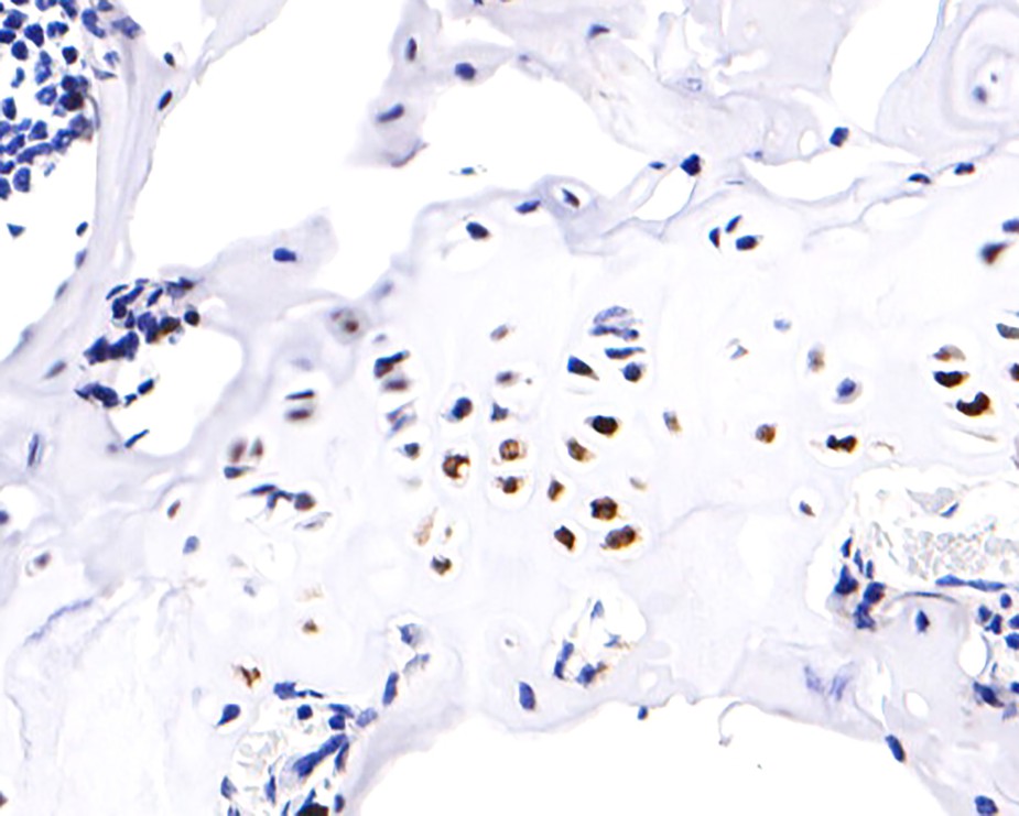
HA750295_8.jpg Fig8: Immunohistochemical analysis of paraffin-embedded mouse bone tissue with Rabbit anti-RUNX2 antibody (HA750295) at 1/200 dilution.

