Tyrosine Hydroxylase Recombinant Rabbit Monoclonal Antibody [SD080-02]
cat.: HA750298
Product Type: Recombinant Rabbit monoclonal IgG, primary antibodies
Species reactivity: Human, Mouse, Rat, Cynomolgus monkey
Applications: WB, IHC-P, IF-Tissue, IHC-Fr
Clonality: Monoclonal
Clone number: SD080-02
Form: Liquid
Storage condition: Store at +4℃ after thawing. Aliquot store at -20℃ or -80℃. Avoid repeated freeze / thaw cycles.
Storage buffer: 1*PBS (pH7.4).
Concentration: 1ug/ul
Purification: Protein A affinity purified.
Molecular weight: Predicted band size: 59 kDa
Isotype: IgG
Immunogen: Synthetic peptide within Human Tyrosine Hydroxylase aa 51-100 / 528.
Positive control: PC-12 cell lysate, Mouse brain tissue lysate, Rat brain tissue lysate, mouse brain tissue, rat brain tissue, mouse striatum tissue, rat striatum tissue.
Subcellular location: Cytoplasm.
Recommended Dilutions:
  WB
  IHC-P
  IF-Tissue
  IHC-Fr

1:5,000-1:10,000
1:2,000
1:500-1:1,000
1:500-1:1,000
Uniprot #: SwissProt: P07101 Human | P24529 Mouse | P04177 Rat
Alternative names: Dystonia 14 DYT14 DYT5b EC 1.14.16.2 OTTHUMP00000011225 OTTHUMP00000011226 ple Protein Pale TH The TY3H_HUMAN TYH Tyrosine 3 hydroxylase Tyrosine 3 monooxygenase Tyrosine 3-hydroxylase Tyrosine 3-monooxygenase Tyrosine hydroxylase
Images
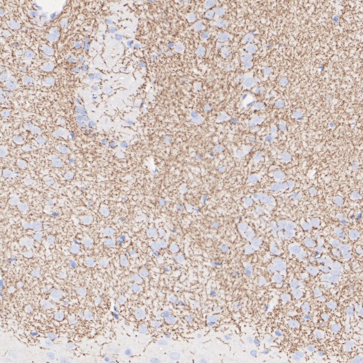
HA750298_1.jpg Fig1: Application: IHC-Fr

Species: Mouse

Site: Striatum

Sample: Frozen section

Antibody concentration: 1:500

Antigen retrieval: Not required
HA750298_2.jpg Fig2: Application: IHC-Fr

Species: Rat

Site: Striatum

Sample: Frozen section

Antibody concentration: 1:500

Antigen retrieval: Not required
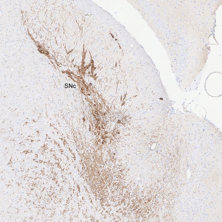
HA750298_3.jpg Fig3: Application: IHC-Fr

Species: Mouse

Site: Substantia nigra

Sample: Frozen section

Antibody concentration: 1:1,000

Antigen retrieval: The section was pre-treated using heat mediated antigen retrieval with sodium citrate buffer (pH 6.0) for about 2 minutes in microwave oven.
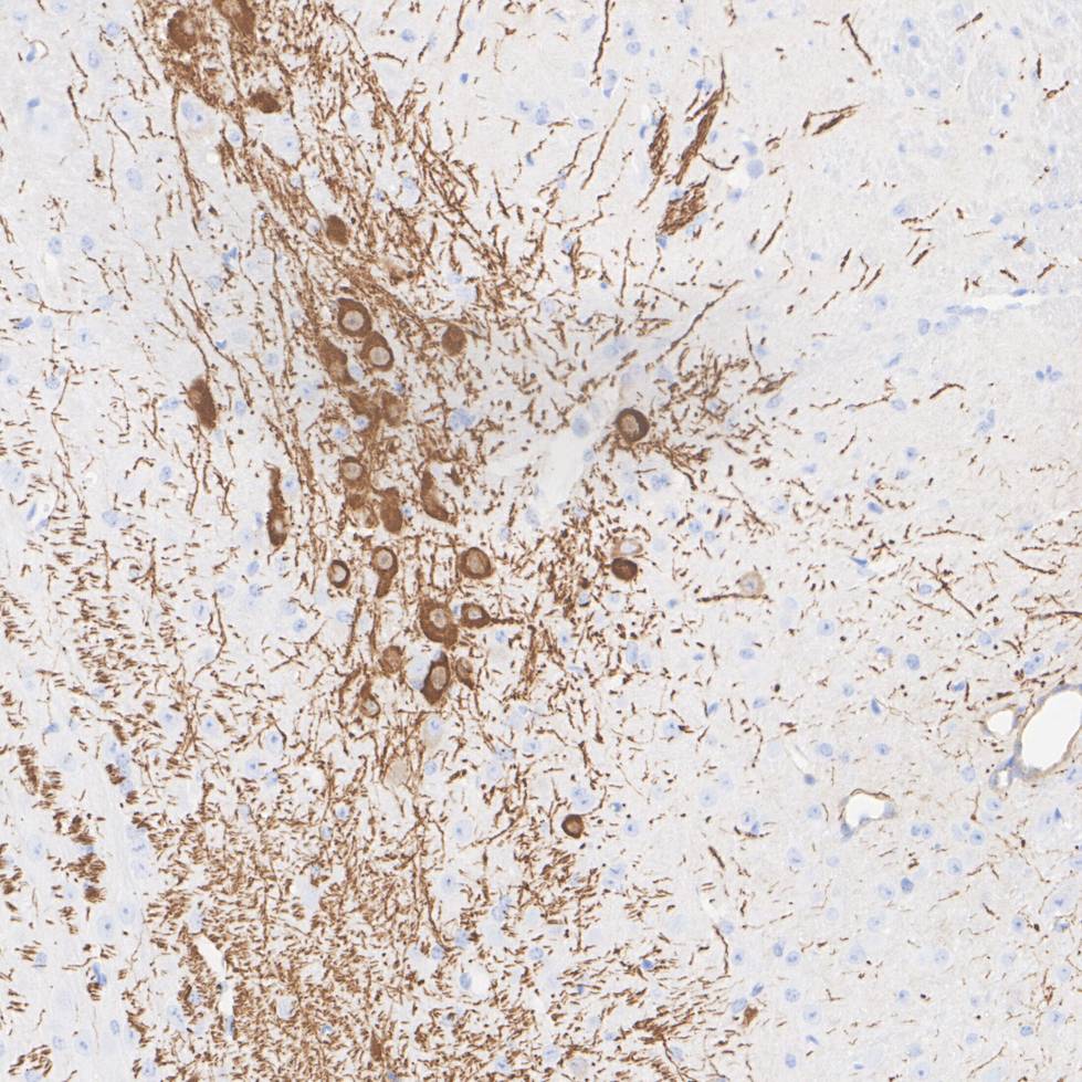
HA750298_4.jpg Fig4: Application: IHC-Fr

