RAGE Recombinant Rabbit Monoclonal Antibody [JF0975]
cat.: HA750341
Product Type: Recombinant Rabbit monoclonal IgG, primary antibodies
Species reactivity: Human, Mouse, Rat
Applications: WB, IHC-P, IF-Tissue
Clonality: Monoclonal
Clone number: JF0975
Form: Liquid
Storage condition: Store at +4℃ after thawing. Aliquot store at -20℃ or -80℃. Avoid repeated freeze / thaw cycles.
Storage buffer: 1*PBS (pH7.4).
Concentration: 1ug/ul
Purification: Protein A affinity purified.
Molecular weight: Predicted band size: 43 kDa
Isotype: IgG
Immunogen: Synthetic peptide within human RAGE aa 350-390.
Positive control: Mouse lung tissue lysate, Rat lung tissue lysate, human lung tissue, mouse lung tissue, rat lung tissue, mouse lung tissue (perfusion), rat lung tissue (perfusion).
Subcellular location: Cell membrane, Secreted.
Recommended Dilutions:
  WB
  IHC-P
  IF-Tissue

1:2,000-1:5,000
1:1,000
1:100
Uniprot #: SwissProt: Q15109 Human | Q62151 Mouse | Q63495 Rat
Alternative names: Advanced glycosylation end product-specific receptor Ager MGC2235 RAGE_HUMAN Receptor for advanced glycosylation end products
Images
HA750341_1.jpg Fig1: Western blot analysis of RAGE on different lysates with Rabbit anti-RAGE antibody (HA750341) at 1/5,000 dilution.

Lane 1: Mouse lung tissue lysate
Lane 2: Rat lung tissue lysate

Lysates/proteins at 20 µg/Lane.

Predicted band size: 43 kDa
Observed band size: 43/50 kDa

Exposure time: 24 seconds;

4-20% SDS-PAGE gel.

Proteins were transferred to a PVDF membrane and blocked with 5% NFDM/TBST for 1 hour at room temperature. The primary antibody (HA750341) at 1/5,000 dilution was used in 5% NFDM/TBST at 4℃ overnight. Goat Anti-Rabbit IgG - HRP Secondary Antibody (HA1001) at 1/50,000 dilution was used for 1 hour at room temperature.
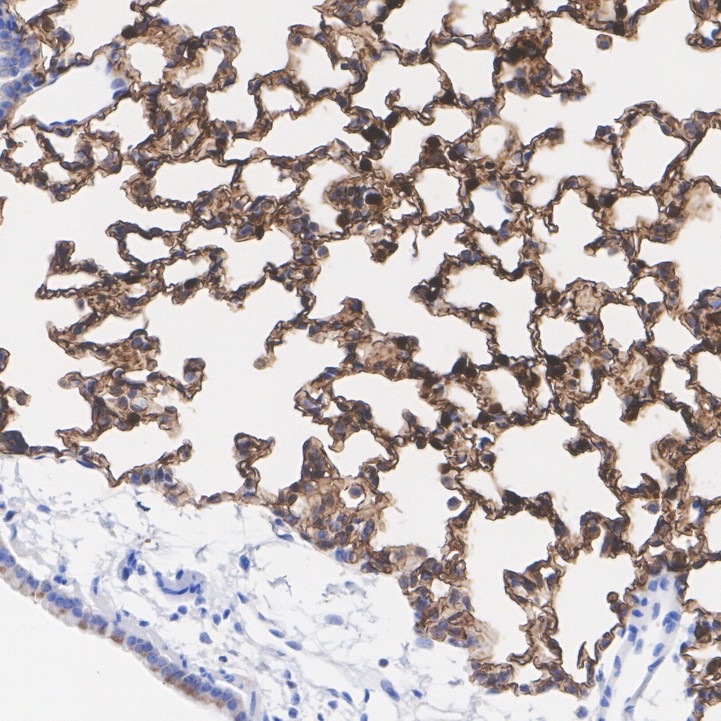
HA750341_2.jpg Fig2: Immunohistochemical analysis of paraffin-embedded human lung tissue with Rabbit anti-RAGE antibody (HA750341) at 1/1,000 dilution.

The section was pre-treated using heat mediated antigen retrieval with Tris-EDTA buffer (pH 9.0) for 20 minutes. The tissues were blocked in 1% BSA for 20 minutes at room temperature, washed with ddH2O and PBS, and then probed with the primary antibody (HA750341) at 1/1,000 dilution for 1 hour at room temperature. The detection was performed using an HRP conjugated compact polymer system. DAB was used as the chromogen. Tissues were counterstained with hematoxylin and mounted with DPX.
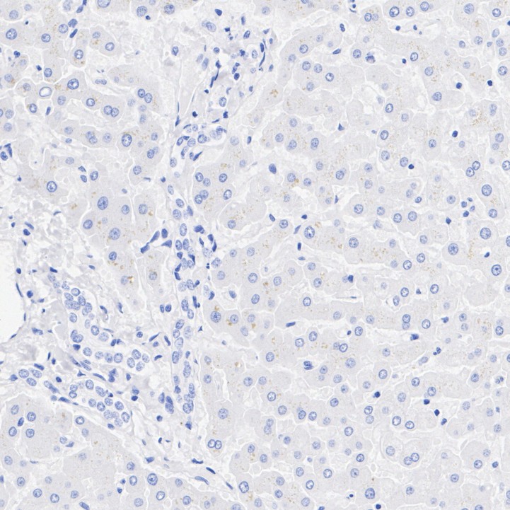
HA750341_3.jpg Fig3: Immunohistochemical analysis of paraffin-embedded human liver tissue (negative) with Rabbit anti-RAGE antibody (HA750341) at 1/1,000 dilution.