The section was pre-treated using heat mediated antigen retrieval with sodium citrate buffer (pH 6.0) for 2 minutes in microwave oven. The tissues were blocked in 1% BSA for 20 minutes at room temperature, washed with ddH2O and PBS, and then probed with the primary antibody (HA750295) at 1/200 dilution for 1 hour at room temperature. The detection was performed using an HRP conjugated compact polymer system. DAB was used as the chromogen. Tissues were counterstained with hematoxylin and mounted with DPX.
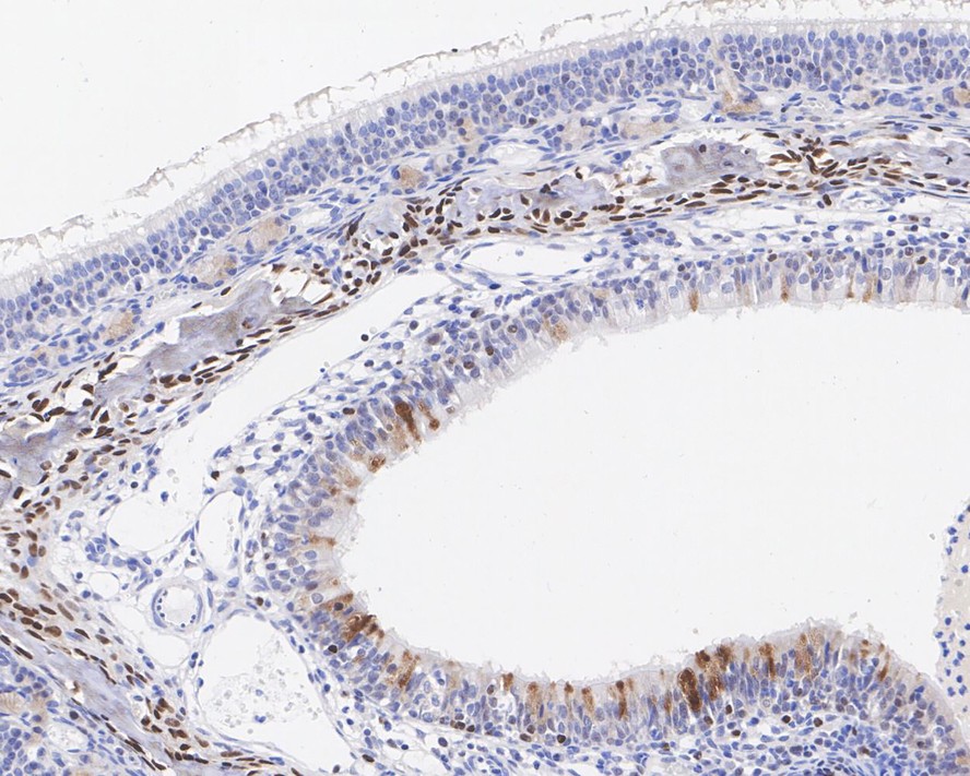
HA750295_9.jpg Fig9: Immunohistochemical analysis of paraffin-embedded rat maxilla tissue with Rabbit anti-RUNX2 antibody (HA750295) at 1/500 dilution.

The section was pre-treated using heat mediated antigen retrieval with sodium citrate buffer (pH 6.0) (high pressure) for 2 minutes. The tissues were blocked in 1% BSA for 20 minutes at room temperature, washed with ddH2O and PBS, and then probed with the primary antibody (HA750295) at 1/500 dilution for 1 hour at room temperature. The detection was performed using an HRP conjugated compact polymer system. DAB was used as the chromogen. Tissues were counterstained with hematoxylin and mounted with DPX.
HA750295_10.jpg Fig10: RUNX2 was immunoprecipitated from 0.2 mg Saos-2 cell lysate with HA750295 at 2 µg/10 µl beads. Western blot was performed from the immunoprecipitate using HA750295 at 1/10,000 dilution. Anti-Rabbit IgG for IP Nano-secondary antibody (NBI01H) at 1/5,000 dilution was used for 1 hour at room temperature.

Lane 1: Saos-2 cell lysate (input)
Lane 2: HA750295 IP in Saos-2 cell lysate
Lane 3: Rabbit IgG instead of HA750295 in Saos-2 cell lysate

Blocking/Dilution buffer: 5% NFDM/TBST
Exposure time: 20 seconds; ECL: K1801
HA750295_11.jpg Fig11: Western blot analysis of RUNX2 on different lysates with Rabbit anti-RUNX2 antibody (HA750295) at 1/5,000 dilution.

Lane 1: HAP1-parental cell lysate
Lane 2: HAP1-RUNX2 KD cell lysate

Lysates/proteins at 10 µg/Lane.

Predicted band size: 57 kDa
Observed band size: 57 kDa

Exposure time: 40 seconds; ECL: K1802;

4-20% SDS-PAGE gel.

Proteins were transferred to a PVDF membrane and blocked with 5% NFDM/TBST for 1 hour at room temperature. The primary antibody (HA750295) at 1/5,000 dilution was used in 5% NFDM/TBST at 4℃ overnight. Goat Anti-Rabbit IgG - HRP Secondary Antibody (HA1001) at 1/50,000 dilution was used for 1 hour at room temperature.
HA750295_12.jpg Fig12: Flow cytometric analysis of Saos-2 cells labeling RUNX2.

Cells were fixed and permeabilized. Then stained with the primary antibody (HA750295, red) at 1/5,000 dilution and competitor's antibody (red) at 1/2,000 dilution, compared with Rabbit IgG Isotype Control (green). After incubation of the primary antibody at +4℃ for an hour, the cells were stained with a iFluor™ 488 conjugate-Goat anti-Rabbit IgG Secondary antibody (HA1121) at 1/1,000 dilution for 30 minutes at +4℃. Unlabelled sample was used as a control (cells without incubation with primary antibody; black).
Note: All products are “FOR RESEARCH USE ONLY AND ARE NOT INTENDED FOR DIAGNOSTIC OR THERAPEUTIC USE”.