Species: Mouse

Site: Striatum

Sample: Frozen section

Antibody concentration: 1:1,000

Antigen retrieval: The section was pre-treated using heat mediated antigen retrieval with sodium citrate buffer (pH 6.0) for about 2 minutes in microwave oven.
HA750298_5.jpg Fig5: Western blot analysis of Tyrosine Hydroxylase on different lysates with Rabbit anti-Tyrosine Hydroxylase antibody (HA750298) at 1/5,000 dilution.

Lane 1: PC-12 cell lysate (20 µg/Lane)
Lane 2: Mouse brain tissue lysate (40 µg/Lane)
Lane 3: Rat brain tissue lysate (40 µg/Lane)

Predicted band size: 59 kDa
Observed band size: 55 kDa

Exposure time: 1 minute; ECL: K1801;
4-20% SDS-PAGE gel.

Proteins were transferred to a PVDF membrane and blocked with 5% NFDM/TBST for 1 hour at room temperature. The primary antibody (HA750298) at 1/5,000 dilution was used in 5% NFDM/TBST at 4℃ overnight. Goat Anti-Rabbit IgG - HRP Secondary Antibody (HA1001) at 1/50,000 dilution was used for 1 hour at room temperature.
HA750298_6.jpg Fig6: Immunohistochemical analysis of paraffin-embedded mouse brain tissue with Rabbit anti-Tyrosine Hydroxylase antibody (HA750298) at 1/2,000 dilution.

The section was pre-treated using heat mediated antigen retrieval with Tris-EDTA buffer (pH 9.0) for 20 minutes. The tissues were blocked in 1% BSA for 20 minutes at room temperature, washed with ddH2O and PBS, and then probed with the primary antibody (HA750298) at 1/2,000 dilution for 1 hour at room temperature. The detection was performed using an HRP conjugated compact polymer system. DAB was used as the chromogen. Tissues were counterstained with hematoxylin and mounted with DPX.
HA750298_7.jpg Fig7: Immunohistochemical analysis of paraffin-embedded mouse brain tissue with Rabbit anti-Tyrosine Hydroxylase antibody (HA750298) at 1/2,000 dilution.

The section was pre-treated using heat mediated antigen retrieval with Tris-EDTA buffer (pH 9.0) for 20 minutes. The tissues were blocked in 1% BSA for 20 minutes at room temperature, washed with ddH2O and PBS, and then probed with the primary antibody (HA750298) at 1/2,000 dilution for 1 hour at room temperature. The detection was performed using an HRP conjugated compact polymer system. DAB was used as the chromogen. Tissues were counterstained with hematoxylin and mounted with DPX.
HA750298_8.jpg Fig8: Immunohistochemical analysis of paraffin-embedded rat brain tissue with Rabbit anti-Tyrosine Hydroxylase antibody (HA750298) at 1/2,000 dilution.

The section was pre-treated using heat mediated antigen retrieval with Tris-EDTA buffer (pH 9.0) for 20 minutes. The tissues were blocked in 1% BSA for 20 minutes at room temperature, washed with ddH2O and PBS, and then probed with the primary antibody (HA750298) at 1/2,000 dilution for 1 hour at room temperature. The detection was performed using an HRP conjugated compact polymer system. DAB was used as the chromogen. Tissues were counterstained with hematoxylin and mounted with DPX.
HA750298_9.jpg Fig9: Application: IF-tissue

Species: Mouse

Site: Substantia nigra

Sample: Paraffin-embedded section

Antibody concentration: 1:500
Note: All products are “FOR RESEARCH USE ONLY AND ARE NOT INTENDED FOR DIAGNOSTIC OR THERAPEUTIC USE”.