The section was pre-treated using heat mediated antigen retrieval with Tris-EDTA buffer (pH 9.0) for 20 minutes. The tissues were blocked in 1% BSA for 20 minutes at room temperature, washed with ddH2O and PBS, and then probed with the primary antibody (HA750341) at 1/1,000 dilution for 1 hour at room temperature. The detection was performed using an HRP conjugated compact polymer system. DAB was used as the chromogen. Tissues were counterstained with hematoxylin and mounted with DPX.
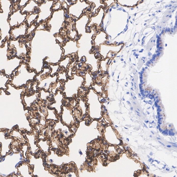
HA750341_4.jpg Fig4: Immunohistochemical analysis of paraffin-embedded mouse lung tissue with Rabbit anti-RAGE antibody (HA750341) at 1/1,000 dilution.

The section was pre-treated using heat mediated antigen retrieval with Tris-EDTA buffer (pH 9.0) for 20 minutes. The tissues were blocked in 1% BSA for 20 minutes at room temperature, washed with ddH2O and PBS, and then probed with the primary antibody (HA750341) at 1/1,000 dilution for 1 hour at room temperature. The detection was performed using an HRP conjugated compact polymer system. DAB was used as the chromogen. Tissues were counterstained with hematoxylin and mounted with DPX.
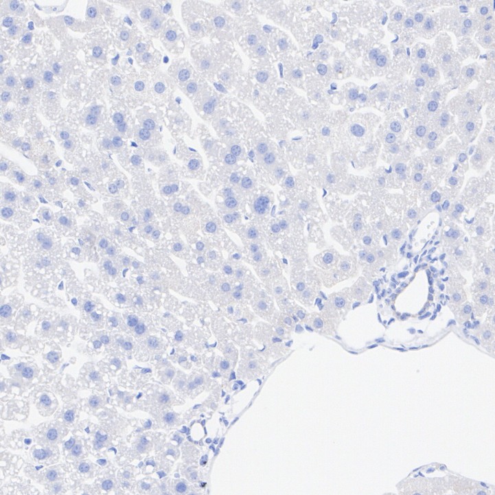
HA750341_5.jpg Fig5: Immunohistochemical analysis of paraffin-embedded mouse liver tissue (negative) with Rabbit anti-RAGE antibody (HA750341) at 1/1,000 dilution.

The section was pre-treated using heat mediated antigen retrieval with Tris-EDTA buffer (pH 9.0) for 20 minutes. The tissues were blocked in 1% BSA for 20 minutes at room temperature, washed with ddH2O and PBS, and then probed with the primary antibody (HA750341) at 1/1,000 dilution for 1 hour at room temperature. The detection was performed using an HRP conjugated compact polymer system. DAB was used as the chromogen. Tissues were counterstained with hematoxylin and mounted with DPX.
HA750341_6.jpg Fig6: Immunohistochemical analysis of paraffin-embedded rat lung tissue with Rabbit anti-RAGE antibody (HA750341) at 1/1,000 dilution.

The section was pre-treated using heat mediated antigen retrieval with Tris-EDTA buffer (pH 9.0) for 20 minutes. The tissues were blocked in 1% BSA for 20 minutes at room temperature, washed with ddH2O and PBS, and then probed with the primary antibody (HA750341) at 1/1,000 dilution for 1 hour at room temperature. The detection was performed using an HRP conjugated compact polymer system. DAB was used as the chromogen. Tissues were counterstained with hematoxylin and mounted with DPX.
HA750341_7.jpg Fig7: Immunohistochemical analysis of paraffin-embedded rat liver tissue (negative) with Rabbit anti-RAGE antibody (HA750341) at 1/1,000 dilution.

The section was pre-treated using heat mediated antigen retrieval with Tris-EDTA buffer (pH 9.0) for 20 minutes. The tissues were blocked in 1% BSA for 20 minutes at room temperature, washed with ddH2O and PBS, and then probed with the primary antibody (HA750341) at 1/1,000 dilution for 1 hour at room temperature. The detection was performed using an HRP conjugated compact polymer system. DAB was used as the chromogen. Tissues were counterstained with hematoxylin and mounted with DPX.
HA750341_8.jpg Fig8: Immunofluorescence analysis of paraffin-embedded mouse lung tissue (perfusion) labeling RAGE with Rabbit anti-RAGE antibody (HA750341) at 1/100 dilution.

The section was pre-treated using heat mediated antigen retrieval with Tris-EDTA buffer (pH 9.0) for 20 minutes. The tissues were blocked in 10% negative goat serum for 1 hour at room temperature, washed with PBS, and then probed with the primary antibody (HA750341, green) at 1/100 dilution overnight at 4 ℃, washed with PBS.

Goat Anti-Rabbit IgG H&L (iFluor™ 488, HA1121) was used as the secondary antibody at 1/1,000 dilution. Nuclei were counterstained with DAPI (blue).
HA750341_9.jpg Fig9: Immunofluorescence analysis of paraffin-embedded rat lung tissue (perfusion) labeling RAGE with Rabbit anti-RAGE antibody (HA750341) at 1/100 dilution.

The section was pre-treated using heat mediated antigen retrieval with Tris-EDTA buffer (pH 9.0) for 20 minutes. The tissues were blocked in 10% negative goat serum for 1 hour at room temperature, washed with PBS, and then probed with the primary antibody (HA750341, green) at 1/100 dilution overnight at 4 ℃, washed with PBS.

Goat Anti-Rabbit IgG H&L (iFluor™ 488, HA1121) was used as the secondary antibody at 1/1,000 dilution. Nuclei were counterstained with DAPI (blue).
Note: All products are “FOR RESEARCH USE ONLY AND ARE NOT INTENDED FOR DIAGNOSTIC OR THERAPEUTIC USE”.